TRMT2A Recombinant Monoclonal Antibody

Code CSB-RA223383A0HU
Size US$210
Order now
Image
  • Western Blot
    , Positive WB detected in:MCF7 whole cell lysate(30µg), Hela whole cell lysate(30µg)
    All lanes: TRMT2A antibody at 1:1000
    Secondary
    Goat polyclonal to rabbit IgG at 1/40000 dilution
    Predicted band size: 69 kDa
    Observed band size: 75 kDa
    Exposure time:60s
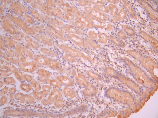
  • IHC image of CSB-RA223383A0HU diluted at 1:100 and staining in paraffin-embedded human stomach tissue performed on a Leica BondTM system. After dewaxing and hydration, antigen retrieval was mediated by high pressure in a citrate buffer (pH 6.0). Section was blocked with 10% normal goat serum 30min at RT. Then primary antibody (1% BSA) was incubated at 4°C overnight. The primary is detected by a Goat anti-rabbit polymer IgG labeled by HRP and visualized using 0.05% DAB.
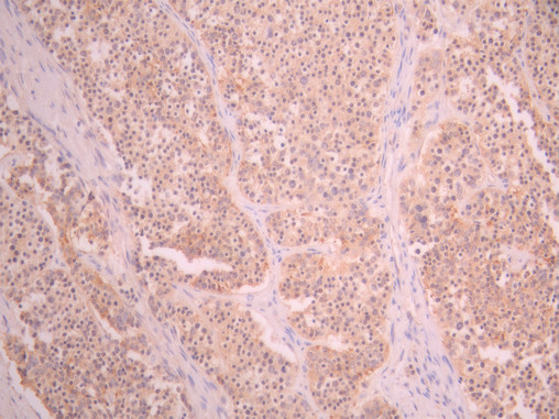
  • IHC image of CSB-RA223383A0HU diluted at 1:100 and staining in paraffin-embedded human liver cancer performed on a Leica BondTM system. After dewaxing and hydration, antigen retrieval was mediated by high pressure in a citrate buffer (pH 6.0). Section was blocked with 10% normal goat serum 30min at RT. Then primary antibody (1% BSA) was incubated at 4°C overnight. The primary is detected by a Goat anti-rabbit polymer IgG labeled by HRP and visualized using 0.05% DAB.
  • Immunofluorescence staining of HeLa cell with CSB-RA223383A0HU at 1:50 , counter-stained with DAPI. The cells were fixed in 4% formaldehyde, permeabilized using 0.2% Triton X-100 and blocked in 10% normal Goat Serum. The cells were then incubated with the antibody overnight at 4°C. The secondary antibody was Alexa Fluor 488-congugated AffiniPure Goat Anti-Rabbit IgG(H+L).
Have Questions? Leave a Message or Start an on-line Chat

Product Details

Uniprot No.
Target Names
TRMT2A
Alternative Names
HpaII tiny fragments locus 9c protein antibody; HTF9C antibody; TRM2 tRNA methyltransferase 2 homolog A (S. cerevisiae) antibody; TRM2 tRNA methyltransferase 2 homolog A antibody; TRM2A_HUMAN antibody; TRMT2A antibody; tRNA (uracil-5-)-methyltransferase homolog A antibody; tRNA methyltransferase 2 homolog A antibody; tRNA methyltransferase 2, S. cerevisiae, homolog of, A antibody
Species Reactivity
Human
Immunogen
A synthesized peptide from human TRMT2A protein
Immunogen Species
Homo sapiens (Human)
Conjugate
Non-conjugated
Clonality
Monoclonal
Isotype
Rabbit IgG
Clone No.
5B1
Purification Method
Affinity-chromatography
Concentration
It differs from different batches. Please contact us to confirm it.
Buffer
Rabbit IgG in 10mM phosphate buffered saline , pH 7.4, 150mM sodium chloride, 0.05% BSA, 0.02% sodium azide and 50% glycerol.
Form
Liquid
Tested Applications
ELISA, WB, IHC, IF
Recommended Dilution
Application Recommended Dilution
WB 1:500-1:5000
IHC 1:50-1:200
IF 1:50-1:200
Troubleshooting and FAQs
Storage
Upon receipt, store at -20°C or -80°C. Avoid repeated freeze.
Lead Time
Basically, we can dispatch the products out in 1-3 working days after receiving your orders. Delivery time maybe differs from different purchasing way or location, please kindly consult your local distributors for specific delivery time.
Usage
For Research Use Only. Not for use in diagnostic or therapeutic procedures.

Customer Reviews and Q&A

 Customer Reviews

There are currently no reviews for this product.

Submit a Review here

Target Background

Function
May be involved in nucleic acid metabolism and/or modifications.
Gene References into Functions
  1. TRMT2A staining showed a strong correlation with likelihood of recurrence at five years in 67 HER2+ breast cancer. PMID: 20307320
  2. Single nucleotid polymorphisms of this gene may be associated with a deficit in sustained attention within schizophrenia, in a Taiwanese cohort. PMID: 18075473
Protein Families
Class I-like SAM-binding methyltransferase superfamily, RNA M5U methyltransferase family
Database Links

HGNC: 24974

OMIM: 611151

KEGG: hsa:27037

STRING: 9606.ENSP00000252136

UniGene: Hs.713579

icon of phone
Call us
301-363-4651 (Available 9 a.m. to 5 p.m. CST from Monday to Friday)
icon of address
Address
7505 Fannin St., Ste 610, Room 7 (CUBIO Innovation Center), Houston, TX 77054, USA
icon of social media
Join us with

Subscribe newsletter

Leave a message

* To protect against spam, please pass the CAPTCHA test below.
CAPTCHA verification
© 2007-2025 CUSABIO TECHNOLOGY LLC All rights reserved. 鄂ICP备15011166号-1
×
Place an order now

I. Product details

*
*
*
*

II. Contact details

*
*

III. Ship To

*
*
*
*
*
*
*

IV. Bill To

*
*
*
*
*
*
*
*