VAMP2 Recombinant Monoclonal Antibody

Code CSB-RA928839A0HU
Size US$210
Order now
Image
  • Western Blot
    Positive WB detected in: A549 whole cell lysate(30µg), SH-SY5Y whole cell lysate(30µg), Jurkat whole cell lysate(30µg), U-251MG whole cell lysate(30µg), HEK293 whole cell lysate(30µg), Mouse brain tissue lysate(30µg), Rat brain tissue lysate(30µg)
    All lanes:VAMP2 antibody at 1:1000
    Secondary
    Goat polyclonal to rabbit IgG at 1/40000 dilution
    Predicted band size: 13 kDa
    Observed band size: 16 kDa
    Exposure time:2min
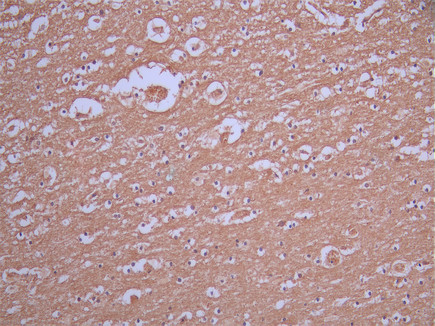
  • IHC image of CSB-RA928839A0HU diluted at 1:100 and staining in paraffin-embedded human brain tissue performed on a Leica BondTM system. After dewaxing and hydration, antigen retrieval was mediated by high pressure in a citrate buffer (pH 6.0). Section was blocked with 10% normal goat serum 30min at RT. Then primary antibody (1% BSA) was incubated at 4°C overnight. The primary is detected by a Goat anti-rabbit polymer IgG labeled by HRP and visualized using 0.05% DAB.
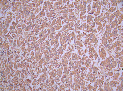
  • IHC image of CSB-RA928839A0HU diluted at 1:100 and staining in paraffin-embedded human breast cancer performed on a Leica BondTM system. After dewaxing and hydration, antigen retrieval was mediated by high pressure in a citrate buffer (pH 6.0). Section was blocked with 10% normal goat serum 30min at RT. Then primary antibody (1% BSA) was incubated at 4°C overnight. The primary is detected by a Goat anti-rabbit polymer IgG labeled by HRP and visualized using 0.05% DAB.
Have Questions? Leave a Message or Start an on-line Chat

Product Details

Uniprot No.
Target Names
Alternative Names
FLJ11460 antibody; RATVAMPB antibody; RATVAMPIR antibody; SYB antibody; SYB2 antibody; Synaptobrevin 2 antibody; Synaptobrevin-2 antibody; VAMP 2 antibody; VAMP-2 antibody; Vamp2 antibody; VAMP2_HUMAN antibody; Vesicle associated membrane protein 2 antibody; Vesicle-associated membrane protein 2 (synaptobrevin 2) antibody; Vesicle-associated membrane protein 2 antibody
Species Reactivity
Human, Mouse, Rat
Immunogen
A synthesized peptide from human VAMP2 protein
Immunogen Species
Homo sapiens (Human)
Conjugate
Non-conjugated
Clonality
Monoclonal
Isotype
Rabbit IgG
Clone No.
1F5
Purification Method
Affinity-chromatography
Concentration
It differs from different batches. Please contact us to confirm it.
Buffer
Rabbit IgG in 10mM phosphate buffered saline , pH 7.4, 150mM sodium chloride, 0.05% BSA, 0.02% sodium azide and 50% glycerol.
Form
Liquid
Tested Applications
ELISA, WB, IHC
Recommended Dilution
Application Recommended Dilution
WB 1:500-1:5000
IHC 1:50-1:200
Troubleshooting and FAQs
Storage
Upon receipt, store at -20°C or -80°C. Avoid repeated freeze.
Lead Time
Basically, we can dispatch the products out in 1-3 working days after receiving your orders. Delivery time maybe differs from different purchasing way or location, please kindly consult your local distributors for specific delivery time.
Usage
For Research Use Only. Not for use in diagnostic or therapeutic procedures.

Customer Reviews and Q&A

 Customer Reviews

There are currently no reviews for this product.

Submit a Review here

Target Background

Function
Involved in the targeting and/or fusion of transport vesicles to their target membrane. Major SNARE protein of synaptic vesicles which mediates fusion of synaptic vesicles to release neurotransmitters. Essential for fast vesicular exocytosis and activity-dependent neurotransmitter release as well as fast endocytosis that mediates rapid reuse of synaptic vesicles. Modulates the gating characteristics of the delayed rectifier voltage-dependent potassium channel KCNB1.
Gene References into Functions
  1. miR-493-5p overexpression promotes cell apoptosis and inhibits the proliferation and migration of liver cancer cells by negatively regulating the expression of VAMP. PMID: 29328362
  2. VAMP2 is a promising new plasma cell marker PMID: 27247366
  3. VAMP2 is involved in Porphyromonas gingivalis recycling pathway.VAMP2 is localized in early endosomes in gingival epithelial cells. PMID: 26617273
  4. The present study addressed for the first time the unique substrate recognition mechanism of LC/F5 substrate cleavage of VAMP-2 by Botulinum Neurotoxin subtype F5. PMID: 26794648
  5. This study showed that decreased Levels of VAMP2 correlate with Duration of Dementia. PMID: 26639969
  6. VAMP2-NRG1 is a novel oncogenic fusion gene representing a new addition to the list of NRG1 fusion genes, which together may form an important diagnostic and clinical category of lung adenocarcinoma cases PMID: 26134228
  7. A large vesicular pool of VAMP2 maintained by AP180 is crucial to sustain efficient neurotransmission. PMID: 26412491
  8. miR-206 regulates lung surfactant secretion by limiting the availability of VAMP-2 protein. PMID: 25481410
  9. The genetic variations of VAMP2, Synaptotagmin XI might be indication of the relationship between these genes and idiopathic generalized epilepsy PMID: 24164654
  10. BoNT/F5 cleaves substrate synaptobrevin-2 in a different location than the other BoNT/F subtypes, between (54)L and (55)E. PMID: 22172278
  11. unique mechanism of SNARE motif-dependent endocytic sorting and identify the ANTH domain proteins AP180 and CALM as cargo-specific adaptors for synaptobrevin 2 endocytosis PMID: 21808019
  12. VAMP2 mediates the trafficking of alpha5beta1 integrin to the plasma membrane and VAMP2-dependent integrin trafficking is critical in cell adhesion, migration and survival. PMID: 19822142
  13. SNAP-23 and syntaxin-4 are expressed in human eosinophils and are likely candidates for association with VAMP-2 during docking, which is followed by exocytosis PMID: 11842301
  14. VAMP-2 mediates exocytosis of specific and tertiary granules of neutrophils through its interaction with Q-SNARE/R-SNARE complexes located at the neutrophil plasma membrane. PMID: 12517971
  15. VAMP-2 can be one of the v-SNAREs for constitutive exocytosis PMID: 16195891
  16. addition of PIP2 to Stx4/SNAP23 vesicles inhibited the fusion reaction, and its addition to VAMP2 vesicles was stimulatory PMID: 17001002
  17. The vesicular distribution may be attributed in part to the direct interaction between PKD3 and vesicle-associated membrane protein VAMP2, through which PKD3 may regulate VAMP2 vesicle trafficking by facilitating its recruitment to the target membrane. PMID: 17196367
  18. VAMP2 can be phosphorylated by activated PKCzeta in vitro and the presence of ProF increases the PKCzeta-dependent phosphorylation of VAMP2 in vitro PMID: 17313651
  19. Results indicate that the sorting determinants of synaptic vesicle proteins can operate independently of a neuronal context and implicate the association of VAMP2 with synaptophysin I in the specification of the pathway of synaptic vesicle biogenesis. PMID: 17331077
  20. Overexpression of CALM leads to the reduction of cell surface VAMP2, whereas knockdown of CALM by RNA interference results in the accumulation of surface VAMP2. PMID: 18182011
  21. BoNT/B and TeNT possess similar organization but have unique residues to recognize and cleave VAMP-2 PMID: 18511417
  22. analysis of the substrate recognition mechanism of VAMP/synaptobrevin-cleaving clostridial neurotoxins PMID: 18511418
  23. These results do not suggest that a common genetic variant at VAMP2 or VAMP3 contributes to the development of bipolar affective disorder in German patients. PMID: 18628682

Show More

Hide All

Subcellular Location
Cytoplasmic vesicle, secretory vesicle, synaptic vesicle membrane; Single-pass type IV membrane protein. Cell membrane.
Protein Families
Synaptobrevin family
Tissue Specificity
Nervous system and skeletal muscle.
Database Links

HGNC: 12643

OMIM: 185881

KEGG: hsa:6844

STRING: 9606.ENSP00000314214

UniGene: Hs.25348

icon of phone
Call us
301-363-4651 (Available 9 a.m. to 5 p.m. CST from Monday to Friday)
icon of address
Address
7505 Fannin St., Ste 610, Room 7 (CUBIO Innovation Center), Houston, TX 77054, USA
icon of social media
Join us with

Subscribe newsletter

Leave a message

* To protect against spam, please pass the CAPTCHA test below.
CAPTCHA verification
© 2007-2025 CUSABIO TECHNOLOGY LLC All rights reserved. 鄂ICP备15011166号-1
×
Place an order now

I. Product details

*
*
*
*

II. Contact details

*
*

III. Ship To

*
*
*
*
*
*
*

IV. Bill To

*
*
*
*
*
*
*
*