ARPC4 Antibody

Code CSB-PA002130LA01HU
Size US$166
Order now
Image
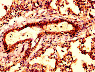
  • IHC image of CSB-PA002130LA01HU diluted at 1:300 and staining in paraffin-embedded human lung tissue performed on a Leica BondTM system. After dewaxing and hydration, antigen retrieval was mediated by high pressure in a citrate buffer (pH 6.0). Section was blocked with 10% normal goat serum 30min at RT. Then primary antibody (1% BSA) was incubated at 4°C overnight. The primary is detected by a biotinylated secondary antibody and visualized using an HRP conjugated SP system.

  • Immunofluorescence staining of Hela cells with CSB-PA002130LA01HU at 1:100, counter-stained with DAPI. The cells were fixed in 4% formaldehyde, permeabilized using 0.2% Triton X-100 and blocked in 10% normal Goat Serum. The cells were then incubated with the antibody overnight at 4°C. The secondary antibody was Alexa Fluor 488-congugated AffiniPure Goat Anti-Rabbit IgG(H+L).

Promotion Free Antibody trial simple
Have Questions? Leave a Message or Start an on-line Chat

Product Details

Full Product Name
Rabbit anti-Homo sapiens (Human) ARPC4 Polyclonal antibody
Uniprot No.
Target Names
Alternative Names
Actin related protein 2/3 complex subunit 4 antibody; Actin related protein 2/3 complex subunit 4 20 kD antibody; Actin related protein 2/3 complex subunit 4 20kDa antibody; Actin related protein 2/3 complex; 20-KD subunit antibody; Actin-related protein 2/3 complex subunit 4 antibody; ARC20 antibody; Arp2/3 complex 20 kDa subunit antibody; Arp2/3 protein complex subunit p20 antibody; ARPC 4 antibody; ARPC4 antibody; ARPC4_HUMAN antibody; MGC13544 antibody; OTTHUMP00000165252 antibody; OTTHUMP00000207520 antibody; p20 Arc antibody; p20-ARC antibody; p20ARC antibody
Raised in
Rabbit
Species Reactivity
Human
Immunogen
Recombinant Human Actin-related protein 2/3 complex subunit 4 protein (2-168AA)
Immunogen Species
Homo sapiens (Human)
Conjugate
Non-conjugated

The ARPC4 Antibody (Product code: CSB-PA002130LA01HU) is Non-conjugated. For ARPC4 Antibody with conjugates, please check the following table.

Available Conjugates
Conjugate Product Code Product Name Application
HRP CSB-PA002130LB01HU ARPC4 Antibody, HRP conjugated ELISA
FITC CSB-PA002130LC01HU ARPC4 Antibody, FITC conjugated
Biotin CSB-PA002130LD01HU ARPC4 Antibody, Biotin conjugated ELISA
Clonality
Polyclonal
Isotype
IgG
Purification Method
>95%, Protein G purified
Concentration
It differs from different batches. Please contact us to confirm it.
Buffer
Preservative: 0.03% Proclin 300
Constituents: 50% Glycerol, 0.01M PBS, pH 7.4
Form
Liquid
Tested Applications
ELISA, IHC, IF
Recommended Dilution
Application Recommended Dilution
IHC 1:200-1:500
IF 1:50-1:200
Troubleshooting and FAQs
Storage
Upon receipt, store at -20°C or -80°C. Avoid repeated freeze.
Lead Time
Basically, we can dispatch the products out in 1-3 working days after receiving your orders. Delivery time maybe differs from different purchasing way or location, please kindly consult your local distributors for specific delivery time.
Usage
For Research Use Only. Not for use in diagnostic or therapeutic procedures.

Customer Reviews and Q&A

 Customer Reviews

There are currently no reviews for this product.

Submit a Review here

Target Background

Function
Actin-binding component of the Arp2/3 complex, a multiprotein complex that mediates actin polymerization upon stimulation by nucleation-promoting factor (NPF). The Arp2/3 complex mediates the formation of branched actin networks in the cytoplasm, providing the force for cell motility. In addition to its role in the cytoplasmic cytoskeleton, the Arp2/3 complex also promotes actin polymerization in the nucleus, thereby regulating gene transcription and repair of damaged DNA. The Arp2/3 complex promotes homologous recombination (HR) repair in response to DNA damage by promoting nuclear actin polymerization, leading to drive motility of double-strand breaks (DSBs).
Gene References into Functions
  1. Expression of the ARPC4 severely affects mycobacterium tuberculosis growth and suppresses immunogenic response in murine macrophages PMID: 23894563
  2. we show cell line-specific differences in ARP2/3 complex subunit dependency on cell migratory potential, and suggest ARPC4 to be one of the key members of the ARP2/3 complex in pancreatic cancer. PMID: 23267127
  3. We show that coronin 3 similar to other coronins interacts with the Arp2/3-complex and cofilin indicating that this family in general is involved in regulating Arp2/3-mediated events. PMID: 17274980
Subcellular Location
Cytoplasm, cytoskeleton. Cell projection. Nucleus.
Protein Families
ARPC4 family
Database Links

HGNC: 707

OMIM: 604226

KEGG: hsa:10093

STRING: 9606.ENSP00000388169

UniGene: Hs.323342

icon of phone
Call us
301-363-4651 (Available 9 a.m. to 5 p.m. CST from Monday to Friday)
icon of address
Address
7505 Fannin St., Ste 610, Room 7 (CUBIO Innovation Center), Houston, TX 77054, USA
icon of social media
Join us with

Subscribe newsletter

Leave a message

* To protect against spam, please pass the CAPTCHA test below.
CAPTCHA verification
© 2007-2025 CUSABIO TECHNOLOGY LLC All rights reserved. 鄂ICP备15011166号-1
×
Place an order now

I. Product details

*
*
*
*

II. Contact details

*
*

III. Ship To

*
*
*
*
*
*
*

IV. Bill To

*
*
*
*
*
*
*
*