THOC1 Recombinant Monoclonal Antibody

Code CSB-RA249394A0HU
Size US$210
Order now
Image
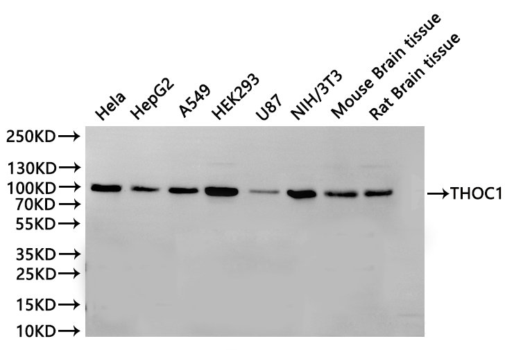
  • Western Blot
    Positive WB detected in: Hela whole cell lysate(30µg), HepG2 whole cell lysate(30µg), A549 whole cell lysate(30µg), HEK293 whole cell lysate(30µg), U-87MG whole cell lysate(30µg), NIH/3T3 whole cell lysate(30µg), Mouse brain tissue lysate(30µg), Rat brain tissue lysate(30µg)
    All lanes: THOC1 antibody at 1:1000
    Secondary
    Goat polyclonal to rabbit IgG at 1/40000 dilution
    Predicted band size: 76 kDa
    Observed band size: 100 kDa
    Exposure time:2min
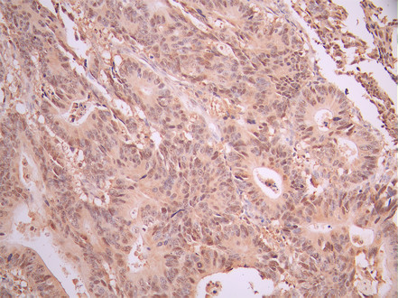
  • IHC image of CSB-RA249394A0HU diluted at 1:100 and staining in paraffin-embedded human colorectal cancer performed on a Leica BondTM system. After dewaxing and hydration, antigen retrieval was mediated by high pressure in a citrate buffer (pH 6.0). Section was blocked with 10% normal goat serum 30min at RT. Then primary antibody (1% BSA) was incubated at 4°C overnight. The primary is detected by a Goat anti-rabbit polymer IgG labeled by HRP and visualized using 0.05% DAB.
  • Overlay Peak curve showing Hela cells stained with CSB-RA249394A0HU (red line) at 1:100. The cells were fixed in 4% formaldehyde and permeated by 0.2% TritonX-100 for 10min. Then 10% normal goat serum to block non-specific protein-protein interactions followed by the antibody (1ug/1*106cells) for 45min at 4℃. The secondary antibody used was FITC-conjugated goat anti-rabbit IgG (H+L) at 1/200 dilution for 35min at 4℃.Control antibody (green line) was Rabbit IgG (1ug/1*106cells) used under the same conditions. Acquisition of >10, 000 events was performed.
Have Questions? Leave a Message or Start an on-line Chat

Product Details

Uniprot No.
Target Names
THOC1
Alternative Names
hTREX84 antibody; Death domain containing protein p84N5 antibody; HPR 1 antibody; HPR1 antibody; hTREX84 antibody; Nuclear matrix protein p84 antibody; P84 antibody; p84N5 antibody; Tho 1 antibody; THO complex 1 antibody; THO complex subunit 1 antibody; Tho1 antibody; THOC 1 antibody; Thoc1 antibody; THOC1_HUMAN antibody
Species Reactivity
Human, Mouse, Rat
Immunogen
A synthesized peptide from human THOC1 protein
Immunogen Species
Homo sapiens (Human)
Conjugate
Non-conjugated
Clonality
Monoclonal
Isotype
Rabbit IgG
Clone No.
10E1
Purification Method
Affinity-chromatography
Concentration
It differs from different batches. Please contact us to confirm it.
Buffer
Rabbit IgG in 10mM phosphate buffered saline , pH 7.4, 150mM sodium chloride, 0.05% BSA, 0.02% sodium azide and 50% glycerol.
Form
Liquid
Tested Applications
ELISA, WB, IHC, FC
Recommended Dilution
Application Recommended Dilution
WB 1:500-1:5000
IHC 1:50-1:200
FC 1:50-1:200
Troubleshooting and FAQs
Storage
Upon receipt, store at -20°C or -80°C. Avoid repeated freeze.
Lead Time
Basically, we can dispatch the products out in 1-3 working days after receiving your orders. Delivery time maybe differs from different purchasing way or location, please kindly consult your local distributors for specific delivery time.
Usage
For Research Use Only. Not for use in diagnostic or therapeutic procedures.

Customer Reviews and Q&A

 Customer Reviews

There are currently no reviews for this product.

Submit a Review here

Target Background

Function
Required for efficient export of polyadenylated RNA. Acts as component of the THO subcomplex of the TREX complex which is thought to couple mRNA transcription, processing and nuclear export, and which specifically associates with spliced mRNA and not with unspliced pre-mRNA. TREX is recruited to spliced mRNAs by a transcription-independent mechanism, binds to mRNA upstream of the exon-junction complex (EJC) and is recruited in a splicing- and cap-dependent manner to a region near the 5' end of the mRNA where it functions in mRNA export to the cytoplasm via the TAP/NFX1 pathway. The TREX complex is essential for the export of Kaposi's sarcoma-associated herpesvirus (KSHV) intronless mRNAs and infectious virus production. Regulates transcriptional elongation of a subset of genes. Involved in genome stability by preventing co-transcriptional R-loop formation.; Participates in an apoptotic pathway which is characterized by activation of caspase-6, increases in the expression of BAK1 and BCL2L1 and activation of NF-kappa-B. This pathway does not require p53/TP53, nor does the presence of p53/TP53 affect the efficiency of cell killing. Activates a G2/M cell cycle checkpoint prior to the onset of apoptosis. Apoptosis is inhibited by association with RB1.
Gene References into Functions
  1. THO interacts with the Sin3A histone deacetylase complex to suppress co-transcriptional R-loops, DNA damage, and replication impairment. Functional analyses show that histone hypo-acetylation prevents accumulation of harmful R-loops and RNA-mediated genomic instability. PMID: 29074626
  2. Colorectal cancer patients with high levels of Thoc1 expression had poorer overall-survival and disease-free survival, whereas those with lower levels of Thoc1 expression survived longer. PMID: 26545775
  3. In humans, high THOC1 protein expression associates with prostate cancer aggressiveness and recurrence. Thus, THOC1 protein is a molecular marker that may improve the identification of aggressive prostate cancers, potentially reducing overtreatment. PMID: 25296641
  4. Thoc1 inhibits cell growth via induction of cell cycle arrest and apoptosis in lung cancer cells. PMID: 24682263
  5. This suggests NEDD4-1 functions in conjunction with other post-translational mechanisms to regulate Thoc1 protein and THO activity. PMID: 23460917
  6. overexpression of hTREX84 is associated with cancer cell transformation, proliferation and may be regulated by RelA/p65 PMID: 22952718
  7. We show that human THO depletion impairs transcription elongation and mRNA export and increases instability associated with DNA breaks, leading to hyper-recombination and gammaH2AX and 53BP1 foci accumulation PMID: 22144908
  8. A differential connection between tumorogenesis and the expression levels of human THO and ALY. PMID: 21329510
  9. hHpr1/p84/Thoc1 regulates transcriptional elongation and may participate in a protein complex functionally analogous to yeast TREX, physically linking elongating RNA polymerase II with RNA processing factors PMID: 15870275
  10. recruitment of the human TREX complex to spliced mRNA is not directly coupled to transcription, but is instead coupled to transcription indirectly through splicing PMID: 15998806
  11. Thoc1 may be important for neoplastic transformation PMID: 17638875
  12. Cells respond to AAV infection by activating two DNA damage signaling cascades. The first activates the p84N5 protein, which in turn activates caspase-6, leading to cell death. PMID: 17699767
  13. elevated expression of hHpr1/p84/Thoc1 is common in NSCLC and may have prognostic significance in subgroups of patients PMID: 18469354

Show More

Hide All

Subcellular Location
[Isoform 1]: Nucleus speckle. Nucleus, nucleoplasm. Nucleus matrix. Cytoplasm. Note=Can shuttle between the nucleus and cytoplasm. Nuclear localization is required for induction of apoptotic cell death. Translocates to the cytoplasm during the early phase of apoptosis execution.; [Isoform 2]: Cytoplasm.
Tissue Specificity
Ubiquitous. Expressed in various cancer cell lines. Expressed at very low levels in normal breast epithelial cells and highly expressed in breast tumors. Expression is strongly associated with an aggressive phenotype of breast tumors and expression correl
Database Links

HGNC: 19070

OMIM: 606930

KEGG: hsa:9984

STRING: 9606.ENSP00000261600

UniGene: Hs.712543

icon of phone
Call us
301-363-4651 (Available 9 a.m. to 5 p.m. CST from Monday to Friday)
icon of address
Address
7505 Fannin St., Ste 610, Room 7 (CUBIO Innovation Center), Houston, TX 77054, USA
icon of social media
Join us with

Subscribe newsletter

Leave a message

* To protect against spam, please pass the CAPTCHA test below.
CAPTCHA verification
© 2007-2025 CUSABIO TECHNOLOGY LLC All rights reserved. 鄂ICP备15011166号-1
×
Place an order now

I. Product details

*
*
*
*

II. Contact details

*
*

III. Ship To

*
*
*
*
*
*
*

IV. Bill To

*
*
*
*
*
*
*
*