DHCR24 Antibody

Code CSB-PA663869
Size US$166
Order now
Image
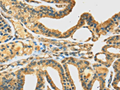
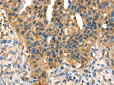
  • The image on the left is immunohistochemistry of paraffin-embedded Human breast cancer tissue using CSB-PA663869(DHCR24 Antibody) at dilution 1/35, on the right is treated with fusion protein. (Original magnification: ×200)
  • The image on the left is immunohistochemistry of paraffin-embedded Human thyroid cancer tissue using CSB-PA663869(DHCR24 Antibody) at dilution 1/35, on the right is treated with fusion protein. (Original magnification: ×200)
  • Gel: 8%SDS-PAGE, Lysate: 80 μg, Lane: Mouse brain tissue, Primary antibody: CSB-PA663869(DHCR24 Antibody) at dilution 1/400 dilution, Secondary antibody: Goat anti rabbit IgG at 1/8000 dilution, Exposure time: 5 seconds
Have Questions? Leave a Message or Start an on-line Chat

Product Details

Uniprot No.
Target Names
DHCR24
Alternative Names
24 dehydrocholesterol reductase antibody; 24-dehydrocholesterol reductase antibody; 3 beta hydroxysterol delta 24 reductase antibody; 3-beta-hydroxysterol delta-24-reductase antibody; DCE antibody; Delta(24)-sterol reductase antibody; Desmosterol to cholesterol enzyme antibody; DHC24_HUMAN antibody; Dhcr24 antibody; Diminuto dwarf1 homolog antibody; Diminuto/dwarf1 homolog antibody; KIAA0018 antibody; Nbla03646 antibody; Seladin-1 antibody; SELADIN1 antibody; Selective AD indicator 1 antibody; Selective Alzheimer's Disease Indicator 1 antibody
Raised in
Rabbit
Species Reactivity
Human,Mouse,Rat
Immunogen
Fusion protein of Human DHCR24
Immunogen Species
Homo sapiens (Human)
Conjugate
Non-conjugated
Isotype
IgG
Purification Method
Antigen affinity purification
Concentration
It differs from different batches. Please contact us to confirm it.
Buffer
-20°C, pH7.4 PBS, 0.05% NaN3, 40% Glycerol
Form
Liquid
Tested Applications
ELISA,WB,IHC
Recommended Dilution
Application Recommended Dilution
ELISA 1:2000-1:5000
WB 1:500-1:2000
IHC 1:25-1:100
Troubleshooting and FAQs
Storage
Upon receipt, store at -20°C or -80°C. Avoid repeated freeze.
Lead Time
Basically, we can dispatch the products out in 1-3 working days after receiving your orders. Delivery time maybe differs from different purchasing way or location, please kindly consult your local distributors for specific delivery time.
Usage
For Research Use Only. Not for use in diagnostic or therapeutic procedures.

Customer Reviews and Q&A

 Customer Reviews

There are currently no reviews for this product.

Submit a Review here

Target Background

Function
Catalyzes the reduction of the delta-24 double bond of sterol intermediates during cholesterol biosynthesis. In addition to its cholesterol-synthesizing activity, can protect cells from oxidative stress by reducing caspase 3 activity during apoptosis induced by oxidative stress. Also protects against amyloid-beta peptide-induced apoptosis.
Gene References into Functions
  1. The crucial role of the insulin/STAT3/DHCR24/PGR axis in the progression of endometrial carcinoma. PMID: 28112250
  2. DHCR24 might be a therapeutic target for patients with bladder cancer PMID: 30278482
  3. Mutation in DHCR24 gene cause desmosterolosis presenting with multiple congenital anomalies with increased level of the cholesterol precursor desmosterol while disrupting development of cholesterol, impacting embryogenesis. PMID: 29175559
  4. Study observed decreased methylation at the DHCR24 locus in offspring of women with active pregnancy eating disorders (ED) and increased methylation at the LGALS2 locus in offspring of women with past ED compared to controls. PMID: 29093763
  5. the expanding database of post-translational modifications will be a valuable resource for mapping the topology of membrane-associated proteins, such as DHCR24, that is, flagging cytosolic residues accessible to modifying enzymes such as kinases and ubiquitin ligases. PMID: 27919032
  6. DHCR24 auto-antibody represents a potential noninvasive biomarker for hepatitis C virus-related liver disease and may facilitate the diagnosis of PIVKA-II and AFP-negative hepatocellular carcinoma. PMID: 26288822
  7. In vitro experiments showed that DHCR24 overexpression induced tumor proliferation. PMID: 24562935
  8. Data (including data from studies using RNA from post-mortem brain tissue) suggest that expression of DHCR24 is up-regulated in parietal cortex of patients with Huntington's disease as compared to control subjects. PMID: 24916565
  9. Data indicate a mechanism whereby 3beta-hydroxysterol Delta24-reductase (DHCR24) activity is regulated by signaling. PMID: 24363437
  10. DHCR24 expression protects neuronal cells from apoptotic cell death induced by endoplasmic reticulum stress. PMID: 24489783
  11. TR-beta and LXR-alpha competitively up-regulate the human Seladin-1 promoter, sharing the same response element, site A. PMID: 23416078
  12. DHCR24 gene expression is regulation by cholesterol availability. PMID: 23050906
  13. Inflammation is inhibited in coronary artery endothlial cells by increasing 3beta-hydroxysteroid-Delta24 reductase expression. PMID: 23123430
  14. a novel role for 24,25EC in cholesterol homeostasis, through its rapid inhibition of cholesterol synthesis at DHCR24. PMID: 22178193
  15. a gender dependent effect of DHCR24 rs600491 polymorphism on the susceptibility to Alzheimer disease. PMID: 22910610
  16. Activation of Sp1 by oxidative stress is involved in the promotion of expression of DHCR24 by Hepatitis C virus. PMID: 22431021
  17. This study describes Simvastatin modulates the Alzheimer's disease-related gene seladin-1. PMID: 21987590
  18. DHCR24-overexpressed cells were protected from apoptosis in response to oxidative stress, which was accompanied by a decrease in DHCR24 content on the ER and activation of caspase-3. PMID: 22010141
  19. affected individuals have a homozygous missense mutation in DHCR24 leading to dramatically augmented plasma desmosterol levels. We thus establish a clear consistent phenotype of desmosterolosis (MIM 602398). PMID: 21559050
  20. Level of brain amyloid deposition on [(11)C]PiB PET was associated with rs7551288, an intronic SNP in DHCR24, in 103 participants. The minor allele was associated with lower PiB uptake with non-carriers showing higher PiB uptake in frontal regions. PMID: 21901424
  21. DNA methylation and histone acetylation have roles in regulating the promoter region of the human DHCR24 gene PMID: 20568014
  22. Promoter methylation could be involved in the altered pattern of seladin-1 gene expression in adrenal carcinoma. PMID: 20465827
  23. Reduced expression of the enzyme that converts desmosterol into cholesterol, Alzheimer indicator 1 gene (seladin-1/dhcr24), in cortex and cerebellum may underlie increased desmosterol levels in 21 month-old amyloid-beta mutant mice. PMID: 20061631
  24. Seladin-1 involvement in proliferation and secretion suggests that its downregulation may be a major mechanism causing prostate cancer evolution. PMID: 20166102
  25. seladin-1/DHCR24 is modulated by the ACTH/cAMP-driven pathway and its expression is reduced in adrenal cancer PMID: 15001630
  26. unanticipated role for Seladin-1, previously implicated in Alzheimer's disease and cholesterol metabolism, in integrating cellular response to oncogenic and oxidative stress PMID: 15577914
  27. High levels of DHCR24 gene expression is associated with melanoma metastases PMID: 15688385
  28. seladin-1 has been isolated and found to be down-regulated in brain regions affected by Alzheimer disease--REVIEW PMID: 15954227
  29. These original results demonstrate for the first time that seladin-1 is abundantly expressed by stem cells and appear to suggest that reduced expression in AD might be due to an altered pool of multipotent cells. PMID: 16762343
  30. DHCR24 gene may be associated with Alzheimer's disease risk. PMID: 17510943
  31. Preliminary results suggest the absence of an association between DHCR24/seladin-1 genotypes and Alzheimer's disease in the Italian population. PMID: 17579359
  32. ablation of DHCR24/seladin-1 prevented apoptosis of primary neurons in a p53-dependent manner PMID: 17984220
  33. DHCR24 protects neuroblastoma cells against Abeta toxicity by increasing membrane cholesterol content. PMID: 18194465
  34. Seladin-1 may be considered a fundamental mediator of the neuroprotective effects of estrogen. PMID: 18499757
  35. the seladin-1 gene is androgen regulated and has a higher level of expression in prostate cancer tissues compared to the normal prostate PMID: 18762779
  36. Seladin-1/DHCR24 is an LXR target gene and that LXR may regulate lipid raft formation. PMID: 18815215
  37. Results suggest that antiinflammatory effects of HDLs are mediated partly through an upregulation of DHCR24. PMID: 19325144
  38. seladin-1 expression and intracellular localization are correlated with both the intensity and nature of ACTH-induced steroidogenesis and resultant oxidative stress. PMID: 19520779
  39. seladin-1 downregulation increases BACE1 levels and activity through enhanced GGA3 depletion during apoptosis PMID: 19815556
  40. DHCR24 is elevated in response to HCV infection and inhibits the p53 stress response by stimulating the accumulation of the MDM2-p53 complex in the cytoplasm and by inhibiting the acetylation of p53 in the nucleus. PMID: 19861417

Show More

Hide All

Involvement in disease
Desmosterolosis (DESMOS)
Subcellular Location
Endoplasmic reticulum membrane; Single-pass membrane protein. Golgi apparatus membrane; Single-pass membrane protein.
Protein Families
FAD-binding oxidoreductase/transferase type 4 family
Tissue Specificity
Highly expressed in brain and adrenal gland with moderate expression in liver, lung, spleen, prostate and spinal cord. Low expression in heart, uterus and prostate. Undetectable in blood cells. In the brain, strongly expressed in cortical regions, substan
Database Links

HGNC: 2859

OMIM: 602398

KEGG: hsa:1718

STRING: 9606.ENSP00000360316

UniGene: Hs.498727

icon of phone
Call us
301-363-4651 (Available 9 a.m. to 5 p.m. CST from Monday to Friday)
icon of address
Address
7505 Fannin St., Ste 610, Room 7 (CUBIO Innovation Center), Houston, TX 77054, USA
icon of social media
Join us with

Subscribe newsletter

Leave a message

* To protect against spam, please pass the CAPTCHA test below.
CAPTCHA verification
© 2007-2025 CUSABIO TECHNOLOGY LLC All rights reserved. 鄂ICP备15011166号-1
×
Place an order now

I. Product details

*
*
*
*

II. Contact details

*
*

III. Ship To

*
*
*
*
*
*
*

IV. Bill To

*
*
*
*
*
*
*
*