XRCC6 Recombinant Monoclonal Antibody

Code CSB-RA693886A0HU
Size US$210
Order now
Image
  • Flow cytometric analysis of Ku70 expression in HepG2 cells using Ku70 antibody. Green, isotype control; red, Ku70.
  • Immunocytochemical staining of HepG2 cells with Ku70 antibody. Nuclei were stained blue with DAPI; Ku70 was stained magenta with Alexa Fluor® 647. Images were taken using Leica stellaris 5. Protein abundance based on laser Intensity and smart gain: High. Scale bar, 20 μm.
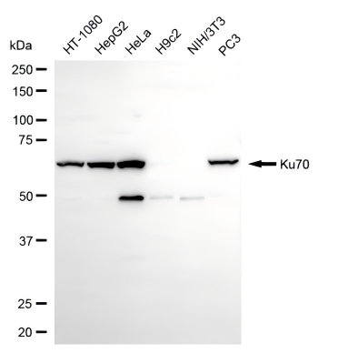
  • Western blotting analysis using ku70 antibody. Total cell lysates (30 μg) from various cell lines were loaded and separated by SDS-PAGE. The blot was incubated with ku70 antibody and HRP-conjugated goat anti-rabbit secondary antibody respectively.
Have Questions? Leave a Message or Start an on-line Chat

Product Details

Uniprot No.
Target Names
Alternative Names
XRCC6; X-Ray Repair Cross Complementing 6; X-Ray Repair Complementing Defective Repair In Chinese Hamster Cells 6; G22P1; KU70; ML8; X-Ray Repair Cross-Complementing Protein 6; Thyroid Autoantigen 70kDa (Ku Antigen); ATP-Dependent DNA Helicase 2 Subunit 1; Thyroid Autoantigen 70kD (Ku Antigen); 5'-Deoxyribose-5-Phosphate Lyase Ku70; Lupus Ku Autoantigen Protein P70; 70 KDa Subunit Of Ku Antigen; DNA Repair Protein XRCC6; Ku Autoantigen, 70kDa; 5'-DRP Lyase Ku70; D22S731; D22S671; CTC75; CTCBF; TLAA; ATP-Dependent DNA Helicase II, 70 KDa Subunit; ATP-Dependent DNA Helicase II 70 KDa Subunit; CTC Box Binding Factor 75 KDa Subunit; CTC Box-Binding Factor 75 KDa Subunit; Thyroid-Lupus Autoantigen P70; Ku Autoantigen P70 Subunit; Thyroid-Lupus Autoantigen; EC 4.2.99.-; EC 3.6.4.-; Ku70
Species Reactivity
Human
Immunogen
Recombinant Human XRCC6 protein
Immunogen Species
Homo sapiens (Human)
Conjugate
Non-conjugated
Clonality
Monoclonal
Isotype
Rabbit IgG
Clone No.
23H1
Purification Method
Affinity-chromatography
Concentration
It differs from different batches. Please contact us to confirm it.
Buffer
Rabbit IgG in PBS (pH 7.4) containing 50% glycerol, and 0.02% sodium azide.
Form
Liquid
Tested Applications
ELISA, WB, FC, ICC
Recommended Dilution
Application Recommended Dilution
WB 1:1000-1:5000
FC 1:200-1:2000
ICC 1:100-1:1000
Troubleshooting and FAQs
Storage
Upon receipt, store at -20°C or -80°C. Avoid repeated freeze.
Lead Time
Basically, we can dispatch the products out in 1-3 working days after receiving your orders. Delivery time maybe differs from different purchasing way or location, please kindly consult your local distributors for specific delivery time.
Usage
For Research Use Only. Not for use in diagnostic or therapeutic procedures.

Customer Reviews and Q&A

 Customer Reviews

There are currently no reviews for this product.

Submit a Review here

Target Background

Function
Single-stranded DNA-dependent ATP-dependent helicase that plays a key role in DNA non-homologous end joining (NHEJ) by recruiting DNA-PK to DNA. Required for double-strand break repair and V(D)J recombination. Also has a role in chromosome translocation. Has a role in chromosome translocation. The DNA helicase II complex binds preferentially to fork-like ends of double-stranded DNA in a cell cycle-dependent manner. It works in the 3'-5' direction. During NHEJ, the XRCC5-XRRC6 dimer performs the recognition step: it recognizes and binds to the broken ends of the DNA and protects them from further resection. Binding to DNA may be mediated by XRCC6. The XRCC5-XRRC6 dimer acts as regulatory subunit of the DNA-dependent protein kinase complex DNA-PK by increasing the affinity of the catalytic subunit PRKDC to DNA by 100-fold. The XRCC5-XRRC6 dimer is probably involved in stabilizing broken DNA ends and bringing them together. The assembly of the DNA-PK complex to DNA ends is required for the NHEJ ligation step. Probably also acts as a 5'-deoxyribose-5-phosphate lyase (5'-dRP lyase), by catalyzing the beta-elimination of the 5' deoxyribose-5-phosphate at an abasic site near double-strand breaks. 5'-dRP lyase activity allows to 'clean' the termini of abasic sites, a class of nucleotide damage commonly associated with strand breaks, before such broken ends can be joined. The XRCC5-XRRC6 dimer together with APEX1 acts as a negative regulator of transcription. In association with NAA15, the XRCC5-XRRC6 dimer binds to the osteocalcin promoter and activates osteocalcin expression. Plays a role in the regulation of DNA virus-mediated innate immune response by assembling into the HDP-RNP complex, a complex that serves as a platform for IRF3 phosphorylation and subsequent innate immune response activation through the cGAS-STING pathway.
Gene References into Functions
  1. KU70 defect influenced the expression of P53, BCL2 and BAX, remaining Jurkat cells in a pro-apoptosis status and KU70 silencing prolonged the survival time and impaired the tumorigenesis ability in Jurkat-xenografted mice. PMID: 30273928
  2. Small cell lung cancer (SCLC) subtype had amplified risk with XRCC7 6721G>T. Gene-environment interaction analysis revealed that XRCC6 61C>G showed a strong protective effect towards lung cancer. Survival analysis revealed poor prognosis in case of XRCC6 61C>G SCLC subtype. XRCC7 6721G>T subjects with SCLC subtype showed an increased susceptibility while poor prognosis in case of XRCC6 61C>G. PMID: 29397516
  3. verexpression of USP50 has no effect on Ku70 mRNA levels, while it reduces Ku70 protein levels by promoting Ku70 degradation, suggesting that USP50 may indirectly regulate Ku70 protein stability. PMID: 29101126
  4. Observations suggest that IER5 is a novel regulator of the non-homologous end-joining pathway pathway for DNA double-strand breaks repair, possibly through its interaction with PARP1 and Ku70. PMID: 29104487
  5. The DNA binding domain of Ku70 was essential for formation of the Ku70-STING complex. Knocking down STING in primary human macrophages inhibited their ability to produce IFN-lambda1 in response to transfection with DNA or infection with the DNA virus HSV-2 (herpes simplex virus-2). Together, these data suggest that STING mediates the Ku70-mediated IFN-lambda1 innate immune response to exogenous DNA or DNA virus infection. PMID: 28720717
  6. analysis of a novel cellular stress response mechanism in cancer cells and a key role of LSD1/SIRT1/KU70 dynamic interaction in regulating DNA repair and mutation acquisition PMID: 27384990
  7. Single nucleotide polymorphisms in the Ku70 gene XRCC6 were independently associated with Elevated Creatine Kinase Levels in Unhealthy Male Nonagenarians. PMID: 26913518
  8. Although PAXX-deficient cells lack c-NHEJ phenotypes, PAXX forms a stable ternary complex with Ku bound to DNA. Thus, PAXX plays an accessory role during c-NHEJ that is largely overlapped by XLF's function. PMID: 27705800
  9. HTLV-1 infection enhanced the association between Ku70 and stimulator of IFN genes, suggesting that stimulator of IFN genes was involved in Ku70-mediated host defenses against HTLV-1 infection; findings suggest a new sensor that detects HTLV-1 reverse transcription intermediate and controls HTLV-1 replication PMID: 28821586
  10. Nuclear PTEN interferes with binding of Ku70 at double-strand breaks through post-translational poly(ADP-ribosyl)ation. PMID: 27741411
  11. Results show that DDB2 is critical for chromatin association of XRCC5/6 in the absence of DNA damage and provide evidence that XRCC5/6 are functional partners of DDB2 in its transcriptional stimulatory activity. PMID: 28035050
  12. High KU70 expression is associated with drug resistance in glioblastoma. PMID: 27593939
  13. These results suggest that Ku-mediated repression of p53 mRNA translation constitutes a novel mechanism linking DNA repair and mRNA translation. PMID: 26964895
  14. VCP removes sterically trapped Ku70/80 rings from DNA in double-strand break repair. PMID: 27716483
  15. found that the rs228593, rs2267437 and rs1805388 functional polymorphisms probably alter the level of expression of the ATM, XRCC6 and LIG4 genes, respectively, being important in the maintenance of genomic instability in MDS PMID: 27497341
  16. Data show that the increased acetylation of Ku autoantigen 70kDa (Ku70) in sirtuin 6 protein (SIRT6)-depleted cells disrupt its interaction with Bax apoptosis regulator protein (Bax), which finally resulted in Bax mitochondrial translocalization. PMID: 28238784
  17. Ku70 (XRCC6) was found to bind directly within the CR4 of E1A from human adenovirus type 5. PMID: 27769014
  18. periodic phosphorylation of Ku70 by cyclin-cyclin dependent kinases prevents the interaction of Ku with replication origin after initiation events in S-phase. PMID: 27402161
  19. The results of this preclinical study imply that Ku70 might be a primary resistance factor of gemcitabine, and Ku70 silence could significantly chemo-sensitize gemcitabine in pancreatic cancer cells. PMID: 28153717
  20. results reveal that Src plays a protective role against hyperactive apoptotic cell death by reducing apoptotic susceptibility through phosphorylation of Ku70 at Tyr-530. PMID: 27998981
  21. High Expression of XRCC6 Promotes Human Osteosarcoma Cell Proliferation through the beta-Catenin/Wnt Signaling Pathway. PMID: 27455247
  22. Data show that X-ray repair cross-complementing protein 6 ( Ku70) is found to interact with closed circular DNA. PMID: 27825805
  23. The rs2267437 in XRCC6 was associated with increased initial DSB damage. PMID: 26974709
  24. No significant difference in genotype distribution was found between the colorectal cancer patients and controls, or any significant association with cancer-specific or disease-free survival in patients. PMID: 27328741
  25. Ku70 expression may play an important role in hepatocellular carcinoma development PMID: 26797321
  26. Results show that under hypoxia, Ku70 and DNA-PKcs interact with nuclear RON which activates non-homologous end joining DNA repair conferring chemoresistance. PMID: 26772202
  27. We believe that for the first time, genetic variants at XRCC6 and MVP genes are associated with risk of more aggressive disease, and would be taken into account when assessing the malignancy of prostate cancer PMID: 26754263
  28. XRCC6 may play an important role in the carcinogenesis of NPC and could serve as a chemotherapeutic target for personalized medicine and therapy. PMID: 26149939
  29. these data unveil an involvement of phospho-Ku70 in fast but inaccurate DNA repair; a new paradigm linked to both the deregulation of canonical nonhomologous end-joining and the resistance of malignant cells PMID: 26337656
  30. Ku is intact and retains DNA binding activity in early apoptotic cells. PMID: 26976509
  31. Data suggest that heat shock factor 1 (HSF1) interacts with both Ku autoantigens Ku70 and Ku86 to induce defective non-homologous end joining (NHEJ) repair activity and genomic instability. PMID: 26359349
  32. Our results demonstrate that the phosphorylation-mediated dissociation of Ku70/80 from DSBs frees DNA ends, allowing the initiation of HR in S phase and providing a mechanism of DSB repair pathway choice in mammalian cells. PMID: 26712563
  33. retinoblastoma tumor suppressor protein variants disabled for the interaction with XRCC5 and XRCC6, including a cancer-associated variant, are unable to support canonical non-homologous end-joining despite being able to confer cell-cycle control PMID: 25818292
  34. the results of the present study suggested that Ku70 acetylation mediated TSA-induced apoptosis in CRC cells. In addition, Ku70 was found to be indispensable in TSA-induced apoptosis due to its role in protecting Bax from proteosomal degradation. PMID: 25695595
  35. A direct interaction between Ku70/86 and BRG1 brings together SWI/SNF remodeling capabilities and TOP2beta activity to enhance the transcriptional response to hormone stimulation. PMID: 26055322
  36. Ku70 is a novel Mcl-1 deubiquitinase that could be a potential target for cancer therapy by manipulating Mcl-1 deubiquitination. PMID: 24769731
  37. loss of expression correlates with decreased survival in gall bladder malignancies patients PMID: 25046228
  38. SMAR1-mediated regulation of repair and apoptosis via a complex crosstalk involving Ku70, HDAC6 and Bax. PMID: 25299772
  39. Polymorphism in XRCC6 gene is associated with Systemic Lupus Erythematosus. PMID: 25756210
  40. Both the CG carriers/G allele carriers of rs2267437 (XRCC6) and the haplotype AT/CC established by the SNPs of XRCC5 are associated with ESCC (Esophageal Squamous Cell Carcinoma) susceptibility. PMID: 25702660
  41. EEF1A1, SSRP1, and XRCC6 are novel interacting partners of the mineralocorticoid receptor PMID: 25000480
  42. single nucleotide polymorphisms in promoter region might play different roles in various cancers [review] PMID: 25569644
  43. RECQL4 stimulates higher order DNA binding of Ku70/Ku80 to a blunt end DNA substrate. Taken together, these results implicate that RECQL4 participates in the NHEJ pathway of DSB repair via a functional interaction with the Ku70/Ku80 complex. PMID: 24942867
  44. the VNTR polymorphism at the promoter region of XRCC5, but not XRCC6, may have a role in breast cancer risk or age at diagnosis of breast cancer PMID: 24615008
  45. SET/TAF-Ibeta interacts with Ku70/80 in the nucleus and inhibits Ku70 acetylation. PMID: 24305947
  46. A single nucleotide polymorphism that tags both the XRCC6 and SREBF2 genes strongly modifies the association between bladder cancer risk and smoking PMID: 24382701
  47. Enhanced DNA-PKcs and Ku 70/80 expression may be closely associated with gastric carcinoma. PMID: 24187467
  48. This meta-analysis suggests that the XRCC6 rs2267437 polymorphism may affect breast cancer susceptibility and increase the risk of cancer in Asian populations and in the general population. PMID: 23745766
  49. findings suggest that the XRCC6 genotype could serve as a predictor of childhood leukemia risk and XRCC6 could serve as a target for personalized medicine and therapy PMID: 24324074
  50. KU70/KU80 may play a role in DNA DSBs repair in HR-deficient tumours. Further study of other NHEJ markers in sporadic BC is warranted. PMID: 23624778

Show More

Hide All

Subcellular Location
Nucleus. Chromosome.
Protein Families
Ku70 family
Database Links

HGNC: 4055

OMIM: 152690

KEGG: hsa:2547

STRING: 9606.ENSP00000352257

UniGene: Hs.292493

icon of phone
Call us
301-363-4651 (Available 9 a.m. to 5 p.m. CST from Monday to Friday)
icon of address
Address
7505 Fannin St., Ste 610, Room 7 (CUBIO Innovation Center), Houston, TX 77054, USA
icon of social media
Join us with

Subscribe newsletter

Leave a message

* To protect against spam, please pass the CAPTCHA test below.
CAPTCHA verification
© 2007-2025 CUSABIO TECHNOLOGY LLC All rights reserved. 鄂ICP备15011166号-1
×
Place an order now

I. Product details

*
*
*
*

II. Contact details

*
*

III. Ship To

*
*
*
*
*
*
*

IV. Bill To

*
*
*
*
*
*
*
*