SFPQ Recombinant Monoclonal Antibody

Code CSB-RA124766A0HU
Size US$210
Order now
Image
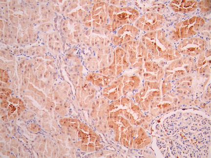
  • IHC image of CSB-RA124766A0HU diluted at 1:100 and staining in paraffin-embedded human kidney tissue performed on a Leica BondTM system. After dewaxing and hydration, antigen retrieval was mediated by high pressure in a citrate buffer (pH 6.0). Section was blocked with 10% normal goat serum 30min at RT. Then primary antibody (1% BSA) was incubated at 4°C overnight. The primary is detected by a Goat anti-rabbit polymer IgG labeled by HRP and visualized using 0.05% DAB.
  • IHC image of CSB-RA124766A0HU diluted at 1:100 and staining in paraffin-embedded human breast cancer performed on a Leica BondTM system. After dewaxing and hydration, antigen retrieval was mediated by high pressure in a citrate buffer (pH 6.0). Section was blocked with 10% normal goat serum 30min at RT. Then primary antibody (1% BSA) was incubated at 4°C overnight. The primary is detected by a Goat anti-rabbit polymer IgG labeled by HRP and visualized using 0.05% DAB.
  • Immunofluorescence staining of Hela cell with CSB-RA124766A0HU at 1:50 , counter-stained with DAPI. The cells were fixed in 4% formaldehyde, permeabilized using 0.2% Triton X-100 and blocked in 10% normal Goat Serum. The cells were then incubated with the antibody overnight at 4°C. The secondary antibody was Alexa Fluor 488-congugated AffiniPure Goat Anti-Rabbit IgG(H+L).
  • Overlay Peak curve showing Hela cells stained with CSB-RA124766A0HU (red line) at 1:100. The cells were fixed in 4% formaldehyde and permeated by 0.2% TritonX-100 for 10min. Then 10% normal goat serum to block non-specific protein-protein interactions followed by the antibody (1ug/1*106cells) for 45min at 4℃. The secondary antibody used was FITC-conjugated goat anti-rabbit IgG (H+L) at 1/200 dilution for 35min at 4℃.Control antibody (green line) was Rabbit IgG (1ug/1*106cells) used under the same conditions. Acquisition of >10, 000 events was performed.
Have Questions? Leave a Message or Start an on-line Chat

Product Details

Uniprot No.
Target Names
Alternative Names
100 kDa DNA pairing protein antibody; 100 kDa DNA-pairing protein antibody; 100 kDa subunit antibody; DNA binding p52/p100 complex 100 kDa subunit antibody; DNA-binding p52/p100 complex antibody; hPOMp100 antibody; Polypyrimidine tract binding protein associated splicing factor antibody; Polypyrimidine tract-binding protein-associated-splicing factor antibody; POMP100 antibody; PPP1R140 antibody; proline- and glutamine-rich antibody; Protein phosphatase 1 regulatory subunit 140 antibody; PSF antibody; PTB associated splicing factor antibody; PTB-associated-splicing factor antibody; Sfpq antibody; SFPQ_HUMAN antibody; Splicing factor antibody; Splicing factor proline and glutamine rich antibody; Splicing factor proline/glutamine rich (polypyrimidine tract binding protein associated) antibody; Splicing factor proline/glutamine rich antibody
Species Reactivity
Human
Immunogen
A synthesized peptide from human SFPQ protein
Immunogen Species
Homo sapiens (Human)
Conjugate
Non-conjugated
Clonality
Monoclonal
Isotype
Rabbit IgG
Clone No.
17H3
Purification Method
Affinity-chromatography
Concentration
It differs from different batches. Please contact us to confirm it.
Buffer
Rabbit IgG in 10mM phosphate buffered saline , pH 7.4, 150mM sodium chloride, 0.05% BSA, 0.02% sodium azide and 50% glycerol.
Form
Liquid
Tested Applications
ELISA, IHC, IF, FC
Recommended Dilution
Application Recommended Dilution
IHC 1:50-1:200
IF 1:50-1:200
FC 1:50-1:200
Troubleshooting and FAQs
Storage
Upon receipt, store at -20°C or -80°C. Avoid repeated freeze.
Lead Time
Basically, we can dispatch the products out in 1-3 working days after receiving your orders. Delivery time maybe differs from different purchasing way or location, please kindly consult your local distributors for specific delivery time.
Usage
For Research Use Only. Not for use in diagnostic or therapeutic procedures.

Customer Reviews and Q&A

 Customer Reviews

There are currently no reviews for this product.

Submit a Review here

Target Background

Function
DNA- and RNA binding protein, involved in several nuclear processes. Essential pre-mRNA splicing factor required early in spliceosome formation and for splicing catalytic step II, probably as a heteromer with NONO. Binds to pre-mRNA in spliceosome C complex, and specifically binds to intronic polypyrimidine tracts. Involved in regulation of signal-induced alternative splicing. During splicing of PTPRC/CD45, a phosphorylated form is sequestered by THRAP3 from the pre-mRNA in resting T-cells; T-cell activation and subsequent reduced phosphorylation is proposed to lead to release from THRAP3 allowing binding to pre-mRNA splicing regulatotry elements which represses exon inclusion. Interacts with U5 snRNA, probably by binding to a purine-rich sequence located on the 3' side of U5 snRNA stem 1b. May be involved in a pre-mRNA coupled splicing and polyadenylation process as component of a snRNP-free complex with SNRPA/U1A. The SFPQ-NONO heteromer associated with MATR3 may play a role in nuclear retention of defective RNAs. SFPQ may be involved in homologous DNA pairing; in vitro, promotes the invasion of ssDNA between a duplex DNA and produces a D-loop formation. The SFPQ-NONO heteromer may be involved in DNA unwinding by modulating the function of topoisomerase I/TOP1; in vitro, stimulates dissociation of TOP1 from DNA after cleavage and enhances its jumping between separate DNA helices. The SFPQ-NONO heteromer binds DNA. The SFPQ-NONO heteromer may be involved in DNA non-homologous end joining (NHEJ) required for double-strand break repair and V(D)J recombination and may stabilize paired DNA ends; in vitro, the complex strongly stimulates DNA end joining, binds directly to the DNA substrates and cooperates with the Ku70/G22P1-Ku80/XRCC5 (Ku) dimer to establish a functional preligation complex. SFPQ is involved in transcriptional regulation. Functions as transcriptional activator. Transcriptional repression is mediated by an interaction of SFPQ with SIN3A and subsequent recruitment of histone deacetylases (HDACs). The SFPQ-NONO-NR5A1 complex binds to the CYP17 promoter and regulates basal and cAMP-dependent transcriptional activity. SFPQ isoform Long binds to the DNA binding domains (DBD) of nuclear hormone receptors, like RXRA and probably THRA, and acts as transcriptional corepressor in absence of hormone ligands. Binds the DNA sequence 5'-CTGAGTC-3' in the insulin-like growth factor response element (IGFRE) and inhibits IGF-I-stimulated transcriptional activity. Regulates the circadian clock by repressing the transcriptional activator activity of the CLOCK-ARNTL/BMAL1 heterodimer. Required for the transcriptional repression of circadian target genes, such as PER1, mediated by the large PER complex through histone deacetylation. Required for the assembly of nuclear speckles. Plays a role in the regulation of DNA virus-mediated innate immune response by assembling into the HDP-RNP complex, a complex that serves as a platform for IRF3 phosphorylation and subsequent innate immune response activation through the cGAS-STING pathway.
Gene References into Functions
  1. Analytical ultracentrifugation to estimate the dimerization equilibrium of the SFPQ-containing dimers revealed that the SFPQ-containing dimers dissociate at low micromolar concentrations and that the heterodimers have higher affinities than the homodimer. Moreover, we observed that the apparent dissociation constant for the SFPQ/PSPC1 heterodimer was over 6-fold lower than that of the SFPQ/NONO heterodimer. PMID: 29530979
  2. SFPQ intron retention and nuclear loss are molecular hallmarks of familial and sporadic of amyotrophic lateral sclerosis. PMID: 29789581
  3. Vault RNAs partially induces drug resistance of human tumor cells MCF-7 by binding to the RNA/DNA-binding protein PSF and inducing oncogene GAGE6 PMID: 29346433
  4. GAPLINC has a role in promoting colorectal cancer invasion via binding to PSF/NONO and partly by stimulating the expression of SNAI2 PMID: 27259250
  5. PSF was found to be an important internal ribosome entry site trans acting factor (ITAF) for efficient translation of coxsackievirus B3 RNA. PMID: 28633417
  6. Mechanistic dissection reveals that NEAT1 broadly interacts with the NONO-PSF heterodimer as well as many other RNA-binding proteins and that multiple RNA segments in NEAT1, including a 'pseudo pri-miRNA' near its 3' end, help attract the Drosha-DGCR8 Microprocessor. PMID: 28846091
  7. The SFPQ*NONO complex contains an RNA binding domain, and prior work has demonstrated diverse roles in RNA metabolism. It is thus plausible that the additional repair function of NONO, revealed in cell-based assays, could involve RNA interaction. PMID: 27924002
  8. Describe the unusual morphology and expanded the morphologic spectrum of SFPQ/PSF-TFE3 renal cell carcinomas. PMID: 28315422
  9. The data suggest a model in which TRAP150 interacts with dimeric PSF to block access of RNA to RRM2, thereby regulating the activity of PSF toward a broad set of splicing events in T cells. PMID: 26261210
  10. PSF/SFPQ is a very common gene fusion partner in TFE3 rearrangement-associated perivascular epithelioid cell tumors (PEComas) and melanotic Xp11 translocation renal cancers. PMID: 26274027
  11. coiled-coil interaction motif thus provides a molecular explanation for the functional aggregation of SFPQ that directs its role in regulating many aspects of cellular nucleic acid metabolism PMID: 25765647
  12. The ability of the SFPQ/NONO complex to form varying protein assemblies, in conjunction with the effect of post-translational modifications of SFPQ modulating mRNA binding, suggests key roles affecting mRNP dynamics within the cell. PMID: 25605962
  13. MALAT1 binds to SFPQ releasing PTBP2 from the SFPQ/PTBP2 complex, the increased SFPQ-detached PTBP2 promotes cell proliferation and migration in colorectal cancer. PMID: 25025966
  14. The results of this study identify a new physiological role for the PSF-LC3B axis as a potential endogenous modulator of colon cancer treatment. PMID: 24288667
  15. NEAT1 plays an important role in the innate immune response through the transcriptional regulation of antiviral genes by the stimulus-responsive cooperative action of NEAT1 and SFPQ. PMID: 24507715
  16. Results suggest that Llme23 can function as an oncogenic RNA and directly associate the polypyrimidine tract-binding (PTB) protein-associated splicing factor (PSF)-binding lncRNA with melanoma. PMID: 23618401
  17. Partial knockdown of Annexin A2 and PSF showed decrease in p53 IRES activity and reduced levels of both the p53 isoforms. PMID: 23131771
  18. PSF and MATR3 are cellular host factors that bind viral RNA and promote Rev activity. PMID: 23158102
  19. Localisation of TopBP1 at DNA damage sites was noticed as early as 5 s following damage induction, whereas p54(nrb) and PSF localised there after 20 s. PMID: 22213094
  20. In Alzheimer's disease, Pick's disease, and Frontotemporal Lobar Degeneration Tau-mediates nuclear depletion and cytoplasmic accumulation of SFPQ. PMID: 22558197
  21. The results suggested that PSF may function as an activator for the meiosis-specific recombinase DMC1. PMID: 22156371
  22. results indicate that SFPQ/PSF is a host factor essential for influenza virus transcription that increases the efficiency of viral mRNA polyadenylation PMID: 22114566
  23. Data reveal a new player in tau exon 10 alternative splicing regulation and uncover a previously unknown mechanism of PSF in regulating tau pre-mRNA splicing. PMID: 21881826
  24. RVxF motifs play an important role in controlling the multifunctional properties of p54nrb and PSF in the regulation of gene transcription PMID: 21566083
  25. SFPQ/NONO heterodimer is involved in the early stage of the DSB response. PMID: 20421735
  26. PSF influences repair via direct, local, interaction with the DNA substrate PMID: 21144806
  27. these results identify PSF as a repressor of STAT6-mediated transcription that functions through recruitment of HDAC to the STAT6 transcription complex, and delineates a novel regulatory mechanism of IL-4 signaling PMID: 21106524
  28. PSF (polypyrimidine tract-binding protein-associated splicing factor) and p54(nrb), two highly related proteins involved in transcription and RNA processing, are identified as new binding partners of hnRNP M. PMID: 19874820
  29. Here we show that PSF interacts with p54nrb.PSF bind U5 snRNA with both the sequence and structure of stem 1b contributing to binding specificity. PMID: 12403470
  30. Review article of PSF as a multi-functional nuclear protein. PMID: 12417296
  31. p54nrb and PSF have properties of key factors mediating INS function and likely define a novel mRNA regulatory pathway that is hijacked by HIV-1. PMID: 12944487
  32. The PSF.p54(nrb) complex cooperates with Ku protein to form a functional preligation complex with substrate DNA PMID: 15590677
  33. Data suggest that polypyrimidine tract-binding protein-associated splicing factor acts as a progesterone receptor corepressor and contributes to the functional withdrawal of progesterone and the initiation of human labor. PMID: 15668243
  34. recruitment of PSF to activated promoters and the carboxyl-terminal domain of RNA polymerase II provides a mechanism by which transcription and pre-mRNA processing are coordinated within the cell. PMID: 16024807
  35. DJ-1 transcriptionally up-regulates the human tyrosine hydroxylase by inhibiting the sumoylation of pyrimidine tract-binding protein-associated splicing factor PMID: 16731528
  36. Expression of PSF-TFE3 in renal epithelial cells plays an important role in the initiation and maintenance of oncogenic phenotype in papillary renal cell carcinomas PMID: 16832349
  37. Mass spectrometric analysis of the complex revealed the polypyrimidine tract-binding protein-associated splicing factor (PSF) as a novel Hepatitis Delta virus RNA-interacting protein. PMID: 16938326
  38. These results suggest that IbeA interacts with polypyrimidine tract-binding protein (PTB)-associated splicing factor (PSF) for the E. coli K1 invasion of HBMEC.[IbeA] PMID: 17318576
  39. These data demonstrated that PSF and p54nrb complex with AR and play a key role in modulating AR-mediated gene transcription. PMID: 17452459
  40. identify PSF as a novel nucleophosmin 1/anaplastic lymphoma kinase-binding protein and substrate PMID: 17537995
  41. XRN2 associates with p54nrb/NonO(p54)-protein-associated splicing factor (PSF), multifunctional proteins involved in several nuclear processes. PMID: 17639083
  42. Findings suggest that the PSF.p54nrb complex is a novel MAP kinase signal-integrating kinases substrate that binds the mRNA for tumor necrosis factor alpha. PMID: 17965020
  43. TFII-I, PARP1, and SFPQ proteins, each previously implicated in gene regulation, form a complex controlling transcription of DYX1C1. Allelic differences in the promoter or 5'UTR of DYX1C1 may affect factor binding and thus regulation of the gene. PMID: 18445785
  44. Co-expression of PSF relocates oncogenic RING finger protein 43 (RNF43) from the nuclear periphery to the nucleoplasm. PMID: 18655028
  45. These findings are suggestive of a role for myometrial PSF as a nuclear co-regulator in the regulation of specific hormone receptor genes and their target hormone response genes. PMID: 19339282
  46. results suggest that PSF may have dual functions in homologous recombination and RNA processing through its N-terminal and central regions, respectively. PMID: 19447914
  47. Melanotic Xp11 translocation renal cancer: a case with PSF-TFE3 gene fusion and up-regulation of melanogenetic transcripts. PMID: 19809274
  48. Disruption of the growth hormone receptor polypyrimidine tract causes aberrant mRNA splicing resulting in growth hormone insensitivity. PMID: 19812236

Show More

Hide All

Involvement in disease
A chromosomal aberration involving SFPQ may be a cause of papillary renal cell carcinoma (PRCC). Translocation t(X;1)(p11.2;p34) with TFE3.
Subcellular Location
Nucleus speckle. Nucleus matrix. Cytoplasm.
Database Links

HGNC: 10774

OMIM: 605199

KEGG: hsa:6421

STRING: 9606.ENSP00000349748

UniGene: Hs.355934

icon of phone
Call us
301-363-4651 (Available 9 a.m. to 5 p.m. CST from Monday to Friday)
icon of address
Address
7505 Fannin St., Ste 610, Room 7 (CUBIO Innovation Center), Houston, TX 77054, USA
icon of social media
Join us with

Subscribe newsletter

Leave a message

* To protect against spam, please pass the CAPTCHA test below.
CAPTCHA verification
© 2007-2025 CUSABIO TECHNOLOGY LLC All rights reserved. 鄂ICP备15011166号-1
×
Place an order now

I. Product details

*
*
*
*

II. Contact details

*
*

III. Ship To

*
*
*
*
*
*
*

IV. Bill To

*
*
*
*
*
*
*
*