VSIG4 Recombinant Monoclonal Antibody

Code CSB-RA896869MA2HU
Size US$210
Order now
Image
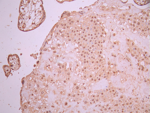
  • IHC image of CSB-RA896869MA2HU diluted at 1:50 and staining in paraffin-embedded human placenta tissue performed on a Leica BondTM system. After dewaxing and hydration, antigen retrieval was mediated by high pressure in a citrate buffer (pH 6.0). Section was blocked with 10% normal goat serum 30min at RT. Then primary antibody (1% BSA) was incubated at 4°C overnight. The primary is detected by a Anti-Human lgG, Fcy Fragment Specific labeled by HRP and visualized using 0.05% DAB.
  • Immunofluorescence staining of A549 cell with CSB-RA896869MA2HU at 1:30 ,counter-stained with DAPI. The cells were fixed in 4% formaldehyde, permeabilized using 0.2% Triton X-100 and blocked in 10% normal Goat Serum. The cells were then incubated with the antibody overnight at 4°C. The secondary antibody was Fluorescein (FITC) AffiniPure Goat Anti-Human IgG, Fcγ fragment specific.
Have Questions? Leave a Message or Start an on-line Chat

Product Details

Uniprot No.
Target Names
Alternative Names
Complement receptor of the immunoglobulin superfamily antibody; CRIg antibody; Ig superfamily protein antibody; Protein Z39Ig antibody; UNQ317/PRO362 antibody; V set and immunoglobulin domain containing 4 antibody; V-set and immunoglobulin domain-containing protein 4 antibody; VSIG4 antibody; VSIG4_HUMAN antibody; Z39IG antibody
Species Reactivity
Human
Immunogen
Recombinant Human VSIG4 protein
Immunogen Species
Homo sapiens (Human)
Conjugate
Non-conjugated
Clonality
Monoclonal
Isotype
hIgG1
Clone No.
16G9
Purification Method
Affinity-chromatography
Concentration
It differs from different batches. Please contact us to confirm it.
Buffer
Preservative: 0.03% Proclin 300
Constituents: 50% Glycerol, 0.01M PBS, PH 7.4
Form
Liquid
Tested Applications
ELISA, IHC, IF
Recommended Dilution
Application Recommended Dilution
IHC 1:50-1:200
IF 1:50-1:200
Troubleshooting and FAQs
Storage
Upon receipt, store at -20°C or -80°C. Avoid repeated freeze.
Lead Time
Basically, we can dispatch the products out in 1-3 working days after receiving your orders. Delivery time maybe differs from different purchasing way or location, please kindly consult your local distributors for specific delivery time.
Usage
For Research Use Only. Not for use in diagnostic or therapeutic procedures.

Customer Reviews and Q&A

 Customer Reviews

There are currently no reviews for this product.

Submit a Review here

Target Background

Function
Phagocytic receptor, strong negative regulator of T-cell proliferation and IL2 production. Potent inhibitor of the alternative complement pathway convertases.
Gene References into Functions
  1. Soluble VSIG4 levels are associated with the progression and recurrence of ovarian cancer, indicating that soluble VSIG4 may be used as a potential biomarker for predicting tumor prognosis. PMID: 28498255
  2. VSIG4 signaling provides an anti-immune evasion mechanism that prevents the outgrowth of intracellular bacteria in macrophages PMID: 27440002
  3. The VSIG4 upregulation by LMP1 was regulated at the transcriptional level via the NF-kB signaling axis. PMID: 28859984
  4. VSIG4 expression is significantly upregulated in human masticatory mucosa during wound healing PMID: 28005267
  5. we concluded that let-7g-5p inhibits epithelial-mesenchymal transition (EMT) consistent with reduction of glioma stem cell (GSC) phenotypes by targeting VSIG4 in glioblastoma. PMID: 27634309
  6. Data indicate that rotein kinase calpha (PKCalpha) plays a role in downregulating complement receptor Ig (CRIg coded by V-set and Ig domain-containing protein 4 VSIG4) expression. PMID: 25687755
  7. complement receptor of the immunoglobulin superfamily-L-factor H protects glomerular mesangial cells from complement-mediated injury and proliferative lesions PMID: 25114177
  8. we identified VSIG4 as a potential diagnostic marker of severe preeclampsia. The determination of this gene may improve the prognostic assessment of severe preeclampsia. PMID: 24349325
  9. Data indicate that massive V-set and Ig domain-containing 4 VSIG4(+) cell infiltration throughout the non-small-cell lung cancer samples. PMID: 24862966
  10. we showed that a complement receptor of the Ig superfamily (CRIg, also known as Z39Ig), a receptor for complement fragments (C3b and iC3b), was expressed on a subset of intestinal macrophages in murine and human large intestine PMID: 21768202
  11. These results suggest that T cells can opposite T cell hyporesponsiveness through dampening Z39Ig inhibitory signals from macrophages and thus maintain their anti-viral function in chronic hepatitis B. PMID: 20399148
  12. hVSIG4 recombinant adenovirus-transfected DCs suppress T cell proliferation, cytokine production and activation marker expression with PMID: 19914289
  13. Results report the identification and characterization of a Complement Receptor of the Immunoglobulin superfamily, CRIg, that binds complement fragments C3b and iC3b. PMID: 16530040
  14. These data indicate that the macrophage Z39Ig is involved in the pathogenesis of inflammatory diseases through chemokine induction, which will promote the migration of inflammatory cells into the lesion area, and MMP-9 induction. PMID: 16882875
  15. The specific expression of VSIG4 on resting macrophages suggests that VSIG4 may be important for the maintenance of T cell unresponsiveness in healthy tissues. PMID: 17016562
  16. CRIg is not only a phagocytic receptor, but also a potent inhibitor of the alternative pathway convertases PMID: 17051150

Show More

Hide All

Subcellular Location
Membrane; Single-pass type I membrane protein.
Tissue Specificity
Abundantly expressed in several fetal tissues. In adult tissues, highest expression in lung and placenta. Expressed in resting macrophages.
Database Links

HGNC: 17032

OMIM: 300353

KEGG: hsa:11326

STRING: 9606.ENSP00000363869

UniGene: Hs.8904

icon of phone
Call us
301-363-4651 (Available 9 a.m. to 5 p.m. CST from Monday to Friday)
icon of address
Address
7505 Fannin St., Ste 610, Room 7 (CUBIO Innovation Center), Houston, TX 77054, USA
icon of social media
Join us with

Subscribe newsletter

Leave a message

* To protect against spam, please pass the CAPTCHA test below.
CAPTCHA verification
© 2007-2025 CUSABIO TECHNOLOGY LLC All rights reserved. 鄂ICP备15011166号-1
×
Place an order now

I. Product details

*
*
*
*

II. Contact details

*
*

III. Ship To

*
*
*
*
*
*
*

IV. Bill To

*
*
*
*
*
*
*
*