BAG1 Recombinant Monoclonal Antibody

Code CSB-RA981258A0HU
Size US$210
Order now
Image
  • Western Blot
    Positive WB detected in: Hela whole cell lysate(30µg), THP-1 whole cell lysate(30µg)
    All lanes:BAG1 antibody at 1:1000
    Secondary
    Goat polyclonal to rabbit IgG at 1/40000 dilution
    Predicted band size: 39 kDa
    Observed band size: 35, 46 kDa
    Exposure time:2min
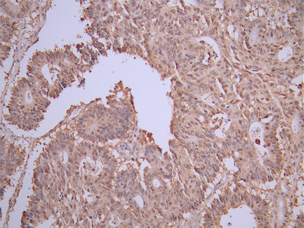
  • IHC image of CSB-RA981258A0HU diluted at 1:100 and staining in paraffin-embedded human colorectal cancer performed on a Leica BondTM system. After dewaxing and hydration, antigen retrieval was mediated by high pressure in a citrate buffer (pH 6.0). Section was blocked with 10% normal goat serum 30min at RT. Then primary antibody (1% BSA) was incubated at 4°C overnight. The primary is detected by a Goat anti-rabbit polymer IgG labeled by HRP and visualized using 0.05% DAB.
  • Immunofluorescence staining of HeLa cell with CSB-RA981258A0HU at 1:50 , counter-stained with DAPI. The cells were fixed in 4% formaldehyde, permeabilized using 0.2% Triton X-100 and blocked in 10% normal Goat Serum. The cells were then incubated with the antibody overnight at 4°C. The secondary antibody was Alexa Fluor 488-congugated AffiniPure Goat Anti-Rabbit IgG(H+L).
  • Overlay Peak curve showing Hela cells stained with CSB-RA981258A0HU (red line) at 1:100. The cells were fixed in 4% formaldehyde and permeated by 0.2% TritonX-100 for 10min. Then 10% normal goat serum to block non-specific protein-protein interactions followed by the antibody (1ug/1*106cells) for 45min at 4℃. The secondary antibody used was FITC-conjugated goat anti-rabbit IgG (H+L) at 1/200 dilution for 35min at 4℃.Control antibody (green line) was Rabbit IgG (1ug/1*106cells) used under the same conditions. Acquisition of >10, 000 events was performed.
Have Questions? Leave a Message or Start an on-line Chat

Product Details

Uniprot No.
Target Names
Alternative Names
Bag 1 antibody; BAG family molecular chaperone regulator 1 antibody; BAG-1 antibody; BAG1 antibody; BAG1_HUMAN antibody; BCL 2 Associated Athanogene 1 antibody; BCL 2 associated athanogene antibody; BCL 2 binding athanogene 1 antibody; Bcl-2-associated athanogene 1 antibody; BCL2 associated athanogene 1 antibody; BCL2 associated athanogene antibody; Glucocorticoid receptor-associated protein RAP46 antibody; HAP1 antibody; Haptoglobin antibody; RAP 46 antibody; RAP46 antibody
Species Reactivity
Human
Immunogen
A synthesized peptide from human BAG1 protein
Immunogen Species
Homo sapiens (Human)
Conjugate
Non-conjugated
Clonality
Monoclonal
Isotype
Rabbit IgG
Clone No.
16C12
Purification Method
Affinity-chromatography
Concentration
It differs from different batches. Please contact us to confirm it.
Buffer
Rabbit IgG in 10mM phosphate buffered saline , pH 7.4, 150mM sodium chloride, 0.05% BSA, 0.02% sodium azide and 50% glycerol.
Form
Liquid
Tested Applications
ELISA, WB, IHC, IF, FC
Recommended Dilution
Application Recommended Dilution
WB 1:500-1:5000
IHC 1:50-1:200
IF 1:50-1:200
FC 1:50-1:200
Troubleshooting and FAQs
Storage
Upon receipt, store at -20°C or -80°C. Avoid repeated freeze.
Lead Time
Basically, we can dispatch the products out in 1-3 working days after receiving your orders. Delivery time maybe differs from different purchasing way or location, please kindly consult your local distributors for specific delivery time.
Usage
For Research Use Only. Not for use in diagnostic or therapeutic procedures.

Customer Reviews and Q&A

 Customer Reviews

There are currently no reviews for this product.

Submit a Review here

Target Background

Function
Co-chaperone for HSP70 and HSC70 chaperone proteins. Acts as a nucleotide-exchange factor (NEF) promoting the release of ADP from the HSP70 and HSC70 proteins thereby triggering client/substrate protein release. Nucleotide release is mediated via its binding to the nucleotide-binding domain (NBD) of HSPA8/HSC70 where as the substrate release is mediated via its binding to the substrate-binding domain (SBD) of HSPA8/HSC70. Inhibits the pro-apoptotic function of PPP1R15A, and has anti-apoptotic activity. Markedly increases the anti-cell death function of BCL2 induced by various stimuli.
Gene References into Functions
  1. Here the authors show that the AF-1 domain of AR is bound by the cochaperone Bag-1L. PMID: 28826504
  2. Over expression of BAG-1 may be a biomarker for cisplatin resistance in patients with primary or recurrent head and neck squamous cell carcinoma. PMID: 28877725
  3. Increased BAG-1 by PD-L1 confers resistance to tyrosine kinase inhibitor in non-small cell lung cancer via persistent activation of ERK signaling. PMID: 28892778
  4. BAG-4/SODD, HSP70, and HSP90 are potential prognostic markers in node-negative breast carcinoma that merit further research. PMID: 27038683
  5. interaction with Bag1 then shifts hERG degradation to the membrane-anchored E3 ligase TRC8 and its E2-conjugating enzyme Ube2g2, as determined by siRNA screening PMID: 27998983
  6. These results suggest that Bag1 and Bag3 control the stability of the Hsc70-client complex using at least two distinct protein-protein contacts, providing a previously under-appreciated layer of molecular regulation in the human Hsc70 system. PMID: 27474739
  7. Taken together, these data indicate that Bag-1 up-regulation is required to maintain apoptosis resistance in human cytomegalovirus-infected cells. PMID: 26087710
  8. the combined effects of BAG-1 and XPD polymorphisms on chemotherapy sensitivity and survival in patients with advanced non-small-cell lung cancer, which might be the important predictive markers for platinum-based chemotherapy efficacy. PMID: 26124006
  9. Bag-1 indirectly affects cell survival through c-Myc activated signalling that causes elevation of ornithine decarboxylase levels, leading to an increase of the polyamine content. PMID: 26178413
  10. Overexpression of miR-138 inhibited cell proliferation by directly suppressing the expression of Bag-1. PMID: 25962180
  11. The expression of BAG-1 was upregulated in chronic non-eosinophilic rhinosinusitis. PMID: 24830325
  12. BAG-1 expression was high in esophageal carcinoma tissues compared to normal esophagus. After Eca109 cells were transfected with BAG-1-siRNA, the proliferation and invasive capabilities of the cells were decreased while the apoptosis rate was enhanced. PMID: 25069471
  13. BAG-1M mediates Hsp70 inhibition downstream of NF-kappaB. PMID: 24876225
  14. Forced Bag-1L expression prevented Cisplatin-induced apoptosis. PMID: 24969872
  15. distinct isoforms of BAG-1 had different anti-apoptotic ability in breast cancer cells treated with the 4-OH TAM. PMID: 24557447
  16. BAG-1M and HspBP1 had differential impacts on the dynamic composition of steroid receptor folding complexes PMID: 24454860
  17. GARRPR in Bag-1L as a novel BF-3 regulatory sequence important for fine-tuning the activity of the AR PMID: 24523409
  18. The results present that the constructed shRNA plasmids significantly inhibited the expression of mRNA and protein of Lo Vo cell BAG-1, and can maintain the effect for a long term PMID: 24061638
  19. Bag1 is expressed at a higher level in functioning- compared to non-functioning pituitary adenomas. PMID: 23023342
  20. we measured the binding of human Hsp72 (HSPA1A) to BAG1, BAG2, BAG3, and the unrelated NEF Hsp105. These studies revealed a clear hierarchy of affinities: BAG3 > BAG1 > Hsp105 >> BAG2. PMID: 24318877
  21. BAG1 expression provides significant prognostic information when added to the classical clinicopathological parameters and IHC4, particularly in node-positive patients. PMID: 23852223
  22. Chlamydia up-regulate Bag-1 via the MAPK/ERK survival pathway. PMID: 23708800
  23. BAG-1 suppresses expression of the key regulatory cytokine transforming growth factor beta (TGF-beta1) in colorectal tumour cells. PMID: 23108401
  24. Results for the first time indicated that BAG-1 was dysregulated in HCC and suppression of BAG-1 expression which resulted in inhibiting of NF-kappaB signaling might be developed into a new strategy in HCC therapy. PMID: 23553841
  25. we identified Caspase 3, BAG1 and BAG3 as key targets of ERalpha in neuronal cells that may play a role in ERalpha-mediated neuroprotection. PMID: 23271418
  26. BAG-1 expression in meningioma depends upon WHO pathologic classification and is decreased in higher tumor classification PMID: 23322525
  27. The expression of anti-apoptosis gene Bcl-2 associated anthanogen-1 (Bag-1), has been associated with outcome in several cancer types, however its prognostic role in pancreatic cancer is unknown. PMID: 22939115
  28. Studied expression of BAG-1 and PARP-1 in LSILs, HSILs and SCCs. Research suggests BAG-1 expression could contribute to the differentiation between LSIL and HSIL/SCC whereas PARP-1 could be useful to the differentiation between HSIL HPV-related and SCC. PMID: 22454210
  29. A peptide sequence derived from the cochaperone Bag-1 modulates the unfolded protein response and induces prostate cancer cell death.( PMID: 23049684
  30. BAG-1 is highly expressed in the majority of colorectal tumours, targeting the Rb-BAG-1 complex to promote apoptosis. PMID: 23059827
  31. ERCC1 and BAG-1 are determinants of survival after surgical treatment of NSCLC, and its mRNA expression in tumor tissues could be used to predict the prognosis of NSCLC treated by platinum. PMID: 22439756
  32. Expression of BAG-1 was closely associated with the sensitivity to platinum-based chemotherapeutics in non-small cell lung carcinoma patients. PMID: 22179630
  33. Decreased allelic frequency of the BAG-1 rs706118 SNP was observed in patients with frontotemporal lobar degeneration as compared with controls, whereas allelic frequency of the SNP in patients with Alzheimer's disease was similar to controls. PMID: 21157029
  34. BAG1 protein was found highly expressed in children with acute myeloid leukemia PMID: 22016818
  35. BAG1 induction is essential for protecting cells from MYC-induced apoptosis. PMID: 21986497
  36. Bag-1 protein was found to be overexpressed in colorectal cancer. PMID: 21809033
  37. silencing of the BAG-1 gene resulted in changes in expression of apoptosis-related genes and sensitized A549 and L9981 cells to cisplatin-induced apoptosis. PMID: 20404511
  38. Overexpression of Bag-1 in poorly differentiated SCC may confer both enhanced tumor cell growth and apoptosis resistance. Bag-1 may contribute to the resistance of more advanced epidermal SCC to chemotherapy. PMID: 21522149
  39. Overexpression of BAG-1 and p53 plays an important role in the process laryngeal squamous cell carcinoma development. PMID: 16398049
  40. These data suggest that IGFBP3 and BAG1 may be key markers of radiosensitivity that enhance the susceptibility of squamous cell esophageal cancer to radiotherapy PMID: 21195059
  41. Bag1 induced binding of immature BCR-ABL to proteasome. PMID: 20675402
  42. BAG-1 nuclear isomorph appeared more frequently in grade 2 endometrial tumors than in grade 1 and 3 tumors, and the cytoplasmatic isomorph was expressed more strongly than the nuclear one. PMID: 21036726
  43. Bag-1 proteins function as regulators of the action of selective transcription factors. PMID: 20858459
  44. Expression of Bag-1 in colon cancer was closely correlated with pathologic grade, distance metastasis, Duke stage, and prognosis, but it had no effect on the pathologic type, tumor diameter, depth of invasion, and lymphoid node metastasis of the cancer. PMID: 20409521
  45. aberrant expression and subcellular distribution of Bag-1 might play an important role in the malignant transformation of gastric epithelial cells and should be considered as a biomarker for gastric carcinogenesis, subsequent progression, and prognosis. PMID: 20096920
  46. Wild-type DJ-1 possesses chaperone activity, which is abolished by the L166P mutation which is reversed by the expression of the cochaperone BAG1. PMID: 20156966
  47. BAG-1's effects were associated with an activation of RAF-1-a known binding partner of BAG-1, enhanced signaling through the MAP kinase pathway and a decrease in BIM expression. PMID: 19881545
  48. BAG-1, an anti-apoptotic tumour marker Review PMID: 12049201
  49. nuclear BAG-1 expression is a useful predictive factor for distant metastasis and a poor prognosis in patients with colorectal cancer. PMID: 12402153
  50. BAG-1 may function to suppress the GADD34-mediated cellular stress response and have a role in the survival of cells undergoing stress PMID: 12724406

Show More

Hide All

Subcellular Location
[Isoform 1]: Nucleus. Cytoplasm. Note=Isoform 1 localizes predominantly to the nucleus.; [Isoform 2]: Cytoplasm. Nucleus. Note=Isoform 2 localizes to the cytoplasm and shuttles into the nucleus in response to heat shock.; [Isoform 4]: Cytoplasm. Nucleus. Note=Isoform 4 localizes predominantly to the cytoplasm. The cellular background in which it is expressed can influence whether it resides primarily in the cytoplasm or is also found in the nucleus. In the presence of BCL2, localizes to intracellular membranes (what appears to be the nuclear envelope and perinuclear membranes) as well as punctate cytosolic structures suggestive of mitochondria.
Tissue Specificity
Isoform 4 is the most abundantly expressed isoform. It is ubiquitously expressed throughout most tissues, except the liver, colon, breast and uterine myometrium. Isoform 1 is expressed in the ovary and testis. Isoform 4 is expressed in several types of tu
Database Links

HGNC: 937

OMIM: 601497

KEGG: hsa:573

STRING: 9606.ENSP00000420514

UniGene: Hs.377484

icon of phone
Call us
301-363-4651 (Available 9 a.m. to 5 p.m. CST from Monday to Friday)
icon of address
Address
7505 Fannin St., Ste 610, Room 7 (CUBIO Innovation Center), Houston, TX 77054, USA
icon of social media
Join us with

Subscribe newsletter

Leave a message

* To protect against spam, please pass the CAPTCHA test below.
CAPTCHA verification
© 2007-2025 CUSABIO TECHNOLOGY LLC All rights reserved. 鄂ICP备15011166号-1
×
Place an order now

I. Product details

*
*
*
*

II. Contact details

*
*

III. Ship To

*
*
*
*
*
*
*

IV. Bill To

*
*
*
*
*
*
*
*