ACTB Recombinant Monoclonal Antibody

Code CSB-RA145414A0HU
Size US$210
Order now
Image
  • Flow cytometric analysis of β-actin expression in HepG2 cells using β-actin antibody. Green, isotype control; red, β-actin.
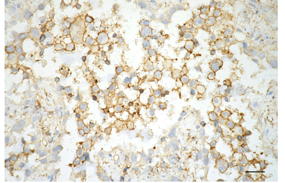
  • Immunohistochemistry was performed on paraffin-embedded human lung adenocarcinoma using beta actin antibody. Antigen retrieval was done in sodium citrate buffer (pH 6.0). DAB was used for detection, with hematoxylin counterstaining. Images were acquired using a Nikon Ci-L Plus microscope (40× objective). Scale bar: 25 μm.
  • Western blotting analysis using beta actin antibody. Total cell lysates (30 μg) from various cell lines were loaded and separated by SDS-PAGE. The blot was incubated with beta actin antibody and HRP-conjugated goat anti-rabbit secondary antibody respectively.
Have Questions? Leave a Message or Start an on-line Chat

Product Details

Uniprot No.
Target Names
Alternative Names
ACTB; Actin Beta; Actin, Cytoplasmic 1; PS1TP5-Binding Protein 1; Beta Cytoskeletal Actin; I(2)-Actin; Beta-Actin; EC 3.6.4.-; PS1TP5BP1; Β-Actin; BKRNS; BRWS1; CSMH; DDS1; THC8; BNS
Species Reactivity
Human, Mouse, Rat
Immunogen
Recombinant Human ACTB protein
Immunogen Species
Homo sapiens (Human)
Conjugate
Non-conjugated
Clonality
Monoclonal
Isotype
Rabbit IgG
Clone No.
13F11
Purification Method
Affinity-chromatography
Concentration
It differs from different batches. Please contact us to confirm it.
Buffer
Rabbit IgG in PBS (pH 7.4) containing 50% glycerol, and 0.02% sodium azide.
Form
Liquid
Tested Applications
ELISA, WB, FC, IHC
Recommended Dilution
Application Recommended Dilution
WB 1:1000-1:5000
FC 1:200-1:2000
IHC 1:100-1:200
Troubleshooting and FAQs
Storage
Upon receipt, store at -20°C or -80°C. Avoid repeated freeze.
Lead Time
Basically, we can dispatch the products out in 1-3 working days after receiving your orders. Delivery time maybe differs from different purchasing way or location, please kindly consult your local distributors for specific delivery time.
Usage
For Research Use Only. Not for use in diagnostic or therapeutic procedures.

Customer Reviews and Q&A

 Customer Reviews

There are currently no reviews for this product.

Submit a Review here

Target Background

Function
Actin is a highly conserved protein that polymerizes to produce filaments that form cross-linked networks in the cytoplasm of cells. Actin exists in both monomeric (G-actin) and polymeric (F-actin) forms, both forms playing key functions, such as cell motility and contraction. In addition to their role in the cytoplasmic cytoskeleton, G- and F-actin also localize in the nucleus, and regulate gene transcription and motility and repair of damaged DNA.
Gene References into Functions
  1. During cell adhesion, an active multistage process naturally leads to pattern transitions from actin vortices over stars into asters. PMID: 28194011
  2. Haploinsufficiency of ACTB is the main cause of the clinical phenotype observed in the patients with 7p22.1 microdeletions. PMID: 29274487
  3. Baraitser-Winter cerebrofrontofacial syndrome is caused by missense mutations in the cytoplasmic beta- and gamma-actin genes ACTB and ACTG1. We provide an overview of the clinical characteristics (including some novel findings in four recently diagnosed patients), diagnosis, management, mutation spectrum and genetic counselling. PMID: 27625340
  4. The authors describe heterozygous ACTB deletions and nonsense and frameshift mutations in 33 individuals with developmental delay, apparent intellectual disability, increased frequency of internal organ malformations (including those of the heart and the renal tract), growth retardation, and a recognizable facial gestalt. PMID: 29220674
  5. Data indicate AIM1 (absent in melanoma 1) as an actin binding protein and show that it regulates cytoskeletal remodeling and cell migration in prostate epithelial cells. PMID: 28747635
  6. Case Report: gastric pericytoma harboring the exceptionally rare translocation t(7;12) resulting in ACTB-GLI1 gene fusion. PMID: 26980027
  7. Data suggest that, in T-lymphocytes, nitric oxide generated by eNOS S-nitrosylates Cys374 on ACTB and thus regulates activation/recruitment of PRKCQ at immune synapse; S-nitrosylation of beta-actin impairs actin binding to PFN1 and regulates protein transport in lamellipodia. (eNOS = nitric oxide synthase 3; ACTB = beta-actin; PRKCQ = protein kinase C-theta; PFN1 = profilin-1) PMID: 28394935
  8. Data indicate that the IQGAP1 N-terminal fragment spanning residues 1-191 (CHDF) binds to both F-actin and Ca(2+)/calmodulin. PMID: 27798963
  9. Based on present and published dup7p22.1 patients we suggest that renal abnormalities might be an additional feature of the 7p22.1 microduplication syndrome.We also pinpoint the ACTB gene as the key gene affecting the 7p22.1 duplication syndrome phenotype. PMID: 27866048
  10. We suggest that haploinsufficiency of ACTB may be responsible for the clinical features of patients with 7p22.1 microdeletions PMID: 27633570
  11. crucial role of Glu270 in ADP-ribosylation of actin by Ia PMID: 26713879
  12. Studies indicate that the process of megakaryocyte maturation and the formation of proplatelets are essential steps in the production of mature platelets and both depend heavily on the actin and microtubule cytoskeletons. PMID: 26210823
  13. Data show that tripartite motif-containing 28 protein (TRIM28) and beta-actin were up-regulated in the glioblastoma multiforme (GBM) stem-like cells compared to the controls. PMID: 25419715
  14. Data suggest that by binding to both clathrin and F-actin, mammalian actin-binding protein 1 (mAbp1; HIP-55 or SH3P7) is specifically recruited at a late stage of clathrin-coated pits (CCPs) formation, which subsequently recruits dynamin to CCPs. PMID: 25690657
  15. The results indicate that the disease-related human beta-actin mutations p.R183W and p.E364K affect interdomain mobility and nucleotide interactions as a basis for the formation of disease phenotypes in patients. PMID: 25255767
  16. Data indicate the WASp-interacting protein (WIP)-Wiskott-Aldrich syndrome protein (WASp) interaction in the regulation of actin-dependent processes. PMID: 24962707
  17. Mutations in ACTB cause a distinctly more severe phenotype than ACTG1 mutations in Baraitser-Winter syndrome. PMID: 23756437
  18. TIA proteins can function as long-term regulators of the ACTB mRNA metabolism in mouse and human cells. PMID: 24766723
  19. Downregulation of the HuR gene results in decreased beta-actin gene expression, which in turn results in decreased motility and proliferation of corneal fibroblasts. PMID: 24826067
  20. Thus, the nucleocapsid domain in HIV-1 Gag does not appear to have a role in actin recruitment or actin incorporation into HIV-1 particles. PMID: 24789788
  21. Taken together, these findings indicate that actin filament dynamics are dispensable for HIV-1 Gag assembly at the plasma membrane of HeLa cells. PMID: 24789789
  22. Results indicate that actin cytoskeleton is one of the upstream regulators of Hippo signaling. PMID: 24040060
  23. PDI appears to regulate cytoskeletal reorganization by the thiol-disulfide exchange in beta-actin via a redox-dependent mechanism. PMID: 24415753
  24. chorein interacts with beta-adducin and beta-actin. PMID: 24129186
  25. Data indicate that monomeric actin probes concentrate in nuclear speckles. PMID: 23447706
  26. the roles of ACTB in tumors PMID: 23266771
  27. Data suggest that P-glycoprotein associate with the F-actin cytoskeleton through ezrin/radixin/moesin (ERM) in CCR9/CCL25 induced multidrug resistance of acute T-lymphocytic leukemia (T-ALL) cells. PMID: 23326330
  28. Two variants of beta-actin, beta1 and beta2 were found in the Enterovirus 71-susceptible rhabdomyosarcoma cells, compared to Enterovirus 71-resistant cells that contains only one variant beta1. PMID: 23535377
  29. Studies indicate that cofilin binds actin stoichiometrically - one cofilin molecule per actin filament subunit. PMID: 23395798
  30. Studies indicate that that vinculin not only bundles actin filaments but can also cap these filaments and promote actin polymerization. PMID: 23466368
  31. Cofilin nuclear shuttling is critical for the cofilin-actin rod stress response. PMID: 22623727
  32. These results indicate that F-actin in association with the M protein alters the interaction between the M and H proteins, thereby modulating measles virus cell-cell fusion and assembly. PMID: 23221571
  33. Data indicate beta-cytoplasmic (beta-CYA) and gamma-cytoplasmic (gamma-CYA) actins differential localization and dynamics at epithelial junctions. PMID: 22855531
  34. roles for undetected ACtB in liver cancer progression PMID: 22961449
  35. Data show that ENOA, PARK7 and Beta-actin are proper reference standards in obesity studies based on omental fat. PMID: 22272336
  36. identified de novo missense changes in the cytoplasmic actin-encoding genes ACTB and ACTG1 in one and two probands, respectively; suggest that Baraitser-Winter syndrome is the predominant phenotype associated with mutation of these two genes PMID: 22366783
  37. Recombinant human actin is constantly shuttled into the murine nucleus by importin 9 and out by exportin 6. Nuclear actin is required for maximal transcription. PMID: 22323606
  38. Antioxidant supplementation was noted to increase G6PDH in the pentose phosphate cycle and 18S rRNA in the ribosome. There were no significant changes in the gene expression levels of beta-ACT PMID: 22285204
  39. non-muscle alpha-ACTN4, HSPA5 and cytoplasmic ACTB, should be targeted in idiopathic premature ovarian failure cases PMID: 21890413
  40. Data indicate taht candidate genes ACTB, BZW, OCM, MACC1, NXPH1, PRPS1L1, RAC1 and RPA3, which lie within the DFNB90 region, were sequenced and no potentially causal variants were identified. PMID: 21734401
  41. ACTB showed high expression in forensic skin and body-fluid samples, providing a suitable marker for skin identification PMID: 21221983
  42. Nuclear beta-actin controls growth arrest of epithelial cells. PMID: 21172822
  43. Data suggest that the existence of a common epitope on the molecules of phosducin and beta-actin may reflect a topological similarity of a small region of their surfaces. PMID: 20804785
  44. Findings indicate that activation of the cofilin-F-actin pathway contributes to tumor cell migration and metastasis enhanced by Aur-A, revealing a novel function for mitotic Aur-A kinase in tumor progression. PMID: 21045147
  45. The actin network plays a role in nuclear ERalpha actions in breast cancer cells. PMID: 20308691
  46. Immunoblot analysis revealed profoundly decreased beta-actin levels during Ectromelia virus infection replicative cycle in the infected cells 24 hrs post infection. PMID: 20201613
  47. This protein has been found differentially expressed in the anterior cingulate cortex from patients with schizophrenia PMID: 20381070
  48. Data show that inducible Hox genes are selectively sensitive to the inhibition of actin polymerization and that actin polymerization is required for the assembly of a transcription complex on the regulatory region of the Hox genes. PMID: 19477923
  49. Results suggest a novel mechanism by which cofilin is regulated by v-Src through tyrosine phosphorylation that triggers the degradation of cofilin through ubiquitination-proteosome pathway and reducing cellular F-actin contents and cell spreading. PMID: 19802004
  50. region responsible for down-regulation of the gamma-actin gene during differentiation is not in the 3' end of the gene in contrast to that for beta-actin. PMID: 11787062

Show More

Hide All

Involvement in disease
Dystonia, juvenile-onset (DJO); Baraitser-Winter syndrome 1 (BRWS1)
Subcellular Location
Cytoplasm, cytoskeleton. Nucleus.
Protein Families
Actin family
Database Links

HGNC: 132

OMIM: 102630

KEGG: hsa:60

STRING: 9606.ENSP00000349960

UniGene: Hs.520640

icon of phone
Call us
301-363-4651 (Available 9 a.m. to 5 p.m. CST from Monday to Friday)
icon of address
Address
7505 Fannin St., Ste 610, Room 7 (CUBIO Innovation Center), Houston, TX 77054, USA
icon of social media
Join us with

Subscribe newsletter

Leave a message

* To protect against spam, please pass the CAPTCHA test below.
CAPTCHA verification
© 2007-2025 CUSABIO TECHNOLOGY LLC All rights reserved. 鄂ICP备15011166号-1
×
Place an order now

I. Product details

*
*
*
*

II. Contact details

*
*

III. Ship To

*
*
*
*
*
*
*

IV. Bill To

*
*
*
*
*
*
*
*