DAPK1 Recombinant Monoclonal Antibody

Code CSB-RA869286A0HU
Size US$210
Order now
Image
  • Western Blot
    Positive WB detected in: COLO205 whole cell lysate(30µg), A431 whole cell lysate(30µg), A549 whole cell lysate(30µg)
    All lanes:DAP antibody at 1:1000
    Secondary
    Goat polyclonal to rabbit IgG at 1/40000 dilution
    Predicted band size: 160 kDa
    Observed band size: 160 kDa
    Exposure time:1min
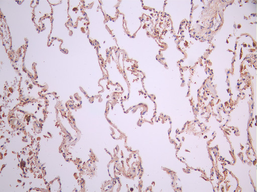
  • IHC image of CSB-RA869286A0HU diluted at 1:100 and staining in paraffin-embedded human lung tissue performed on a Leica BondTM system. After dewaxing and hydration, antigen retrieval was mediated by high pressure in a citrate buffer (pH 6.0). Section was blocked with 10% normal goat serum 30min at RT. Then primary antibody (1% BSA) was incubated at 4°C overnight. The primary is detected by a Goat anti-rabbit polymer IgG labeled by HRP and visualized using 0.05% DAB.
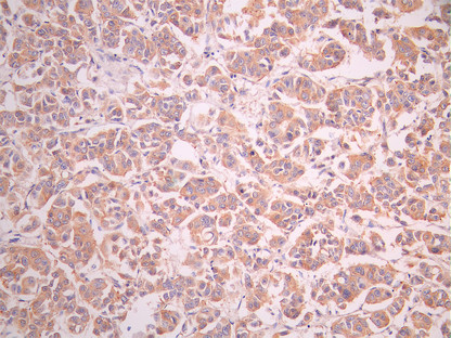
  • IHC image of CSB-RA869286A0HU diluted at 1:100 and staining in paraffin-embedded human breast cancer performed on a Leica BondTM system. After dewaxing and hydration, antigen retrieval was mediated by high pressure in a citrate buffer (pH 6.0). Section was blocked with 10% normal goat serum 30min at RT. Then primary antibody (1% BSA) was incubated at 4°C overnight. The primary is detected by a Goat anti-rabbit polymer IgG labeled by HRP and visualized using 0.05% DAB.
  • Overlay Peak curve showing 786-O cells stained with CSB-RA869286A0HU (red line) at 1:100. The cells were fixed in 4% formaldehyde and permeated by 0.2% TritonX-100 for 10min. Then 10% normal goat serum to block non-specific protein-protein interactions followed by the antibody (1ug/1*106cells) for 45min at 4℃. The secondary antibody used was FITC-conjugated goat anti-rabbit IgG (H+L) at 1/200 dilution for 35min at 4℃.Control antibody (green line) was Rabbit IgG (1ug/1*106cells) used under the same conditions. Acquisition of >10, 000 events was performed.
Have Questions? Leave a Message or Start an on-line Chat

Product Details

Uniprot No.
Target Names
Alternative Names
DAK1 antibody; DAP K1 antibody; DAP kinase 1 antibody; DAPK 1 antibody; DAPK antibody; DAPK1 antibody; DAPK1_HUMAN antibody; Death Associated Protein Kinase 1 antibody; Death-associated protein kinase 1 antibody; DKFZp781I035 antibody
Species Reactivity
Human
Immunogen
A synthesized peptide from human DAPK1 protein
Immunogen Species
Homo sapiens (Human)
Conjugate
Non-conjugated
Clonality
Monoclonal
Isotype
Rabbit IgG
Clone No.
8B3
Purification Method
Affinity-chromatography
Concentration
It differs from different batches. Please contact us to confirm it.
Buffer
Rabbit IgG in 10mM phosphate buffered saline , pH 7.4, 150mM sodium chloride, 0.05% BSA, 0.02% sodium azide and 50% glycerol.
Form
Liquid
Tested Applications
ELISA, WB, IHC, FC
Recommended Dilution
Application Recommended Dilution
WB 1:500-1:5000
IHC 1:50-1:200
FC 1:50-1:200
Troubleshooting and FAQs
Storage
Upon receipt, store at -20°C or -80°C. Avoid repeated freeze.
Lead Time
Basically, we can dispatch the products out in 1-3 working days after receiving your orders. Delivery time maybe differs from different purchasing way or location, please kindly consult your local distributors for specific delivery time.
Usage
For Research Use Only. Not for use in diagnostic or therapeutic procedures.

Customer Reviews and Q&A

 Customer Reviews

There are currently no reviews for this product.

Submit a Review here

Target Background

Function
Calcium/calmodulin-dependent serine/threonine kinase involved in multiple cellular signaling pathways that trigger cell survival, apoptosis, and autophagy. Regulates both type I apoptotic and type II autophagic cell deaths signal, depending on the cellular setting. The former is caspase-dependent, while the latter is caspase-independent and is characterized by the accumulation of autophagic vesicles. Phosphorylates PIN1 resulting in inhibition of its catalytic activity, nuclear localization, and cellular function. Phosphorylates TPM1, enhancing stress fiber formation in endothelial cells. Phosphorylates STX1A and significantly decreases its binding to STXBP1. Phosphorylates PRKD1 and regulates JNK signaling by binding and activating PRKD1 under oxidative stress. Phosphorylates BECN1, reducing its interaction with BCL2 and BCL2L1 and promoting the induction of autophagy. Phosphorylates TSC2, disrupting the TSC1-TSC2 complex and stimulating mTORC1 activity in a growth factor-dependent pathway. Phosphorylates RPS6, MYL9 and DAPK3. Acts as a signaling amplifier of NMDA receptors at extrasynaptic sites for mediating brain damage in stroke. Cerebral ischemia recruits DAPK1 into the NMDA receptor complex and it phosphorylates GRINB at Ser-1303 inducing injurious Ca(2+) influx through NMDA receptor channels, resulting in an irreversible neuronal death. Required together with DAPK3 for phosphorylation of RPL13A upon interferon-gamma activation which is causing RPL13A involvement in transcript-selective translation inhibition.; Isoform 2 cannot induce apoptosis but can induce membrane blebbing.
Gene References into Functions
  1. DAPK1 methylation level is associated with gliomas clinical features and outcomes PMID: 29807777
  2. LncRNA MIR22HG could act as a tumor suppressor and inhibited EC cells proliferation through regulating miR-141-3p/DAPK1 axis. PMID: 29775889
  3. Our results showed that DAPK promoter methylation is tightly correlated with clinicopathological features of NSCLC and is associated with poor prognosis in patients. PMID: 29578152
  4. High Promoter Methylation of DAPK1 gene is associated with Breast Cancer. PMID: 29480000
  5. It is this DAPK1-NR2B interaction that arbitrates the pathological processes like apoptosis, necrosis, and autophagy of neuronal cells observed in stroke injury, hence we aimed to inhibit this vital interaction to prevent neuronal damage. PMID: 28858643
  6. DNA hypermethylation of DAPK1 gene promoter is a promising biomarker for OSCC prediction/prognostics PMID: 28412611
  7. Authors find that the LTP specificity of CaMKII synaptic accumulation is due to its LTD-specific suppression by calcineurin (CaN)-dependent DAPK1 activation, which in turn blocks CaMKII binding to GluN2B. PMID: 28614711
  8. rs4878104 T allele could significantly regulate increased DAPK1 expression in European population PMID: 28429084
  9. the DAPK-mTOR pathway is critical for anti-HCV effects of peg-IFN-alpha PMID: 27930338
  10. A significant correlation between changes in the levels of expression and methylation was detected for the three apoptosis-regulatory genes (APAF1, DAPK1, and BCL2). The results suggest that methylation play an important role in the regulation of the apoptosis system genes in breast cancer. PMID: 28429233
  11. Results show that DNA demethylation of distinct promoter regions is associated with re-expression of the tumor suppressor gene DAPK1. Its knockdown promotes tumor cell migration in breast cancer cell line. PMID: 28231808
  12. Data show that silencing DNA methyltransferase 1 (DNMT1) increased expression of tumor suppressor genes, RASSF1A and DAPK, in esophageal squamous cell carcinoma (ESCC) cells and ESCC xenograft in nude mice. PMID: 27286455
  13. The current study supports a relevant role for p15, p16, and DAPK hypermethylation in the genesis of the plasma cell neoplasm. DAPK hypermethylation also might be an important step in the progression from MGUS to MM. PMID: 27622827
  14. DAPK1 methylation is associated with the risk of gastrointestinal cancer. PMID: 28934284
  15. downregulation of HOXC9 releases its transcriptional inhibition of DAPK1, resulting in the activation of the DAPK1-Beclin1 pathway, which induces autophagy in glioblastoma cells PMID: 26582930
  16. findings evidence a positive correlation between SIRT1 and BCL6 expression increase in follicular lymphomas (FL) . SIRT1 methylation decreases in FL and diffuse large-B cell lymphomas (DLBCL)and this parallels the increase of KLF4, DAPK1 and SPG20 methylation PMID: 28324774
  17. results suggest that DAPK1 is an important prognostic marker and therapeutic target for bladder cancer and have identified possible therapeutic agents for future testing in bladder cancer models with low DAPK1 expression PMID: 28388658
  18. Study provides evidence that DAPK1 is a negative-feedback regulator of the RIG-I pathway. RIG-I-mediated antiviral signaling activates DAPK1 kinase activity and DAPK1 inactivates RIG-I RNA sensing by direct phosphorylation of RIG-I. PMID: 28132841
  19. Meta-analysis suggested that aberrant methylation of DAPK promoter was associated with head and neck squamous cell carcinoma. PMID: 28249042
  20. our study characterized DAPK1 as a novel transcriptional target of BRMS1. Transcriptional activation of DAPK1 might be another important mechanism accounting for the metastasis suppressive activity of BRMS1. PMID: 28339067
  21. in Alzheimer's disease (AD) brains, elevated DAPK1 levels showed co-relation with the increase of APP phosphorylation. Combined together, these results suggest that DAPK1 promotes the phosphorylation and amyloidogenic processing of APP, and that may serve a potential therapeutic target for AD. PMID: 27094130
  22. The result suggests that DAPK promoter methylation is significantly increased in bladder cancer patients compared to normal controls. DAPK promoter methylation could serve as a biomarker for bladder cancer detection and management. PMID: 27907054
  23. Down-regulation of mRNA expression was found in cases in which CASP8, TMS1 and DAPK were hypermethylated. PMID: 28361856
  24. A transcription factor complex consisting of ATF6 (an endoplasmic reticulum-resident factor) and C/EBP-beta is required for the IFN-gamma-induced expression of DAPK1 IFN-gamma-induced proteolytic processing of ATF6 and phosphorylation of C/EBP-beta are obligatory for the formation of this transcriptional complex PMID: 27590344
  25. the present study demonstrated that DAPK contributed to the Hcyinduced endothelial apoptosis via modulation of Bcl2/Bax expression levels and activation of caspase 3 PMID: 27633052
  26. DAPK seems to be a major player that influences the migratory capability of disseminating tumor cells and possibly affects the dynamic interface between pro- and anti-survival factors at the invasion front of colorectal cancer. PMID: 26405175
  27. The sensitivity was found to be 62% and 83% for DAPK1 and SOX1, respectively, when analyzed separately in the singleplex assay, but increased to 90% in the multiplex assay when either or both of the SOX1 and the DAPK1 gene promoters showed methylation. PMID: 27452040
  28. Authors observed the cleavage of ATF6, the phosphorylation of MRLC, and the expression of death-associated protein kinase (DAPK1) by western blotting; the transcription of DAPK1 by RT-PCR; and the subcellular localization of ATF6 and mAtg9 by immunofluorescence. PMID: 27085326
  29. testing for DNA methylations of MGMT plus DAPK1 genes holds some promise for high grade cervical disease screening PMID: 26823825
  30. DAPK-1 and MLH1 methylation correlated inversely in tumors in the middle-third of the stomach PMID: 26810771
  31. The frequency of DAPK methylation was significantly higher in lung cancer than in non-malignant lung tissues. PMID: 25848215
  32. Our meta-analysis results reveal that DAPK promoter methylation might be associated with tumor metastasis and poor prognosis in NSCLC patients, although no correlation with histological types and TNM stage in NSCLC patients were found. PMID: 26406950
  33. Results identified MGMT and DAPK1 as predictors of nodal metastasis in oral and oropharyngeal squamous cell carcinoma with a high predictive value and specificity and sensitivity. PMID: 26213212
  34. Viral infection induced DAPK1-IRF7 and DAPK1-IRF3 interactions and overexpression of DAPK1 enhanced virus-induced activation of the interferon-stimulated response element (ISRE) and IFN-beta promoters and the expression of the IFNB1 gene. PMID: 24531619
  35. DAPK1 is highly expressed in the peritumoral region of glioblastoma multiforme brain neoplasms. PMID: 26165472
  36. A significant strong association between DAPK1 promoter methylation and CC was shown and confirmed independently by histological tumor type, method used to evaluate methylation and source of control samples. PMID: 26267895
  37. miR-191-DAPK1 axis may play an important role modulating the response of ovarian endometriosis and endometrioid carcinoma cells to TNF-alpha. PMID: 26191186
  38. The authors discuss evidence suggesting potential contributions of DAPK in the regulation of gut inflammation and intestinal homeostasis. [review] PMID: 25963636
  39. Besides mediating the anticancer effect, pDAPK(S308) may serve as a predictive biomarker for Raf inhibitors combination therapy, suggesting an ideal preclinical model that is worthy of clinical translation. PMID: 26100670
  40. These data define a novel link between DAPK and HSF1 and highlight a positive-feedback loop in DAPK regulation under mild inflammatory stress conditions in colorectal tumors. PMID: 25380824
  41. high DAPK1 expression causes increased cancer cell growth and enhanced signaling via the mTOR/S6K pathway; evaluation of breast cancer patient data sets revealed that high DAPK1 expression associates with worse outcomes in women with p53-mutant cancers PMID: 26075823
  42. Hypermethylation and down-regulation of DAPk1 were closely related to lymph node metastasis, advanced tumor stage, and low survival rates in hypopharyngeal squamous cell carcinoma. PMID: 25496179
  43. DAPK1 gene over-expression can suppress the proliferation, migration, and invasion of carcinoma of pancreas BxPC-3 cell line PMID: 25550789
  44. DAPK1 methylation is associated with poor overall- and disease-specific survival in a large cohort of DLBCL patients uniformly treated with rituximab. PMID: 25229255
  45. DAPK1 promoter methylation may be a biomarker during cervical carcinogenesis that might serve as an early indication of cervical cancer. [Meta-analysis] PMID: 25268905
  46. deregulation of p16-associated, and MLH1-associated pathways, because of promoter hypermethylation, is associated with increased cancer cell migration, tumor invasiveness, and, thus, aggressive phenotype PMID: 23804521
  47. In conclusion, hepatitis B virus x protein induces autophagy via activating DAPK in a pathway related to Beclin 1, but not JNK. PMID: 24188325
  48. The results show that DAPK promoter hypermethylation and repressed expression of DAPK protein were more common in central neurocytoma than in oligodendroglioma. PMID: 24877104
  49. The presence of aberrant DAPK1 methylation in bone marrow significantly reduced progression-free survival following immunochemotherapy, independent of Follicular Lymphoma International Prognostic Index score. PMID: 24814955
  50. Study shows that DAPK1 expression is regulated by ASK1, in response to IFN gamma and aids in the execution of autophagy. PMID: 25135476

Show More

Hide All

Subcellular Location
[Isoform 1]: Cytoplasm. Cytoplasm, cytoskeleton. Note=Colocalizes with MAP1B in the microtubules and cortical actin fibers.; [Isoform 2]: Cytoplasm. Cytoplasm, cytoskeleton.
Protein Families
Protein kinase superfamily, CAMK Ser/Thr protein kinase family, DAP kinase subfamily
Tissue Specificity
Isoform 2 is expressed in normal intestinal tissue as well as in colorectal carcinomas.
Database Links

HGNC: 2674

OMIM: 600831

KEGG: hsa:1612

STRING: 9606.ENSP00000350785

UniGene: Hs.380277

icon of phone
Call us
301-363-4651 (Available 9 a.m. to 5 p.m. CST from Monday to Friday)
icon of address
Address
7505 Fannin St., Ste 610, Room 7 (CUBIO Innovation Center), Houston, TX 77054, USA
icon of social media
Join us with

Subscribe newsletter

Leave a message

* To protect against spam, please pass the CAPTCHA test below.
CAPTCHA verification
© 2007-2025 CUSABIO TECHNOLOGY LLC All rights reserved. 鄂ICP备15011166号-1
×
Place an order now

I. Product details

*
*
*
*

II. Contact details

*
*

III. Ship To

*
*
*
*
*
*
*

IV. Bill To

*
*
*
*
*
*
*
*