SLC4A1 Recombinant Monoclonal Antibody

Code CSB-RA173535A0HU
Size US$210
Order now
Image
  • Western Blot
    , Positive WB detected in: Hela whole cell lysate(30µg), COLO205 whole cell lysate(30µg), Mouse liver tissue lysate(30µg)
    All lanes: SLC4A1 antibody at 1:1000
    Secondary
    Goat polyclonal to rabbit IgG at 1/40000 dilution
    Predicted band size: 102 kDa
    Observed band size: 102 kDa
    Exposure time:120s
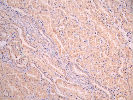
  • IHC image of CSB-RA173535A0HU diluted at 1:100 and staining in paraffin-embedded human kidney tissue performed on a Leica BondTM system. After dewaxing and hydration, antigen retrieval was mediated by high pressure in a citrate buffer (pH 6.0). Section was blocked with 10% normal goat serum 30min at RT. Then primary antibody (1% BSA) was incubated at 4°C overnight. The primary is detected by a Goat anti-rabbit polymer IgG labeled by HRP and visualized using 0.05% DAB.
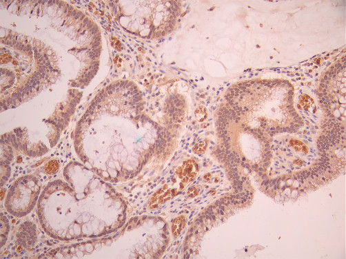
  • IHC image of CSB-RA173535A0HU diluted at 1:100 and staining in paraffin-embedded human gastric cancer performed on a Leica BondTM system. After dewaxing and hydration, antigen retrieval was mediated by high pressure in a citrate buffer (pH 6.0). Section was blocked with 10% normal goat serum 30min at RT. Then primary antibody (1% BSA) was incubated at 4°C overnight. The primary is detected by a Goat anti-rabbit polymer IgG labeled by HRP and visualized using 0.05% DAB.
Have Questions? Leave a Message or Start an on-line Chat

Product Details

Uniprot No.
Target Names
SLC4A1
Alternative Names
AE 1 antibody; AE1 antibody; Anion exchange protein 1 antibody; Anion exchanger 1 antibody; B3AT_HUMAN antibody; Band 3 anion transport protein antibody; Band 3 antibody; BND3 antibody; CD233 antibody; DI antibody; Diego blood group antibody; EMPB3 antibody; EPB3 antibody; Erythrocyte membrane protein band 3 antibody; Erythroid anion exchange protein antibody; FR antibody; Froese blood group antibody; RTA1A antibody; SLC4A1 antibody; Solute carrier family 4 anion exchanger member 1 antibody; Solute carrier family 4 member 1 antibody; SW antibody; Swann blood group antibody; Waldner blood group antibody; WD antibody; WD1 antibody; WR antibody; Wright blood group antibody
Species Reactivity
Human, Mouse
Immunogen
A synthesized peptide from human SLC4A1 protein
Immunogen Species
Homo sapiens (Human)
Conjugate
Non-conjugated
Clonality
Monoclonal
Isotype
Rabbit IgG
Clone No.
2A5
Purification Method
Affinity-chromatography
Concentration
It differs from different batches. Please contact us to confirm it.
Buffer
Rabbit IgG in 10mM phosphate buffered saline , pH 7.4, 150mM sodium chloride, 0.05% BSA, 0.02% sodium azide and 50% glycerol.
Form
Liquid
Tested Applications
ELISA, WB, IHC
Recommended Dilution
Application Recommended Dilution
WB 1:500-1:5000
IHC 1:50-1:200
Troubleshooting and FAQs
Storage
Upon receipt, store at -20°C or -80°C. Avoid repeated freeze.
Lead Time
Basically, we can dispatch the products out in 1-3 working days after receiving your orders. Delivery time maybe differs from different purchasing way or location, please kindly consult your local distributors for specific delivery time.
Usage
For Research Use Only. Not for use in diagnostic or therapeutic procedures.

Customer Reviews and Q&A

 Customer Reviews

There are currently no reviews for this product.

Submit a Review here

Target Background

Function
Functions both as a transporter that mediates electroneutral anion exchange across the cell membrane and as a structural protein. Major integral membrane glycoprotein of the erythrocyte membrane; required for normal flexibility and stability of the erythrocyte membrane and for normal erythrocyte shape via the interactions of its cytoplasmic domain with cytoskeletal proteins, glycolytic enzymes, and hemoglobin. Functions as a transporter that mediates the 1:1 exchange of inorganic anions across the erythrocyte membrane. Mediates chloride-bicarbonate exchange in the kidney, and is required for normal acidification of the urine.
Gene References into Functions
  1. Molecular mechanism for the red blood cell senescence clock mediated by the SLC4A1 structural changes has been summarized. (Review) PMID: 29240292
  2. we show that stomatin modulates the transport activity of AE1 through a direct protein-protein interaction. PMID: 28387307
  3. SLC4A1 is the most common defective gene in Korean children with Distal Renal Tubular Acidosis. Patients with SLC4A1 mutations show later onset and milder disease severity. Long-term follow-up of hearing ability, renal function, and growth is necessary for patients with dRTA. PMID: 29627839
  4. this study shows functional importance of PDLIM5 for proper kAE1 membrane residency, as a crucial linker between kidney AE1 and actin cytoskeleton-associated proteins in polarized cells PMID: 28045035
  5. The patient was triply homozygous for the loss-of-function mutation, c.2102G>A (p.Gly701Asp) as well as for two benign variations, c.92T>C (p.Met31Thr) and c.166A>C (p.Lys56Glu). PMID: 29573245
  6. The promoter regions of the kidney anion exchanger 1 gene with the minor allele A at rs999716 downstream of the TATA box showed reduced promoter activities compared that with the major allele G. PMID: 27767102
  7. Here, we present the 4.1-A resolution crystal structure of Arabidopsis thaliana Bor1. The structure displays a dimeric architecture in which dimerization is mediated by centralized Gate domains. Comparisons with a structure of Band 3 in an outward-open state reveal that the Core domains of Bor1 have rotated inwards to achieve an occluded state. PMID: 27601653
  8. function of AQP1 in tonicity response could be coupled or correlated to its function in band 3-mediated CO2/HCO3(-) exchange PMID: 28596233
  9. Results from zero-length chemical crosslinking of erythrocyte membranes, homology modeling, and known domain structures allow to deduce a structure for full-length of SLC4A1. Interaction between AE1 dimers and ankyrin-1 indicate the likely topology for AE1 tetramers and suggest that ankyrin-1 wraps around AE1 tetramers, which may stabilize this oligomer state. PMID: 27989623
  10. The aim of this work was to analyze the prevalence of genetic defects in SLC4A1, ATP6V0A4, and ATP6V1B1 genes and to assess the clinical phenotype of distal renal tubular acidosis patients that are eventually typical of the different genetic forms of the disease. PMID: 28233610
  11. These results suggested the possible involvement of Band3 in the transport of Sphingosine 1-phosphate, a multi-functional bioactive phospholipid, from erythrocytes. PMID: 28494002
  12. the results of the present study suggest that the diffuse expression of AE1 is related to a worse prognosis in patients with advanced esophageal squamous cell carcinoma, and that it regulates tumor progression by affecting MAPK and Hedgehog signaling pathways. These results provide an insight into the role of AE1 as a mediator of and/or a biomarker for esophageal squamous cell carcinoma. PMID: 28160546
  13. study reports the R589H mutation in SLC4A1 gene in families with hereditary distal renal tubular acidosis for the first time in China PMID: 28407820
  14. Forced FOG1 protein expression in K562 erythroleukemia cells induced the expression of SLC4A1 protein, but repressed that of transcription factor PU.1. PMID: 28216155
  15. Nonsense mutation in exon 12 of SLC4A1 gene is associated with severe hemolytic anemia, dyserythropoiesis and complete distal renal tubular acidosis. PMID: 27718309
  16. While weak interactions between glycophorin and band 3 undoubtedly exist, glycophorin A and band 3 must have separate interactions in the membrane that control their lateral mobility. PMID: 27580023
  17. three merozoite proteins (PvTRAg36, PvATRAg74, and PvTRAg38) of this family interact with Band 3 on human erythrocytes through its three exofacial loops. PMID: 27545606
  18. with exacerbation of the oxidative stress during vaso-occlusive crises in sickle cell anaemia patients, the higher concentration of harmful circulating RBC-derived microparticles and the reduced anti-band 3 autoantibodies levels may be both related to the recruitment of oxidized band 3 into membrane aggregates. PMID: 27984639
  19. We propose that, in polarized renal epithelial cells, the apically mistargeted kAE1 R901X mutant is endocytosed faster than kAE1 WT and its recycling to the basolateral membrane is delayed. This resets the equilibrium, such that kAE1 R901X resides predominantly in an endomembrane compartment, thereby likely participating in development of dRTA disease. PMID: 26984737
  20. The conformational dynamics of signal-anchor transmembrane segment 1 of SLC4A1 protein of the Southeast Asian ovalocytosis red blood cells has been reported. PMID: 28068080
  21. Data indicate that the interaction of Zn(2+) ion with His-651 residue of band 3 plays an important role in the Zn(2+)-induced agglutination of erythrocytes. PMID: 26859120
  22. Syk inhibitor suppressed the phosphorylation of band 3 also preventing serine phosphorylation changes and hemolysis. PMID: 27034738
  23. The evolutionary origin of Southeast Asian Ovalocytosis, characterizing DNA sequence variation around the causal mutation in the SLC4A1 gene. PMID: 26047685
  24. This study is considered as a pilot study showing the importance of AE1 mutations in Iranian children with DRTA. PMID: 25957428
  25. The authors demonstrate that the initial vacuolar membrane around internalized Babesia divergens is formed from protein and lipid components of the red blood cells plasma membrane, including band 3, glycophorin A and spectrin. PMID: 25628009
  26. this study reports the crystal structure of the band 3 anion exchanger domain (AE1(CTD)) at 3.5 angstroms. PMID: 26542571
  27. Deficiency in Band 3 is associated with Hereditary Spherocytosis. PMID: 25344524
  28. Results indicate that Tryptophan residues play differential roles in AE1 expression and function depending on their location in the protein and that Trp mutants with low expression are misfolded and retained in the endoplasmic reticulum. PMID: 25257781
  29. Kidney AE1 actually associates with epithelial ankyrin-G and renal ammonium transporter RhBG, which also binds ankyrin-G. PMID: 25616663
  30. Activities of AE1 and the sodium pump are coregulated in kidney. PMID: 25012180
  31. The study reports the refinement for a protein heterodimer complex using limited EPR spectroscopic data and a rigid-body docking algorithm: a three-dimensional model for an ankyrin 1-BND3 complex. PMID: 24758720
  32. Partial pyruvate kinase deficiency aggravates the phenotypic expression of band 3 deficiency in a family with hereditary spherocytosis. PMID: 25388786
  33. kidney AE1 G701D mutant which accumulates predominantly in the Golgi and partially in the endoplasmic reticulum, is prematurely degraded by the lysosome and the proteasome. PMID: 24920676
  34. In 12% of our thalassemia major patients, we found two bands in the agarose gel-electrophoresis of PCR products from band 3 gene with a difference of 65 +/- 10 bp, equivalent to a deletion of 20 to 25 amino acids in band 3 protein. PMID: 24964668
  35. Stopped-flow led to measurement of rapid transport kinetics using the natural substrate for AE1. PMID: 23842529
  36. A substrate access tunnel in the cytosolic domain is not an essential feature of the solute carrier 4 (SLC4) family of bicarbonate transporters. PMID: 24121512
  37. SLC4A1 gene was a poor candidate for screening as our patients presented severe metabolic acidosis early in life. PMID: 24252324
  38. analysis of anion exchanger 1 (SLC4A1) transmembrane segments that form the transport site PMID: 23846695
  39. A heterozygous SLC4A1(E508K) mutation (gene encoding erythrocyte membrane protein band 3) was found. PMID: 23878048
  40. Trafficking of intracellularly retained distal renal tubular acidosis kAE1 mutants can be partially restored. PMID: 23460825
  41. Study developed a three-dimensional homology model of the AE1 membrane domain, using the Escherichia coli ClC channel structure as a template and conclude that AE1 has a similar protein fold to ClC chloride channels. PMID: 23583773
  42. description of 15 previously unknown mutations in SLC4A1 in hereditary spherocytosis patients; this genetic association study was conducted in the Netherlands [LETTER] PMID: 23255290
  43. The level of band 3 protein was positively correlated with physical activity and negatively correlated with systolic blood pressure. PMID: 21695904
  44. Deoxygenation of erythrocytes results in displacement of ankyrin from band 3 in the cytoskeleton. PMID: 23013433
  45. Results suggest that mutations in this gene cause morphological changes in erythrocytes and these may afford some protection against malaria PMID: 22919024
  46. Residues 63-73 of cdB3 is also essential for ankyrin binding. PMID: 22861190
  47. 1st report of distal renal tubular acidosis patients with compound heterozygous conditions in mainland China. 2 novel SLC4A1 mutations (G494S & D905dup) were identified. PMID: 22609520
  48. There is evidence that Southeast Asian ovalocytosis (SAO) erythrocytes are resistant to multiple Plasmodium species. Here we analyze SLC4A1 in 23 primates and mammals to test for differential selective pressures among different primate lineages. PMID: 22426110
  49. Mutation conferring apical-targeting motif on AE1 exchanger causes autosomal dominant distal renal tubular acidosis. PMID: 22518001
  50. a thiol-mediated and energy-dependent membrane transport of selenium by erythroid anion exchanger 1 PMID: 22580993

Show More

Hide All

Involvement in disease
Ovalocytosis, Southeast Asian (SAO); Spherocytosis 4 (SPH4); Renal tubular acidosis, distal, autosomal dominant (AD-dRTA); Renal tubular acidosis, distal, with hemolytic anemia (dRTA-HA); Renal tubular acidosis, distal, with normal red cell morphology (dRTA-NRC); Cryohydrocytosis (CHC)
Subcellular Location
Cell membrane; Multi-pass membrane protein. Basolateral cell membrane; Multi-pass membrane protein.
Protein Families
Anion exchanger (TC 2.A.31) family
Tissue Specificity
Detected in erythrocytes (at protein level).; [Isoform 2]: Expressed in kidney (at protein level).
Database Links

HGNC: 11027

OMIM: 109270

KEGG: hsa:6521

STRING: 9606.ENSP00000262418

UniGene: Hs.210751

icon of phone
Call us
301-363-4651 (Available 9 a.m. to 5 p.m. CST from Monday to Friday)
icon of address
Address
7505 Fannin St., Ste 610, Room 7 (CUBIO Innovation Center), Houston, TX 77054, USA
icon of social media
Join us with

Subscribe newsletter

Leave a message

* To protect against spam, please pass the CAPTCHA test below.
CAPTCHA verification
© 2007-2025 CUSABIO TECHNOLOGY LLC All rights reserved. 鄂ICP备15011166号-1
×
Place an order now

I. Product details

*
*
*
*

II. Contact details

*
*

III. Ship To

*
*
*
*
*
*
*

IV. Bill To

*
*
*
*
*
*
*
*