CXCR6 Antibody

Code CSB-PA188638
Size US$166
Order now
Image
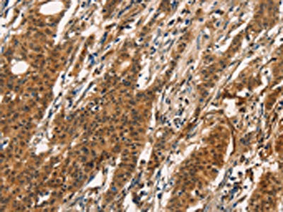
  • The image on the left is immunohistochemistry of paraffin-embedded Human liver cancer tissue using CSB-PA188638(CXCR6 Antibody) at dilution 1/20, on the right is treated with fusion protein. (Original magnification: ×200)
  • The image on the left is immunohistochemistry of paraffin-embedded Human gastric cancer tissue using CSB-PA188638(CXCR6 Antibody) at dilution 1/20, on the right is treated with fusion protein. (Original magnification: ×200)
  • Gel: 8%SDS-PAGE, Lysate: 40 μg, Lane: Mouse brain tissue, Primary antibody: CSB-PA188638(CXCR6 Antibody) at dilution 1/400, Secondary antibody: Goat anti rabbit IgG at 1/8000 dilution, Exposure time: 2 minutes
Have Questions? Leave a Message or Start an on-line Chat

Product Details

Uniprot No.
Target Names
Alternative Names
CXCR6; BONZO; STRL33; TYMSTR; C-X-C chemokine receptor type 6; CXC-R6; CXCR-6; CDw186; G-protein coupled receptor STRL33; G-protein coupled receptor bonzo; CD antigen CD186
Raised in
Rabbit
Species Reactivity
Human,Mouse
Immunogen
Fusion protein of Human CXCR6
Immunogen Species
Homo sapiens (Human)
Conjugate
Non-conjugated
Isotype
IgG
Purification Method
Antigen affinity purification
Concentration
It differs from different batches. Please contact us to confirm it.
Buffer
Liquid in PBS containing 50% glycerol, 0.5% BSA and 0.02% sodium azide.
Form
Liquid
Tested Applications
ELISA,WB,IHC
Recommended Dilution
Application Recommended Dilution
ELISA 1:2000-1:5000
WB 1:200-1:1000
IHC 1:50-1:200
Troubleshooting and FAQs
Storage
Upon receipt, store at -20°C or -80°C. Avoid repeated freeze.
Lead Time
Basically, we can dispatch the products out in 1-3 working days after receiving your orders. Delivery time maybe differs from different purchasing way or location, please kindly consult your local distributors for specific delivery time.
Usage
For Research Use Only. Not for use in diagnostic or therapeutic procedures.

Customer Reviews and Q&A

 Customer Reviews

There are currently no reviews for this product.

Submit a Review here

Target Background

Function
Receptor for the C-X-C chemokine CXCL16. Used as a coreceptor by SIVs and by strains of HIV-2 and m-tropic HIV-1.
Gene References into Functions
  1. demonstrate that macrophages can promote the migration and invasion of ovarian carcinoma cells by affecting the CXCL16/CXCR6 pathway PMID: 30049511
  2. Identified a population of gut-derived TREG cells producing CCR6 and CXCR6 which are significantly reduced in inflammatory bowel disease. PMID: 29981781
  3. The expression of CXCR6 in tumor tissue may serve as a potential prognostic biomarker to refine clinical prognosis prediction combined with traditional clinical and pathological analysis for patients with clear cell renal cell carcinoma (ccRCC) after surgery. PMID: 28918166
  4. Data showed that reverse signaling via CXCL16 promotes migration in CXCL16-expressing melanoma and glioblastoma cells, but does not affect proliferation or protection from chemically-induced apoptosis. PMID: 28698473
  5. Our results demonstrated that CXCR6 is an independent prognostic factor for poor survival in gastric cancer patients, and may promote gastric cancer metastasis through epithelial-mesenchymal transition. PMID: 28440473
  6. In this study, we undertook a comprehensive comparison of CXCR6 gene variation in two South African populations (black and Caucasian) and investigated the possible association between two CXCR6 SNPs and different phenotypes of HIV-1 control in HIV-1-infected black South African individuals. PMID: 28428094
  7. Our study demonstrated that CXCL16-CXCR6 mediates CD8(+) T-cell skin trafficking under oxidative stress in patients with vitiligo. PMID: 27826097
  8. the DRF motif of CXCR6 may display a receptor adaptation allowing adhesion and cell retention by transmembrane CXCL16 but reducing the chemotactic response to soluble CXCL16. PMID: 28267793
  9. this study shows that CXCR6 mRNA levels in osteosarcoma tissues are higher than those in normal bone tissues PMID: 27823764
  10. CXCR6 rs2234358 was associated with HCV spontaneous clearance and response to IFN-alpha/RBV therapy in Chinese Han population. PMID: 28456591
  11. The expression level of CXCR6 was increased in gastric cancer. PMID: 25921630
  12. The expression of CXCL16 and and its receptor, CXCR6, their immunolocalization in disc tissue and their presence following exposure of cultured human annulus fibrosus cells to proinflammatory cytokines are reported. PMID: 27869573
  13. Inflammation contributed to foam cell formation in the radial arteries of ESRD patients via activation of the CXCL16/CXCR6 pathway, which may be regulated by P2X7R. PMID: 27877078
  14. High CXCR6 expression is associated with prostate cancer. PMID: 26799186
  15. MiR-361-5p was down-regulated in Hepatocellular Carcinoma tissues in comparison to adjacent normal tissues, due to hypermethylation at its promoter region. Overexpression of miR-361-5p suppressed proliferation and invasion of HCC cells. Chemokine (C-X-C Motif) receptor 6 (CXCR6) was identified as a target of miR-361-5p. PMID: 26872014
  16. Wnt5a-Ror2 signaling enhances expression and secretion of CXCL16 in mesenchymal stem cells thereby activating CXCR6 expressed on tumor cells to promote proliferation. PMID: 26708384
  17. high protein expression of CXCL16 and high protein co-expression of CXCL16/CXCR6 in prostate cancer were independent predictors for a worse clinical outcome PMID: 26272362
  18. Authors present evidence that chemokine receptor CXCR6 and its only natural ligand, CXCL16, are significantly expressed by non-small cell lung cancer (NSCLC) and are involved in the pathobiology of lung cancer. PMID: 25888629
  19. we examined the expression of CXCL16 and CXCR6 and their relations to prognosis in 335 unselected patients with NSCLC, and investigated possible relationships with our previously studied immunologic and angiogenic markers PMID: 26021984
  20. high expression of CXCR6 is positively associated with distant invasion of human hepatocellular carcinoma (HCC) patients. PMID: 25572735
  21. CXCL16/CXCR6 interaction may play an important role in modifying the response of pDCs to environmental danger signals PMID: 24302814
  22. Our results suggest that the CXCL16/CXCR6 axis appears to be important in the progression of Ewing sarcoma family tumor PMID: 24507753
  23. Data suggest that expression of CXCR6 in T-cells and natural killer cells is up-regulated in subjects with metabolic syndrome and correlates with severity of carotid atherosclerosis (i.e., intima-media thickness and plaque index). PMID: 23398954
  24. CXCL16 is highly expressed by glial tumor and stroma cells whereas CXCR6 defines a subset of cells with stem cell character. PMID: 23628207
  25. CXCR6 was found to be abundantly expressed in human meningioma samples of different malignant grades. PMID: 23229614
  26. the present review proposes and discusses the possibility to modulate tumor self renewal affecting asymmetric/symmetric cell division targeting specific factors such as CXCR6. PMID: 22678828
  27. The expressions of CXCL12/CXCR4 and CXCL16/CXCR6 were significantly higher in epithelial ovarian carcinomas than in normal epithelial ovarian tissues or benign epithelial ovarian tumors. Expression of CXCR6 was related to lymph node metastasis. PMID: 21527066
  28. CXCL16 and CXCR6 might be involved in the pathophysiology of endometriosis through regulation of the inflammatory response. PMID: 21773780
  29. The data supported a role for CCR5, CXCR3, and CXCR6 in the selective recruitment of T cells into renal cell carcinoma tissue and, together with CCR6, in the recruitment of regulatory T cells. PMID: 22079021
  30. The results indicated that CXCL16-CXCR6 interactions mediate homing of CD8+ T cells into human skin, and thereby contribute to psoriasis pathogenesis. PMID: 22113484
  31. CXCL16 and CXCR6 are elevated in Systemic sclerosis (SSc) serum and on SSc dermal Endothelial cells, respectively PMID: 21303517
  32. High CXCL16/CXCR6 expression may be related to aggressive cancer behavior, and high CXCL16 expression to bone metastases. PMID: 21468586
  33. CXCR6 has a role in aggressive tumor phenotype in melanoma PMID: 21203549
  34. The CXCL16 A181V mutation selectively inhibits monocyte adhesion to CXCR6 but is not associated with human coronary heart disease. PMID: 21233446
  35. CXCR6 protein was detected in all clinical prostate cancer samples. Both PC3 and LNCap cells expressed CXCR6 mRNA and protein. PMID: 20646641
  36. The statistical significance, the replication, and the magnitude of the association demonstrate that CXCR6 is likely involved in the molecular etiology of AIDS and, in particular, in long-term nonprogression. PMID: 20704485
  37. data suggest that CXCL16 and CXCR6 may mark cancers arising in an inflammatory milieu and mediate pro-tumorigenic effects of inflammation through effects on cancer cell growth and by inducing the migration and proliferation of tumor-associated leukocytes PMID: 19690611
  38. Chemokine receptor expression on MBP-reactive T cells: CXCR6 is a marker of IFNgamma-producing effector cells. PMID: 12044980
  39. CCR1, CCR6, and CXCR6 are preferentially expressed by the low cytokine-producing CD8 and CD4(-)CD8(-) subsets of natural killer T-cells. PMID: 12070001
  40. There is an association between CXCR6 genotype and progression from Pneumocystis carinii pneumonia to death in African-Americans with AIDS. PMID: 12761559
  41. CXCR6 expression is down-regulated, independent of CCR5 or CD69 expression and of cytokine induction, by T cell activation signals that involve predominantly the Ca(2+)-dependent calcineurin pathway. PMID: 12914753
  42. The chemokine domain of SR-PSOX/CXCL16 mediated the adhesion of CXCR6-expressing cells, which was not impaired by treatment with pertussis toxin, and was up-regulated by treatment of SR-PSOX/CXCL16-expressing cells with a metalloprotease inhibitor. PMID: 14634054
  43. HIV-2 isolates from aviremic and viremic individuals commonly use as coreceptors CCR5, GPR15, and CXCR6 PMID: 15650194
  44. Immunohistochemistry revealed CXCR6 protein predominantly localised in normal colorectal epithelial cells and some scattered stromal cells. No or weak expression was found in cancerous tissue. PMID: 15736401
  45. chemokine receptor CXCR6 was overexpressed in Th1 and Tc1 T lymphocytes compared with peripheral blood lymphocytes in Graves disease PMID: 15817921
  46. CXCR6 was expressed more frequently on synovial T cells than in peripheral blood PMID: 16200580
  47. LPS upregulates CXCR6 mRNA, protein, & surface expression in human aortic smooth muscle cells. Inhibition of TLR4 blocked LPS-mediated CXCR6 expression. LPS stimulated both AP-1 (c-Fos, c-Jun) and NF-kappaB (p50 and p65) activation. PMID: 16870145
  48. T cells expressing CCR6, CXCR3, and CXCR6 act coordinately with respective ligands and Th1 inflammatory cytokines in the alveolitic/granuloma phases of the disease. PMID: 17615381
  49. Data show that CC chemokine receptor 5 and CXC chemokine receptor 6 expression by lung CD8+ cells correlates with chronic obstructive pulmonary disease severity. PMID: 17640964
  50. HIV-1 infected patients with initial viral load suppression due to HAART showed a faster virologic failure in the presence of the CXCR6-3K allele PMID: 17725420

Show More

Hide All

Subcellular Location
Cell membrane; Multi-pass membrane protein.
Protein Families
G-protein coupled receptor 1 family
Tissue Specificity
Expressed in lymphoid tissues and activated T cells.
Database Links

HGNC: 16647

OMIM: 605163

KEGG: hsa:10663

STRING: 9606.ENSP00000304414

UniGene: Hs.34526

icon of phone
Call us
301-363-4651 (Available 9 a.m. to 5 p.m. CST from Monday to Friday)
icon of address
Address
7505 Fannin St., Ste 610, Room 7 (CUBIO Innovation Center), Houston, TX 77054, USA
icon of social media
Join us with

Subscribe newsletter

Leave a message

* To protect against spam, please pass the CAPTCHA test below.
CAPTCHA verification
© 2007-2025 CUSABIO TECHNOLOGY LLC All rights reserved. 鄂ICP备15011166号-1
×
Place an order now

I. Product details

*
*
*
*

II. Contact details

*
*

III. Ship To

*
*
*
*
*
*
*

IV. Bill To

*
*
*
*
*
*
*
*