STX3 Recombinant Monoclonal Antibody

Code CSB-RA280045A0HU
Size US$210
Order now
Image
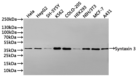
  • Western Blot
    Positive WB detected in: Hela whole cell lysate(30µg), HepG2 whole cell lysate(30µg), SH-SY5Y whole cell lysate(30µg), K562 whole cell lysate(30µg), whole cell lysate(30µg), COLO-205 whole cell lysate(30µg), HEK293 whole cell lysate(30µg), NIH/3T3 whole cell lysate(30µg), MCF-7 whole cell lysate(30µg), A431 whole cell lysate(30µg)
    All lanes: Syntaxin 3 antibody at 1:1000
    Secondary
    Goat polyclonal to rabbit IgG at 1/40000 dilution
    Predicted band size: 33 kDa
    Observed band size: 36 kDa
    Exposure time:3min
  • Overlay Peak curve showing A431 cells stained with CSB-RA280045A0HU (red line) at 1:100. The cells were fixed in 4% formaldehyde and permeated by 0.2% TritonX-100 for 10min. Then 10% normal goat serum to block non-specific protein-protein interactions followed by the antibody (1ug/1*106cells) for 45min at 4℃. The secondary antibody used was FITC-conjugated goat anti-rabbit IgG (H+L) at 1/200 dilution for 35min at 4℃.Control antibody (green line) was Rabbit IgG (1ug/1*106cells) used under the same conditions. Acquisition of >10,000 events was performed.
Have Questions? Leave a Message or Start an on-line Chat

Product Details

Uniprot No.
Target Names
Alternative Names
Syntaxin-3, STX3, STX3A
Species Reactivity
Human
Immunogen
Recombinant Antibody
Immunogen Species
Homo sapiens (Human)
Conjugate
Non-conjugated
Clonality
Monoclonal
Isotype
Rabbit IgG
Clone No.
20C10
Purification Method
Affinity-chromatography
Concentration
It differs from different batches. Please contact us to confirm it.
Buffer
Preservative: 0.03% Proclin 300
Constituents: 50% Glycerol, 0.01M PBS, PH 7.4
Form
Liquid
Tested Applications
ELISA, WB, FC
Recommended Dilution
Application Recommended Dilution
WB 1:500-1:5000
FC 1:50-1:200
Troubleshooting and FAQs
Storage
Upon receipt, store at -20°C or -80°C. Avoid repeated freeze.
Lead Time
Basically, we can dispatch the products out in 1-3 working days after receiving your orders. Delivery time maybe differs from different purchasing way or location, please kindly consult your local distributors for specific delivery time.
Usage
For Research Use Only. Not for use in diagnostic or therapeutic procedures.

Customer Reviews and Q&A

 Customer Reviews

There are currently no reviews for this product.

Submit a Review here

Target Background

Function
Potentially involved in docking of synaptic vesicles at presynaptic active zones.
Gene References into Functions
  1. Stx3S is differentially expressed in normal human tissues, during epithelial cell polarization, and in breast cancer versus normal breast tissue. Inhibition of endogenous Stx3S expression alters the expression of cancer-associated genes and promotes cell proliferation. PMID: 29475951
  2. mechanism study shows that STX3 binds to PTEN and increases PTEN ubiquitination and degradation, thus leading to activation of the PI3K-Akt-mTOR signaling. Therefore, STX3 promotes the growth of breast cancer cells by regulating the PTEN-PI3K-Akt-mTOR signaling. PMID: 29408595
  3. we report for the first time a missense mutation of a novel lens specific gene STX3 in a phenotype associating autosomal recessive congenital cataract and intellectual disability. PMID: 25358429
  4. GLUT5 required an interaction cascade of Rab11, Myo5B, Slp4a, Munc18-2, and Vamp7 with Stx3. PMID: 26553929
  5. Rab11a-knockdown cells displayed mislocalization of STX3 and the presentation of microvilli in the basolateral compartment PMID: 25673875
  6. the secretion of IL-1alpha, IL-1beta, IL-12b, and CCL4 occurs during gelatinase degranulation, a process controlled by STX3. PMID: 25548252
  7. The results showed that there was reduction in aggregation propensity of syntaxin-3 with point mutation at Val286. PMID: 25630102
  8. hcmv-miR-US33-5p-mediated inhibition of HCMV DNA synthesis and of viral replication are specifically mediated by down-regulation of STX3 expression. PMID: 25583387
  9. loss of STX3 function causes variant microvillus inclusion disease PMID: 24726755
  10. syntaxin3 has a latent prosurvival function and is involved in maintenance of homeostasis in epidermal keratinocytes PMID: 24171760
  11. In insulin secretion, SYN-3 plays a role in the mediation of newcomer SG exocytosis and SG-SG fusion that contributes to biphasic GSIS. PMID: 23132338
  12. siRNA knockdown (KD) of syntaxins 3 and 4 in HeLa cells reduced cell surface expression of alpha5beta1 and alpha3beta1 integrins PMID: 21720706
  13. STX-3 and SNAP-23 are crucial for the release of all chemokines in mature human mast cells PMID: 21981832
  14. These results demonstrate a function for STX3 in human cytomegalovirus morphogenesis, and unravel a new role for this SNARE protein in late endosomes/lysosomes compartments. PMID: 21371234
  15. syntaxin 3 interacts with CFTR in vivo. PMID: 20844248
  16. Munc18b is functionally coupled to the assembly of exocytic SNARE complexes and increases exocytosis by interacting with the N-peptide and closed-conformation C-terminus of Stx3, thereby neutralizing the secretion-inhibitory effect of this SNARE. PMID: 20695848
  17. Data show that the BCG phagosome is relatively depleted in LAMP-2, NPC1, flotillin-1, vATPase, and syntaxin 3. PMID: 19815536

Show More

Hide All

Subcellular Location
Membrane; Single-pass type IV membrane protein.
Protein Families
Syntaxin family
Database Links

HGNC: 11438

OMIM: 600876

KEGG: hsa:6809

STRING: 9606.ENSP00000338562

UniGene: Hs.180711

icon of phone
Call us
301-363-4651 (Available 9 a.m. to 5 p.m. CST from Monday to Friday)
icon of address
Address
7505 Fannin St., Ste 610, Room 7 (CUBIO Innovation Center), Houston, TX 77054, USA
icon of social media
Join us with

Subscribe newsletter

Leave a message

* To protect against spam, please pass the CAPTCHA test below.
CAPTCHA verification
© 2007-2025 CUSABIO TECHNOLOGY LLC All rights reserved. 鄂ICP备15011166号-1
×
Place an order now

I. Product details

*
*
*
*

II. Contact details

*
*

III. Ship To

*
*
*
*
*
*
*

IV. Bill To

*
*
*
*
*
*
*
*