PRDX2 Recombinant Monoclonal Antibody

Code CSB-RA961962A0HU
Size US$210
Order now
Image
  • Flow cytometric analysis of peroxiredoxin 2 expression in HepG2 cells using peroxiredoxin 2 antibody. Green, isotype control; red, peroxiredoxin 2.
  • Immunocytochemical staining of HepG2 cells with Peroxiredoxin 2 antibody. Nuclei were stained blue with DAPI; Peroxiredoxin 2 was stained magenta with Alexa Fluor® 647. Images were taken using Leica stellaris 5. Protein abundance based on laser Intensity and smart gain: Medium. Scale bar: 20 μm.
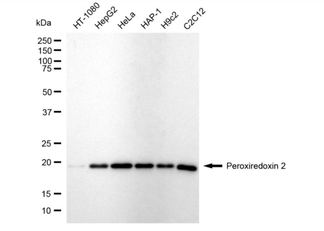
  • Western blotting analysis using peroxiredoxin 2 antibody. Total cell lysates (30 μg) from various cell lines were loaded and separated by SDS-PAGE. The blot was incubated with peroxiredoxin 2 antibody and HRP-conjugated goat anti-rabbit secondary antibody respectively.
Have Questions? Leave a Message or Start an on-line Chat

Product Details

Uniprot No.
Target Names
Alternative Names
PRDX2; Peroxiredoxin 2; NKEFB; PRP; TSA; Thioredoxin-Dependent Peroxide Reductase 1; Thioredoxin Peroxidase 1; PRXII; TDPX1; PRX2; Natural Killer Cell-Enhancing Factor B; Thioredoxin-Dependent Peroxiredoxin 2; Thiol-Specific Antioxidant 1; Peroxiredoxin-2; MGC4104; NKEF-B; Torin; Epididymis Secretory Sperm Binding Protein Li 2a; Thiol-Specific Antioxidant Protein; Natural Killer-Enhancing Factor B; EC 1.11.1.24; EC 1.11.1.15; EC 1.11.1; HEL-S-2a; PTX1; TPX1
Species Reactivity
Human, Mouse, Rat
Immunogen
Recombinant Human PRDX2 protein
Immunogen Species
Homo sapiens (Human)
Conjugate
Non-conjugated
Clonality
Monoclonal
Isotype
Rabbit IgG
Clone No.
1E8
Purification Method
Affinity-chromatography
Concentration
It differs from different batches. Please contact us to confirm it.
Buffer
Rabbit IgG in PBS (pH 7.4) containing 50% glycerol, and 0.02% sodium azide.
Form
Liquid
Tested Applications
ELISA, WB, FC, ICC
Recommended Dilution
Application Recommended Dilution
WB 1:1000-1:5000
FC 1:200-1:2000
ICC 1:100-1:1000
Troubleshooting and FAQs
Storage
Upon receipt, store at -20°C or -80°C. Avoid repeated freeze.
Lead Time
Basically, we can dispatch the products out in 1-3 working days after receiving your orders. Delivery time maybe differs from different purchasing way or location, please kindly consult your local distributors for specific delivery time.
Usage
For Research Use Only. Not for use in diagnostic or therapeutic procedures.

Customer Reviews and Q&A

 Customer Reviews

There are currently no reviews for this product.

Submit a Review here

Target Background

Function
Thiol-specific peroxidase that catalyzes the reduction of hydrogen peroxide and organic hydroperoxides to water and alcohols, respectively. Plays a role in cell protection against oxidative stress by detoxifying peroxides and as sensor of hydrogen peroxide-mediated signaling events. Might participate in the signaling cascades of growth factors and tumor necrosis factor-alpha by regulating the intracellular concentrations of H(2)O(2).
Gene References into Functions
  1. Changes in PRDX2 redox/oligomeric states correlated with Obstructive Sleep Apnea severity/metabolic status. Six month of positive airway pressure (PAP) treatment decreased this overoxidation and generated multimeric overoxidized forms associated with chaperone/transduction signaling activity of PRDX2. PMID: 27864139
  2. our data suggest that overexpression of peroxiredoxin-2, annexin A2, and heat shock protein beta-1 was correlated with tumor invasion, metastasis, and poor prognosis, and therefore, these proteins may serve as potential diagnostic and therapeutic biomarkers. PMID: 29332450
  3. PRX-2 gene can inhibit the phenotypic change of Epidermal Stem Cells differentiating into Sweat Gland Cells and improve the ability to maintain their own specific antigens. PMID: 30070795
  4. Prx II exhibited more effective molecular chaperone activity than Prx I when UCH-L1 was the client. Prx II interacted with UCH-L1 through its C-terminal region to protect UCH-L1 from thermal or oxidative inactivation PMID: 29339092
  5. The c-Myc/miR-200b/PRDX2 loop regulates colorectal cancer (CRC) progression and its disruption enhances tumor metastasis and chemotherapeutic resistance in CRC. PMID: 29258530
  6. Lys191 residue in this exposed C-terminal region of oxidized Prx2 is polyubiquitinated and the ubiquitinated Prx2 is readily degraded in proteasome and autophagy. PMID: 27703196
  7. Our findings indicate that Prdx2 might have an important role in the regulation of trophoblast proliferation and apoptosis during early pregnancy, and that its expression is mediated by c-Myc. Thus, these two proteins may be involved in the pathogenesis of RM and may represent potential therapeutic targets PMID: 28661480
  8. Data indicate that Prx2 is denitrosylated by Srxn1-mediated, and the two proteins physically bind via disulfide bond formation, providing a structural basis for the enzymatic reaction that requires ATP hydrolysis. PMID: 27821734
  9. Overexpression of peroxiredoxin 2 and VEGFR2 in pterygium might be involved in the pathogenesis or recurrence of pterygium. The increase of VEGFR2 might be related to the increase of peroxiredoxin 2 in response to excessive reactive oxygen species from ultraviolet exposure. PMID: 28489720
  10. Knockdown of peroxiredoxin 2 (Prdx2) reduced the self-renewal and sphere formation in colon cancer stem cells (CSCs). PMID: 27894099
  11. PRDX2 and p-AKT protein expression were analyzed by immunohistochemistry technology. PMID: 28432271
  12. Association and oligomerization of Prx II could take part in recovery and protection of the CK BB enzyme activity from inactivation during heat-induced stress. PMID: 29227081
  13. Prx II plays a key role in the cancer stem cell self-renewal of hepatocellular carcinoma cells through redox regulation. PMID: 26866938
  14. Peroxiredoxin-2 (PRDX2) and hemoglobin-subunits proteins, which are closely involved in the response to oxidative stress. PMID: 27869326
  15. High PRDX2 expression is associated with colorectal cancer progression. PMID: 28125800
  16. Knockdown of forkhead Box M1 (FoxM1) reduced Prx II levels in H-ras(G12V)-hepatocellular carcinoma (HCC) cells, indicating FoxM1 as a direct transcription factor of Prx II in HCC. PMID: 26500057
  17. Prx1 and Prx2 are likely targets of urate hydroperoxide in cells. Oxidation of Prxs by urate hydroperoxide might affect cell function and be partially responsible for the pro-oxidant and pro-inflammatory effects of uric acid. PMID: 28348082
  18. Data indicate that peroxiredoxin 2 (PRDX2) was upregulated in white matter multiple sclerosis (MS) lesions mainly in astrocytes, and its expression level was positively correlated with the degree of inflammation and oxidative stress, and suggest that PRDX2 expression contributes to the resistance of astrocytes against oxidative damage. PMID: 28375164
  19. The levels of expression of carbonic anhydrase 2, catalase, and PRDX2 in the nipple discharge were significantly increased in breast ductal carcinoma patients as compared to controls. PMID: 26970563
  20. Activation of PRX1 and -2 indicate cold atmospheric plasma affects redox homeostasis in osteosarcoma cells PMID: 28314261
  21. ig-h3, Peroxiredoxin-2, and NRF2 have roles in cervical carcinogenesis PMID: 28261610
  22. Data show that peroxiredoxins PRDX1 and PRDX2 are upregulated in tumor B cells as compared with normal counterparts. PMID: 26636537
  23. Data show the protein partners of human Prx1 and Prx2 and identified three sequence motifs, or combination thereof in Prxs partners, namely: CXXC, PXXP, and LXXLL. that can be important for protein localization, function and biological pathways. [review] PMID: 26548861
  24. Oxidative stress promotes PRX2 and PRX3 hyperoxidation and attenuates pro-survival signaling in aging chondrocytes. PMID: 26797130
  25. Prx2 glutathionylation is a favorable reaction that can occur in cells under oxidative stress and may have a role in redox signaling. GSH/Grx1 provide an alternative mechanism to thioredoxin and thioredoxin reductase for Prx2 recycling. PMID: 26601956
  26. the species with one disulfide and one hyperoxidized active site was decameric for Prx2 and dimeric for Prx3. Reduction and re-oxidation of the hyperoxidized dimer of Prx3 produced hyperoxidized monomers PMID: 26614766
  27. Functional roles of catalase, PRDX2 and GPX1 during oxidative stress in human erythrocytes. PMID: 25786472
  28. Further conclusion showed that Prdx2 regulates VM formation by targeting VEGFR2 activation, which now represents as a therapeutic target for RC. PMID: 25471788
  29. Prx II has an important role in cancer cell survival via the modulation of signaling molecules involved in apoptosis and the phosphorylation of JNK by the downregulation of reactive oxygen species levels in A549/GR cells. PMID: 26021759
  30. Reported increased expression of ALDH3A1, PDIA3, and PRDX2 in pterygia using a proteomic approach. These proteins are presumed to have a protective role against oxidative stress-induced apoptosis. PMID: 25221425
  31. Prx-2 activity is compromised during red blood cell storage. PMID: 25264713
  32. two placental proteins, Prx3 and Prx4, may act as new placental immune targets. PMID: 25323516
  33. the main role of Prx2 in human erythrocytes is not to eliminate peroxide substrates. PMID: 24952139
  34. Our work is the first to show that nuclear levels of PRDX2 display circadian oscillation participating in the regulation of human keratinocytes redox balance. PMID: 24814289
  35. Taken together, cloned porcine kidney is more susceptible in JNK-induced apoptosis caused by PrxII phosphorylation, in oxidative stress condition PMID: 24909612
  36. the reduced expression of iNOS or peroxiredoxin 2 may play an important role in the carcinogenesis of gastric cancer PMID: 24750185
  37. Results suggest that PRDX2 may perform an important function in the pathogeneis of RCMD. PMID: 24862795
  38. findings suggest a model in which the release of PRDX2 and TRX from macrophages can modify the redox status of cell surface receptors and enable induction of inflammatory responses PMID: 25097261
  39. In this work we characterize Prx2 tyrosine nitration, a post-translational modification on a noncatalytic residue that increases its peroxidase activity and its resistance to overoxidation. PMID: 24719319
  40. Prdx2 has an essential role in regulating oxidation-induced apoptosis in colorectal cancer cells. PMID: 24234423
  41. Impaired antioxidant activity of Prx2 could contribute to the hemolysis. PMID: 24636884
  42. These findings suggest that the transduced PEP-1-PRX2 has neuroprotective functions against oxidative stress-induced cell death in vitro and in vivo PMID: 24631653
  43. It documents that the antioxidant protein peroxiredoxin-2 (PRDX2), the third most abundant cytoplasmic protein in RBCs, interacts with the cytoplasmic domain of B3. PMID: 23123411
  44. Proteomic data suggest a limited protein set is involved in SET- (template activating factor-I-) mediated cytotoxicity of TCE (trichloroethylene) in hepatocytes; this set includes CFL1 (cofilin 1), PRDX2 (peroxiredoxin 2), and S100-A11 (calgizzarin). PMID: 24631019
  45. cellular distribution of Peroxiredoxin I and II in human eyes PMID: 24152995
  46. Up-regulation of peroxiredoxin-2 is associated with gemcitabine resistance in pancreatic cancer. PMID: 24222118
  47. Data show peroxiredoxin 2 (Prx2) oxidation was detected at erythrocyte:neutrophil ratios found in blood and reversed over time as the oxidative burst subsided. PMID: 23603832
  48. Data indicate that engineered Prx2 and Prx3 variants C-terminal residues modulate the extent of hyperoxidation. PMID: 24003226
  49. our findings reveal that Prx2 is a key regulator of invasion and metastasis in melanoma PMID: 23749642
  50. Hyperoxidized peroxiredoxin 2 interacts with the protein disulfide- isomerase ERp46. PMID: 23713588

Show More

Hide All

Subcellular Location
Cytoplasm.
Protein Families
Peroxiredoxin family, AhpC/Prx1 subfamily
Database Links

HGNC: 9353

OMIM: 600538

KEGG: hsa:7001

STRING: 9606.ENSP00000301522

UniGene: Hs.432121

icon of phone
Call us
301-363-4651 (Available 9 a.m. to 5 p.m. CST from Monday to Friday)
icon of address
Address
7505 Fannin St., Ste 610, Room 7 (CUBIO Innovation Center), Houston, TX 77054, USA
icon of social media
Join us with

Subscribe newsletter

Leave a message

* To protect against spam, please pass the CAPTCHA test below.
CAPTCHA verification
© 2007-2025 CUSABIO TECHNOLOGY LLC All rights reserved. 鄂ICP备15011166号-1
×
Place an order now

I. Product details

*
*
*
*

II. Contact details

*
*

III. Ship To

*
*
*
*
*
*
*

IV. Bill To

*
*
*
*
*
*
*
*