UBE2L3 Recombinant Monoclonal Antibody

Code CSB-RA212098A0HU
Size US$210
Order now
Image
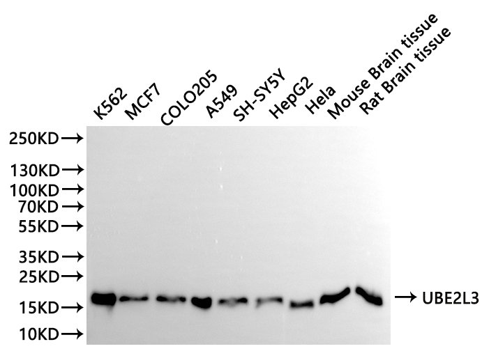
  • Western Blot
    Positive WB detected in: K562 whole cell lysate(30µg), MCF-7 whole cell lysate(30µg), COLO-205 whole cell lysate(30µg), A549 whole cell lysate(30µg), SH-SY5Y whole cell lysate(30µg), HepG2 whole cell lysate(30µg), Hela whole cell lysate(30µg), Mouse brain tissue lysate(30µg), Rat brain tissue lysate(30µg)
    All lanes:UBE2L3 antibody at 1:1000
    Secondary
    Goat polyclonal to rabbit IgG at 1/40000 dilution
    Predicted band size: 18 kDa
    Observed band size: 18 kDa
    Exposure time:10s
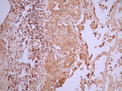
  • IHC image of CSB-RA212098A0HU diluted at 1:100 and staining in paraffin-embedded human lung cancer performed on a Leica BondTM system. After dewaxing and hydration, antigen retrieval was mediated by high pressure in a citrate buffer (pH 6.0). Section was blocked with 10% normal goat serum 30min at RT. Then primary antibody (1% BSA) was incubated at 4°C overnight. The primary is detected by a Goat anti-rabbit polymer IgG labeled by HRP and visualized using 0.05% DAB.
  • Immunofluorescence staining of HeLa cell with CSB-RA212098A0HU at 1:50 , counter-stained with DAPI. The cells were fixed in 4% formaldehyde, permeabilized using 0.2% Triton X-100 and blocked in 10% normal Goat Serum. The cells were then incubated with the antibody overnight at 4°C. The secondary antibody was Alexa Fluor 488-congugated AffiniPure Goat Anti-Rabbit IgG(H+L).
  • Overlay Peak curve showing HepG2 cells stained with CSB-RA212098A0HU (red line) at 1:100. The cells were fixed in 4% formaldehyde and permeated by 0.2% TritonX-100 for 10min. Then 10% normal goat serum to block non-specific protein-protein interactions followed by the antibody (1ug/1*106cells) for 45min at 4℃. The secondary antibody used was FITC-conjugated goat anti-rabbit IgG (H+L) at 1/200 dilution for 35min at 4℃.Control antibody (green line) was Rabbit IgG (1ug/1*106cells) used under the same conditions. Acquisition of >10, 000 events was performed.
Have Questions? Leave a Message or Start an on-line Chat

Product Details

Uniprot No.
Target Names
Alternative Names
E2 F1 antibody; L UBC antibody; L-UBC antibody; UB2L3_HUMAN antibody; UBCE7 antibody; UbcH7 antibody; UbcM4 antibody; Ube2l3 antibody; Ubiquitin carrier protein L3 antibody; Ubiquitin conjugating enzyme E2 L3 antibody; Ubiquitin protein ligase L3 antibody; Ubiquitin-conjugating enzyme E2 L3 antibody; Ubiquitin-conjugating enzyme E2-F1 antibody; Ubiquitin-protein ligase L3 antibody
Species Reactivity
Human, Mouse, Rat
Immunogen
A synthesized peptide from human UBE2L3 protein
Immunogen Species
Homo sapiens (Human)
Conjugate
Non-conjugated
Clonality
Monoclonal
Isotype
Rabbit IgG
Clone No.
5H4
Purification Method
Affinity-chromatography
Concentration
It differs from different batches. Please contact us to confirm it.
Buffer
Rabbit IgG in 10mM phosphate buffered saline , pH 7.4, 150mM sodium chloride, 0.05% BSA, 0.02% sodium azide and 50% glycerol.
Form
Liquid
Tested Applications
ELISA, WB, IHC, IF, FC
Recommended Dilution
Application Recommended Dilution
WB 1:500-1:5000
IHC 1:50-1:200
IF 1:50-1:200
FC 1:50-1:200
Troubleshooting and FAQs
Storage
Upon receipt, store at -20°C or -80°C. Avoid repeated freeze.
Lead Time
Basically, we can dispatch the products out in 1-3 working days after receiving your orders. Delivery time maybe differs from different purchasing way or location, please kindly consult your local distributors for specific delivery time.
Usage
For Research Use Only. Not for use in diagnostic or therapeutic procedures.

Customer Reviews and Q&A

 Customer Reviews

There are currently no reviews for this product.

Submit a Review here

Target Background

Function
Ubiquitin-conjugating enzyme E2 that specifically acts with HECT-type and RBR family E3 ubiquitin-protein ligases. Does not function with most RING-containing E3 ubiquitin-protein ligases because it lacks intrinsic E3-independent reactivity with lysine: in contrast, it has activity with the RBR family E3 enzymes, such as PRKN and ARIH1, that function like RING-HECT hybrids. Accepts ubiquitin from the E1 complex and catalyzes its covalent attachment to other proteins. In vitro catalyzes 'Lys-11'-linked polyubiquitination. Involved in the selective degradation of short-lived and abnormal proteins. Down-regulated during the S-phase it is involved in progression through the cell cycle. Regulates nuclear hormone receptors transcriptional activity. May play a role in myelopoiesis.
Gene References into Functions
  1. Crystal structure of HHARI and UbcH7 reveals UbcH7 approximately Ub binding RING1 domain of auto-inhibited HHARI. PMID: 28552575
  2. Data suggest ordered binding of UBCH7-ubiquitin to E6AP Site 1 (for E6AP-Cys820/ubiquitin thioester formation) and E6AP Site 2 (for subsequent chain elongation); proximal indexation accounts for radially symmetric structure of E6AP, requirement for oligomerization in polyubiquitin chain formation, and mechanistic rationale for Cys820-ubiquitin thioester as platform in chain assembly. (E6AP = ubiquitin-protein ligase E6AP) PMID: 28924046
  3. The TCGGC haplotype is associated with an increased risk of Hashimoto Thyroiditis(HT) and UBE2L3 gene is likely to be a susceptibility factor to HT in a Chinese Han population. PMID: 27094594
  4. together with UBE2N and UBE2D2, synergistically contribute to Parkin-mediated mitophagy PMID: 24906799
  5. The MAP1B-LC1 could interact with the ubiquitin-conjugating E2 enzyme UBE2L3 and that the ubiquitination/degradation mechanism triggered by MAP1B-LC1 could be prevented by inhibiting the ubiquitin-proteasome proteolytic pathway. PMID: 25483588
  6. An interaction between LC1 and the ubiquitin-conjugating enzyme UBE2L3. PMID: 24566975
  7. UbcH7 has a role in regulating 53BP1 stability and DSB repair PMID: 25422456
  8. UBE2L3 polymorphism amplifies NF-kappaB activation and promotes plasma cell development, linking linear ubiquitination to multiple autoimmune diseases. PMID: 25640675
  9. Report role of UBE2L3 genetic variants in confering risk of systemic lupus erythematosus in Chinese population. PMID: 24091983
  10. Importance of HLA-C and UBE2L3 in the clearance of HBV infection in addition to HLA-DP and HLA-DQ. PMID: 24162738
  11. The results suggest that variants carried on the SLE-associated UBE2L3 risk haplotype influence autoimmunity by modulating UBCH7 expression. PMID: 22476155
  12. UBE2L3 was found to be a shared susceptibility gene for siffuse cutaneous systemic sclerosis in a Japanese population. PMID: 22294623
  13. The interaction between UBE2L3 genotype and autoantibodies upon serum IFN-alpha suggests a biological role for this locus in patients with systemic lupus erythematosus. PMID: 22045845
  14. Crystal structures of two bacterial E3s, Salmonella SopA and Escherichia coli NleL, both in complex with human E2 UbcH7, are reported. PMID: 22308380
  15. UBCH7 exhibits activity with the RING-in-between-RING (RBR) family of E3s that includes parkin (also known as PARK2) and human homologue of ariadne (HHARI; also known as ARIH1) PMID: 21532592
  16. Genetic variations of UBE2L3 and BCL3 are potential new risk genes for Crohn's disease. PMID: 20601676
  17. UbcH7 charged with ubiquitin has an affinity for E6-associated protein (E6AP) similar to that of uncharged UbcH7. PMID: 20039703
  18. UBE2L3, the c-myc-regulated gene is involved in genotype-C-HBV-related HCC, suggesting that c-myc is related to the hepatocarcinogenic activity of genotype-C HBV. PMID: 16703398
  19. identification of the amino acid residues responsible for the HECT-E2 interaction, and for the dynamical properties of the ubiquitin transfer process, may be of relevant interest for pharmacological and therapeutical purposes PMID: 18805400
  20. These data suggest a role for UbcH7 targets in the completion of cell cycle S phase and entry into G2. PMID: 18946090

Show More

Hide All

Subcellular Location
Nucleus. Cytoplasm.
Protein Families
Ubiquitin-conjugating enzyme family
Tissue Specificity
Ubiquitous, with highest expression in testis.
Database Links

HGNC: 12488

OMIM: 603721

KEGG: hsa:7332

STRING: 9606.ENSP00000344259

UniGene: Hs.108104

icon of phone
Call us
301-363-4651 (Available 9 a.m. to 5 p.m. CST from Monday to Friday)
icon of address
Address
7505 Fannin St., Ste 610, Room 7 (CUBIO Innovation Center), Houston, TX 77054, USA
icon of social media
Join us with

Subscribe newsletter

Leave a message

* To protect against spam, please pass the CAPTCHA test below.
CAPTCHA verification
© 2007-2025 CUSABIO TECHNOLOGY LLC All rights reserved. 鄂ICP备15011166号-1
×
Place an order now

I. Product details

*
*
*
*

II. Contact details

*
*

III. Ship To

*
*
*
*
*
*
*

IV. Bill To

*
*
*
*
*
*
*
*