ADH1A Recombinant Monoclonal Antibody

Code CSB-RA234270A0HU
Size US$210
Order now
Image
  • Western Blot
    , Positive WB detected in:COLO205 whole cell lysate(30µg), Mouse liver tissue lysate(30µg), Rat liver lysate(30µg)
    All lanes: ADH1A antibody at 1:1000
    Secondary
    Goat polyclonal to rabbit IgG at 1/40000 dilution
    Predicted band size: 40 kDa
    Observed band size: 40 kDa
    Exposure time:120s
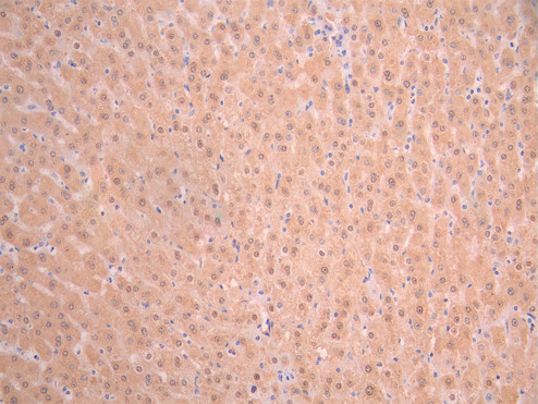
  • IHC image of CSB-RA234270A0HU diluted at 1:100 and staining in paraffin-embedded human liver tissue performed on a Leica BondTM system. After dewaxing and hydration, antigen retrieval was mediated by high pressure in a citrate buffer (pH 6.0). Section was blocked with 10% normal goat serum 30min at RT. Then primary antibody (1% BSA) was incubated at 4°C overnight. The primary is detected by a Goat anti-rabbit polymer IgG labeled by HRP and visualized using 0.05% DAB.
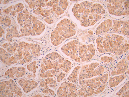
  • IHC image of CSB-RA234270A0HU diluted at 1:100 and staining in paraffin-embedded human liver cancer performed on a Leica BondTM system. After dewaxing and hydration, antigen retrieval was mediated by high pressure in a citrate buffer (pH 6.0). Section was blocked with 10% normal goat serum 30min at RT. Then primary antibody (1% BSA) was incubated at 4°C overnight. The primary is detected by a Goat anti-rabbit polymer IgG labeled by HRP and visualized using 0.05% DAB.
  • Immunofluorescence staining of HepG2 cell with CSB-RA234270A0HU at 1:50 , counter-stained with DAPI. The cells were fixed in 4% formaldehyde, permeabilized using 0.2% Triton X-100 and blocked in 10% normal Goat Serum. The cells were then incubated with the antibody overnight at 4°C. The secondary antibody was Alexa Fluor 488-congugated AffiniPure Goat Anti-Rabbit IgG(H+L).
  • Overlay Peak curve showing HepG2 cells stained with CSB-RA234270A0HU (red line) at 1:100. The cells were fixed in 4% formaldehyde and permeated by 0.2% TritonX-100 for 10min. Then 10% normal goat serum to block non-specific protein-protein interactions followed by the antibody (1ug/1*106cells) for 45min at 4℃. The secondary antibody used was FITC-conjugated goat anti-rabbit IgG (H+L) at 1/200 dilution for 35min at 4℃.Control antibody (green line) was Rabbit IgG (1ug/1*106cells) used under the same conditions. Acquisition of >10, 000 events was performed.
Have Questions? Leave a Message or Start an on-line Chat

Product Details

Uniprot No.
Target Names
ADH1A
Alternative Names
ADH alpha subunit antibody; ADH antibody; ADH1 antibody; ADH1A antibody; ADH1A_HUMAN antibody; Alcohol dehydrogenase 1 (class I), alpha polypeptide antibody; Alcohol dehydrogenase 1 antibody; Alcohol dehydrogenase 1A (class I), alpha polypeptide antibody; Alcohol dehydrogenase 1A antibody; Alcohol dehydrogenase subunit alpha antibody; Aldehyde reductase antibody
Species Reactivity
Human, Mouse, Rat
Immunogen
A synthesized peptide from human ADH1A protein
Immunogen Species
Homo sapiens (Human)
Conjugate
Non-conjugated
Clonality
Monoclonal
Isotype
Rabbit IgG
Clone No.
23D2
Purification Method
Affinity-chromatography
Concentration
It differs from different batches. Please contact us to confirm it.
Buffer
Rabbit IgG in 10mM phosphate buffered saline , pH 7.4, 150mM sodium chloride, 0.05% BSA, 0.02% sodium azide and 50% glycerol.
Form
Liquid
Tested Applications
ELISA, WB, IHC, IF, FC
Recommended Dilution
Application Recommended Dilution
WB 1:500-1:5000
IHC 1:50-1:200
IF 1:50-1:200
FC 1:50-1:200
Troubleshooting and FAQs
Storage
Upon receipt, store at -20°C or -80°C. Avoid repeated freeze.
Lead Time
Basically, we can dispatch the products out in 1-3 working days after receiving your orders. Delivery time maybe differs from different purchasing way or location, please kindly consult your local distributors for specific delivery time.
Usage
For Research Use Only. Not for use in diagnostic or therapeutic procedures.

Customer Reviews and Q&A

 Customer Reviews

There are currently no reviews for this product.

Submit a Review here

Target Background

Gene References into Functions
  1. High ADH expression is associated with Prostate Cancer. PMID: 28870918
  2. Results suggest a potential role of alcohol dehydrogenase (ADH) class I as a marker for renal cell carcinoma (RCC). PMID: 27086037
  3. Data indicate that the up-regulation of aldehyde dehydrogenase-1 (ALDH1) after neoadjuvant chemotherapy (NAC) predicts poor survival in locally advanced breast cancer. PMID: 24762066
  4. Unde-rexpression of the ADH1 gene, which influences the transformation of the extracellular matrix, plays a probable role in the etiology of uterine fibroid. PMID: 23891545
  5. high levels of ADH1 transcription are implicated in fluconazole resistance in C. albicans and that the mRNA expression levels of ADH1 are positively correlated with those of CDR1, CDR2 and FLU1. PMID: 23769565
  6. common ADH variants conferred risk for both schizophrenia in African-Americans and autism in European-Americans. PMID: 23468174
  7. High ADH1 is associated with endometrial cancer. PMID: 20872569
  8. ADH1A variation predisposes to personality traits and substance dependence PMID: 19526455
  9. Structural aspects that influence dimer-tetramer formation. PMID: 12081471
  10. GATA-2 and HNF-3beta regulate the human alcohol dehydrogenase 1A (ADH1A) gene. PMID: 16153155
  11. The oxidative pathway of ethanol metabolism via ADH and ALDH does not play a role in pancreatic carcinogenesis. PMID: 17632320
  12. Alleles of ADH7 SNPs were associated with the early stages of alcohol metabolism, with additional effects in the ADH1A, ADH1B and ADH4 regions. PMID: 19193628
  13. Observational study of healthcare-related. (HuGE Navigator) PMID: 15279067

Show More

Hide All

Subcellular Location
Cytoplasm.
Protein Families
Zinc-containing alcohol dehydrogenase family
Database Links

HGNC: 249

OMIM: 103700

KEGG: hsa:124

STRING: 9606.ENSP00000209668

UniGene: Hs.654433

icon of phone
Call us
301-363-4651 (Available 9 a.m. to 5 p.m. CST from Monday to Friday)
icon of address
Address
7505 Fannin St., Ste 610, Room 7 (CUBIO Innovation Center), Houston, TX 77054, USA
icon of social media
Join us with

Subscribe newsletter

Leave a message

* To protect against spam, please pass the CAPTCHA test below.
CAPTCHA verification
© 2007-2025 CUSABIO TECHNOLOGY LLC All rights reserved. 鄂ICP备15011166号-1
×
Place an order now

I. Product details

*
*
*
*

II. Contact details

*
*

III. Ship To

*
*
*
*
*
*
*

IV. Bill To

*
*
*
*
*
*
*
*