CD31 Monoclonal Antibody

Code CSB-MA017767A0m
Size US$210
Order now
Image
  • Western Blot
    Positive WB detected in: Jurkat whole cell lysate, THP-1 whole cell lysate, Raji whole cell lysate
    All lanes: CD31 antibody at 2.5µg/ml
    Secondary
    Goat polyclonal to Mouse IgG at 1/50000 dilution
    Predicted band size: 83, 81, 80, 82 kDa
    Observed band size: 130 kDa

  • IHC image of CSB-MA017767A0m diluted at 1:100 and staining in paraffin-embedded human tonsil tissue performed on a Leica BondTM system. After dewaxing and hydration, antigen retrieval was mediated by high pressure in a citrate buffer (pH 6.0). Section was blocked with 10% normal goat serum 30min at RT. Then primary antibody (1% BSA) was incubated at 4°C overnight. The primary is detected by a biotinylated secondary antibody and visualized using an HRP conjugated SP system.

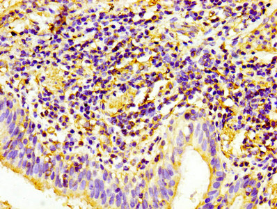
  • IHC image of CSB-MA017767A0m diluted at 1:100 and staining in paraffin-embedded human lung cancer performed on a Leica BondTM system. After dewaxing and hydration, antigen retrieval was mediated by high pressure in a citrate buffer (pH 6.0). Section was blocked with 10% normal goat serum 30min at RT. Then primary antibody (1% BSA) was incubated at 4°C overnight. The primary is detected by a biotinylated secondary antibody and visualized using an HRP conjugated SP system.

  • IHC image of CSB-MA017767A0m diluted at 1:100 and staining in paraffin-embedded human spleen tissue performed on a Leica BondTM system. After dewaxing and hydration, antigen retrieval was mediated by high pressure in a citrate buffer (pH 6.0). Section was blocked with 10% normal goat serum 30min at RT. Then primary antibody (1% BSA) was incubated at 4°C overnight. The primary is detected by a biotinylated secondary antibody and visualized using an HRP conjugated SP system.

  • IHC image of CSB-MA017767A0m diluted at 1:100 and staining in paraffin-embedded human breast cancer performed on a Leica BondTM system. After dewaxing and hydration, antigen retrieval was mediated by high pressure in a citrate buffer (pH 6.0). Section was blocked with 10% normal goat serum 30min at RT. Then primary antibody (1% BSA) was incubated at 4°C overnight. The primary is detected by a biotinylated secondary antibody and visualized using an HRP conjugated SP system.

  • IHC image of CSB-MA017767A0m diluted at 1:100 and staining in paraffin-embedded human kidney tissue performed on a Leica BondTM system. After dewaxing and hydration, antigen retrieval was mediated by high pressure in a citrate buffer (pH 6.0). Section was blocked with 10% normal goat serum 30min at RT. Then primary antibody (1% BSA) was incubated at 4°C overnight. The primary is detected by a biotinylated secondary antibody and visualized using an HRP conjugated SP system.

  • Immunofluorescence staining of Hela cells with CSB-MA017767A0m at 1:100, counter-stained with DAPI. The cells were blocked in 10% normal Goat Serum and then incubated with the primary antibody overnight at 4°C. The secondary antibody was Alexa Fluor 488-congugated AffiniPure Goat Anti-Mouse IgG(H+L).

  • Immunofluorescence staining of THP-1 cells with CSB-MA017767A0m at 1:100, counter-stained with DAPI. The cells were blocked in 10% normal Goat Serum and then incubated with the primary antibody overnight at 4°C. The secondary antibody was Alexa Fluor 488-congugated AffiniPure Goat Anti-Mouse IgG(H+L).

  • Overlay histogram showing THP-1 cells stained with CSB-MA017767A0m (red line) at 1:250. The cells were incubated in 1x PBS /10% normal goat serum to block non-specific protein-protein interactions followed by primary antibody for 1 h at 4°C. The secondary antibody used was FITC goat anti-mouse IgG(H+L) at 1/200 dilution for 1 h at 4°C. Isotype control antibody (green line) was used under the same conditions. Acquisition of >10,000 events was performed.

  • Overlay histogram showing HL-60 cells stained with CSB-MA017767A0m (red line) at 1:250. The cells were incubated in 1x PBS /10% normal goat serum to block non-specific protein-protein interactions followed by primary antibody for 1 h at 4°C. The secondary antibody used was FITC goat anti-mouse IgG(H+L) at 1/200 dilution for 1 h at 4°C. Isotype control antibody (green line) was used under the same conditions. Acquisition of >10,000 events was performed.

Have Questions? Leave a Message or Start an on-line Chat

Product Details

Uniprot No.
Alternative Names
PECAM1; Platelet endothelial cell adhesion molecule; PECAM-1; EndoCAM; GPIIA'; PECA1; CD antigen CD31
Raised in
Mouse
Species Reactivity
Human
Immunogen
Recombinant Human CD31 protein (28-315AA)
Immunogen Species
Homo sapiens (Human)
Conjugate
Non-conjugated
Clonality
Monoclonal
Isotype
IgG2a
Clone No.
9E6E12
Purification Method
>95%, Protein G purified
Concentration
It differs from different batches. Please contact us to confirm it.
Buffer
Preservative: 0.03% Proclin 300
Constituents: 50% Glycerol, 0.01M PBS, PH 7.4
Form
Liquid
Tested Applications
ELISA, WB, IHC, IF, FC
Recommended Dilution
Application Recommended Dilution
WB 1:500-1:5000
IHC 1:50-1:500
IF 1:50-1:200
Troubleshooting and FAQs
Storage
Upon receipt, store at -20°C or -80°C. Avoid repeated freeze.
Lead Time
Basically, we can dispatch the products out in 1-3 working days after receiving your orders. Delivery time maybe differs from different purchasing way or location, please kindly consult your local distributors for specific delivery time.
Description

The antibody against CD31 was raised in mouse using a portion of the human CD31 extracellular domain (28-315aa) as the immunogen. The antibody exists as a non-conjugated isotype IgG2a, purified by protein A with a purity greater than 95%. This antibody has been validated on ELISA, Western blot (WB), Immunohistochemistry (IHC), Immunofluorescence (IF), and Flow Cytometry (FC). Since PECAM1 or CD31 is related to pro-inflammatory processes and has related roles in angiogenesis, it can be found on carcinomas modulating the immune response. The Platelet endothelial cell adhesion molecule, PECAM1 or CD31, is a protein required for the leukocyte transendothelial migration (TEM). Also, PECAM1 controls the macrophage-mediated phagocytosis of leukocytes. This protein is present in viable leukocytes and platelets and generally concentrated between their borders with epithelial cells. PECAM1 presence makes leukocytes avoid the macrophage phagocytosis with a detachment signaling.

Usage
For Research Use Only. Not for use in diagnostic or therapeutic procedures.

Customer Reviews and Q&A

 Customer Reviews
Average Rating:
5.0 - 1 reviews

Submit a Review here

Applications : Western Blot (WB)

Sample type: Human NCI-H460 tumor tissue

Sample dilution: 1:2000

Review: The target band is clear and there are no other bands. The antibody has good specificity.

By Anonymous

Target Background

Function
Cell adhesion molecule which is required for leukocyte transendothelial migration (TEM) under most inflammatory conditions. Tyr-690 plays a critical role in TEM and is required for efficient trafficking of PECAM1 to and from the lateral border recycling compartment (LBRC) and is also essential for the LBRC membrane to be targeted around migrating leukocytes. Trans-homophilic interaction may play a role in endothelial cell-cell adhesion via cell junctions. Heterophilic interaction with CD177 plays a role in transendothelial migration of neutrophils. Homophilic ligation of PECAM1 prevents macrophage-mediated phagocytosis of neighboring viable leukocytes by transmitting a detachment signal. Promotes macrophage-mediated phagocytosis of apoptotic leukocytes by tethering them to the phagocytic cells; PECAM1-mediated detachment signal appears to be disabled in apoptotic leukocytes. Modulates bradykinin receptor BDKRB2 activation. Regulates bradykinin- and hyperosmotic shock-induced ERK1/2 activation in endothelial cells. Induces susceptibility to atherosclerosis.; Does not protect against apoptosis.
Gene References into Functions
  1. High CD31 expression is associated with Central Giant Cell Granuloma. PMID: 30139237
  2. TNF-alpha and IL-10 treatment can affect the expression of ICAM-1 and CD31 in human coronary artery endothelial cells. PMID: 29949812
  3. High CD31 expression is associated with early-stage, but not in late-stage, laryngeal squamous cell carcinoma. PMID: 29523110
  4. Adenocarcinomas showed significantly higher staining scores of both VEGF and alphaSMA than squamous cell carcinomas did. In 42 cases of high CD31 score, five-year survival rate (87%) of patients with lung cancer showing mature tumor vessels was significantly better than that (69%) of patients with immature tumor vessels PMID: 29970531
  5. Differences in trafficking of CD31(+) cytotoxic T lymphocytes during acute influenza infection could modulate tolerance and contribute to a dampened adaptive immune response in neonates PMID: 28355204
  6. Cell adhesion assays on wildtype and mutant PECAM-1 further characterized the structural determinants in cell junction and communication. PMID: 27958302
  7. In primary hip OA, angiogenesis may be induced by a combined mechanism: hypoxia-related VEGF-dependent vasculogenesis and endothelial differentiation of the activated pluripotent cells, which are released from the hyperplastic synovial cells layer. An endothelial mesenchymal transition is assumed to be involved in the fibrotic process. PMID: 27704157
  8. upregulation of sVEGFR-1 with concomitant decline of PECAM-1 and sVEGFR-2 levels in preeclampsia compared to normotensive pregnancies, Irrespective of the HIV status PMID: 28609170
  9. Increased expression of PECAM-1, ICAM-3, and VCAM-1 in colonic biopsies from patients with inflammatory bowel disease (IBD) in clinical remission is associated with subsequent flares; this suggests that increases in the expression of these proteins may be early events that lead to flares in patients with IBD. PMID: 27552332
  10. PECAM-1 gene polymorphisms are associated with Kawasaki disease with and without coronary artery lesions in Chinese children. PMID: 28512385
  11. Sirt1 expression is associated with CD31 expression in endothelial progenitor cells from patients with chronic obstructive pulmonary disease. PMID: 27784320
  12. we found a significant cumulative contribution of the genetic heterogeneity of glycoproteins Ia and IIIa and platelet-endothelial cell adhesion molecule-1 and P-Selectin genes in the risk of recurrent IVF-ET failures. The coexistence of these SNPs was associated with increased IVF-ET failure risk and the more polymorphic alleles or genotypes were present the higher the risk of IVF-ET failure, especially for younger women PMID: 28388872
  13. Dimer conformation of soluble PECAM-1 PMID: 27270333
  14. RrgA, binds both polymeric immunoglobulin receptor (pIgR) and PECAM-1, whereas the choline binding protein PspC binds, but to a lower extent, only pIgR PMID: 28515075
  15. this study shows a significant role for CD31 during T cell development PMID: 28159903
  16. Cells in high glucose for 7 days showed a significant decrease in mRNA expression of CD31 and VE-cadherin, and a significant increase in that of alpha-SMA and collagen I. PMID: 28347704
  17. Patients who had optic neuritis that progressed to multiple sclerosis had a decrease in serum PECAM-1 levels. PMID: 27806869
  18. Platelet endothelial cell adhesion molecule (PECAM-1) is expressed in endothelial cells (ECs), platelets, and leukocytes, regulating the interaction between those cells. PMID: 27079772
  19. Data indicate no association of maternal or fetal ITGA2 C807T SNP, ITGB3 T1565C SNP, PECAM1 CTG - GTG and SELP A/C polymorphisms with fetal growth restriction (FGR). PMID: 28358707
  20. these data suggest that a sialic acid-containing glycan emanating from Asn-25 reinforces dynamic endothelial cell-cell interactions by stabilizing the PECAM-1 homophilic binding interface. PMID: 27793989
  21. Decreased FoxP3 expression in CD31(+) Tr cells. PMID: 27997991
  22. These results suggested that PECAM-1 could mediate platelet adhesion to endothelial cells under shear stress. Platelets binding to endothelial cells interfered with endothelial cell mechanotransduction through PECAM-1, affecting endothelial cell inflammatory responses towards pathological shear flow. PMID: 28013181
  23. Immunohistochemical expression of CD31 and vascular endothelial growth factor (VEGF) were assessed in parallel. PMID: 27270504
  24. CD31 is expressed in mycosis fungoides (MF) skin biopsies, which provides new evidence for the role of angiogenesis in the progression of MF PMID: 27630298
  25. The Leu125Val polymorphism of PECAM-1 and the level of soluble PECAM-1 are not associated with diabetic nephropathy in Caucasians with type 2 diabetes mellitus. PMID: 28116228
  26. We provide the first report that pro-angiogenic genes PECAM1, PTGS1, FGD5, and MCAM may play a vital role in pathological dermal angiogenesis disorders of psoriasis. PMID: 26748901
  27. The PECAM-1 functions as an adhesive stress-response protein to both maintain endothelial cell junctional integrity and speed restoration of the vascular permeability barrier following inflammatory or thrombotic challenge. PMID: 27055047
  28. These studies indicate a role for PECAM-1 in enhancing the inhibitory functions of TGF-beta in T cells PMID: 26956486
  29. PECAM1 plays an important role in the formation of tight junction complex. PMID: 26607202
  30. The most significant associations were detected for PECAM1*V/V + DDAH1*C (OR = 4.17 CI 1.56-11.15 Pperm = 0.005) PMID: 26662939
  31. soluble CD38 (sCD38) in seminal plasma increases the capacitation of sperm via specific interactions between sCD38 and the CD31 on the sperm. PMID: 26407101
  32. expression levels of CD31/ PECAM1 are deregulated in human glioblastoma multiforme tissue specimens; correlation among CD31/PECAM1 and HIF-1alpha and N-cadherin and ADAM-10, two other markers of aggressiveness in the same tumors PMID: 26376118
  33. Radiation-induced stress conditions induce a transient accumulation of granulocytes within the liver by down-regulation/absence of PECAM-1. PMID: 26177067
  34. Suggest that CD31 expression correlates with prognosis in gastrointestinal stromal tumors. PMID: 26078569
  35. PECAM-1 125C/G polymorphism is associated with deep vein thrombosis. PMID: 25846278
  36. Heterogeneity was found in the endothelial cells: their shape, the expression of adhesion molecules(ICAM-1, VCAM-1, and PECAM ), and the adhesion of lymphocytes and monocytes to them changed during the progression of the atherosclerotic process. PMID: 26841644
  37. PECAM1+ melanoma cells form vascular channels PMID: 25335460
  38. Low shear stress can induce inflammatory response via PECAM-1/PARP-1/HMGB1 pathway. PMID: 25793984
  39. Nck promoted oxidative stress-induced activation of NF-kappaB by coupling the tyrosine phosphorylation of PECAM-1 (platelet endothelial cell adhesion molecule-1) to the activation of p21-activated kinase PMID: 25714462
  40. PECAM-1 has a role in mediating the profibrotic and prometastasic environment caused by ethanol in endothelial cells PMID: 24734240
  41. Report correlation between mast cell tryptase and CD31 expression in odontogenic tumors. PMID: 26247531
  42. there are associations between various PECAM-1 polymorphisms in rheumatoid arthritis and systemic lupus erythematosus patients, and PECAM-1 polymorphisms in SLE are protective against atherosclerotic complications PMID: 25201689
  43. preeclampsia does not significantly affect vascular growth or the expression of endothelial junction proteins in human placentas PMID: 25362142
  44. C-CD31 have impaired angiogenic potential and the number of circulating CD31(+) cells were correlated with cardiovascular disease risk PMID: 25267411
  45. demonstrate a functional link between HO-1 gene expression and PECAM-1 in endothelial cells, which might play a critical role in the regulation of inflammation PMID: 24500083
  46. The positive correlation is established between content of polymorphic nuclear monocytes and level of expression of molecules of LFA-1, ICAM-1, LFA-3, and PECAM-1. PMID: 25884075
  47. High CD31 expression associated significantly with better survival and VEGFR3 had no association with survival. Both higher tumor grade and stage were associated with a decreased survival time PMID: 25667475
  48. Suggest that cell confluence and the type of flow are critical independent factors in the induction of TF and PECAM-1 phosphorylation in endothelial cells exposed to disturbed pulsatile flow and chemical stimuli. PMID: 24342062
  49. The finding that the adhesive properties of PECAM-1 are regulatable suggests novel approaches for controlling endothelial cell migration and barrier function in a variety of vascular permeability disorders. PMID: 24936065
  50. for the cytological diagnosis of angiosarcomas, ERG and CD31 are more sensitive vascular markers than CD34 PMID: 25352641

Show More

Hide All

Subcellular Location
Cell membrane; Single-pass type I membrane protein.; [Isoform Long]: Cell membrane; Single-pass type I membrane protein. Membrane raft. Cell junction.; [Isoform Delta15]: Cell junction. Note=Localizes to the lateral border recycling compartment (LBRC) and recycles from the LBRC to the junction in resting endothelial cells.
Tissue Specificity
Expressed on platelets and leukocytes and is primarily concentrated at the borders between endothelial cells. Expressed in human umbilical vein endothelial cells (HUVECs) (at protein level). Expressed on neutrophils (at protein level). Isoform Long predom
Database Links

HGNC: 8823

OMIM: 173445

KEGG: hsa:5175

UniGene: Hs.376675

icon of phone
Call us
301-363-4651 (Available 9 a.m. to 5 p.m. CST from Monday to Friday)
icon of address
Address
7505 Fannin St., Ste 610, Room 7 (CUBIO Innovation Center), Houston, TX 77054, USA
icon of social media
Join us with

Subscribe newsletter

Leave a message

* To protect against spam, please pass the CAPTCHA test below.
CAPTCHA verification
© 2007-2025 CUSABIO TECHNOLOGY LLC All rights reserved. 鄂ICP备15011166号-1
×
Place an order now

I. Product details

*
*
*
*

II. Contact details

*
*

III. Ship To

*
*
*
*
*
*
*

IV. Bill To

*
*
*
*
*
*
*
*