TXNDC12 Recombinant Monoclonal Antibody

Code CSB-RA995859A0HU
Size US$210
Order now
Image
  • Western Blot
    Positive WB detected in: HepG2 whole cell lysate(30µg), HT-29 whole cell lysate(30µg), HEK293 whole cell lysate(30µg), U-251MG whole cell lysate(30µg), SH-SY5Y whole cell lysate(30µg), K562 whole cell lysate(30µg), Rat liver tissue lysate(30µg)
    All lanes:TXNDC12 antibody at 1:1000
    Secondary
    Goat polyclonal to rabbit IgG at 1/40000 dilution
    Predicted band size: 19 kDa
    Observed band size: 19 kDa
    Exposure time:3min
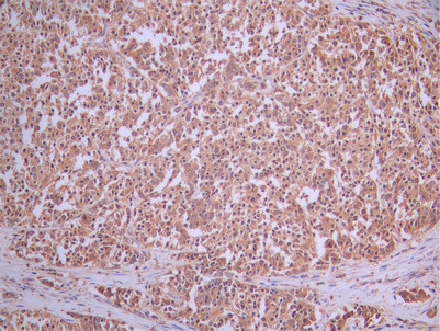
  • IHC image of CSB-RA995859A0HU diluted at 1:100 and staining in paraffin-embedded human liver cancer performed on a Leica BondTM system. After dewaxing and hydration, antigen retrieval was mediated by high pressure in a citrate buffer (pH 6.0). Section was blocked with 10% normal goat serum 30min at RT. Then primary antibody (1% BSA) was incubated at 4°C overnight. The primary is detected by a Goat anti-rabbit polymer IgG labeled by HRP and visualized using 0.05% DAB.
  • Overlay Peak curve showing HepG2 cells stained with CSB-RA995859A0HU (red line) at 1:100. The cells were fixed in 4% formaldehyde and permeated by 0.2% TritonX-100 for 10min. Then 10% normal goat serum to block non-specific protein-protein interactions followed by the antibody (1ug/1*106cells) for 45min at 4℃. The secondary antibody used was FITC-conjugated goat anti-rabbit IgG (H+L) at 1/200 dilution for 35min at 4℃.Control antibody (green line) was Rabbit IgG (1ug/1*106cells) used under the same conditions. Acquisition of >10, 000 events was performed.
Have Questions? Leave a Message or Start an on-line Chat

Product Details

Uniprot No.
Target Names
TXNDC12
Alternative Names
AG1 antibody; AGR1 antibody; anterior gradient homolog 1 antibody; endoplasmic reticulum protein ERp19 antibody; Endoplasmic reticulum resident protein 18 antibody; Endoplasmic reticulum resident protein 19 antibody; endoplasmic reticulum thioredoxin superfamily member, 18 kDa antibody; ER protein 18 antibody; ER protein 19 antibody; ERP 18 antibody; ERP16 antibody; ERp18 antibody; ERp19 antibody; hAG 1 antibody; hAG1 antibody; hTLP19 antibody; PDIA16 antibody; protein disulfide isomerase family A, member 16 antibody; thioredoxin domain containing 12 (endoplasmic reticulum antibody; Thioredoxin domain-containing protein 12 antibody; thioredoxin like protein p19 antibody; Thioredoxin-like protein p19 antibody; TLP19 antibody; TXD12_HUMAN antibody; TXNDC12 antibody
Species Reactivity
Human, Rat
Immunogen
A synthesized peptide from human TXNDC12 protein
Immunogen Species
Homo sapiens (Human)
Conjugate
Non-conjugated
Clonality
Monoclonal
Isotype
Rabbit IgG
Clone No.
21A7
Purification Method
Affinity-chromatography
Concentration
It differs from different batches. Please contact us to confirm it.
Buffer
Rabbit IgG in 10mM phosphate buffered saline , pH 7.4, 150mM sodium chloride, 0.05% BSA, 0.02% sodium azide and 50% glycerol.
Form
Liquid
Tested Applications
ELISA, WB, IHC, FC
Recommended Dilution
Application Recommended Dilution
WB 1:500-1:5000
IHC 1:50-1:200
FC 1:50-1:200
Troubleshooting and FAQs
Storage
Upon receipt, store at -20°C or -80°C. Avoid repeated freeze.
Lead Time
Basically, we can dispatch the products out in 1-3 working days after receiving your orders. Delivery time maybe differs from different purchasing way or location, please kindly consult your local distributors for specific delivery time.
Usage
For Research Use Only. Not for use in diagnostic or therapeutic procedures.

Customer Reviews and Q&A

 Customer Reviews

There are currently no reviews for this product.

Submit a Review here

Target Background

Function
Possesses significant protein thiol-disulfide oxidase activity.
Gene References into Functions
  1. We conclude that ERp19 contributes to tumorigenicity and metastasis of gastric cancer PMID: 25940440
  2. ERp18 shows specificity towards a component of the complement cascade, pentraxin-related protein PTX3. PMID: 19887585
  3. putative physiological role for endoplasmic reticulum thioredoxin superfamily member p18(ERp18) in native disulfide bond formation is discussed PMID: 12761212
  4. ERp16 mediates disulfide bond formation in the ER and plays an important role in cellular defense against prolonged ER stress PMID: 18628206
  5. the solution structure of oxidized ERp18 as determined using NMR spectroscopy PMID: 19361226

Show More

Hide All

Subcellular Location
Endoplasmic reticulum lumen.
Tissue Specificity
Widely expressed.
Database Links

HGNC: 24626

OMIM: 609448

KEGG: hsa:51060

STRING: 9606.ENSP00000360688

UniGene: Hs.476033

icon of phone
Call us
301-363-4651 (Available 9 a.m. to 5 p.m. CST from Monday to Friday)
icon of address
Address
7505 Fannin St., Ste 610, Room 7 (CUBIO Innovation Center), Houston, TX 77054, USA
icon of social media
Join us with

Subscribe newsletter

Leave a message

* To protect against spam, please pass the CAPTCHA test below.
CAPTCHA verification
© 2007-2025 CUSABIO TECHNOLOGY LLC All rights reserved. 鄂ICP备15011166号-1
×
Place an order now

I. Product details

*
*
*
*

II. Contact details

*
*

III. Ship To

*
*
*
*
*
*
*

IV. Bill To

*
*
*
*
*
*
*
*