USO1 Recombinant Monoclonal Antibody

Code CSB-RA990355A0HU
Size US$210
Order now
Image
  • Western Blot
    Positive WB detected in: A549 whole cell lysate(30µg), HEK293 whole cell lysate(30µg), K562 whole cell lysate(30µg), U-87MG whole cell lysate(30µg), A431 whole cell lysate(30µg), Mouse brain tissue lysate(30µg), Rat brain tissue lysate(30µg)
    All lanes: USO1 antibody at 1:1000
    Secondary
    Goat polyclonal to rabbit IgG at 1/40000 dilution
    Predicted band size: 108 kDa
    Observed band size: 108 kDa
    Exposure time:2min
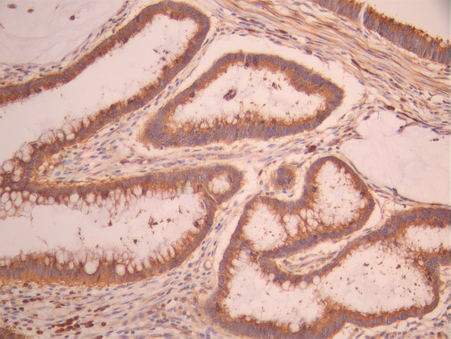
  • IHC image of CSB-RA990355A0HU diluted at 1:100 and staining in paraffin-embedded human gastric cancer performed on a Leica BondTM system. After dewaxing and hydration, antigen retrieval was mediated by high pressure in a citrate buffer (pH 6.0). Section was blocked with 10% normal goat serum 30min at RT. Then primary antibody (1% BSA) was incubated at 4°C overnight. The primary is detected by a Goat anti-rabbit polymer IgG labeled by HRP and visualized using 0.05% DAB.
  • Overlay Peak curve showing K562 cells stained with CSB-RA990355A0HU (red line) at 1:100. The cells were fixed in 4% formaldehyde and permeated by 0.2% TritonX-100 for 10min. Then 10% normal goat serum to block non-specific protein-protein interactions followed by the antibody (1ug/1*106cells) for 45min at 4℃. The secondary antibody used was FITC-conjugated goat anti-rabbit IgG (H+L) at 1/200 dilution for 35min at 4℃.Control antibody (green line) was Rabbit IgG (1ug/1*106cells) used under the same conditions. Acquisition of >10, 000 events was performed.
Have Questions? Leave a Message or Start an on-line Chat

Product Details

Uniprot No.
Target Names
USO1
Alternative Names
General vesicular transport factor antibody; General vesicular transport factor p115 antibody; P115 antibody; Protein USO1 homolog antibody; TAP antibody; Transcytosis associated protein antibody; Transcytosis-associated protein antibody; Uso1 antibody; USO1_HUMAN antibody; VDP antibody; Vesicle docking protein antibody; Vesicle docking protein p115 antibody; Vesicle-docking protein antibody
Species Reactivity
Human, Mouse, Rat
Immunogen
A synthesized peptide from human USO1 protein
Immunogen Species
Homo sapiens (Human)
Conjugate
Non-conjugated
Clonality
Monoclonal
Isotype
Rabbit IgG
Clone No.
13A9
Purification Method
Affinity-chromatography
Concentration
It differs from different batches. Please contact us to confirm it.
Buffer
Rabbit IgG in 10mM phosphate buffered saline , pH 7.4, 150mM sodium chloride, 0.05% BSA, 0.02% sodium azide and 50% glycerol.
Form
Liquid
Tested Applications
ELISA, WB, IHC, FC
Recommended Dilution
Application Recommended Dilution
WB 1:500-1:5000
IHC 1:50-1:200
FC 1:50-1:200
Troubleshooting and FAQs
Storage
Upon receipt, store at -20°C or -80°C. Avoid repeated freeze.
Lead Time
Basically, we can dispatch the products out in 1-3 working days after receiving your orders. Delivery time maybe differs from different purchasing way or location, please kindly consult your local distributors for specific delivery time.
Usage
For Research Use Only. Not for use in diagnostic or therapeutic procedures.

Customer Reviews and Q&A

 Customer Reviews

There are currently no reviews for this product.

Submit a Review here

Target Background

Function
General vesicular transport factor required for intercisternal transport in the Golgi stack; it is required for transcytotic fusion and/or subsequent binding of the vesicles to the target membrane. May well act as a vesicular anchor by interacting with the target membrane and holding the vesicular and target membranes in proximity.
Gene References into Functions
  1. USO1 gene may be a promising target for the therapy of human multiple myeloma and its diagnosis marker. PMID: 26898451
  2. USO1 gene has a critical role in human colon cancer: USO1 is involved in cell proliferation and cell migration of colon cancer cells. PMID: 26184508
  3. P115 promotes proliferation of gastric cancer cells through an interaction with MIF. PMID: 24379579
  4. Scyl1 interacts with 58K/formiminotransferase cyclodeaminase (FTCD) and golgin p115, and is required for the maintenance of Golgi morphology. PMID: 20209057
  5. p115 plays a critical role in mitosis progression, implicating it as the only known golgin to regulate both mitosis and apoptosis PMID: 21536679
  6. a conserved tethering function of the Golgi protein p115 CTF which promotes p53-ERK interaction for the amplification of the apoptotic signal. PMID: 21147777
  7. Data show that the number of tandem ARM repeats in an ARM fold ranges from 6 to 12. PMID: 20126549
  8. Data show that p115 degradation plays a key role in amplifying the apoptotic response independently of Golgi fragmentation. PMID: 12438416
  9. p115 acts directly, rather than via a tether, to catalyze trans-SNARE complex formation preceding membrane fusion. PMID: 14736916
  10. The results suggest that p115 is involved in vesicular transport between endoplasmic reticulum and the Golgi, along with microtubule networks. PMID: 16256943
  11. The interaction between p115 and Cog2 was found to be essential for Golgi ribbon reformation after the disruption of the ribbon by p115 KD or brefeldin A treatment and recovery by re-expression of p115 or drug wash out, respectively. PMID: 17274799
  12. Golgi organization depends on mutually interacting domains in betaCOP and p115, suggesting that vesicle tethering at the Golgi involves p115 binding to the COPI coat PMID: 18434597
  13. nuclear import of the p115 CTF is required for it to stimulate the apoptotic response and suggest that its mode of action is confined to the nucleus. PMID: 19028683
  14. terminal repeat folds into the armadillo superhelical groove and allows homodimeric association with important implications for p115 mediated multiple protein interactions and tethering PMID: 19247479
  15. p115 is a critical intermediary component in the regulated secretion of MIF from monocytes/macrophages PMID: 19454686

Show More

Hide All

Subcellular Location
Cytoplasm, cytosol. Golgi apparatus membrane; Peripheral membrane protein.
Protein Families
VDP/USO1/EDE1 family
Database Links

HGNC: 30904

OMIM: 603344

KEGG: hsa:8615

UniGene: Hs.744877

icon of phone
Call us
301-363-4651 (Available 9 a.m. to 5 p.m. CST from Monday to Friday)
icon of address
Address
7505 Fannin St., Ste 610, Room 7 (CUBIO Innovation Center), Houston, TX 77054, USA
icon of social media
Join us with

Subscribe newsletter

Leave a message

* To protect against spam, please pass the CAPTCHA test below.
CAPTCHA verification
© 2007-2025 CUSABIO TECHNOLOGY LLC All rights reserved. 鄂ICP备15011166号-1
×
Place an order now

I. Product details

*
*
*
*

II. Contact details

*
*

III. Ship To

*
*
*
*
*
*
*

IV. Bill To

*
*
*
*
*
*
*
*