SLC1A1 Recombinant Monoclonal Antibody

Code CSB-RA548433A0HU
Size US$210
Order now
Image
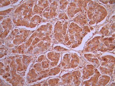
  • IHC image of CSB-RA548433A0HU diluted at 1:100 and staining in paraffin-embedded human liver cancer performed on a Leica BondTM system. After dewaxing and hydration, antigen retrieval was mediated by high pressure in a citrate buffer (pH 6.0). Section was blocked with 10% normal goat serum 30min at RT. Then primary antibody (1% BSA) was incubated at 4°C overnight. The primary is detected by a Goat anti-rabbit polymer IgG labeled by HRP and visualized using 0.05% DAB.
Have Questions? Leave a Message or Start an on-line Chat

Product Details

Uniprot No.
Target Names
Alternative Names
EAA3_HUMAN antibody; EAAC 1 antibody; EAAC1 antibody; EAAT 3 antibody; Excitatory amino acid carrier 1 antibody; Excitatory amino acid carrier1 antibody; Excitatory amino acid transporter 3 antibody; Excitatory amino acid transporter3 antibody; Excitatory amino-acid carrier 1 antibody; GLUTAMATE TRANSPORTER; HIGH-AFFINITY antibody; MEAAC 1 antibody; MEAAC1 antibody; Neuronal and epithelial glutamate transporter antibody; REAAC 1 antibody; REAAC1 antibody; Slc1 a1 antibody; Slc1a 1 antibody; SLC1A1 antibody; Sodium dependent glutamate/aspartate transporter 3 antibody; Sodium-dependent glutamate/aspartate transporter 3 antibody; Solute carrier family 1 (neuronal / epithelial high affinity glutamate transporter; system Xag); member 1 antibody; SOLUTE CARRIER FAMILY 1 (NEURONAL/EPITHELIAL HIGH AFFINITY GLUTAMATE TRANSPORTER); MEMBER 1 antibody; Solute carrier family 1 (neuronal/epithelial high affinity glutamate transporter; system Xag); member 1 antibody; Solute carrier family 1 member 1 antibody; Solute carrier family 1; member 1 antibody
Species Reactivity
Human
Immunogen
A synthesized peptide from human SLC1A1 protein
Immunogen Species
Homo sapiens (Human)
Conjugate
Non-conjugated
Clonality
Monoclonal
Isotype
Rabbit IgG
Clone No.
4A11
Purification Method
Affinity-chromatography
Concentration
It differs from different batches. Please contact us to confirm it.
Buffer
Rabbit IgG in 10mM phosphate buffered saline , pH 7.4, 150mM sodium chloride, 0.05% BSA, 0.02% sodium azide and 50% glycerol.
Form
Liquid
Tested Applications
ELISA, IHC
Recommended Dilution
Application Recommended Dilution
IHC 1:50-1:200
Troubleshooting and FAQs
Storage
Upon receipt, store at -20°C or -80°C. Avoid repeated freeze.
Lead Time
Basically, we can dispatch the products out in 1-3 working days after receiving your orders. Delivery time maybe differs from different purchasing way or location, please kindly consult your local distributors for specific delivery time.
Usage
For Research Use Only. Not for use in diagnostic or therapeutic procedures.

Customer Reviews and Q&A

 Customer Reviews

There are currently no reviews for this product.

Submit a Review here

Target Background

Function
Sodium-dependent, high-affinity amino acid transporter that mediates the uptake of L-glutamate and also L-aspartate and D-aspartate. Can also transport L-cysteine. Functions as a symporter that transports one amino acid molecule together with two or three Na(+) ions and one proton, in parallel with the counter-transport of one K(+) ion. Mediates Cl(-) flux that is not coupled to amino acid transport; this avoids the accumulation of negative charges due to aspartate and Na(+) symport. Plays an important role in L-glutamate and L-aspartate reabsorption in renal tubuli. Plays a redundant role in the rapid removal of released glutamate from the synaptic cleft, which is essential for terminating the postsynaptic action of glutamate. Contributes to glutathione biosynthesis and protection against oxidative stress via its role in L-glutamate and L-cysteine transport. Negatively regulated by ARL6IP5.
Gene References into Functions
  1. mir-26a and SLC1A1 may play a role in the Multiple Sclerosis pathogenesis, and may be potential targets for the development of new biomarkers and/or therapeutic tools. PMID: 28962897
  2. SLC1A1 and DPF3 were strongly associated with idiopathic male infertility and were significantly correlated with semen quality alterations PMID: 27232852
  3. results suggest that six common SNPs of SLC1A1 may not contribute to the development of obsessive compulsive disorder, but may contribute to certain aspect of trait empathy such as personal distress PMID: 29304071
  4. observations of EAAT3 regulation in patients is giving us insight into the endogenous function of this transporter, as well as the consequences of altered function--{REVIEW} PMID: 27233497
  5. Our study showed a lack of association between SLC1A1 variants and normal tension glaucoma in Japanese patients, suggesting that the SLC1A1 gene does not play a critical role in the development of the disorder in this patient population. PMID: 26771863
  6. Numb is a pivotal adaptor protein that mediates the subcellular localization of EAAT3 through binding the YxNxxF (where x stands for any amino acid) motif. PMID: 27358480
  7. observations provide insights into the molecular basis of hot water epilepsy and show the role of SLC1A1 variants in this intriguing neurobehavioral disorder PMID: 28324217
  8. This study demonstrated that Variations within SLC1A1 are associated with risk of epileptogenesis following posttraumatic brain injury. PMID: 27153812
  9. Lithium-sensitive GSK3ss is a powerful regulator of excitatory amino acid transporters EAAT3 and EAAT4. PMID: 27978527
  10. Data suggest that EAAC1 transporters present on NST dendrites may play a minor role if any in glutamate clearance. PMID: 25515313
  11. SPAK and OSR1 are negative regulators of EAAT3 activity PMID: 26112741
  12. Excitatory amino acid carrier 1 (EAAC1) plays a pivotal role in neuronal glutathione synthesis to maintain cellular redox homeostasis. PMID: 26007177
  13. Transport of either L-glutamate or L-selenocysteine by EAAT3 decreased intracellular pH, whereas transport of cysteine resulted in cytoplasmic alkalinization. PMID: 25275463
  14. Rs301430 is a T/C functional polymorphism that influences ago of onset in obsessive-compulsive disorder. PMID: 24768158
  15. variability within the SLC1A1 gene impacts both the presence and severity of posttraumatic stress disorder among a sample of combat-exposed veterans. PMID: 25445080
  16. Our data suggest that SLC1A1 is unlikely to be a major susceptibility gene for schizophrenia in Han Chinese PMID: 23931931
  17. Results indentify plausible candidates include non-recurrent deletions at the glutamate transporter gene SLC1A1, a CNV locus recently suggested to be involved in schizophrenia through linkage analysis, and duplications at 1p36.33 and CGNL1. PMID: 24163246
  18. internalization of EAAT3 triggered by amphetamine increases glutamatergic signaling and thus contributes to the effects of amphetamine on neurotransmission. PMID: 25033183
  19. EAAT3/EAAC1 expression is altered in pathological conditions, such as hypoxia/ischemia, multiple sclerosis, schizophrenia, and epilepsy. (Review) PMID: 24162932
  20. SLC1A1, GRIN2B, and interactions between the two may potentially confer a susceptibility to obsessive-compulsive symptoms in schizophrenia patients receiving clozapine. PMID: 23660601
  21. This study demonistrated that SLC!A1 no association with obsessive-compulsive disorder in Han Chinese population. PMID: 23411042
  22. A single-marker association study of several single-nucleotide polymorphisms in the SLC1A1 genomic region was performed. PMID: 22776887
  23. Individuals with schizophrenia carrying at least one C allele of rs35753505 (SNP8NRG221533) show decreased expression of SLC1A6 in the molecular layer of both cerebellar hemispheres, compared to individuals homozygous for the T allele. PMID: 22424243
  24. This study demonisrrated that glutamate aspartate transporter (GLAST) within the human cochlea in patient with Meniere's disease. PMID: 23850643
  25. P259R alters EAAT3 transport functions by decelerating conformational changes associated with sodium binding. PMID: 24214974
  26. isoforms negatively modulate glutamate uptake and are differentially expressed in subjects with obsessive-compulsive disorder PMID: 23695234
  27. The study provided suggestive evidence that the SLC1A1 rs10491734 was significantly associated with early-onset OCD in the Han Chinese population. PMID: 23564280
  28. revealed weak association between OCD and one of nine tested SLC1A1 polymorphisms PMID: 23606572
  29. A deletion at the SLC1A1 glutamate transporter gene originally identified as a copy number variant exclusively carried by members of a 5-generation Palauan family, was investigated. PMID: 23341099
  30. The function of the one SLC1A1 missense variant reported previously in obsessive-compulsive disorder, Thr164Ala, was characterized and found that the Ala164 allele leads to decreased Vmax and Km. PMID: 22617815
  31. Three single nucleotide polymorphisms in SLC1A1 (rs2228622, rs3780412 and rs3780413), which had been associated with second-generation antipsychotic agents-induced obsessive-compulsive symptoms, were investigated. PMID: 22531293
  32. rapid extracellular K(+) application to EAAC1 under single turnover conditions (K(+) inside) resulted in outward transient current. We propose a charge compensation mechanism, in which the C-terminal transport domain bears overall negative charge of -1.23 PMID: 22707712
  33. interaction of NCX1 and EAAC1 transporters leads to glutamate-enhanced ATP production in brain mitochondria PMID: 22479505
  34. Neutralizing aspartate 83 modifies substrate translocation of excitatory amino acid transporter 3 (EAAT3) glutamate transporters. PMID: 22532568
  35. mTOR is a novel powerful regulator of EAAT3 and may thus contribute to protection against neuroexcitotoxicity. PMID: 22483750
  36. These findings suggest the involvement of SLC1A1 in the pathogenesis of schizophrenia. PMID: 22095641
  37. This study provides suggestive evidence that DLGAP3 and its interactive effect with SLC1A1 might be involved in susceptibility to developing OC symptoms in schizophrenia patients receiving AAP treatment. PMID: 21990008
  38. genotyped an additional 111 SNPs in or near SLC1A1, covering from 9 kb upstream to 84 kb downstream of the gene at average spacing of 1.7 kb per SNP, and conducted family-based association analyses in 1,576 participants in 377 families PMID: 21445956
  39. SLC1A1 mutations leading to substitution of arginine to tryptophan at position 445 (R445W) and deletion of isoleucine at position 395 (I395del) cause dicarboxylic aminoaciduria, an autosomal recessive disorder of urinary glutamate and aspartate transport PMID: 21123949
  40. SLC1A1 alleles may have a role in obsessive-compulsive disorder PMID: 19569082
  41. Cysteine uptake by EAAC1 is important for zinc homeostasis and neuronal antioxidant function following transient cerebral ischemia. PMID: 21084597
  42. association of SNP rs301430 with severity of repetitive behaviors and anxiety in autism spectrum disorder PMID: 20155310
  43. suggests that T370S also alters the cation selectivity of this cation-binding site, as expected if T370 forms part of a cation-binding site in EAAT3. PMID: 20634426
  44. the side chain of EAAC1 Met-367 fulfills a steric role in the positioning of the substrate in the binding pocket in a step subsequent to its initial binding PMID: 20424168
  45. analysis of cation binding to the glutamate transporter EAAC1 probed with mutation of the conserved amino acid residue Thr10 PMID: 20378543
  46. PIP5K2A is a novel signaling element in the regulation of EAAT3 activity PMID: 19644675
  47. Dynamic equilibrium between coupled and uncoupled modes of a neuronal glutamate transporter PMID: 11823462
  48. data show specific localization of glutamate transporters EAAT1, EAAT2 and EAAT3 in the human placenta during development PMID: 15135231
  49. EAAT3 has a big extracellular vestibule, but does not undergo a large-scale motion to another state. Short channels connect the intracellular solution to the vestibule. Small conformational changes & glutamate uptake, occur independently in each subunit. PMID: 15716409
  50. enhanced expression of glutamate transporters in multiple sclerosis constitutes a regulatory response of glial cells to toxic levels of glutamate in the CNS during inflammation and neurodegeneration PMID: 16061389

Show More

Hide All

Involvement in disease
Dicarboxylic aminoaciduria (DCBXA); Schizophrenia 18 (SCZD18)
Subcellular Location
Cell membrane; Multi-pass membrane protein. Apical cell membrane; Multi-pass membrane protein. Cell junction, synapse, synaptosome. Early endosome membrane. Late endosome membrane. Recycling endosome membrane.
Protein Families
Dicarboxylate/amino acid:cation symporter (DAACS) (TC 2.A.23) family, SLC1A1 subfamily
Tissue Specificity
Expressed in all tissues tested including liver, muscle, testis, ovary, retinoblastoma cell line, neurons and brain (in which there was dense expression in substantia nigra, red nucleus, hippocampus and in cerebral cortical layers).
Database Links

HGNC: 10939

OMIM: 133550

KEGG: hsa:6505

STRING: 9606.ENSP00000262352

UniGene: Hs.444915

icon of phone
Call us
301-363-4651 (Available 9 a.m. to 5 p.m. CST from Monday to Friday)
icon of address
Address
7505 Fannin St., Ste 610, Room 7 (CUBIO Innovation Center), Houston, TX 77054, USA
icon of social media
Join us with

Subscribe newsletter

Leave a message

* To protect against spam, please pass the CAPTCHA test below.
CAPTCHA verification
© 2007-2025 CUSABIO TECHNOLOGY LLC All rights reserved. 鄂ICP备15011166号-1
×
Place an order now

I. Product details

*
*
*
*

II. Contact details

*
*

III. Ship To

*
*
*
*
*
*
*

IV. Bill To

*
*
*
*
*
*
*
*