PRKX Antibody

Code CSB-PA051875
Size US$166
Order now
Image
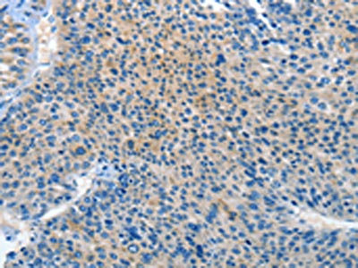
  • The image on the left is immunohistochemistry of paraffin-embedded Human liver cancer tissue using CSB-PA051875(PRKX Antibody) at dilution 1/20, on the right is treated with synthetic peptide. (Original magnification: ×200)
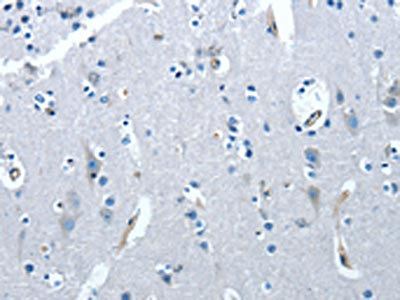
  • The image on the left is immunohistochemistry of paraffin-embedded Human brain tissue using CSB-PA051875(PRKX Antibody) at dilution 1/20, on the right is treated with synthetic peptide. (Original magnification: ×200)
  • Gel: 10%SDS-PAGE, Lysate: 40 μg, Lane 1-4: A549 cells, Jurkat cells, 293T cells, K562 cells, Primary antibody: CSB-PA051875(PRKX Antibody) at dilution 1/200, Secondary antibody: Goat anti rabbit IgG at 1/8000 dilution, Exposure time: 20 seconds
Have Questions? Leave a Message or Start an on-line Chat

Product Details

Uniprot No.
Target Names
PRKX
Alternative Names
PKX1 antibody; PRKX antibody; PRKX_HUMAN antibody; Protein kinase PKX1 antibody; Serine/threonine-protein kinase PRKX antibody
Raised in
Rabbit
Species Reactivity
Human
Immunogen
Synthetic peptide of Human PRKX
Immunogen Species
Homo sapiens (Human)
Conjugate
Non-conjugated
Isotype
IgG
Purification Method
Antigen affinity purification
Concentration
It differs from different batches. Please contact us to confirm it.
Buffer
-20°C, pH7.4 PBS, 0.05% NaN3, 40% Glycerol
Form
Liquid
Tested Applications
ELISA,WB,IHC
Recommended Dilution
Application Recommended Dilution
ELISA 1:1000-1:2000
WB 1:200-1:1000
IHC 1:15-1:50
Troubleshooting and FAQs
Storage
Upon receipt, store at -20°C or -80°C. Avoid repeated freeze.
Lead Time
Basically, we can dispatch the products out in 1-3 working days after receiving your orders. Delivery time maybe differs from different purchasing way or location, please kindly consult your local distributors for specific delivery time.
Usage
For Research Use Only. Not for use in diagnostic or therapeutic procedures.

Customer Reviews and Q&A

 Customer Reviews

There are currently no reviews for this product.

Submit a Review here

Target Background

Function
Serine/threonine protein kinase regulated by and mediating cAMP signaling in cells. Acts through phosphorylation of downstream targets that may include CREB, SMAD6 and PKD1 and has multiple functions in cellular differentiation and epithelial morphogenesis. Regulates myeloid cell differentiation through SMAD6 phosphorylation. Involved in nephrogenesis by stimulating renal epithelial cell migration and tubulogenesis. Also involved in angiogenesis through stimulation of endothelial cell proliferation, migration and vascular-like structure formation.
Gene References into Functions
  1. PRKX, WNT3 and WNT16 genes, belonging to the WNT signaling pathway, are involved in the tumorigenic process of nodular basal cell carcinoma PMID: 27630294
  2. The characteristics and developmental functions of PRKX. [review] PMID: 26252946
  3. findings reveals a major role of PRKX, TTBK2 and RSK4 in triggering Sunitinib resistance formation; data suggest transcriptional regulation of these kinases together with other proteins might play an important role in formation of Sunitinib resistance by affecting transcription factors PMID: 22020623
  4. MBD 4--a potential substrate for protein kinase X PMID: 21971312
  5. The interaction of PRKX with Pin-1, Magi-1 and Bag-3 could contribute to the stimulating role of PRKX in angiogenesis. PMID: 21684272
  6. PRKX kinase may regulate epithelial morphogenesis during mammalian kidney development. PMID: 12082174
  7. PRKX can restore normal function to PKD1-deficient kidneys and have implications for the development of preventative therapy for autosomal dominant polycystic kidney disease PMID: 17980165

Show More

Hide All

Involvement in disease
A chromosomal aberration involving PRKX is a cause of sex reversal disorder. Translocation t(X;Y)(p22;p11) with PRKY. Chromosomal translocations proximal to PRKY account for about 30% of the cases of sex reversal disorder in XX males and XY females.
Subcellular Location
Cytoplasm. Nucleus. Note=cAMP induces nuclear translocation.
Protein Families
Protein kinase superfamily, AGC Ser/Thr protein kinase family, cAMP subfamily
Tissue Specificity
Widely expressed (at protein level). Specifically expressed in blood by macrophages and granulocytes according to PubMed:9860982.
Database Links

HGNC: 9441

OMIM: 300083

KEGG: hsa:5613

STRING: 9606.ENSP00000262848

UniGene: Hs.390788

icon of phone
Call us
301-363-4651 (Available 9 a.m. to 5 p.m. CST from Monday to Friday)
icon of address
Address
7505 Fannin St., Ste 610, Room 7 (CUBIO Innovation Center), Houston, TX 77054, USA
icon of social media
Join us with

Subscribe newsletter

Leave a message

* To protect against spam, please pass the CAPTCHA test below.
CAPTCHA verification
© 2007-2025 CUSABIO TECHNOLOGY LLC All rights reserved. 鄂ICP备15011166号-1
×
Place an order now

I. Product details

*
*
*
*

II. Contact details

*
*

III. Ship To

*
*
*
*
*
*
*

IV. Bill To

*
*
*
*
*
*
*
*