FGL2 Antibody

Code CSB-PA876389
Size US$166
Order now
Image
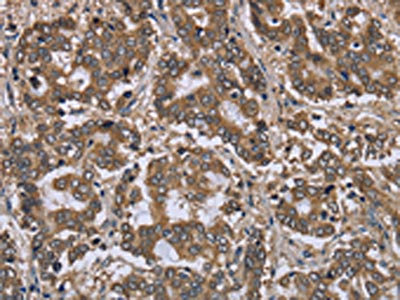
  • The image on the left is immunohistochemistry of paraffin-embedded Human liver cancer tissue using CSB-PA876389(FGL2 Antibody) at dilution 1/20, on the right is treated with fusion protein. (Original magnification: ×200)
  • Gel: 8%SDS-PAGE, Lysate: 40 μg, Lane: Mouse thymus tissue, Primary antibody: CSB-PA876389(FGL2 Antibody) at dilution 1/450, Secondary antibody: Goat anti rabbit IgG at 1/8000 dilution, Exposure time: 40 seconds
Have Questions? Leave a Message or Start an on-line Chat

Product Details

Uniprot No.
Target Names
FGL2
Alternative Names
FGL2 antibody; FGL2_HUMAN antibody; fibrinogen like 2 antibody; Fibrinogen like protein 2 antibody; Fibrinogen-like protein 2 antibody; Fibroleukin antibody; pT49 antibody; T49 antibody
Raised in
Rabbit
Species Reactivity
Human,Mouse
Immunogen
Fusion protein of Human FGL2
Immunogen Species
Homo sapiens (Human)
Conjugate
Non-conjugated
Isotype
IgG
Purification Method
Antigen affinity purification
Concentration
It differs from different batches. Please contact us to confirm it.
Buffer
-20°C, pH7.4 PBS, 0.05% NaN3, 40% Glycerol
Form
Liquid
Tested Applications
ELISA,WB,IHC
Recommended Dilution
Application Recommended Dilution
ELISA 1:2000-1:5000
WB 1:500-1:2000
IHC 1:25-1:100
Troubleshooting and FAQs
Storage
Upon receipt, store at -20°C or -80°C. Avoid repeated freeze.
Lead Time
Basically, we can dispatch the products out in 1-3 working days after receiving your orders. Delivery time maybe differs from different purchasing way or location, please kindly consult your local distributors for specific delivery time.
Usage
For Research Use Only. Not for use in diagnostic or therapeutic procedures.

Customer Reviews and Q&A

 Customer Reviews

There are currently no reviews for this product.

Submit a Review here

Target Background

Function
May play a role in physiologic lymphocyte functions at mucosal sites.
Gene References into Functions
  1. serum levels of soluble FAS ligand (sFASL) and interferon gamma (IFN-gamma) were analyzed and correlated with sFGL2 levels in Hepatitis C Virus-Infected Patients and Hepatocellular Carcinoma Patients. PMID: 28609212
  2. Data suggest that fibrinogen-like protein 2 (hFGL2) gene silencing via miRNA may be an alternative strategy for the management of hepatocellular carcinoma (HCC). PMID: 27163335
  3. Report increased expression of FGL-2 in peripheral blood mononuclear cells from mycosis fungoides patients. PMID: 27535237
  4. these results suggest that FGL-2 mediates angiogenesis and tumorigenesis not by thrombin-mediated mechanism but rather through FGF-2/ERK signaling pathway. PMID: 25496996
  5. Results show that FGL2 functions as a key immune-suppressive modulator and has potential as an immunotherapeutic target for treating glioblastoma multiforme (GBM). PMID: 25971300
  6. FGL-2 prothrombinase activity in PBMC of lymphoma patients is increased in active disease and normalizes during remission, thus being a potential marker for follow up of lymphoma patients. PMID: 25303152
  7. Studied fibrinogen-like protein 2 expression and its role in CRC metastasis and underlying molecular mechanisms; results suggest that FGL2 plays an important oncogenic role in CRC aggressiveness by inducing EMT. PMID: 25129313
  8. The selected peptide sequence NPG-12 may be a critical domain for hfgl2 prothrombinase activity. PMID: 24728278
  9. The proliferation index of CD8(+)T cells after blocking FGL2 was higher. PMID: 22886967
  10. immunomodulatory activity of FGL2 may be involved in the immunopathogenesis of inflammatory bowel disease PMID: 24287641
  11. Circulating fibrinogen-like protein 2 is increased in patients with systemic sclerosis. PMID: 22983266
  12. Serum fgl2 levels were increased among renal allograft recipients with acute rejection episodes to an extent dependent upon the pathological type and severity of the response. PMID: 23195010
  13. FGL2 contributes to hepatocellular carcinoma tumour growth and angiogenesis in a thrombin-dependent manner, and downregulation of its expression might be of therapeutic significance in HCC. PMID: 22925132
  14. HBV surface antigen-induced transcription of hfgl2 prothrombinase gene. PMID: 22082274
  15. FGL2 plays an important role in macrophage activation in the lungs of COPD patients through MAPK pathway modulation. PMID: 20438701
  16. FGL2 expression may be critical to the pathogenesis of renal allograft rejection; these data provide a rationale for targeting the fgl2 gene in an attempt to modulate allograft rejection. PMID: 15905589
  17. Results suggest that virus-induced fibrinogen-like protein 2 prothrombinase/fibroleukin expression and associated coagulation activity play a pivotal role in initiating severe hepatitis. PMID: 16437596
  18. fgl2 gene transcription induced by the N protein of SARS-CoV was dependent on transcription factor C/EBP alpha binding with its cognate cis-element in fgl2 promoter. PMID: 18390877
  19. Hepatitis B virus-induced hFGL2 transcription is dependent on c-Ets-2 and MAPK signal pathway PMID: 18801734
  20. Human fg12 contributes to the hypercoagulability in cancer and may induce tumor angiogenesis and metastasis via cytokine induction. PMID: 18932275
  21. SARS-CoV N protein specifically modulates transcription of the FGL2 gene to cause fibrosis and vascular thrombosis. PMID: 19423547

Show More

Hide All

Subcellular Location
Secreted.
Tissue Specificity
Constitutively expressed in cytotoxic T-cells.
Database Links

HGNC: 3696

OMIM: 605351

KEGG: hsa:10875

STRING: 9606.ENSP00000248598

UniGene: Hs.520989

icon of phone
Call us
301-363-4651 (Available 9 a.m. to 5 p.m. CST from Monday to Friday)
icon of address
Address
7505 Fannin St., Ste 610, Room 7 (CUBIO Innovation Center), Houston, TX 77054, USA
icon of social media
Join us with

Subscribe newsletter

Leave a message

* To protect against spam, please pass the CAPTCHA test below.
CAPTCHA verification
© 2007-2025 CUSABIO TECHNOLOGY LLC All rights reserved. 鄂ICP备15011166号-1
×
Place an order now

I. Product details

*
*
*
*

II. Contact details

*
*

III. Ship To

*
*
*
*
*
*
*

IV. Bill To

*
*
*
*
*
*
*
*