DES Recombinant Monoclonal Antibody

Code CSB-RA571495A0HU
Size US$210
Order now
Image
  • Western Blot
    , Positive WB detected in:Mouse Heart tissue lysate(30µg), Rat Heart lysate(30µg)
    All lanes: Desmin antibody at 1:1000
    Secondary
    Goat polyclonal to rabbit IgG at 1/40000 dilution
    Predicted band size: 54 kDa
    Observed band size: 54 kDa
    Exposure time:120s
  • IHC image of CSB-RA571495A0HU diluted at 1:100 and staining in paraffin-embedded human skeletal muscle tissue performed on a Leica BondTM system. After dewaxing and hydration, antigen retrieval was mediated by high pressure in a citrate buffer (pH 6.0). Section was blocked with 10% normal goat serum 30min at RT. Then primary antibody (1% BSA) was incubated at 4°C overnight. The primary is detected by a Goat anti-rabbit polymer IgG labeled by HRP and visualized using 0.05% DAB.
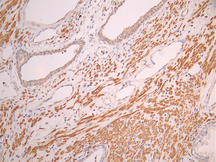
  • IHC image of CSB-RA571495A0HU diluted at 1:100 and staining in paraffin-embedded human prostate cancer performed on a Leica BondTM system. After dewaxing and hydration, antigen retrieval was mediated by high pressure in a citrate buffer (pH 6.0). Section was blocked with 10% normal goat serum 30min at RT. Then primary antibody (1% BSA) was incubated at 4°C overnight. The primary is detected by a Goat anti-rabbit polymer IgG labeled by HRP and visualized using 0.05% DAB.
  • Immunofluorescence staining of HepG2 cell with CSB-RA571495A0HU at 1:50 , counter-stained with DAPI. The cells were fixed in 4% formaldehyde, permeabilized using 0.2% Triton X-100 and blocked in 10% normal Goat Serum. The cells were then incubated with the antibody overnight at 4°C. The secondary antibody was Alexa Fluor 488-congugated AffiniPure Goat Anti-Rabbit IgG(H+L).
Have Questions? Leave a Message or Start an on-line Chat

Product Details

Uniprot No.
Target Names
DES
Alternative Names
CMD1I antibody; CSM1 antibody; CSM2 antibody; DES antibody; DESM_HUMAN antibody; Desmin antibody; FLJ12025 antibody; FLJ39719 antibody; FLJ41013 antibody; FLJ41793 antibody; Intermediate filament protein antibody; OTTHUMP00000064865 antibody
Species Reactivity
Human, Mouse, Rat
Immunogen
A synthesized peptide from human DES protein
Immunogen Species
Homo sapiens (Human)
Conjugate
Non-conjugated
Clonality
Monoclonal
Isotype
Rabbit IgG
Clone No.
8E7
Purification Method
Affinity-chromatography
Concentration
It differs from different batches. Please contact us to confirm it.
Buffer
Rabbit IgG in 10mM phosphate buffered saline , pH 7.4, 150mM sodium chloride, 0.05% BSA, 0.02% sodium azide and 50% glycerol.
Form
Liquid
Tested Applications
ELISA, WB, IHC, IF
Recommended Dilution
Application Recommended Dilution
WB 1:500-1:5000
IHC 1:50-1:200
IF 1:50-1:200
Troubleshooting and FAQs
Storage
Upon receipt, store at -20°C or -80°C. Avoid repeated freeze.
Lead Time
Basically, we can dispatch the products out in 1-3 working days after receiving your orders. Delivery time maybe differs from different purchasing way or location, please kindly consult your local distributors for specific delivery time.
Usage
For Research Use Only. Not for use in diagnostic or therapeutic procedures.

Customer Reviews and Q&A

 Customer Reviews

There are currently no reviews for this product.

Submit a Review here

Target Background

Function
Muscle-specific type III intermediate filament essential for proper muscular structure and function. Plays a crucial role in maintaining the structure of sarcomeres, inter-connecting the Z-disks and forming the myofibrils, linking them not only to the sarcolemmal cytoskeleton, but also to the nucleus and mitochondria, thus providing strength for the muscle fiber during activity. In adult striated muscle they form a fibrous network connecting myofibrils to each other and to the plasma membrane from the periphery of the Z-line structures. May act as a sarcomeric microtubule-anchoring protein: specifically associates with detyrosinated tubulin-alpha chains, leading to buckled microtubules and mechanical resistance to contraction. Contributes to the transcriptional regulation of the NKX2-5 gene in cardiac progenitor cells during a short period of cardiomyogenesis and in cardiac side population stem cells in the adult. Plays a role in maintaining an optimal conformation of nebulette (NEB) on heart muscle sarcomeres to bind and recruit cardiac alpha-actin.
Gene References into Functions
  1. A novel mutation (c.679 C>T /p.R227C) in exon 3 of DES was identified and cosegregated with the affected members of a Chinese family with isolated Dilated cardiomyopathy (DCM) phenotypes (left ventricle and left atrial diameters). PMID: 28171858
  2. Desmin, Glial Fibrillary Acidic Protein, Vimentin, and Peripherin are type III intermediate filaments that have roles in health and disease [review] PMID: 29196434
  3. Phenotypic expression of a novel desmin gene mutation: hypertrophic cardiomyopathy followed by systemic myopathy. PMID: 29167554
  4. Targeted sequencing revealed trigenic mutations: c.700G>A/p.E234K in DES, c.2966G>A/p.R989H in MYPN, and c.5918G>C/p.R1973P in CACNA1C in a family of hypertrophic cardiomyopathy with early repolarization and short QT syndrome. PMID: 28427417
  5. demonstrate that the expression of mutant desmin causes disruption of the extrasarcomeric desmin cytoskeleton and extensive mitochondrial abnormalities regarding subcellular distribution, number and shape PMID: 27393313
  6. Mutation in the Core Structure of Desmin Intermediate Filaments Affects Myoblast Elasticity PMID: 28793217
  7. Data show that the filament elongation of both desmin and keratin K8/K18 proceeds very similar to that of vimentin. PMID: 27304995
  8. Cdk1-induced desmin phosphorylation is required for efficient separation of desmin-IFs and generally detected in muscular mitotic cells in vivo. PMID: 27565725
  9. Desmin, Lamin A/C, MMP9, and histone H4 were upregulated in the placental villi of women experiencing early pregnancy loss. PMID: 26947931
  10. Ile367Phe, Pro419Ser, and Arg415Glu mutations were associated with desminopathy causing cardiomyopathy in 4 families studied. PMID: 26431784
  11. Increasing desmin abnormalities were correlated with diastolic dysfunction progression. PMID: 25732530
  12. expression level of mutant versus wild-type desmin in mouse model as well as in skeletal muscle specimens derived from human R350P desminopathies; findings demonstrate missense-mutant desmin inflicts changes of the subcellular localization and turnover of desmin itself and of direct desmin-binding partners PMID: 25394388
  13. Results propose that the mutations affect desmin structure and cause its aberrant folding and subsequent aggregation, triggering disruption of myofibrils organization. PMID: 25541946
  14. identified disruption of the desmin system in gastrocnemius myofibers as an index of the myopathy and limitation of muscle function in patients with peripheral artery disease. PMID: 25575565
  15. The desmin intermediate filament network plays a major role in striated muscle development and maintenance by integrating and coordinating most cellular components necessary for proper mechanochemical signaling, organelle cross-talk, energy production and trafficking processes required for proper tissue homeostasis. [Review] PMID: 25680090
  16. Data suggest that loss of the desmin-p. A120D filament localization at the intercalated disk indicates its clinical arrhythmogenic potential. PMID: 24200904
  17. we describe a new mutation located in the coiled 1B domain of desmin and associated with a predominant cardiac involvement and a high degree of cardiac sudden death in a large Indian pedigree with 12 affected members PMID: 24441330
  18. Perfomed proteomic analysis on a transgenic mouse model of severe cardiac hypertrophy; compared data to dataset of heart failure found MYH7, IGFBP7, ANXA2, and DESM to be biomarker candidates for heart failure. PMID: 23713052
  19. autosomal recessive mutations in DES cause LGMD2 phenotype without features of myofibrillar myopathy. PMID: 23687351
  20. Data suggest that for some filament-forming desmin mutants, the molecular etiology of desminopathy results from subtle deficiencies in their association with nebulin, a major actin-binding filament protein of striated muscle. PMID: 23615443
  21. Sequencing of the desmin gene showed a splice-site mutation (IVS3+1G-->A), which was absent in 300 healthy control subjects. PMID: 22484823
  22. Phenotypic features in patients with desmin tail domain mutations are similar to those in patients with mutations localized in the 1B and 2B alpha-helical domains. PMID: 23051780
  23. The results of this study indicate that atrioventricular conduction block without cardiac structural abnormalities may be an intrinsic feature of disease associated with specific desmin mutation PMID: 23036309
  24. in the absence of skeletal muscle involvement suggestive of a desminopathy, the probability of DES mutations in ARVC is very low. These findings have important implications in the mutation screening strategy for patients with ARVC. PMID: 23168288
  25. The results of this study indicated that no cases showed missense mutations in the Desmin. PMID: 22349865
  26. Data show that calretinin and CK5/6 were positive in 100 and 64% of mesotheliomas, and 92 and 31% of reactive effusions, respectively, and desmin was negative in all malignant cases and positive in 85% of reactive effusions. PMID: 23075894
  27. A heterozygous C-to-T mutation in the desmin gene on chromosome 2q35 caused autosomal dominant myofibrillar myopathy with arrhythmogenic right ventricular cardiomyopathy 7 in a Swedish family. PMID: 22395865
  28. Frequent desmin (32%) and occasional CD34 (6%) expression are encountered in cellular fibrous histiocytoma. PMID: 22775584
  29. Data indicate that the interaction and co-localization of mutant and wild-type desmin proves the co-existence of heterogeneous filaments in living cells. PMID: 22403400
  30. analysis of CD105, CD31, alpha-SMA, vimentin and desmin expression on a series of normal human heart tissues varying between five and 33 weeks PMID: 22395512
  31. This study demonistrated that Patients carrying DES mutations presenting with myofibrillar myopathies or without muscle involvement, are at high risk of developing major cardiac complications. PMID: 22153487
  32. the expression of mutant desmin leads to increased mechanical stiffness, which results in excessive mechanical stress in response to strain and consecutively to increased mechanical vulnerability and damage of muscle cells. PMID: 22386993
  33. Ankrd1 and desmin may play important roles in airway smooth muscle cell homeostasis. PMID: 22085644
  34. 49 mutations have been identified in the desmin gene, which alter the desmin filament assembly process through different molecular mechanisms and also its interaction with its protein partners. Review. PMID: 21982405
  35. these studies highlight the importance of desmin in maintaining cardiomyocyte structure and illustrate how disrupting this network can be deleterious to the heart--{REVIEW} PMID: 21784990
  36. study of patients with heart dilation of various origins; conclude A213V desmin substitution represents a rare polymorphism that plays role as predisposing factor resulting in maladaptive heart remodelling in presence of other pathological factors PMID: 21842594
  37. Novel mutations of desmin gene were linked with cardiomyopathy in patients from 5 Chinese families with desminopathy. PMID: 20654101
  38. Six novel mutations and one previously reported mutation in the desmin gene were identified in the patients PMID: 20696008
  39. the state of desmin-filament assembly is crucial for synemin anchorage and consequently might involve mechanical and functional stability of the cytoskeletal network PMID: 21262226
  40. study provides evidence on functional consequences of a novel mutation, N116S, identified in the desmin 1A segment of the rod domain for the development of arrhythmogenic right ventricular cardiomyopathy PMID: 20829228
  41. Case Report: present a rare case of desmin-related hypertrophic cardiomyopathy. Cardiac magnetic resonance imaging revealed fibrosis in the lateral wall of the left ventricle. PMID: 21083940
  42. mutations in MTM1 disrupted the MTM1-desmin complex, resulting in abnormal intermediate filament assembly and architecture in muscle cells PMID: 21135508
  43. Desmin mutations affects the localization of desmoplakin and plakophilin-2 at the intercalated disk suggesting a link between desmosomal cardiomyopathies (mainly affecting the right ventricle) and cardiomyopathies caused by desmin mutations. PMID: 20423733
  44. study of aggregation properties of desmin in vitro & aggregation state of desmin in homogenates of transfected cells; detected divergent assembly patterns for 3 different desmin missense mutations PMID: 20448486
  45. The Uruguayan family with severe cardiomyopathy carries an unusual deletion p.E114del within the 1A rod domain of desmin. PMID: 20133133
  46. the "tail" domain is responsible for attractive filament-filament interactions PMID: 20171226
  47. The "head" mutations in desmin proteins impacting on intermediate filament assembly properties and their competition for binding to cellular anchoring structures might explain part of the molecular mechanism that causes myhofibrillar myopathy disease. PMID: 19763525
  48. A localized effect of desmin on the structure of the cardiac intercalated disks might contribute to disease pathogenesis PMID: 19879535
  49. Data showed that the elevated expression of desmin was correlated with the severity and differentiation of CRC. PMID: 19460759
  50. structural and functional analysis of a new variant causing desmin-related myopathy PMID: 11668632

Show More

Hide All

Involvement in disease
Myopathy, myofibrillar, 1 (MFM1); Cardiomyopathy, dilated 1I (CMD1I); Neurogenic scapuloperoneal syndrome Kaeser type (Kaeser syndrome); Limb-girdle muscular dystrophy 2R (LGMD2R)
Subcellular Location
Cytoplasm, myofibril, sarcomere, Z line. Cytoplasm. Cell membrane, sarcolemma. Nucleus.
Protein Families
Intermediate filament family
Database Links

HGNC: 2770

OMIM: 125660

KEGG: hsa:1674

STRING: 9606.ENSP00000363071

UniGene: Hs.594952

CUSABIO guaranteed quality
icon of phone
Call us
301-363-4651 (Available 9 a.m. to 5 p.m. CST from Monday to Friday)
icon of address
Address
7505 Fannin St., Ste 610, Room 7 (CUBIO Innovation Center), Houston, TX 77054, USA
icon of social media
Join us with

Subscribe newsletter

Leave a message

* To protect against spam, please pass the CAPTCHA test below.
CAPTCHA verification
© 2007-2025 CUSABIO TECHNOLOGY LLC All rights reserved. 鄂ICP备15011166号-1
×
Place an order now

I. Product details

*
*
*
*

II. Contact details

*
*

III. Ship To

*
*
*
*
*
*
*

IV. Bill To

*
*
*
*
*
*
*
*