SENP2 Recombinant Monoclonal Antibody

Code CSB-RA950918A0HU
Size US$210
Order now
Image
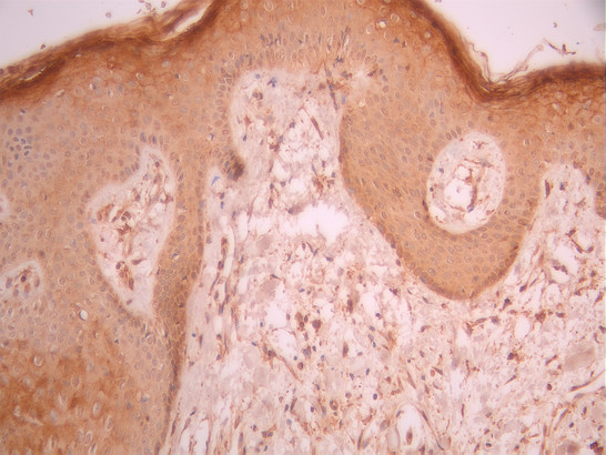
  • IHC image of CSB-RA950918A0HU diluted at 1:100 and staining in paraffin-embedded human skin tissue performed on a Leica BondTM system. After dewaxing and hydration, antigen retrieval was mediated by high pressure in a citrate buffer (pH 6.0). Section was blocked with 10% normal goat serum 30min at RT. Then primary antibody (1% BSA) was incubated at 4°C overnight. The primary is detected by a Goat anti-rabbit polymer IgG labeled by HRP and visualized using 0.05% DAB.
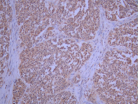
  • IHC image of CSB-RA950918A0HU diluted at 1:100 and staining in paraffin-embedded human liver cancer performed on a Leica BondTM system. After dewaxing and hydration, antigen retrieval was mediated by high pressure in a citrate buffer (pH 6.0). Section was blocked with 10% normal goat serum 30min at RT. Then primary antibody (1% BSA) was incubated at 4°C overnight. The primary is detected by a Goat anti-rabbit polymer IgG labeled by HRP and visualized using 0.05% DAB.
  • Immunofluorescence staining of HepG2 cell with CSB-RA950918A0HU at 1:50 , counter-stained with DAPI. The cells were fixed in 4% formaldehyde, permeabilized using 0.2% Triton X-100 and blocked in 10% normal Goat Serum. The cells were then incubated with the antibody overnight at 4°C. The secondary antibody was Alexa Fluor 488-congugated AffiniPure Goat Anti-Rabbit IgG(H+L).
  • Overlay Peak curve showing Hela cells stained with CSB-RA950918A0HU (red line) at 1:100. The cells were fixed in 4% formaldehyde and permeated by 0.2% TritonX-100 for 10min. Then 10% normal goat serum to block non-specific protein-protein interactions followed by the antibody (1ug/1*106cells) for 45min at 4℃. The secondary antibody used was FITC-conjugated goat anti-rabbit IgG (H+L) at 1/200 dilution for 35min at 4℃.Control antibody (green line) was Rabbit IgG (1ug/1*106cells) used under the same conditions. Acquisition of >10, 000 events was performed.
Have Questions? Leave a Message or Start an on-line Chat

Product Details

Uniprot No.
Target Names
Alternative Names
Axam2 antibody; DKFZp762A2316 antibody; KIAA1331 antibody; Senp2 antibody; SENP2_HUMAN antibody; Sentrin specific protease 2 antibody; Sentrin-specific protease 2 antibody; Sentrin/SUMO specific protease SENP2 antibody; Sentrin/SUMO-specific protease SENP2 antibody; SMT3 specific isopeptidase 2 antibody; SMT3-specific isopeptidase 2 antibody; Smt3ip2 antibody; SUMO1/sentrin/SMT3 specific peptidase 2 antibody
Species Reactivity
Human
Immunogen
A synthesized peptide from human SENP2 protein
Immunogen Species
Homo sapiens (Human)
Conjugate
Non-conjugated
Clonality
Monoclonal
Isotype
Rabbit IgG
Clone No.
15B5
Purification Method
Affinity-chromatography
Concentration
It differs from different batches. Please contact us to confirm it.
Buffer
Rabbit IgG in 10mM phosphate buffered saline , pH 7.4, 150mM sodium chloride, 0.05% BSA, 0.02% sodium azide and 50% glycerol.
Form
Liquid
Tested Applications
ELISA, IHC, IF, FC
Recommended Dilution
Application Recommended Dilution
IHC 1:50-1:200
IF 1:50-1:200
FC 1:50-1:200
Troubleshooting and FAQs
Storage
Upon receipt, store at -20°C or -80°C. Avoid repeated freeze.
Lead Time
Basically, we can dispatch the products out in 1-3 working days after receiving your orders. Delivery time maybe differs from different purchasing way or location, please kindly consult your local distributors for specific delivery time.
Usage
For Research Use Only. Not for use in diagnostic or therapeutic procedures.

Customer Reviews and Q&A

 Customer Reviews

There are currently no reviews for this product.

Submit a Review here

Target Background

Function
Protease that catalyzes two essential functions in the SUMO pathway. The first is the hydrolysis of an alpha-linked peptide bond at the C-terminal end of the small ubiquitin-like modifier (SUMO) propeptides, SUMO1, SUMO2 and SUMO3 leading to the mature form of the proteins. The second is the deconjugation of SUMO1, SUMO2 and SUMO3 from targeted proteins, by cleaving an epsilon-linked peptide bond between the C-terminal glycine of the mature SUMO and the lysine epsilon-amino group of the target protein. May down-regulate CTNNB1 levels and thereby modulate the Wnt pathway. Deconjugates SUMO2 from MTA1. Plays a dynamic role in adipogenesis by desumoylating and promoting the stabilization of CEBPB.
Gene References into Functions
  1. research achievements of SENP2 are reviewed in order to understand its related functions and the underlying molecular mechanisms and provide a clue for future research on SENP2 PMID: 29908207
  2. Quantitative high-throughput screening identifies cytoprotective molecules that enhance SUMO conjugation via the inhibition of SUMO-specific protease (SENP)2. PMID: 29146736
  3. Data demonstrate that downregulation of SENP2 is correlated with poor prognosis in bladder cancer; SENP2 inhibits TGF-beta signaling and TGF-beta-induced EMT of bladder cancer cell; and that its overexpression contributes to suppress bladder cancer cell invasion and metastasis through deSUMOylation of TGF-betaRI. PMID: 28574613
  4. The variability of the SENP1 and SENP2 genes may play a role in breast cancer occurrence. PMID: 27178176
  5. SENP2 inhibits MMP13 expression in BC cells through de-SUMOylation of TBL1/TBLR1, which inhibits nuclear translocation of beta-catenin. PMID: 26369384
  6. miR-181b targets SENP2 and positively regulated NF-kappaB activity. NF-kappaB activation by DNA damage in GBM cells confers resistance to radiation-induced death. PMID: 25633526
  7. data identify SENP2 as an important regulator of fatty acid metabolism in skeletal muscle PMID: 25784542
  8. SENP2 regulates the transcriptional function of MEF2A via direct de-SUMOylation. PMID: 25483061
  9. p90RSK-mediated SENP2-T368 phosphorylation is a master switch in disturbed-flow-induced signaling. PMID: 25689261
  10. ESR1 repression by SENP2 is independent of its SUMO protease activity. PMID: 24422630
  11. Many nucleoporins are mislocalized and, in some cases, reduced in level when SENP1 and SENP2 are codepleted. PMID: 24196834
  12. Chromosome segregation depends on precise spatial and temporal control of sumoylation in mitosis; SENP1 and SENP2 are important mediators of this control. PMID: 24048451
  13. The SENP1 levels are influenced by the presence of Nup153, whereas SENP2 is not sensitive to changes in Nup153 abundance. PMID: 22688647
  14. SENP2 inhibited bladder cancer cells migration and invasion by regulating the expression of MMP13. PMID: 24008762
  15. SENP2 plays an important role in determining the dynamics and functional outcome of MEF2A SUMOylation and transcriptional activation. PMID: 23224591
  16. SENP2 represses glycolysis and shifts glucose metabolic strategy PMID: 23691130
  17. SENP2 regulates hepatocellular carcinoma cell growth by modulating the stability of beta-catenin. PMID: 23098437
  18. cardiac overexpression of SENP2 in the mice with Nkx2.5 haploinsufficiency promoted embryonic lethality and severity of congenital heart diseases (CHDs). PMID: 22155005
  19. Data suggest that SENP2 regulates antiviral innate immunity by deSUMOylating IRF3 and conditioning it for ubiquitination and degradation, and provide an example of cross-talk between the ubiquitin and SUMO pathways in innate immunity. PMID: 22028379
  20. SENP2 null cells display biphasic NEMO SUMOylation and activation of IKK and NF-kappaB PMID: 21777808
  21. a mechanism underlying the SENP2-mediated regulation of Mdm2 that is critical for genome integrity in p53-dependent stress responses. PMID: 21183956
  22. Results demonstrate that SENP1 is the most efficient SUMO protease acting on Elk-1, and that SENP3 has little effect on Elk-1. SENP2 has an intermediate effect, but its ability to activate Elk-1 is independent from its SUMO-deconjugating activity. PMID: 20337593
  23. association with the pore plays an important negative role in the regulation of SENP2 PMID: 11896061
  24. Restricting SENP2 in the nucleus by mutations in the NES impairs its polyubiquitination, whereas a cytoplasm-localized SENP2 made by introducing mutations in the NLS can be efficiently polyubiquitinated. PMID: 16738331
  25. Mutational analysis and biochemistry provide a mechanism for SENP2 substrate preferences that explains why SENP2 catalyzes SUMO deconjugation more efficiently than processing PMID: 17099700

Show More

Hide All

Subcellular Location
Nucleus, nuclear pore complex. Nucleus membrane; Peripheral membrane protein; Nucleoplasmic side. Cytoplasm.
Protein Families
Peptidase C48 family
Database Links

HGNC: 23116

OMIM: 608261

KEGG: hsa:59343

STRING: 9606.ENSP00000296257

UniGene: Hs.401388

icon of phone
Call us
301-363-4651 (Available 9 a.m. to 5 p.m. CST from Monday to Friday)
icon of address
Address
7505 Fannin St., Ste 610, Room 7 (CUBIO Innovation Center), Houston, TX 77054, USA
icon of social media
Join us with

Subscribe newsletter

Leave a message

* To protect against spam, please pass the CAPTCHA test below.
CAPTCHA verification
© 2007-2025 CUSABIO TECHNOLOGY LLC All rights reserved. 鄂ICP备15011166号-1
×
Place an order now

I. Product details

*
*
*
*

II. Contact details

*
*

III. Ship To

*
*
*
*
*
*
*

IV. Bill To

*
*
*
*
*
*
*
*