CYTH2 Antibody

Code CSB-PA857445ESR2HU
Size US$166
Order now
Image
  • Western blot
    All lanes: CYTH2 antibody at 5.1µg/ml + MCF-7 whole cell lysate
    Secondary
    Goat polyclonal to rabbit IgG at 1/10000 dilution
    Predicted band size: 47 kDa
    Observed band size: 47 kDa

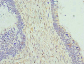
  • Immunohistochemistry of paraffin-embedded human ovarian cancer using CSB-PA857445ESR2HU at dilution of 1:100

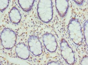
  • Immunohistochemistry of paraffin-embedded human colon cancer using CSB-PA857445ESR2HU at dilution of 1:100

Have Questions? Leave a Message or Start an on-line Chat

Product Details

Full Product Name
Rabbit anti-Homo sapiens (Human) CYTH2 Polyclonal antibody
Uniprot No.
Target Names
Alternative Names
ARF exchange factor antibody; ARF nucleotide binding site opener antibody; ARF nucleotide-binding site opener antibody; Arno antibody; ARNO protein antibody; CLM2 antibody; CTS18 antibody; CTS18.1 antibody; CYH2_HUMAN antibody; Cyth2 antibody; Cytohesin 2 antibody; Cytohesin-2 antibody; MGC137537 antibody; MGC80440 antibody; PH antibody; PH; SEC7 and coiled-coil domain-containing protein 2 antibody; Pleckstrin homology Sec7 and coiled coil domains 2 antibody; Pleckstrin homology Sec7 and coiled coil domains protein 2 antibody; Protein ARNO antibody; PSCD2 antibody; PSCD2L antibody; PSCD2L; formerly antibody; SEC7 and coiled-coil domain-containing protein 2 antibody; Sec7 antibody; SEC7 homolog B antibody; Sec7B antibody; SEC7L antibody; Sec7p L antibody; Sec7p-like antibody; Sec7pL antibody
Raised in
Rabbit
Species Reactivity
Human
Immunogen
Recombinant Human Cytohesin-2 protein (150-350AA)
Immunogen Species
Homo sapiens (Human)
Conjugate
Non-conjugated
Clonality
Polyclonal
Isotype
IgG
Purification Method
Antigen Affinity Purified
Concentration
It differs from different batches. Please contact us to confirm it.
Buffer
PBS with 0.02% sodium azide, 50% glycerol, pH7.3.
Form
Liquid
Tested Applications
ELISA, WB, IHC
Recommended Dilution
Application Recommended Dilution
WB 1:1000-1:5000
IHC 1:20-1:200
Troubleshooting and FAQs
Storage
Upon receipt, store at -20°C or -80°C. Avoid repeated freeze.
Lead Time
Basically, we can dispatch the products out in 1-3 working days after receiving your orders. Delivery time maybe differs from different purchasing way or location, please kindly consult your local distributors for specific delivery time.
Usage
For Research Use Only. Not for use in diagnostic or therapeutic procedures.

Customer Reviews and Q&A

 Customer Reviews

There are currently no reviews for this product.

Submit a Review here

Target Background

Function
Acts as a guanine-nucleotide exchange factor (GEF). Promotes guanine-nucleotide exchange on ARF1, ARF3 and ARF6. Activates ARF factors through replacement of GDP with GTP. The cell membrane form, in association with ARL4 proteins, recruits ARF6 to the plasma membrane. Involved in neurite growth.
Gene References into Functions
  1. ARNO-ARF1 regulates formation of podosomes by inhibition of RhoA/myosin-II and promotion of actin core assembly. PMID: 28007915
  2. Authors' experiments argue against ARNO being a robust modifier of EGFR catalytic activity. PMID: 27203102
  3. Data establish a role for cytohesin-2/ARNO as a regulator of R-Ras and integrin recycling and suggest that ARF-regulated trafficking of R-Ras is required for R-Ras-dependent effects on spreading and adhesion formation. PMID: 26378252
  4. The authors show that Shigella flexneri IpgD phosphatase activity is required for recruitment of the ARF6 guanine nucleotide exchange factor (GEF) ARF nucleotide binding site opener (ARNO) to bacterial entry sites. PMID: 25736891
  5. inhibiting cytohesins or ARNO as cytoplasmic activators of EGFR and IGF-I in colorectal cancer resulted in anti-proliferation, reduced invasion, decreased migration, and suppressed growth in vivo and in vitro. PMID: 24618737
  6. Cytohesin-2 constitutively suppresses platelet dense granule secretion and aggregation by keeping ARF6 in a GTP-bound state PMID: 24581425
  7. Expression of CYTH2 mutant deficient of the EFh2 domain in cells also inhibits Arf6 activation and neurite extension. PMID: 22659138
  8. Phosphorylation of Ser392 of ARNO stabilized the C-terminal alpha-helix via formation of salt bridges between phospho-Ser392 and Arg390, Lys395, and Lys396. PMID: 24083777
  9. There is an association between cytohesin-2 expression and overall survival and disease-free survival in patients with hepatocellular carcinoma. PMID: 23545718
  10. Arf6/ ARNO signaling mediates phospholipase-D, ERK1/2 and cofilin activation in pancreatic beta-cells. PMID: 23095975
  11. Kinetics of interaction between ADP-ribosylation factor-1 (Arf1) and the Sec7 domain of Arno guanine nucleotide exchange factor, modulation by allosteric factors, and the uncompetitive inhibitor brefeldin A PMID: 23255605
  12. The N termini of a-subunit isoforms are involved in signaling between vacuolar H+-ATPase (V-ATPase) and cytohesin-2 PMID: 23288846
  13. ARNO in turn triggered WAVE regulatory complex recruitment and activation, which was dramatically enhanced when ARNO cooperated with Salmonella SopE. PMID: 22341462
  14. role for endothelial ARNO in VEGF-dependent initiation of angiogenesis by regulation of VEGFR-2 internalization in endothelial cells, resulting in the activation of the Akt pathway, vessel permeability, and ultimately endothelial proliferation PMID: 22002459
  15. Data that aldolase forms a complex with ARNO/Arf6 and the V-ATPase and that it may contribute to remodeling of the actin cytoskeleton. PMID: 21307348
  16. Arno behaves as a bistable switch, having an absolute requirement for activation by an Arf protein but, once triggered, becoming highly active through the positive feedback effect of Arf1-GTP. PMID: 21118813
  17. cytohesin-2, through a previously unexplored complex formation with paxillin, regulates preadipocyte migration; paxillin plays a previously unknown role as a scaffold protein of Arf guanine-nucleotide exchange factor PMID: 20525696
  18. Specific motifs of the V-ATPase a2-subunit isoform interact with catalytic and regulatory domains of ARNO. PMID: 20153292
  19. protein-protein interaction mediated by ARNO coiled-coil domain required for ARNO induced motility; coiled-coil domain promotes assembly of multiprotein complex containing ARNO and Dock180; assembly of complex requires coiled-coil domain, GRASP and IPCEF PMID: 20016009
  20. The overexpression of ARNO, another mammalian GEF, produces extensive neuritogenesis in Aplysia neurons PMID: 12641750
  21. cytohesin 2 binds to IPCEF1, which modifies its activity PMID: 12920129
  22. the N-terminal coiled-coil and parts of the Sec7 domain of cytohesin-2 are required for serum-mediated transcriptional activation in nonimmune cells PMID: 15277685
  23. Endogenous levels of ARNO/cytohesin-2 present in HEK293 cells are sufficient and necessary for sustained activation of the MAP kinase signaling pathway PMID: 16027149
  24. The transport and regulation of ARNO in polartized epithelial cells, and its interactions with ARF6 in endocytosis are reported. PMID: 16484220
  25. Study shows that three related Arf-like GTPases Arl4a, Arl4c, and Arl4d, are able to recruit ARNO and other cytohesins to the plasma membrane by binding to their PH domains irrespective of whether they are in the diglycine or triglycine form. PMID: 17398095
  26. data suggest cells ruffle upon CaSR (calcium sensing receptor)stimulation via a mechanism that involves translocation of beta-arrestin 1 pre-assembled with the CaSR or ARNO (Arf nucleotide binding site opener) PMID: 17623778

Show More

Hide All

Subcellular Location
Cell membrane; Peripheral membrane protein. Cytoplasm. Cell projection. Cell projection, growth cone. Cell junction, tight junction. Cell junction, adherens junction.
Tissue Specificity
Widely expressed.
Database Links

HGNC: 9502

OMIM: 602488

KEGG: hsa:9266

STRING: 9606.ENSP00000408236

UniGene: Hs.144011

icon of phone
Call us
301-363-4651 (Available 9 a.m. to 5 p.m. CST from Monday to Friday)
icon of address
Address
7505 Fannin St., Ste 610, Room 7 (CUBIO Innovation Center), Houston, TX 77054, USA
icon of social media
Join us with

Subscribe newsletter

Leave a message

* To protect against spam, please pass the CAPTCHA test below.
CAPTCHA verification
© 2007-2025 CUSABIO TECHNOLOGY LLC All rights reserved. 鄂ICP备15011166号-1
×
Place an order now

I. Product details

*
*
*
*

II. Contact details

*
*

III. Ship To

*
*
*
*
*
*
*

IV. Bill To

*
*
*
*
*
*
*
*