ARHGDIA Recombinant Monoclonal Antibody

Code CSB-RA558416A0HU
Size US$210
Order now
Image
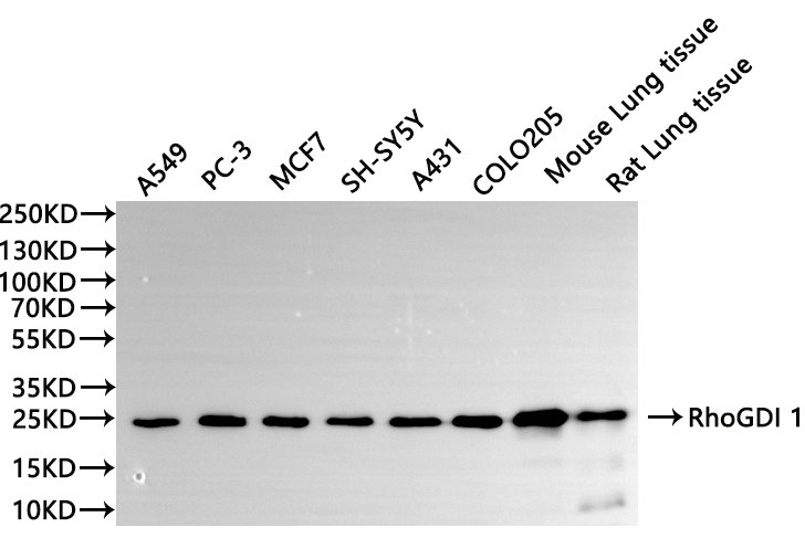
  • Western Blot
    , Positive WB detected in:A549 whole cell lysate(30µg), PC-3 whole cell lysate(30µg), MCF7 whole cell lysate(30µg), SH-SY5Y whole cell lysate(30µg), A431 whole cell lysate(30µg), COLO205 whole cell lysate(30µg), Mouse lung tissue lysate(30µg), Rat lung lysate(30µg)
    All lanes: RhoGDI 1 antibody at 1:1000
    Secondary
    Goat polyclonal to rabbit IgG at 1/40000 dilution
    Predicted band size: 23 kDa
    Observed band size: 25 kDa
    Exposure time:60s
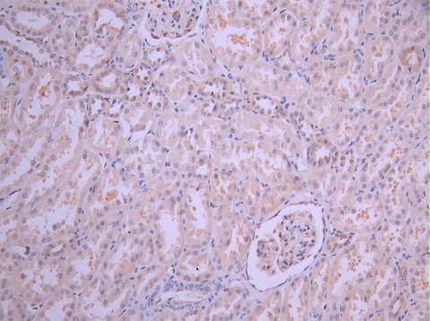
  • IHC image of CSB-RA558416A0HU diluted at 1:100 and staining in paraffin-embedded human kidney tissue performed on a Leica BondTM system. After dewaxing and hydration, antigen retrieval was mediated by high pressure in a citrate buffer (pH 6.0). Section was blocked with 10% normal goat serum 30min at RT. Then primary antibody (1% BSA) was incubated at 4°C overnight. The primary is detected by a Goat anti-rabbit polymer IgG labeled by HRP and visualized using 0.05% DAB.
Have Questions? Leave a Message or Start an on-line Chat

Product Details

Uniprot No.
Target Names
Alternative Names
ARHGDIA antibody; fa96g11 antibody; GDIA 1 antibody; GDIA1 antibody; GDIR1_HUMAN antibody; MGC117248 antibody; NPHS8 antibody; Rho GDI 1 antibody; Rho GDI alpha antibody; Rho GDI antibody; Rho GDP dissociation inhibitor (GDI) alpha antibody; Rho GDP dissociation inhibitor 1 antibody; Rho GDP dissociation inhibitor alpha antibody; Rho GDP-dissociation inhibitor 1 antibody; Rho-GDI alpha antibody; RhoGDI 1 antibody; RhoGDI alpha antibody; RHOGDI antibody; RhoGDI1 antibody; wu:fa96g11 antibody; zgc:55554 antibody; zgc:77681 antibody
Species Reactivity
Human, Mouse, Rat
Immunogen
A synthesized peptide from human ARHGDIA protein
Immunogen Species
Homo sapiens (Human)
Conjugate
Non-conjugated
Clonality
Monoclonal
Isotype
Rabbit IgG
Clone No.
14G5
Purification Method
Affinity-chromatography
Concentration
It differs from different batches. Please contact us to confirm it.
Buffer
Rabbit IgG in 10mM phosphate buffered saline , pH 7.4, 150mM sodium chloride, 0.05% BSA, 0.02% sodium azide and 50% glycerol.
Form
Liquid
Tested Applications
ELISA, WB, IHC
Recommended Dilution
Application Recommended Dilution
WB 1:500-1:5000
IHC 1:50-1:200
Troubleshooting and FAQs
Storage
Upon receipt, store at -20°C or -80°C. Avoid repeated freeze.
Lead Time
Basically, we can dispatch the products out in 1-3 working days after receiving your orders. Delivery time maybe differs from different purchasing way or location, please kindly consult your local distributors for specific delivery time.
Usage
For Research Use Only. Not for use in diagnostic or therapeutic procedures.

Customer Reviews and Q&A

 Customer Reviews

There are currently no reviews for this product.

Submit a Review here

Target Background

Function
Controls Rho proteins homeostasis. Regulates the GDP/GTP exchange reaction of the Rho proteins by inhibiting the dissociation of GDP from them, and the subsequent binding of GTP to them. Retains Rho proteins such as CDC42, RAC1 and RHOA in an inactive cytosolic pool, regulating their stability and protecting them from degradation. Actively involved in the recycling and distribution of activated Rho GTPases in the cell, mediates extraction from membranes of both inactive and activated molecules due its exceptionally high affinity for prenylated forms. Through the modulation of Rho proteins, may play a role in cell motility regulation. In glioma cells, inhibits cell migration and invasion by mediating the signals of SEMA5A and PLXNB3 that lead to inactivation of RAC1.
Gene References into Functions
  1. Results indicate that protein phosphatase 1B (PPM1B) negatively regulates cancer cell motility and invasiveness through dephosphorylating Rho guanine nucleotide dissociation inhibitor 1 (RhoGDI1). PMID: 29307615
  2. RhoGDIalpha is involved in the maintenance of glioma stem cells PMID: 27557508
  3. analysis of the Kindlin-2-RhoGDIalpha-Rac1 signaling axis that is critical for regulation of podocyte structure and function in vivo PMID: 28775002
  4. Data suggest that the interaction between PCBP2 and the 3'UTR of the ARHGDIA mRNA may induce a local change in RNA structure that favors subsequent binding of miR-151-5p and miR-16, thus leading to the suppression of ARHGDIA expression. PMID: 26761212
  5. These molecular changes are indicative of long-term premature endothelial dysfunction and provide a mechanistic framework to the epidemiological data showing increased risk of cardiovascular disease at 0.5 Gy. PMID: 28697312
  6. our results suggest that RhoGDIalpha regulate TRF1 and telomere length and may be novel prognostic biomarkers in colorectal cancer PMID: 28417530
  7. Together, our results suggest a role for Ly-GDI in the localized regulation of Rho GTPases in platelets and hypothesize a link between the PKC and Rho GTPase signaling systems in platelet function. PMID: 28148498
  8. MiR-25 is activated by the WNT/beta-catenin signaling pathway, and exerts its pro-metastatic function by directly inhibiting the Rho GDP dissociation inhibitor alpha (RhoGDI1). Downregulation of RhoGDI1 enhances expression of Snail, thereby promoting EMT. PMID: 26460549
  9. RIP2 and RhoGDI bind to p75(NTR) death domain at partially overlapping epitopes with over 100-fold difference in affinity, revealing the mechanism by which RIP2 recruitment displaces RhoGDI upon ligand binding. PMID: 26646181
  10. Downregulation of RhoGDI could be a critical mechanism of breast tumor development, which may involve the hyperactivation of Rho GTPases and upregulation of COX-2 activity. PMID: 26416248
  11. This study showed that ARHGD1A messenger RNA levels was significantly upregulated in subjects with schizophrenia in laminar and cellular samples. PMID: 25981171
  12. RHOGDI alpha acetylation interferes with Rho signaling, resulting in alteration of cellular filamentous actin. PMID: 26719334
  13. the present study has identified loss of ARHGDIA contributed to the processes of hepatic tumorigenesis, in particular invasion and metastasis PMID: 24859471
  14. Results identify a critical role for 14-3-3tau in promoting breast cancer metastasis, in part through binding to and inhibition of RhoGDIalpha, a negative regulator of Rho GTPases and a metastasis suppressor. PMID: 24820414
  15. new mechanistic insights into the understanding of essential role of SUMOylation at Lys-138 in RhoGDIalpha's biological function. PMID: 24342356
  16. A significant trend was identified between loss of RhoGDI expression in hepatocellular carcinoma and worsening clinical prognosis. PMID: 24228117
  17. Our findings suggest that RhoGDI overexpression is a predictor of distant metastasis and plays an important role in the progression of hepatocellular carcinoma PMID: 24374343
  18. the association of RhoGDIalpha with TROY contributed to TROY-dependent RhoA activation and neurite outgrowth inhibition after Nogo-66 stimulation. PMID: 24129566
  19. It was found that the silencing of RhoGDIalpha in MCF7 and MDA-MB-231 cells significantly increased migration and invasion of these cells into the lower surface of porous membrane of the transwell chambers. PMID: 23563506
  20. GDIalpha suppresses AR signaling through inhibition of AR expression, nuclear translocation, and recruitment to androgen-responsive genes. GDIalpha regulatory pathway may play a critical role in regulating AR signaling and prostate cancer growth and progression. PMID: 23922223
  21. we demonstrated the regulation of targeting/accumulation of the RhoGDIalpha-Rac1 complex to phagosomes PMID: 23918979
  22. ARHGDIA mutations (R120X and G173V) from individuals with nephrotic syndrome abrogated interaction with RHO GTPases and increased active GTP-bound RAC1 and CDC42, but not RHOA. PMID: 23867502
  23. Mutations in ARHGDIA need to be considered in the aetiology of heritable forms of nephrotic syndrome. PMID: 23434736
  24. Prenylated and palmitoylated brain Cdc42 did not interact with RhoGDIalpha. PMID: 23358418
  25. Knockdown of RhoGDIalpha induces apoptosis and increases lung cancer cell chemosensitivity to paclitaxel. PMID: 22668020
  26. Rho GDI may be useful as a diagnostic biomarker and/or a therapeutic to prevent colon and prostate cancer metastasis PMID: 22530308
  27. Loss of GDIalpha expression promotes the development and progression of prostate cancer. PMID: 21681778
  28. Both the mRNA and protein expressions of Rho-GDI in the decidual tissues were significantly higher in the normal pregnancy group than in the two severe preeclampsia groups. PMID: 21269984
  29. Data show that knockdown of S100P led to downregulation of thioredoxin 1 and beta-tubulin and upregulation of RhoGDIA, all potential therapeutic targets in cancer. PMID: 21327297
  30. The RhoGDIalpha protein is located in the acrosome and flagellum of human sperm, and might be involved in sperm movement, capacitation and acrosome reaction. PMID: 21548210
  31. We provide evidence that ARHGDIA, COBLL1, and TM4SF1 are negative regulators of apoptosis in cultured tumor cells. PMID: 21569526
  32. Loss of Rho GDIalpha enhances metastasis and resistance to tamoxifen via effects on both ERalpha and MTA2 in models of ERalpha-positive breast cancer and in tumors of tamoxifen-treated patients. PMID: 21447808
  33. The authors show here that the endocytic pathway followed by Clostridium perfringens Iota and Clostridium botulinum C2 toxins is independent of clathrin but requires the activity of dynamin and is regulated by Rho-GDI. PMID: 20846184
  34. A network consisting of ezrin, RhoGDI1, RhoA, F-actin and membrane proteins functions to influence the modifications that occur on the membrane of the sperm head during human sperm capacitation. PMID: 20711218
  35. Data represent a novel signaling of semaphorin 5A and plexin B3 in the control of cell motility by indirect inactivation of Rac1 through RhoGDIalpha. PMID: 20696765
  36. LASP-1, S100A9 and RhoGDI were detected by proteomic analysis to be differentially expressed between normal mucosa, non-metastatic colorectal carcinoma and metastatic CRC tissue PMID: 20812987
  37. The gene ratio test with the COBLL1/ARHGDIA genes for survival of patients with malignant pleural mesothelioma has robust predictive value. PMID: 19401544
  38. PKC phosphorylates RhoGDIalpha on serine 34, resulting in a specific decrease in affinity for RhoA but not Rac1 or Cdc42. PMID: 20472934
  39. Because RhoGDI1 levels are limiting, and Rho proteins compete for binding to RhoGDI1, overexpression of an exogenous Rho GTPase displaces endogenous Rho proteins bound to RhoGDI1, inducing their degradation and inactivation PMID: 20400958
  40. Increased miR-151 expression due to gains on chromosome 8q24.3 can significantly promote hepatocellular carcinoma invasion/metastasis; meanwhile, upregulation of RhoGDIA, a direct and functional target of miR-151, inhibits migration/invasion. PMID: 20305651
  41. Rho-GDIalpha is possibly a useful biomarker to predict the response of breast cancer patients to CMF treatment. PMID: 20043072
  42. analysis of inhibitory and shuttling functions of rhoGDI-3 and rhoGDI-1 PMID: 15513926
  43. These results suggest that Src-mediated RhoGDI phosphorylation is a novel physiological mechanism for regulating Rho GTPase cytosol membrane-cycling and activity. PMID: 16943322
  44. up-regulated in Crohn's disease and ulcerative colitis patients PMID: 17330946
  45. Underexpression of rho GDP dissociation inhibitor alpha is associated with oligodendroglioma PMID: 17653765
  46. In addition to the activity of RhoGDI alpha in the cytoplasm, it also influences ER alpha signaling in the nucleus. PMID: 17909265
  47. Bcr GTPase-activating domain activity is regulated through direct protein/protein interaction with the Rho guanine nucleotide dissociation inhibitor PMID: 18070886
  48. data suggest that RhoGDI may promote colorectal cancer progression and metastasis by stimulating tumor cell growth and migration PMID: 18651761
  49. halothane binds to a site within the geranylgeranyl chain binding pocket of RhoGDIalpha, whereas alcohols bind to a distal site that interacts allosterically with this pocket. PMID: 18702520
  50. Phosphorylation of GTP dissociation inhibitor by PKA negatively regulates RhoA. PMID: 18768928

Show More

Hide All

Involvement in disease
Nephrotic syndrome 8 (NPHS8)
Subcellular Location
Cytoplasm.
Protein Families
Rho GDI family
Database Links

HGNC: 678

OMIM: 601925

KEGG: hsa:396

STRING: 9606.ENSP00000269321

UniGene: Hs.159161

icon of phone
Call us
301-363-4651 (Available 9 a.m. to 5 p.m. CST from Monday to Friday)
icon of address
Address
7505 Fannin St., Ste 610, Room 7 (CUBIO Innovation Center), Houston, TX 77054, USA
icon of social media
Join us with

Subscribe newsletter

Leave a message

* To protect against spam, please pass the CAPTCHA test below.
CAPTCHA verification
© 2007-2025 CUSABIO TECHNOLOGY LLC All rights reserved. 鄂ICP备15011166号-1
×
Place an order now

I. Product details

*
*
*
*

II. Contact details

*
*

III. Ship To

*
*
*
*
*
*
*

IV. Bill To

*
*
*
*
*
*
*
*