ABCC1 Recombinant Monoclonal Antibody

Code CSB-RA951201A0HU
Size US$210
Order now
Image
  • Flow cytometric analysis of ABCC1 expression in HeLa cells using ABCC1 antibody. Green, isotype control; red, ABCC1.
  • Immunocytochemical staining of Hela cells with ABCC1 protein antibody. Nuclei were stained blue with DAPI; ABCC1 was stained magenta with Alexa Fluor® 647. Images were taken using Leica stellaris 5. Protein abundance based on laser Intensity and smart gain: Medium. Scale bar, 20 μm.
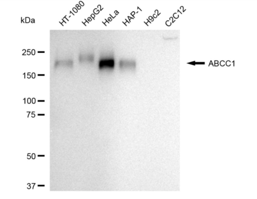
  • Western blotting analysis using ABCC1 antibody. Total cell lysates (30 μg) from various cell lines were loaded and separated by SDS-PAGE. The blot was incubated with ABCC1 antibody and HRP-conjugated goat anti-rabbit secondary antibody respectively.
Have Questions? Leave a Message or Start an on-line Chat

Product Details

Uniprot No.
Target Names
Alternative Names
ABCC1; ATP Binding Cassette Subfamily C Member 1 (ABCC1 Blood Group); GS-X; MRP1; MRP; ATP-Binding Cassette, Sub-Family C (CFTR/MRP), Member 1; Glutathione-S-Conjugate-Translocating ATPase ABCC1; ATP Binding Cassette Subfamily C Member 1; Multidrug Resistance-Associated Protein 1; Glutathione S-Conjugate Export Pump; Leukotriene C(4) Transporter; LTC4 Transporter; ATP-Binding Cassette Transporter Variant ABCC1delta-Ex13&14; ATP-Binding Cassette Transporter Variant ABCC1delta-Ex25&26; ATP-Binding Cassette Transporter Variant ABCC1delta-Ex13; ATP-Binding Cassette Transporter Variant ABCC1delta-Ex25; ATP-Binding Cassette Sub-Family C Member 1; Multidrug Resistance Associated Protein 1; EC 3.6.3.44; EC 7.6.2.2; EC 7.6.2.3; EC 3.6.3; DFNA77; ABC29; ABCC
Species Reactivity
Human
Immunogen
Recombinant Human ABCC1 protein
Immunogen Species
Homo sapiens (Human)
Conjugate
Non-conjugated
Clonality
Monoclonal
Isotype
Rabbit IgG
Clone No.
8C1
Purification Method
Affinity-chromatography
Concentration
It differs from different batches. Please contact us to confirm it.
Buffer
Rabbit IgG in PBS (pH 7.4) containing 50% glycerol, and 0.02% sodium azide.
Form
Liquid
Tested Applications
ELISA, WB, FC, ICC
Recommended Dilution
Application Recommended Dilution
WB 1:1000-1:5000
FC 1:200-1:2000
ICC 1:100-1:1000
Troubleshooting and FAQs
Storage
Upon receipt, store at -20°C or -80°C. Avoid repeated freeze.
Lead Time
Basically, we can dispatch the products out in 1-3 working days after receiving your orders. Delivery time maybe differs from different purchasing way or location, please kindly consult your local distributors for specific delivery time.
Usage
For Research Use Only. Not for use in diagnostic or therapeutic procedures.

Customer Reviews and Q&A

 Customer Reviews

There are currently no reviews for this product.

Submit a Review here

Target Background

Function
Mediates export of organic anions and drugs from the cytoplasm. Mediates ATP-dependent transport of glutathione and glutathione conjugates, leukotriene C4, estradiol-17-beta-o-glucuronide, methotrexate, antiviral drugs and other xenobiotics. Confers resistance to anticancer drugs by decreasing accumulation of drug in cells, and by mediating ATP- and GSH-dependent drug export. Hydrolyzes ATP with low efficiency. Catalyzes the export of sphingosine 1-phosphate from mast cells independently of their degranulation. Participates in inflammatory response by allowing export of leukotriene C4 from leukotriene C4-synthezing cells.
Gene References into Functions
  1. Study suggest that increase in MRP1 gene expression is associated with being a nonsmoker, adenocarcinoma, advanced clinical stages and a poor response to chemotherapy in patients with nonsmall cell lung cancer.[meta-analysis] PMID: 30132569
  2. Cysteine residues were introduced into TMs 8, 14, 15, and 16 of 3Cys DeltaMRP1. PMID: 29572332
  3. Efflux of different arsenic metabolites by MRP1 is likely influenced by multiple factors. PMID: 29752257
  4. Peripheral blood MRP1 expression is increased in patients with refractory epilepsy PMID: 26099600
  5. Due to the downregulation of MDR1 and MRP1, the intracellular accumulation of ADM was increased in the transfected cells compared with that in the parental K562/ADM cells..Our research revealed that protein expression of the ERK signaling pathway was inhibited by downregulating TRIB2, indicating that the ERK pathway was involved in cell drug resistance and proliferation. PMID: 29436678
  6. icaritin (ICT) decreased the mRNA and protein levels of multidrug resistance-associated protein 1 (MRP1) in MG-63 doxorubicin-resistant (MG-63/DOX) cells. PMID: 29425587
  7. Enhanced BRAF-mediated NRF2 gene transcription and Histone Acetyltransferases-mediated NRF2 protein acetylation contributes to ABCC1-mediated chemoresistance and glutathione-mediated survival in acquired topoisomerase II poison-resistant cancer cells. PMID: 29080842
  8. Pomolic acid also down-modulated the activity of the multidrug resistance associated protein 1 (MRP1) and inhibited migration of Glioblastoma (GBM) cells. These results show that PA acts on several pathways of GBM drug resistance and therefore may be of potential interest for the treatment of this tumor PMID: 28849227
  9. Our data present for the very first time the high negative correlation between MRP1 protein expression in LSC and AML patients' remission. It does strongly suggest that MRP1 expression in LSC is an adverse prognostic marker in patients with de novo AML. PMID: 28805931
  10. No significant correlation was observed between rs504348 genotypes and cystic fibrosis severity. A significantly higher expression of ABCC1 mRNA was induced by CF plasma compared to healthy control plasma. PMID: 28800122
  11. MRP1 is regulated by CLIC1, leading to CLIC1-mediated development of chemoresistance in choriocarcinoma cells. PMID: 27983917
  12. High MRP1 expression is associated with resistance to doxorubicin in breast cancer. PMID: 27878697
  13. Our data indicates that hypomethylation of the ABCC1 promoter is not cancer type-specific but occurs in cancer cell lines of different origins. PMID: 27689338
  14. Our work demonstrates for the first time that the adaptation to endoplasmic reticulum(ER) stress in cancer cells produces a MDR phenotype. The PERK/Nrf2/MRP1 axis is responsible for the resistance to ER stress and chemotherapy, and may represent a good therapeutic target in aggressive and resistant tumors. PMID: 28499449
  15. Data show that miR-145 level decreased in breast cancer tissues, breast cancer cell lines and doxorubicin resistant MCF-7 cells, and inversely correlated with multidrug resistance-associated protein 1 (MRP1) expression level. PMID: 27487127
  16. PG accumulation assay is a new, unique tool for the parallel determination of the function of the ABCG2, ABCB1, and ABCC1 multidrug transporters PMID: 29342177
  17. ABCC1 exports corticosterone but not cortisol. We show that ABCC1 is expressed in adipose tissue and that ABCC1 inhibition increases intracellular corticosterone, but not cortisol, and induces glucocorticoid-responsive gene transcription in adipocytes. PMID: 27535620
  18. GSK1904529A did not alter the expression level of MRP1, induced a G0/G1 phase cell cycle arrest. Our results indicated that GSK1904529A significantly increased the sensitivity of MRP1 overexpressing cells to chemotherapeutic agents. PMID: 28266043
  19. High MRP1 expression is associated with ovarian cancer. PMID: 27739315
  20. These results show that multidrug resistant leukemia cell microparticle regulation of ABCC1 in recipient cells is governed by the transfer of both miR-326 and ABCB1 from donor cells PMID: 28050891
  21. Higher expression of ABCG2 and MRP1, and lower expression of CK19 in papillary thyroid carcinomas with a solid component were associated with higher tumor recurrence rate and shorter disease-free survival. PMID: 28411177
  22. Visfatin increases the nuclear translocation of Akt and its binding with ABCC1. These data showed that visfatin can decrease doxorubicin sensitivity of Non-small-cell lung cancer cells via activation of Akt/MRP1. PMID: 28762597
  23. Studied hedgehog signaling effect thru ATP-binding cassette (ABC) transporters in hepatoma drug sensitivity. Results suggest Hedgehog signaling transcription factor Gli-2 to be the primary regulator for drug sensitivity of hepatoma through the ABCC1 transporter. PMID: 28414325
  24. This study demonstrated that mitochondrial MRP-1 is expressed in the outer mitochondrial membrane and is a client protein of HSP90beta. PMID: 26722004
  25. High ABCC1 expression is associated with hepatic fibrosis. PMID: 28098912
  26. This study shows direct binding between MRP1 Linker 1 (L1MRP1) domain and alpha- and beta-tubulin subunits, using a scanning peptide approach PMID: 27908733
  27. In summary, chaetominine strongly reverses drug resistance by interfering with the PI3K/Akt/Nrf2 signaling, resulting in reduction of MRP1-mediated drug efflux and induction of Bax/Bcl-2-dependent apoptosis in an ADR-resistant K562/Adr leukemia cell line. PMID: 27038543
  28. cross-talk between MRP1 glycosylation and phosphorylation occurs. PMID: 27297967
  29. meta-analysis results strongly suggest that MRP1 is overexpressed in both neurons and astrocytes of intractable epilepsy patients, inhibition of MRP1 may enhance antiepileptic drug efficacy by increasing local drug availability PMID: 26000815
  30. Our results show MRP1 as a potential biomarker of resistance to treatment with irinotecan when found in CTCs from mCRC patients. PMID: 26950035
  31. Taxus chinensis var.-mediated downregulation of MRP1, MDR1, and LRP might contribute to the reversal of drug resistance in non-small cell lung cancer stem cells. PMID: 27706681
  32. miR-145 accelerated MRP1 mRNA degradation by directly targeting its 3'-UTR and therefore caused increased cisplatin toxicity in gallbladder cancer cells. Lower miR-145 and higher MRP1 expression levels predicted poor prognosis in GBC patients who received chemotherapy. PMID: 26852750
  33. Caveolin-1 affects ESCC MDR by regulating the expressions of P-gp and MRP1. PMID: 26768616
  34. Report ABCC1 induction by genistein in breast cancer cells may result in drug resistance in tumors treated with substrates of this transport. PMID: 27033456
  35. Results suggest that the LRIG1could negatively control MRP-1 and the apoptosis to improve the sensitivity of VP16-related chemotherapy. PMID: 27183435
  36. Data, including data from studies in knockout mice, suggest that MRP1 is involved in development of vascular endothelial dysfunction in diabetic angiopathy; MRP1 appears to be required for oxidative stress in endothelial cells due to hyperglycemia. PMID: 26908299
  37. The expression of ABCB1, ABCC1 and ABCG2 on primary human T-cells correlates with the efficacy of JAK inhibitor ruxolitinib treatment in regard to T-cell activation and proliferation. PMID: 26589910
  38. Positive expressions of MRP and TOP2A in the tumor tissue are associated with increased risk of developing brain metastases in non-small cell lung cancer (NSCLC). PMID: 26617887
  39. the expression and localization of the ATP-Binding Cassette (ABC) transporters BCRP (ABCG2), P-gp (ABCB1) and MRP1 (ABCC1) in human umbilical cords, is reported. PMID: 26407213
  40. Report decreased function MRP1 activity in methotrexate treated rheumatoid arthritis patients. PMID: 26715450
  41. the specific COX-2 inhibitor meloxicam can increase the intracellular accumulation of doxorubicin and enhance doxorubicin-induced cytotoxicity in A549 cancer cells by reducing the expression of MRP1 and MRP4. PMID: 26600514
  42. The scanning study identified 46 polymorphic variants by screening 30 exons of the ABCC1 gene with adjacent intronic fragments in 190 unrelated Polish individuals. A large fraction of variants represented rare or even completely novel ones. PMID: 26395522
  43. ILK may have an important role in the progression of NSCLC, possibly through up-regulation of Snail and MRP1. PMID: 25964055
  44. MRP1 knockdown down-regulates the deposition of collagen and leads to a reduced hypertrophic scar fibrosis PMID: 26092470
  45. MRP1 activity showed no significant change I primary colorectal cancer patients. PMID: 25885226
  46. Chronic arsenic exposure negatively correlates with the expression of MRP1 in bronchoalveolar lavage cells in patients with lung cancer. PMID: 26031227
  47. The present study investigated the time course and dose dependency of the induction of three efflux proteins, P-gp, MRP1 and MRP5, in response to gemcitabine exposure in Capan-2 pancreatic cancer cell line at transcriptional and translational levels. PMID: 25564970
  48. Our data suggested that miR-7 mediated small cell lung cancer chemoresistance by repressing MRP1/ABCC1 PMID: 26108539
  49. study shows that genetic variability in the nucleotide binding domain 1 has a significant impact on the ABCC1 transcript level in the target tissue and may modify survival of breast cancer patients PMID: 25078270
  50. The level of FBW7 expression in CNE2 cells was correlated with CDDP chemosensitivity. siRNA-mediated upregulation of FBW7 expression downregulated the expression of MRP, significantly increasing drug sensitivity in CNE2 cells. PMID: 25586348

Show More

Hide All

Subcellular Location
Cell membrane; Multi-pass membrane protein.
Protein Families
ABC transporter superfamily, ABCC family, Conjugate transporter (TC 3.A.1.208) subfamily
Tissue Specificity
Lung, testis and peripheral blood mononuclear cells.
Database Links

HGNC: 51

OMIM: 158343

KEGG: hsa:4363

STRING: 9606.ENSP00000382342

UniGene: Hs.391464

icon of phone
Call us
301-363-4651 (Available 9 a.m. to 5 p.m. CST from Monday to Friday)
icon of address
Address
7505 Fannin St., Ste 610, Room 7 (CUBIO Innovation Center), Houston, TX 77054, USA
icon of social media
Join us with

Subscribe newsletter

Leave a message

* To protect against spam, please pass the CAPTCHA test below.
CAPTCHA verification
© 2007-2025 CUSABIO TECHNOLOGY LLC All rights reserved. 鄂ICP备15011166号-1
×
Place an order now

I. Product details

*
*
*
*

II. Contact details

*
*

III. Ship To

*
*
*
*
*
*
*

IV. Bill To

*
*
*
*
*
*
*
*