THY1 Recombinant Monoclonal Antibody

Code CSB-RA151335A0HU
Size US$210
Order now
Image
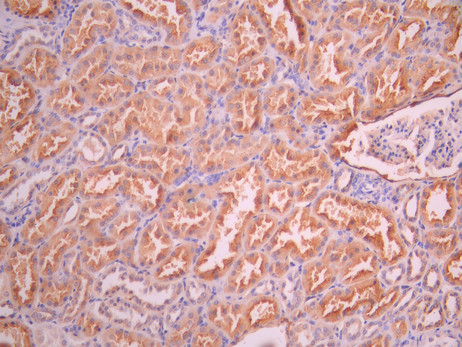
  • IHC image of CSB-RA151335A0HU diluted at 1:100 and staining in paraffin-embedded human kidney tissue performed on a Leica BondTM system. After dewaxing and hydration, antigen retrieval was mediated by high pressure in a citrate buffer (pH 6.0). Section was blocked with 10% normal goat serum 30min at RT. Then primary antibody (1% BSA) was incubated at 4°C overnight. The primary is detected by a Goat anti-rabbit polymer IgG labeled by HRP and visualized using 0.05% DAB.
Have Questions? Leave a Message or Start an on-line Chat

Product Details

Uniprot No.
Target Names
Alternative Names
CD7 antibody; CD90 antibody; CD90 antigen antibody; CDw90 antibody; FLJ33325 antibody; MGC128895 antibody; T25 antibody; Theta antigen antibody; Thy 1 antibody; Thy 1 cell surface antigen antibody; Thy 1 membrane glycoprotein antibody; Thy 1 T cell antigen antibody; Thy 1.2 antibody; Thy-1 antigen antibody; Thy-1 membrane glycoprotein antibody; Thy1 antibody; Thy1 antigen antibody; Thy1 T cell antigen antibody; Thy1.1 antibody; Thy1.2 antibody; THY1_HUMAN antibody; Thymus cell antigen 1, theta antibody
Species Reactivity
Human
Immunogen
A synthesized peptide from human THY1 protein
Immunogen Species
Homo sapiens (Human)
Conjugate
Non-conjugated
Clonality
Monoclonal
Isotype
Rabbit IgG
Clone No.
15B3
Purification Method
Affinity-chromatography
Concentration
It differs from different batches. Please contact us to confirm it.
Buffer
Rabbit IgG in 10mM phosphate buffered saline , pH 7.4, 150mM sodium chloride, 0.05% BSA, 0.02% sodium azide and 50% glycerol.
Form
Liquid
Tested Applications
ELISA, IHC
Recommended Dilution
Application Recommended Dilution
IHC 1:50-1:200
Troubleshooting and FAQs
Storage
Upon receipt, store at -20°C or -80°C. Avoid repeated freeze.
Lead Time
Basically, we can dispatch the products out in 1-3 working days after receiving your orders. Delivery time maybe differs from different purchasing way or location, please kindly consult your local distributors for specific delivery time.
Usage
For Research Use Only. Not for use in diagnostic or therapeutic procedures.

Customer Reviews and Q&A

 Customer Reviews

There are currently no reviews for this product.

Submit a Review here

Target Background

Function
May play a role in cell-cell or cell-ligand interactions during synaptogenesis and other events in the brain.
Gene References into Functions
  1. High CD90 expression is associated with lymph node metastasis in intrahepatic cholangiocarcinoma. PMID: 30196535
  2. Data indicate that CD90 is an actor of glioblastoma (GBM) invasiveness through SRC-dependent mechanisms. PMID: 28939749
  3. Results show that CD90 distinguishes two interrelated, yet functionally distinct pericyte populations in the adult human brain that may have discrete roles in neurovascular function, immune response and scar formation. PMID: 27215737
  4. number of Thy-1(+) human peritoneal fibroblasts increased significantly in peritoneal dialysis patients PMID: 28724609
  5. CD90, CD166, and GD2 were identified as potential cancer stem cell markers. PMID: 27049037
  6. hese results suggest that LNGFR(+)THY-1(+) cells identified following NCLC induction from ESCs/iPSCs shared similar potentials with multipotent MSCs. PMID: 27178356
  7. High THY1 expression is associated with lung cancer. PMID: 27513329
  8. co-expression of CD90 and CD24 may have an important role in the development and progression of pancreatic intraepithelial neoplasia. PMID: 27332878
  9. Low CD90 expression is associated with ovarian cancer. PMID: 27633757
  10. Positive Thy1 and CD49f expression is significantly associated with the progression and poor prognosis of chondrosarcoma. PMID: 27155928
  11. CD90 could be used as a potential biomarker for Hepatocellular Carcinoma liver cancer stem cells, and cancer stem cell activity was elevated through up activated Notch pathway in CD90+ liver cancer stem cells. PMID: 26848615
  12. CD90 controls the differentiation of mesenchymal stromal cells by acting as an obstacle in the pathway of differentiation commitment. PMID: 27465541
  13. CD105+/CD90+ subpopulation from breast cancer MDA-MB-231 cells possesses "mesenchymal stem cell-like" characteristics, and its high migratory ability might be associated with epithelial-mesenchymal transformation. PMID: 26191205
  14. we found that THY-1 mediates human cytomegalovirus infection at the entry step and is important for infection PMID: 26147640
  15. CD90+ liver cancer cells modulate endothelial cell phenotype through the release of exosomes containing H19 lncRNA. PMID: 26272696
  16. CD90 could serve as a promising marker for pancreatic adenocarcinoma. PMID: 25536077
  17. Dynamic catch of a Thy-1-integrin alpha5beta1+syndecan-4 trimolecular complex explains extraordinary cancer cell adhesion to the vascular endothelium. PMID: 25216363
  18. these data suggest that CD90+CXCR4+ HCC cells may be CTSCs and selective elimination of these cells may substantially improve the current hepatocellular carcinoma therapy by reducing cancer metastasis. PMID: 25672610
  19. CD133, CD44, and CD90 could be used as prognostic and predictive markers in hepatoblastoma. PMID: 25168019
  20. Wnt/beta-catenin aids in regulating the proliferation of hepG2 cells mediated by thy-1. PMID: 25061736
  21. THY1 may be a promising novel prognostic marker for male breast cancer. PMID: 24194916
  22. We found that the vast majority of CD90(+) dermal cells are perivascularly located and generate a significantly higher percentage of regulatory T cells compared with cells expressing markers such as CD271 in vitro. PMID: 25050599
  23. TLR4 activation enhances the PD-L1-mediated tolerogenic capacity of colonic CD90+ stromal cells. PMID: 25070848
  24. In the present study we analyzed the expression of four cell surface antigens relevant to human hematopoiesis-CD90, CD96, CD117, and CD123-in bone marrow from pediatric acute myeloid leukemia patients and normal control subjects. PMID: 24751333
  25. Results indicate the importance of CD90 in the hepatocellular carcinoma (HCC). PMID: 24116172
  26. These findings suggest that CD90 could be a potential marker of lung cancer stem cells and thus provide new insight into further therapeutic strategies of lung cancer. PMID: 24101104
  27. CD90 is a diagnostic marker to differentiate between malignant pleural mesothelioma and lung carcinoma with immunohistochemistry. PMID: 24045552
  28. These results indicate that suppression of the RhoA-mediated pathway might participate in the Thy-1-induced migration inhibition in human umbilical vein endothelial cells. PMID: 23613866
  29. Positive correlation of Oct4 and ABCG2 to chemotherapeutic resistance in CD90(+)CD133(+) liver cancer stem cells. PMID: 23438193
  30. High CD90 tumor-initiating cell population is associated with an aggressive signature and metastatic capacity in esophageal cancer. PMID: 23382045
  31. We demonstrated that the expression of CSC marker CD90 is related to the expression of BORIS in hepatocellular carcinoma (HCC) tissue and HCC cell lines. PMID: 23237599
  32. Thy-1 contributes to metastasis of melanoma cells by mechanisms involving a Thy-1-mediated adhesion of melanoma cells to endothelial cells. PMID: 23159525
  33. concentrations were increased in the sera of systemic sclerosis patients, particularly in those with vascular involvement of the lungs PMID: 22807289
  34. an increased chondrogenic potential within the CD90+ fraction of human and canine synovial fluid mesenchymal progenitor cells PMID: 22952721
  35. The researchers demonstrate the role of CD90 as a marker of cancer stem cells within high-grade gliomas PMID: 22426060
  36. CD90 is not only a potential prognostic marker for high-grade gliomas but also a marker for cancer stem cells within gliomas PMID: 22203689
  37. human CD90 identifies a subset of Th17 and Tc17 cells within CD4(+) and CD8(+) T cells, respectively, which are depleted during HIV infection PMID: 22184726
  38. binding of leukocytes to activated endothelium mediated by the interaction of CD97 with Thy-1 is involved in firm adhesion of polymorphonuclear cells during inflammation and may play a role in the regulation of leukocyte trafficking to inflammatory sites. PMID: 22210915
  39. Data show that a cell population with the CD90 phenotype is enriched in sphere-cultured cells from gastric primary tumors. PMID: 21743497
  40. overexpression of Thy1 may not suppress the development of hepatocellular carcinoma(HCC) Thy1 could provide a clinical prognostic marker for HC PMID: 21272924
  41. Loss of Thy-1 in human lung fibroblasts induces a fibrogenic phenotype. PMID: 21577212
  42. we have identified a stromal cell type (CD90+ fibroblasts) and a molecule (CD90) that distinguishes cancer-associated stroma from 'benign' stroma in the prostate PMID: 20562849
  43. The decreased level of THY1 expression may be related with the occurrence and development of ovarian serous cystadenocarcinoma. PMID: 19538887
  44. Down-regulated/loss expression of THY1 protein in epithelial ovarian cancer is significantly correlated with cancer cell proliferation and metastasis in the epithelial ovarian cancer. PMID: 19615261
  45. Thy-1-integrin alpha(v)beta(5) interactions inhibit contraction-induced latent TGF-beta1 activation, presumably by blocking the binding of extracellular matrix-bound latent TGF-beta1 with integrin alpha(v)beta(5). PMID: 20463011
  46. Loss of expression of THY1 is associated with nasopharyngeal carcinoma. PMID: 19921696
  47. the distribution and proportion of CD90 positive cells in thyroid associated ophthalmopathy (TAO) and normal orbital tissue PMID: 17243294
  48. down-regulated KLF4, CHGA,GPX3, SST and LIPF, together with up-regulated SERPINH1, THY1 and INHBA is an 8-gene signature for gastric cancer PMID: 20043075
  49. Review article on CD90 structure and function. PMID: 11860231
  50. Thy-1/Thy-1 ligand interaction may play a role in adhesion of melanoma cells to endothelial cells PMID: 12074634

Show More

Hide All

Subcellular Location
Cell membrane; Lipid-anchor, GPI-anchor.
Database Links

HGNC: 11801

OMIM: 188230

KEGG: hsa:7070

STRING: 9606.ENSP00000284240

UniGene: Hs.644697

icon of phone
Call us
301-363-4651 (Available 9 a.m. to 5 p.m. CST from Monday to Friday)
icon of address
Address
7505 Fannin St., Ste 610, Room 7 (CUBIO Innovation Center), Houston, TX 77054, USA
icon of social media
Join us with

Subscribe newsletter

Leave a message

* To protect against spam, please pass the CAPTCHA test below.
CAPTCHA verification
© 2007-2025 CUSABIO TECHNOLOGY LLC All rights reserved. 鄂ICP备15011166号-1
×
Place an order now

I. Product details

*
*
*
*

II. Contact details

*
*

III. Ship To

*
*
*
*
*
*
*

IV. Bill To

*
*
*
*
*
*
*
*