CHMP2B Recombinant Monoclonal Antibody

Code CSB-RA131135A0HU
Size US$210
Order now
Image
  • Western Blot
    , Positive WB detected in:COLO205 whole cell lysate(30µg), A431 whole cell lysate(30µg), A549 whole cell lysate(30µg), NIH/3T3 whole cell lysate(30µg)
    All lanes: CHMP2B antibody at 1:1000
    Secondary
    Goat polyclonal to rabbit IgG at 1/40000 dilution
    Predicted band size: 24 kDa
    Observed band size: 28 kDa
    Exposure time:120s
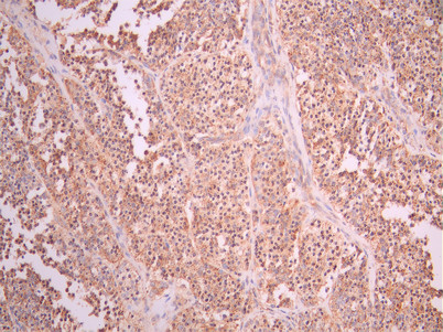
  • IHC image of CSB-RA131135A0HU diluted at 1:100 and staining in paraffin-embedded human liver cancer performed on a Leica BondTM system. After dewaxing and hydration, antigen retrieval was mediated by high pressure in a citrate buffer (pH 6.0). Section was blocked with 10% normal goat serum 30min at RT. Then primary antibody (1% BSA) was incubated at 4°C overnight. The primary is detected by a Goat anti-rabbit polymer IgG labeled by HRP and visualized using 0.05% DAB.
  • Overlay Peak curve showing Hela cells stained with CSB-RA131135A0HU (red line) at 1:100. The cells were fixed in 4% formaldehyde and permeated by 0.2% TritonX-100 for 10min. Then 10% normal goat serum to block non-specific protein-protein interactions followed by the antibody (1ug/1*106cells) for 45min at 4℃. The secondary antibody used was FITC-conjugated goat anti-rabbit IgG (H+L) at 1/200 dilution for 35min at 4℃.Control antibody (green line) was Rabbit IgG (1ug/1*106cells) used under the same conditions. Acquisition of >10, 000 events was performed.
Have Questions? Leave a Message or Start an on-line Chat

Product Details

Uniprot No.
Target Names
Alternative Names
ALS17 antibody; Charged multivesicular body protein 2b antibody; CHM2B_HUMAN antibody; CHMP family; member 2B antibody; CHMP2.5 antibody; CHMP2b antibody; Chromatin modifying protein 2b antibody; Chromatin-modifying protein 2b antibody; DMT1 antibody; hVps2-2 antibody; Vacuolar protein sorting 2; yeast; homolog of; B antibody; Vacuolar protein sorting 2-2 antibody; Vacuolar protein sorting-associated protein 2-2 antibody; VPS2 homolog B antibody; Vps2-2 antibody; VPS2B antibody
Species Reactivity
Human, Mouse
Immunogen
A synthesized peptide from human CHMP2B protein
Immunogen Species
Homo sapiens (Human)
Conjugate
Non-conjugated
Clonality
Monoclonal
Isotype
Rabbit IgG
Clone No.
5D4
Purification Method
Affinity-chromatography
Concentration
It differs from different batches. Please contact us to confirm it.
Buffer
Rabbit IgG in 10mM phosphate buffered saline , pH 7.4, 150mM sodium chloride, 0.05% BSA, 0.02% sodium azide and 50% glycerol.
Form
Liquid
Tested Applications
ELISA, WB, IHC, FC
Recommended Dilution
Application Recommended Dilution
WB 1:500-1:5000
IHC 1:50-1:200
FC 1:50-1:200
Troubleshooting and FAQs
Storage
Upon receipt, store at -20°C or -80°C. Avoid repeated freeze.
Lead Time
Basically, we can dispatch the products out in 1-3 working days after receiving your orders. Delivery time maybe differs from different purchasing way or location, please kindly consult your local distributors for specific delivery time.
Usage
For Research Use Only. Not for use in diagnostic or therapeutic procedures.

Customer Reviews and Q&A

 Customer Reviews

There are currently no reviews for this product.

Submit a Review here

Target Background

Function
Probable core component of the endosomal sorting required for transport complex III (ESCRT-III) which is involved in multivesicular bodies (MVBs) formation and sorting of endosomal cargo proteins into MVBs. MVBs contain intraluminal vesicles (ILVs) that are generated by invagination and scission from the limiting membrane of the endosome and mostly are delivered to lysosomes enabling degradation of membrane proteins, such as stimulated growth factor receptors, lysosomal enzymes and lipids. The MVB pathway appears to require the sequential function of ESCRT-O, -I,-II and -III complexes. ESCRT-III proteins mostly dissociate from the invaginating membrane before the ILV is released. The ESCRT machinery also functions in topologically equivalent membrane fission events, such as the terminal stages of cytokinesis and the budding of enveloped viruses (HIV-1 and other lentiviruses). ESCRT-III proteins are believed to mediate the necessary vesicle extrusion and/or membrane fission activities, possibly in conjunction with the AAA ATPase VPS4.
Gene References into Functions
  1. We directly link TDP-43 loss of function toxicity to two genes with rare amyotrophic lateral sclerosis and frontotemporal lobar degeneration-causing mutations, CHMP2B and ErbB4 PMID: 27621269
  2. these data indicate that the neuronal expression of human CHMP2B(intron5) in areas involved in motor and cognitive functions induces progressive motor alterations associated with dementia symptoms and with histopathological hallmarks reminiscent of both amyotrophic lateral sclerosis and frontotemporal dementia. PMID: 27329763
  3. Endogenous TMEM106B was partly sequestered in CHMP2B-positive structures. SNP T185 was more associated with CHMP2B than SNP S185, and it enhanced neurotoxicity caused by CHMP2B(Intron5) compared to S185-expressing cells. PMID: 26651479
  4. Study showed that mutant CHMP2B causes the pathological accumulation of endolysosomal components early in the frontotemporal dementia disease course PMID: 26358247
  5. Protein kinase CK2 alpha is involved in the phosphorylation of the ESCRT-III subunits CHMP3 and CHMP2B, as well as of VPS4B/SKD1, an ATPase that mediates ESCRT-III disassembly. PMID: 24440309
  6. Data indicate that knockdown of syntaxin 13 (syx13) further increased the cellular toxicity caused by muaant CHMP2B (CHMP2BIntron5) expression. PMID: 24095276
  7. CHMP2B immunoreactivity was increased in the dorsal motor nucleus of the vagus nerve in Parkinson's disease and incidental Lewy body disease brains PMID: 22989140
  8. These findings suggest that endosomal and autophagic pathway is associated with degradation or formation of alpha-synuclein aggregates in alpha-synucleinopathy. PMID: 22947304
  9. Subjects with CHMP2B mutation show cognitive changes dominated by executive dysfunctions, years before they fulfil diagnostic criteria of FTD. PMID: 23142962
  10. Direct link between disease-causing mutations and the cellular phenotype in cells originating from CHMP2B mutation patients with frontotemporal dementia. PMID: 22786763
  11. This study provided a better understanding of the cellular pathogenesis of neurodegenerative diseases associated with various missense mutations of CHMP2B as well as endocytic defects. PMID: 22521643
  12. CHMP2B polymerization scaffolds membranes in vivo represents a first step toward demonstrating its structural role during outward membrane deformation PMID: 21926173
  13. recent advances in our understanding of the molecular basis of CHMP2B mutations indicate that the mechanisms involved may be broadly relevant to neurodegenerative processes.[review] PMID: 21222599
  14. A novel heterozygous variant p.Ser194Leu (c.581C>T) is found in exon 6 of the CHMP2B gene in one male patient with pure frontotemporal lobar degeneration. PMID: 20625756
  15. The results of this study confirmed that mutations in CHMP2B are not a common cause of frontotemporal lobar degeneration. PMID: 20412296
  16. CHMP2B is required for spine growth. Taken together, these results demonstrate that a mutant ESCRT-III subunit linked to a human neurodegenerative disease can disrupt the normal pattern of spine development. PMID: 20699355
  17. analysis of CHMP2B mutations in lower motor neuron predominant amyotrophic lateral sclerosis PMID: 20352044
  18. The fusion of endosomes with lysosomes is required for neuronal function suggesting a pathogenic mechanism for frontotemporal dementia caused by CHMP2B mutations. PMID: 20223751
  19. CHMP2B can be used as a reliable marker for GVD in neurons of the AD hippocampus. PMID: 20420883
  20. there were no significant differences in the frequencies of the IVS4 + 44C/A, 1303C/A, 1254T/C and IVS15Ex16-16C/G polymorphism haplotypes in the patient cohorts (regardless of the degree of hepatic iron deposition) compared to the control cohort PMID: 15223008
  21. identify a mutation in CHMP2B, encoding a component of the endosomal ESCRTIII complex, and show that it results in aberrant mRNA splicing in tissue samples from affected members of family with autosomal dominant frontotermporal dementia PMID: 16041373
  22. Mutations in CHMP2B are a rare cause of familial FTLD and may be specific to the Danish pedigree. PMID: 16431024
  23. This studyidentified mutations (Q206H; I29V) in two patients with non-SOD1 ALS. PMID: 16807408
  24. CHMP2B mutations are not a cause of dementia in Dutch patients with familial and sporadic frontotemporal dementia. PMID: 16941655
  25. CHMP2B can be excluded as a susceptibility gene conferring risk to sporadic forms of frontotemporal dementia. PMID: 16979267
  26. These data suggest that C-truncating mutations in CHMP2B might underlie the pathogenic mechanism in frontotemporal lobar degeneration. PMID: 17956895
  27. data indicates that CHMP2B mutations are a rare cause of ALS, and no mutations were found in classic ALS phenotypes. PMID: 18270236
  28. These data suggest that SgIII, DMT-1 and HNP-1 are implicated in cell-mediated LDL oxidation. PMID: 19150442
  29. The specificity of DMT1 inhibition by 4 molecules in a cell line is reported. PMID: 19179627
  30. finding suggests that mutations in CHMP2B have widespread effects throughout the brain, leading to a neuro-anatomical signature distinct from other diseases in the frontotemporal lobar degeneration spectrum PMID: 19202337
  31. Divalent metal transporter 1 (DMT1) regulation by Ndfip1 prevents metal toxicity in human neurons. PMID: 19706893

Show More

Hide All

Involvement in disease
Frontotemporal dementia, chromosome 3-linked (FTD3); Amyotrophic lateral sclerosis 17 (ALS17)
Subcellular Location
Cytoplasm, cytosol. Late endosome membrane; Peripheral membrane protein.
Protein Families
SNF7 family
Tissue Specificity
Widely expressed. Expressed in brain, heart, skeletal muscle, spleen, kidney, liver, small intestine, pancreas, lung, placenta and leukocytes. In brain, it is expressed in cerebellum, cerebral cortex, medulla, spinal chord, occipital lobe, frontal lobe, t
Database Links

HGNC: 24537

OMIM: 600795

KEGG: hsa:25978

STRING: 9606.ENSP00000263780

UniGene: Hs.476930

icon of phone
Call us
301-363-4651 (Available 9 a.m. to 5 p.m. CST from Monday to Friday)
icon of address
Address
7505 Fannin St., Ste 610, Room 7 (CUBIO Innovation Center), Houston, TX 77054, USA
icon of social media
Join us with

Subscribe newsletter

Leave a message

* To protect against spam, please pass the CAPTCHA test below.
CAPTCHA verification
© 2007-2025 CUSABIO TECHNOLOGY LLC All rights reserved. 鄂ICP备15011166号-1
×
Place an order now

I. Product details

*
*
*
*

II. Contact details

*
*

III. Ship To

*
*
*
*
*
*
*

IV. Bill To

*
*
*
*
*
*
*
*