SMAD9 Antibody

Code CSB-PA021794ESR1HU
Size US$166
Order now
Image
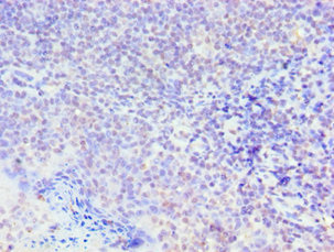
  • Immunohistochemistry of paraffin-embedded human tonsil tissue using CSB-PA021794ESR1HU at dilution of 1:100

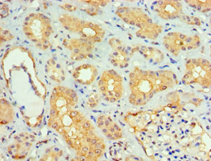
  • Immunohistochemistry of paraffin-embedded human kidney tissue using CSB-PA021794ESR1HU at dilution of 1:100

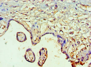
  • Immunohistochemistry of paraffin-embedded human placenta tissue using CSB-PA021794ESR1HU at dilution of 1:100

Have Questions? Leave a Message or Start an on-line Chat

Product Details

Full Product Name
Rabbit anti-Homo sapiens (Human) SMAD9 Polyclonal antibody
Uniprot No.
Target Names
Alternative Names
MAD homolog 9 antibody; Madh6 antibody; Mothers against decapentaplegic antibody; Mothers against decapentaplegic homolog 9 antibody; Mothers against DPP homolog 9 antibody; SMAD 9 antibody; SMAD family member 9 antibody; SMAD, mothers against DPP homolog 9 (Drosophila) antibody; SMAD8A antibody; SMAD8B antibody; Smad9 antibody; SMAD9_HUMAN antibody
Raised in
Rabbit
Species Reactivity
Human
Immunogen
Recombinant Human Mothers against decapentaplegic homolog 9 protein (1-300AA)
Immunogen Species
Homo sapiens (Human)
Conjugate
Non-conjugated
Clonality
Polyclonal
Isotype
IgG
Purification Method
Antigen Affinity Purified
Concentration
It differs from different batches. Please contact us to confirm it.
Buffer
PBS with 0.02% sodium azide, 50% glycerol, pH7.3.
Form
Liquid
Tested Applications
ELISA, IHC
Recommended Dilution
Application Recommended Dilution
IHC 1:20-1:200
Troubleshooting and FAQs
Storage
Upon receipt, store at -20°C or -80°C. Avoid repeated freeze.
Lead Time
Basically, we can dispatch the products out in 1-3 working days after receiving your orders. Delivery time maybe differs from different purchasing way or location, please kindly consult your local distributors for specific delivery time.
Usage
For Research Use Only. Not for use in diagnostic or therapeutic procedures.

Customer Reviews and Q&A

 Customer Reviews

There are currently no reviews for this product.

Submit a Review here

Target Background

Function
Transcriptional modulator activated by BMP (bone morphogenetic proteins) type 1 receptor kinase. SMAD9 is a receptor-regulated SMAD (R-SMAD).
Gene References into Functions
  1. Our results exclude a significant role for the SMAD9v90m mutation in juvenile polyposis syndrome PMID: 28424237
  2. Mutations in SMAD9 gene encoding for transforming growth factor (TGF)-[beta] superfamily have been identified in Pulmonary Arterial Hypertension. PMID: 28582316
  3. Phosphorylated Smad1/5/8/9 specifically bound to the BREs of Smad8/9 gene. The present study reveals that Smad8/9 is a unique R-Smad regulated through the BMP pathway at the mRNA level. PMID: 26748560
  4. Case Report: hamartomatous olyposis and gastrointestinal ganglioneuromas with SMAD9 germline mutation that reduces PTEN expression. PMID: 26122142
  5. ATP production by NaF promotes hypertrophy-like changes via activation of phospho-Smad8 PMID: 23384547
  6. CREBZF, a novel Smad8-binding protein. PMID: 22707059
  7. Study described the first mutation in SMAD8 in a patient with IPAH, and suggested the involvement of SMAD8 in the pathogenesis of PAH. PMID: 19211612

Show More

Hide All

Involvement in disease
Pulmonary hypertension, primary, 2 (PPH2)
Subcellular Location
Cytoplasm. Nucleus.
Protein Families
Dwarfin/SMAD family
Tissue Specificity
Expressed in heart, brain, placenta, lung, skeletal muscle, prostate, testis, ovary and small intestine. Also expressed in fetal brain, lung and kidney.
Database Links

HGNC: 6774

OMIM: 603295

KEGG: hsa:4093

STRING: 9606.ENSP00000369154

UniGene: Hs.123119

icon of phone
Call us
301-363-4651 (Available 9 a.m. to 5 p.m. CST from Monday to Friday)
icon of address
Address
7505 Fannin St., Ste 610, Room 7 (CUBIO Innovation Center), Houston, TX 77054, USA
icon of social media
Join us with

Subscribe newsletter

Leave a message

* To protect against spam, please pass the CAPTCHA test below.
CAPTCHA verification
© 2007-2025 CUSABIO TECHNOLOGY LLC All rights reserved. 鄂ICP备15011166号-1
×
Place an order now

I. Product details

*
*
*
*

II. Contact details

*
*

III. Ship To

*
*
*
*
*
*
*

IV. Bill To

*
*
*
*
*
*
*
*