VASH2 Antibody

Code CSB-PA769783LA01HU
Size US$166
Order now
Image
  • Western Blot
    Positive WB detected in: SY5Y whole cell lysate(30µg), HEK293 whole cell lysate(30µg), A549 whole cell lysate(30µg), HepG2 whole cell lysate(30µg), MCF7 whole cell lysate(30µg), PC-12 whole cell lysate(30µg),BXPC-3 whole cell lysate(30µg),HeLa whole cell lysate(30µg),LO2 whole cell lysate(30µg)
    All lanes: VASH2 antibody at 1:1000
    Secondary
    Goat polyclonal to rabbit IgG at 1/40000 dilution
    Predicted band size: 41,34,19,36,30 kDa
    Observed band size: 41 kDa
    Exposure time: 120s
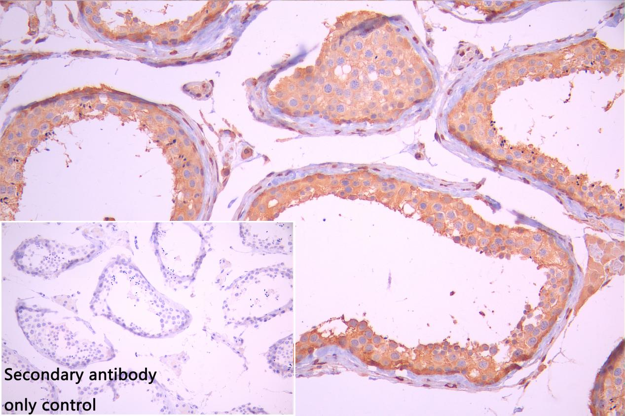
  • IHC image of CSB-PA769783LA01HU diluted at 1:100 and staining in paraffin-embedded human testis tissue performed on a Leica BondTM system. After dewaxing and hydration, antigen retrieval was mediated by high pressure in a citrate buffer (pH 6.0). Section was blocked with 10% normal goat serum 30min at RT. Then primary antibody (1% BSA) was incubated at 4°C overnight. The primary is detected by a Goat anti-rabbit polymer IgG labeled by HRP and visualized using 0.05% DAB. Secondary antibody only control: uses 1% BSA instead of primary antibody
Promotion Free Antibody trial simple
Have Questions? Leave a Message or Start an on-line Chat

Product Details

Full Product Name
Rabbit anti-Homo sapiens (Human) VASH2 Polyclonal antibody
Uniprot No.
Target Names
Alternative Names
FLJ12505 antibody; OTTHUMP00000035013 antibody; OTTHUMP00000035017 antibody; OTTHUMP00000228345 antibody; OTTHUMP00000228346 antibody; OTTHUMP00000228347 antibody; RP11-275G3.1 antibody; VASH2 antibody; VASH2_HUMAN antibody; Vasohibin-2 antibody; Vasohibin-like protein antibody
Raised in
Rabbit
Species Reactivity
Human,Rat
Immunogen
Synthesized peptide derived from human VASH2
Immunogen Species
Homo sapiens (Human)
Clonality
Polyclonal
Isotype
IgG
Purification Method
Antigen affinity purification
Concentration
It differs from different batches. Please contact us to confirm it.
Buffer
Liquid in PBS containing 50% glycerol, 0.5% BSA and 0.02% sodium azide.
Form
Liquid
Tested Applications
ELISA, WB, IHC
Recommended Dilution
Application Recommended Dilution
WB 1:500-1:2000
IHC 1:50-1:300
Troubleshooting and FAQs
Storage
Upon receipt, store at -20°C or -80°C. Avoid repeated freeze.
Lead Time
Basically, we can dispatch the products out in 1-3 working days after receiving your orders. Delivery time maybe differs from different purchasing way or location, please kindly consult your local distributors for specific delivery time.
Usage
For Research Use Only. Not for use in diagnostic or therapeutic procedures.

Customer Reviews and Q&A

 Customer Reviews

There are currently no reviews for this product.

Submit a Review here

Target Background

Function
Tyrosine carboxypeptidase that removes the C-terminal tyrosine residue of alpha-tubulin, thereby regulating microtubule dynamics and function. Critical for spindle function and accurate chromosome segregation during mitosis since microtuble detyronisation regulates mitotic spindle length and postioning. Acts as an activator of angiogenesis: expressed in infiltrating mononuclear cells in the sprouting front to promote angiogenesis. Plays a role in axon formation.
Gene References into Functions
  1. VASH2 may promote drug resistance of breast cancer cells through regulating ABCG2 via the AKT signaling pathway. PMID: 29039601
  2. These results suggest that VASH-2 could play an important role in the pathogenesis of renal diseases, and that VASH-2 is closely associated with hypertension and impaired glucose tolerance. PMID: 29042694
  3. VASH1 and VASH2 but not SVBP alone, increased detyrosination of -tubulin, and purified vasohibins removed the C-terminal tyrosine of -tubulin. PMID: 29146869
  4. These results suggest that VASH2 plays an important role in gastric tumor progression via the accumulation of cancer-associated fibroblasts PMID: 28960674
  5. The present study suggests a protective effect of miR-200b/c on high glucose induced human retinal microvascular endothelial cell line dysfunction by inhibiting VASH2. PMID: 28882646
  6. VASH2 expression is positively correlated with FGF2 expression and promotes angiogenesis in human luminal breast cancer by transcriptional activation of fibroblast growth factor 2 through non-paracrine mechanisms. PMID: 27702660
  7. These data suggest that VASH2 reduces the chemosensitivity to gemcitabine in pancreatic cancer cells via JUN-dependent transactivation of RRM2. PMID: 28327155
  8. identified a novel UPS regulatory system in which essential domain architecture (VASH-PS) of VASHs, comprising regions VASH191-180 and VASH280-169 , regulate the cytosolic punctate structure formation in the absence of SVBP. PMID: 27879017
  9. The results indicate that VASH2 played a significant role in the epithelial-mesenchymal transition by modulating the TGF-beta signaling. PMID: 28064471
  10. to the best of our knowledge, these results are the first clinical data indicating that nuclear VASH2, but not cytoplasmic VASH2, promotes cell proliferation by driving the cell cycle from the G0/G1 to S phase. PMID: 26177649
  11. MiR200-upregulated Vasohibin 2 promotes the malignant transformation of tumors by inducing epithelial-mesenchymal transition in hepatocellular carcinoma PMID: 25269476
  12. Suggest that overexpression of VASH2 in pancreatic ductal adenocarcinoma accelerated the pace of tumor development toward a more serious malignant phenotype and was associated with a poor clinical outcome. PMID: 25916042
  13. VASH1 and VASH2 showed distinctive localization and opposing function on the fetoplacental vascularization. PMID: 25184477
  14. VASH2 overexpression downregulated wild-type p53. PMID: 24595063
  15. VASH2 expressed in serous ovarian carcinoma cells promoted tumor growth and peritoneal dissemination by promoting angiogenesis. PMID: 22826464
  16. This is the first study to report differences in the intracellular localization of the VASH2 protein and, hence, a new research direction on the study of VASH2 PMID: 23615928
  17. vasohibin-1 and vasohibin-2 mRNA are expressed in gastric cancer cells and in tumor-associated macrophages (TAMs), and their expressions are altered by hypoxia. PMID: 22438034
  18. VASH2 contributes to the angiogenesis in hepatocellular carcinoma via an Small vasohibin binding protein-mediated paracrine mechanism. PMID: 22614011
  19. Data suggest that VASH1 is expressed in vascular endothelium to terminate angiogenesis; VASH2 appears to be expressed in other cells (primarily mononuclear leukocytes) to promote angiogenesis. [REVIEW] PMID: 23100270

Show More

Hide All

Subcellular Location
Cytoplasm. Secreted. Cytoplasm, cytoskeleton.
Protein Families
Vasohibin family
Database Links

HGNC: 25723

OMIM: 610471

KEGG: hsa:79805

UniGene: Hs.96885

icon of phone
Call us
301-363-4651 (Available 9 a.m. to 5 p.m. CST from Monday to Friday)
icon of address
Address
7505 Fannin St., Ste 610, Room 7 (CUBIO Innovation Center), Houston, TX 77054, USA
icon of social media
Join us with

Subscribe newsletter

Leave a message

* To protect against spam, please pass the CAPTCHA test below.
CAPTCHA verification
© 2007-2026 CUSABIO TECHNOLOGY LLC All rights reserved. 鄂ICP备15011166号-1
Place an order now

I. Product details

*
*
*
*

II. Contact details

*
*

III. Ship To

*
*
*
*
*
*
*

IV. Bill To

*
*
*
*
*
*
*
*