PREB Recombinant Monoclonal Antibody

Code CSB-RA575890A0HU
Size US$210
Order now
Image
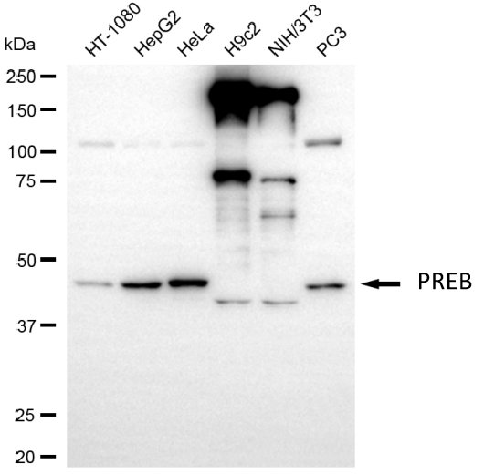
  • Western blotting analysis using PREB antibody. Total cell lysates (30 μg) from various cell lines were loaded and separated by SDS-PAGE. The blot was incubated with PREB antibody and HRP-conjugated goat anti-rabbit secondary antibody respectively.
Have Questions? Leave a Message or Start an on-line Chat

Product Details

Uniprot No.
Target Names
Alternative Names
PREB; Prolactin Regulatory Element Binding; SEC12; Prolactin Regulatory Element-Binding Protein; Guanine Nucleotide-Exchange Factor SEC12; Mammalian Guanine Nucleotide Exchange Factor MSec12
Species Reactivity
Human, Mouse, Rat
Immunogen
Recombinant Human PREB protein
Immunogen Species
Homo sapiens (Human)
Conjugate
Non-conjugated
Clonality
Monoclonal
Isotype
Rabbit IgG
Clone No.
10D12
Purification Method
Affinity-chromatography
Concentration
It differs from different batches. Please contact us to confirm it.
Buffer
Rabbit IgG in PBS (pH 7.4) containing 50% glycerol, and 0.02% sodium azide.
Form
Liquid
Tested Applications
ELISA, WB
Recommended Dilution
Application Recommended Dilution
WB 1:1000-1:5000
Troubleshooting and FAQs
Storage
Upon receipt, store at -20°C or -80°C. Avoid repeated freeze.
Lead Time
Basically, we can dispatch the products out in 1-3 working days after receiving your orders. Delivery time maybe differs from different purchasing way or location, please kindly consult your local distributors for specific delivery time.
Usage
For Research Use Only. Not for use in diagnostic or therapeutic procedures.

Customer Reviews and Q&A

 Customer Reviews

There are currently no reviews for this product.

Submit a Review here

Target Background

Function
Guanine nucleotide exchange factor that specifically activates the small GTPase SAR1B. Mediates the recruitment of SAR1B and other COPII coat components to endoplasmic reticulum membranes and is therefore required for the formation of COPII transport vesicles from the ER.; Was first identified based on its probable role in the regulation of pituitary gene transcription. Binds to the prolactin gene (PRL) promoter and seems to activate transcription.
Gene References into Functions
  1. Administration of recombinant adenovirus containing human PREB to db/db, ob/ob, and DIO mice diminished glucose, insulin, and pyruvate tolerance indicating PREB to be a negative regulator of liver gluconeogenic genes. PMID: 29601978
  2. Wls-SEC12 binding is stable, with the interacting interface biochemically mapped to cytosolic segments of individual proteins. Mutant Wls that fails to communicate with the COPII machinery cannot effectively support Wnt secretion. These data suggest that formation of early Wnt secretory vesicles is carefully regulated to ensure proper export of functional ligands PMID: 28515233
  3. These results indicate that PREB locates at the hepatitis C virus replication complex by interacting with NS4B. PMID: 26739056
  4. Sec12, a guanine-nucleotide exchange factor for Sar1 guanosine triphosphatase, is concentrated at endoplasmic reticulum exit sites and that this concentration of Sec12 is specifically required for the secretion of collagen VII but not other proteins. PMID: 25202031
  5. PREB regulates the cAMP-mediated transcription of the ABCA1 gene in vascular smooth muscle cells PMID: 20643408
  6. The transcriptional factor PREB mediates MCP-1 transcription induced by cytokines in human vascular endothelial cells. PMID: 19426980

Show More

Hide All

Subcellular Location
Endoplasmic reticulum membrane; Single-pass membrane protein. Nucleus.
Tissue Specificity
Ubiquitous.
Database Links

HGNC: 9356

OMIM: 606395

KEGG: hsa:10113

STRING: 9606.ENSP00000260643

UniGene: Hs.279784

icon of phone
Call us
301-363-4651 (Available 9 a.m. to 5 p.m. CST from Monday to Friday)
icon of address
Address
7505 Fannin St., Ste 610, Room 7 (CUBIO Innovation Center), Houston, TX 77054, USA
icon of social media
Join us with

Subscribe newsletter

Leave a message

* To protect against spam, please pass the CAPTCHA test below.
CAPTCHA verification
© 2007-2025 CUSABIO TECHNOLOGY LLC All rights reserved. 鄂ICP备15011166号-1
×
Place an order now

I. Product details

*
*
*
*

II. Contact details

*
*

III. Ship To

*
*
*
*
*
*
*

IV. Bill To

*
*
*
*
*
*
*
*