PPP2R3A Antibody

Code CSB-PA925621
Size US$166
Order now
Image
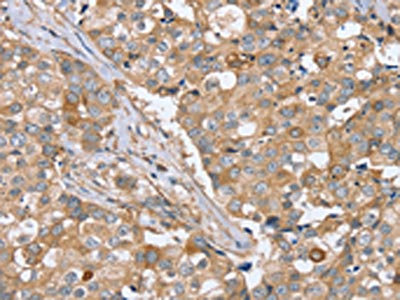
  • The image on the left is immunohistochemistry of paraffin-embedded Human breast cancer tissue using CSB-PA925621(PPP2R3A Antibody) at dilution 1/40, on the right is treated with synthetic peptide. (Original magnification: ×200)
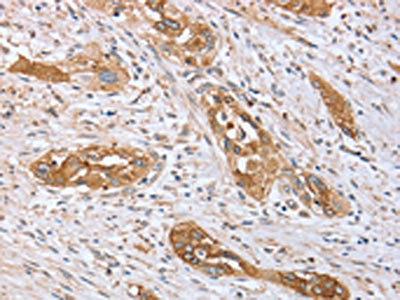
  • The image on the left is immunohistochemistry of paraffin-embedded Human esophagus cancer tissue using CSB-PA925621(PPP2R3A Antibody) at dilution 1/40, on the right is treated with synthetic peptide. (Original magnification: ×200)
  • Gel: 6%SDS-PAGE, Lysate: 40 μg, Lane 1-2: 293T cells, PC3 cells, Primary antibody: CSB-PA925621(PPP2R3A Antibody) at dilution 1/400, Secondary antibody: Goat anti rabbit IgG at 1/8000 dilution, Exposure time: 30 seconds
Have Questions? Leave a Message or Start an on-line Chat

Product Details

Uniprot No.
Target Names
Alternative Names
AI118493 antibody; DNA for thyroid hormone receptor binding site (258bp) antibody; P2R3A_HUMAN antibody; PP2A subunit B B''-PR72/PR130 antibody; PP2A subunit B B72/B130 isoforms antibody; PP2A subunit B isoform PR72/PR130 antibody; PP2A subunit B isoform R3 isoform antibody; PP2A subunit B isoforms B''-PR72/PR130 antibody; PP2A subunit B isoforms B72/B130 antibody; PP2A subunit B PR72/PR130 isoforms antibody; PP2A subunit B R3 isoform antibody; PPP2R3 antibody; Ppp2r3a antibody; PR130 antibody; PR59 antibody; PR72 antibody; Protein phosphatase 2 (formerly 2A) regulatory subunit B'' alpha antibody; Serine/threonine protein phosphatase 2A 72/130 kDa regulatory subunit B antibody; Serine/threonine-protein phosphatase 2A 72/130 kDa regulatory subunit B antibody; Serine/threonine-protein phosphatase 2A regulatory subunit B'' subunit alpha antibody
Raised in
Rabbit
Species Reactivity
Human
Immunogen
Synthetic peptide of Human PPP2R3A
Immunogen Species
Homo sapiens (Human)
Conjugate
Non-conjugated
Isotype
IgG
Purification Method
Antigen affinity purification
Concentration
It differs from different batches. Please contact us to confirm it.
Buffer
-20°C, pH7.4 PBS, 0.05% NaN3, 40% Glycerol
Form
Liquid
Tested Applications
ELISA,WB,IHC
Recommended Dilution
Application Recommended Dilution
ELISA 1:1000-1:2000
WB 1:200-1:1000
IHC 1:50-1:200
Troubleshooting and FAQs
Storage
Upon receipt, store at -20°C or -80°C. Avoid repeated freeze.
Lead Time
Basically, we can dispatch the products out in 1-3 working days after receiving your orders. Delivery time maybe differs from different purchasing way or location, please kindly consult your local distributors for specific delivery time.
Usage
For Research Use Only. Not for use in diagnostic or therapeutic procedures.

Customer Reviews and Q&A

 Customer Reviews

There are currently no reviews for this product.

Submit a Review here

Target Background

Function
The B regulatory subunit might modulate substrate selectivity and catalytic activity, and also might direct the localization of the catalytic enzyme to a particular subcellular compartment.
Gene References into Functions
  1. HDAC1 and HDAC2 suppress the expression of PPP2R3A/PR130, a regulatory subunit of the trimeric serine/threonine phosphatase 2 (PP2A). PMID: 29472538
  2. this study shows the importance of PP2A complexes with the LIM domains of lipoma-preferred partner in cell adhesion and migration dynamics PMID: 26945059
  3. two Ca2+-binding EF-hand motifs in the B"/PR72 subunit of protein phosphatase 2A demonstrating the ability or calcium ions to interact with and regulate PP2A PMID: 12524438
  4. The B''/PR72 subunit mediates Ca2+-dependent dephosphorylation of DARPP-32 by protein phosphatase 2A. PMID: 17535922
  5. PP2A can be targeted in a calcium-regulated manner to Cdc6 via the PR70 subunit, where it plays a role in regulating protein phosphorylation and stability. PMID: 18397887
  6. PR72 interacts physically and functionally with Naked cuticle. PR72, like Naked cuticle, acts as a negative regulator of the classical Wnt signaling cascade. PMID: 15687260

Show More

Hide All

Tissue Specificity
Expressed in heart, brain, placenta, lung, muscle and kidney.
Database Links

HGNC: 9307

OMIM: 604944

KEGG: hsa:5523

STRING: 9606.ENSP00000264977

UniGene: Hs.518155

icon of phone
Call us
301-363-4651 (Available 9 a.m. to 5 p.m. CST from Monday to Friday)
icon of address
Address
7505 Fannin St., Ste 610, Room 7 (CUBIO Innovation Center), Houston, TX 77054, USA
icon of social media
Join us with

Subscribe newsletter

Leave a message

* To protect against spam, please pass the CAPTCHA test below.
CAPTCHA verification
© 2007-2025 CUSABIO TECHNOLOGY LLC All rights reserved. 鄂ICP备15011166号-1
×
Place an order now

I. Product details

*
*
*
*

II. Contact details

*
*

III. Ship To

*
*
*
*
*
*
*

IV. Bill To

*
*
*
*
*
*
*
*