DUSP11 Antibody

Code CSB-PA032749
Size US$166
Order now
Image
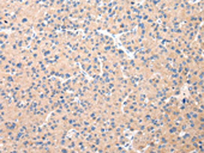
  • The image on the left is immunohistochemistry of paraffin-embedded Human liver cancer tissue using CSB-PA032749(DUSP11 Antibody) at dilution 1/25, on the right is treated with fusion protein. (Original magnification: ×200)
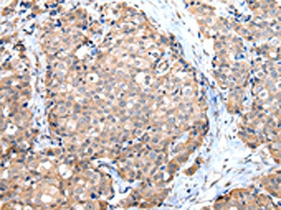
  • The image on the left is immunohistochemistry of paraffin-embedded Human breast cancer tissue using CSB-PA032749(DUSP11 Antibody) at dilution 1/25, on the right is treated with fusion protein. (Original magnification: ×200)
Have Questions? Leave a Message or Start an on-line Chat

Product Details

Uniprot No.
Target Names
DUSP11
Alternative Names
DUSP11 antibody; PIR1RNA/RNP complex-1-interacting phosphatase antibody; EC 3.1.3.- antibody; Dual specificity protein phosphatase 11 antibody; Phosphatase that interacts with RNA/RNP complex 1 antibody
Raised in
Rabbit
Species Reactivity
Human
Immunogen
Full length fusion protein
Immunogen Species
Homo sapiens (Human)
Conjugate
Non-conjugated
Isotype
IgG
Purification Method
Antigen affinity purification
Concentration
It differs from different batches. Please contact us to confirm it.
Buffer
-20°C, pH7.4 PBS, 0.05% NaN3, 40% Glycerol
Form
Liquid
Tested Applications
ELISA,IHC
Recommended Dilution
Application Recommended Dilution
ELISA 1:2000-1:5000
IHC 1:25-1:100
Troubleshooting and FAQs
Storage
Upon receipt, store at -20°C or -80°C. Avoid repeated freeze.
Lead Time
Basically, we can dispatch the products out in 1-3 working days after receiving your orders. Delivery time maybe differs from different purchasing way or location, please kindly consult your local distributors for specific delivery time.
Usage
For Research Use Only. Not for use in diagnostic or therapeutic procedures.

Customer Reviews and Q&A

 Customer Reviews

There are currently no reviews for this product.

Submit a Review here

Target Background

Function
Possesses RNA 5'-triphosphatase and diphosphatase activities, but displays a poor protein-tyrosine phosphatase activity. In addition, has phosphatase activity with ATP, ADP and O-methylfluorescein phosphate (in vitro). Binds to RNA. May participate in nuclear mRNA metabolism.
Gene References into Functions
  1. Results implicate DUSP11 as an important component of XRN-mediated restriction of hepatitis C virus replication. PMID: 30038017
  2. DUSP11 regulates host and viral non-coding RNAs in mammalian cells. PMID: 28296624
  3. PIR gene expression is highly dependent on the expression of HR-HPV E6 and E7 oncoproteins HPV-positive cell lines. PMID: 29118270
  4. DUSP11 converts the 5' triphosphate of miRNA precursors to a 5' monophosphate, promoting loading of derivative 5p miRNAs into Argonaute proteins via a Dicer-coupled 5' monophosphate-dependent strand selection mechanism. PMID: 27798849
  5. the atomic structure of a catalytically inactive mutant (C152S) of the human PIR1 phosphatase core (PIR1-core, residues 29-205), refined at 1.20 A resolution. PMID: 24447265
  6. results suggest that DUSP11 contributes to p53-dependent inhibition of cell proliferation and that it might be involved in regulating RNA splicing through SAM68 PMID: 19120688

Show More

Hide All

Subcellular Location
Nucleus. Nucleus speckle.
Protein Families
Protein-tyrosine phosphatase family, Non-receptor class dual specificity subfamily
Database Links

HGNC: 3066

OMIM: 603092

KEGG: hsa:8446

STRING: 9606.ENSP00000272444

UniGene: Hs.14611

icon of phone
Call us
301-363-4651 (Available 9 a.m. to 5 p.m. CST from Monday to Friday)
icon of address
Address
7505 Fannin St., Ste 610, Room 7 (CUBIO Innovation Center), Houston, TX 77054, USA
icon of social media
Join us with

Subscribe newsletter

Leave a message

* To protect against spam, please pass the CAPTCHA test below.
CAPTCHA verification
© 2007-2025 CUSABIO TECHNOLOGY LLC All rights reserved. 鄂ICP备15011166号-1
×
Place an order now

I. Product details

*
*
*
*

II. Contact details

*
*

III. Ship To

*
*
*
*
*
*
*

IV. Bill To

*
*
*
*
*
*
*
*