ENO1 Recombinant Monoclonal Antibody

Code CSB-RA902486A0HU
Size US$210
Order now
Image
  • Flow cytometric analysis of Enolase 1 expression in HepG2 cells using Enolase 1 antibody. Green, isotype control; red, Enolase 1.
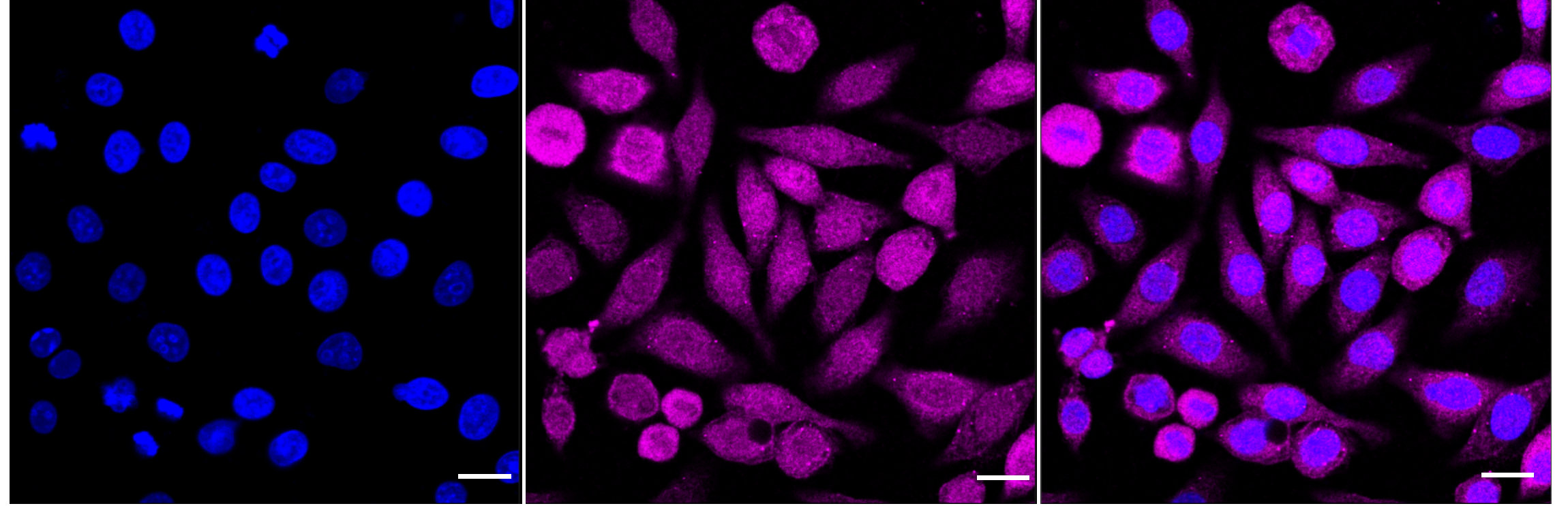
  • Immunocytochemical staining of HepG2 cells with Enolase 1 antibody. Nuclei were stained blue with DAPI; Enolase 1 was stained magenta with Alexa Fluor® 647. Images were taken using Leica stellaris 5. Protein abundance based on laser Intensity and smart gain: Medium. Scale bar: 20 μm.
  • Western blotting analysis using Enolase 1 antibody. Total cell lysates (30 μg) from various cell lines were loaded and separated by SDS-PAGE. The blot was incubated with Enolase 1 antibody and HRP-conjugated goat anti-rabbit secondary antibody respectively.
Have Questions? Leave a Message or Start an on-line Chat

Product Details

Uniprot No.
Target Names
Alternative Names
ENO1; Enolase 1; Alpha-Enolase; ENO1L1; MBP-1; MPB1; PPH; ENO1 Intronic Transcript 1 (Non-Protein Coding); 2-Phospho-D-Glycerate Hydro-Lyase; Plasminogen-Binding Protein; ENO1 Intronic Transcript 1; Phosphopyruvate Hydratase; Enolase 1, (Alpha); Non-Neural Enolase; EC 4.2.1.11; ENO1-IT1; NNE; Epididymis Secretory Protein Li 17; C-Myc Promoter-Binding Protein-1; MYC Promoter-Binding Protein 1; C-Myc Promoter-Binding Protein; Alpha Enolase Like 1; Tau-Crystallin; Enolase-Alpha; HEL-S-17; EC 4.2.1; MBPB1; MPB-1
Species Reactivity
Human, Mouse, Rat
Immunogen
Recombinant Human ENO1 protein
Immunogen Species
Homo sapiens (Human)
Conjugate
Non-conjugated
Clonality
Monoclonal
Isotype
Rabbit IgG
Clone No.
5D6
Purification Method
Affinity-chromatography
Concentration
It differs from different batches. Please contact us to confirm it.
Buffer
Rabbit IgG in PBS (pH 7.4) containing 50% glycerol, and 0.02% sodium azide.
Form
Liquid
Tested Applications
ELISA, WB, FC, ICC
Recommended Dilution
Application Recommended Dilution
WB 1:1000-1:5000
FC 1:200-1:2000
ICC 1:100-1:1000
Troubleshooting and FAQs
Storage
Upon receipt, store at -20°C or -80°C. Avoid repeated freeze.
Lead Time
Basically, we can dispatch the products out in 1-3 working days after receiving your orders. Delivery time maybe differs from different purchasing way or location, please kindly consult your local distributors for specific delivery time.
Usage
For Research Use Only. Not for use in diagnostic or therapeutic procedures.

Customer Reviews and Q&A

 Customer Reviews

There are currently no reviews for this product.

Submit a Review here

Target Background

Function
Glycolytic enzyme the catalyzes the conversion of 2-phosphoglycerate to phosphoenolpyruvate. In addition to glycolysis, involved in various processes such as growth control, hypoxia tolerance and allergic responses. May also function in the intravascular and pericellular fibrinolytic system due to its ability to serve as a receptor and activator of plasminogen on the cell surface of several cell-types such as leukocytes and neurons. Stimulates immunoglobulin production.; MBP1 binds to the myc promoter and acts as a transcriptional repressor. May be a tumor suppressor.
Gene References into Functions
  1. Our data provide strong evidence that alpha-enolase short hairpin RNA interference vector can effectively suppress the proliferation and increase chemosensitivity of MKN45 cells, which may provide a novel gene therapy for gastric cancer. PMID: 29986635
  2. Elevated ENO1 could promote the proliferation of retinoblastoma cells. PMID: 29913409
  3. Together these findings suggest a possible mechanism of host invasion by HIV-1 through the CAWLEAQ motif of Nef-mediated regulation of ENO1 and identify a potential therapeutic target for HIV-1 entry at mucosal barriers. PMID: 29404888
  4. We propose that ENO1 is a useful indicator of parakeratosis and might have a potential role in cellular TJ barrier function in the epidermis PMID: 29430682
  5. The authors found that ENO1 expression was upregulated in the hepatitis B virus-infected liver tissues and cells. Silencing of ENO1 resulted in a significant reduction in hepatitis B virus replication, and this siRNA-mediated reaction also caused the upregulation of expression of type I interferon and downstream interferon-stimulated genes. PMID: 29080231
  6. serum anti-alpha-enolase antibody levels positively correlated with serum whole IgG and 24-hour urine protein and negatively correlated with serum D-dimer level in patients with systemic lupus erythematosus PMID: 28728510
  7. ENO1 is a crucial factor promoting neoplastic transformation exclusively in terminal respiratory unit (TRU) subtype lung adenocarcinomas (ADCs). PMID: 29090499
  8. Protein arginine methyltransferase 5 (PRMT5) was identified to be responsible for Eno-1 methylation. Overexpression of PRMT5 and caveolin-1 enhanced levels of membrane-bound extracellular Eno-1 and, conversely, pharmacological inhibition of PRMT5 attenuated Eno-1 cell-surface localization. PMID: 29501774
  9. Our results suggested that alpha-enolase level was significantly elevated in pancreatic cancer tissues, which was closely associated with pancreatic cancer progression PMID: 28824297
  10. ENO1 is a novel biomarker to predict drug resistance and overall prognosis in gastric cancer. PMID: 28548950
  11. ENO1 can elicit humoral immune response in NSCLC and its autoantibody has association with the tumorigenesis of NSCLC. Furthermore, these intriguing results suggest the possibility of autoantibody against ENO1 serving as a potential diagnostic biomarker in NSCLC and have implications for defining novel histological determinants of NSCLC. PMID: 28456790
  12. The study provides solid evidence that there is the interaction between GRN A and ENO1 and the interaction is responsible for the effects of GRN A on glucose uptake as well as cancer cell migration and invasion. PMID: 28415822
  13. Our findings showed that both S100beta and NSE levels similarly increased during CPB and immediately after CPB during sevoflurane and propofol based anesthesia. PMID: 26856295
  14. ENO1 promotes in pancreatic ductal adenocarcinoma (PDA) cells cell survival, migration, and metastasis through cooperation with integrins and uPAR PMID: 28086938
  15. ENO1 is a potent promoter of colorectal cancer genesis and metastasis at least in part though regulating AMPK/mTOR pathway. PMID: 27996156
  16. comparing the T cell receptor repertoire of ENO1-specific peripheral and infiltrating tumor T cells from the same patient suggests that ENO1-specific T cells, despite having a different functional profile, can recirculate from the tumor to the periphery. PMID: 27210467
  17. ENO1 is able to activate in vitro the CD14-dependent TLR4 pathway on monocytes involving a dual mechanism firstly pro-inflammatory and secondly anti-inflammatory. PMID: 27025255
  18. High ENO1 expression is associated with cancer. PMID: 26734996
  19. An immune-modulatory role has been proposed for surface alpha-enolase and our findings of decreased expression suggest that deficits in surface alpha-enolase merit investigation in the context of immune dysfunction during ageing and vascular disease PMID: 26432922
  20. Systems biology approach reveals possible evolutionarily conserved moonlighting functions for enolase PMID: 25978602
  21. ENO1 was demonstrated to be up-regulated by HIF-1alpha in retinal pigment epithelial cells in response to hypoxia, without influencing VEGF secretion. PMID: 26882120
  22. In this study, ENO1 silencing significantly reduced cell glycolysis, proliferation, migration, and invasion in vitro, as well as tumorigenesis and metastasis in vivo by modulating p85 suppression. PMID: 25951350
  23. alpha-Enolase increases after injury and may activate pulmonary endothelial cells and prime PMNs through plasmin activity and PAR-2 activation PMID: 25944790
  24. High ENO1 expression is associated with invasiveness of pancreatic cancer. PMID: 25860938
  25. tRK1 forms a complex with human enolases and interacts with tRK1 and human pre-lysyl-tRNA synthetase (preKARS2) PMID: 25918939
  26. The association of ENO1 and GPI with postthaw sperm viability and motility was confirmed using Pearson's linear correlation. ENO1 and GPI can be used as markers of human sperm freezability before starting the cryopreservation procedure. PMID: 25910678
  27. This study showed that ENO1 is responsible for non-small cell lung cancer proliferation and metastasis PMID: 25887760
  28. ENO1 induces gene expression, lactate production, cell proliferation and migration and can be negatively regulated by FBXW7 at the posttranslational level. PMID: 26097998
  29. alpha-enolase binds plasminogen and modulates its activation, it is plausible to speculate the association of the increase in alpha-enolase secretion by infected hepatic cells with the haemostatic dysfunction observed in dengue patients PMID: 25171719
  30. Data suggest that endoplasmic reticulum stress up-regulates ENO1/MBP1 expression through the AKT/PERK/eIF2a signaling axis in both breast cancer cells and non-tumor cells. PMID: 26144282
  31. Low ENO1 expression is associated with clear cell renal cell carcinoma. PMID: 26037892
  32. ENO1 is an independent prognostic factor, significantly correlated with overall survival of Non-Hodgkin's Lymphoma patients. PMID: 26024773
  33. STIM1/ORAI1-mediated Ca2+ influx regulates enolase-1 exteriorization in cancer cells. PMID: 25805497
  34. the results indicated that the combination of ENO1 and CYPA can serve as a potential molecular marker for the early detection of NPC. PMID: 24998431
  35. Using shotgun proteomics together with western blotting and ELISA, we identify sputum ENO1 as a biomarker candidate for lung cancer PMID: 24984566
  36. Our data suggest that ENO1 was upregulated by CagA protein thereby providing a novel mechanism underlying H. pylori-mediated gastric diseases. PMID: 24841372
  37. These data show a multiantibody composition in lupus nephritis, where IgG2 autoantibodies against alpha-enolase and annexin AI predominate in the glomerulus and can be detected in serum. PMID: 24790181
  38. Isotypes of anti-citrullinated fibrinogen and alpha-enolase can be found in the serum of children with juvenile idiopathic arthritis of all onset types. PMID: 25068682
  39. Overexpression of ENO1 is associated with glioma progression. PMID: 24650096
  40. Citrullination of ENO1 is associated with neoplasms. PMID: 24099319
  41. the differential association of ENO-1 with caveolar proteins regulates ENO-1 subcellular localization and, consequently, ENO-1-dependent cell migration and invasion. PMID: 24628430
  42. ENO1 overexpression can inhibit EMT in vitro by suppressing ERK1/2 phosphorylation PMID: 23676977
  43. surface alpha-enolase promotes extracellular matrix degradation and invasion of cancer cells and that targeting surface alpha-enolase is a promising approach to suppress tumor metastasis. PMID: 23894455
  44. plasma levels are significantly higher in renal cell carcinoma patients than in controls PMID: 23113677
  45. results indicate that Streptococcus sanguinis infection and the sera of Behcet's disease patients with active disease are inflammatory stimuli that can induce membranous alpha-enolase expression in endothelial cells PMID: 23131860
  46. The reduction in enolase-1 expression significantly decreases the response to hypoxia and enhances the sensitivity of the cells to radiation therapy. PMID: 23381546
  47. ENO1 is a passenger locus homozygously deleted as part of the 1p36 locus in glioblastoma and inhibition of ENO2 is selectively lethal to ENO1 deleted tumor cells, but not normal non-cancerous cells. PMID: 22895339
  48. These results extend, confirm, and generalize the evidence supporting the specificity of the anti-CEP-1 antibody-positive subgroup of patients with rheumatoid arthritis among anti-CCP antibody-positive patients with RA. PMID: 21360494
  49. Data show six differentially expressed proteins were identified as HSP70, PPIA and alpha-Enolase (up-regulated) S100-A9, PIMT and beta-5 tubulin (down-regulated), most of which had been shown to play a potential role in the pathogenesis of atherosclerosis. PMID: 21839816
  50. results indicate that C-peptide has the capacity to activate alpha-enolase through a specific interaction between E27 of the peptide and K434 of the enzyme PMID: 22577163

Show More

Hide All

Subcellular Location
Cytoplasm. Cell membrane. Cytoplasm, myofibril, sarcomere, M line. Note=Can translocate to the plasma membrane in either the homodimeric (alpha/alpha) or heterodimeric (alpha/gamma) form. ENO1 is localized to the M line.; [Isoform MBP-1]: Nucleus.
Protein Families
Enolase family
Tissue Specificity
The alpha/alpha homodimer is expressed in embryo and in most adult tissues. The alpha/beta heterodimer and the beta/beta homodimer are found in striated muscle, and the alpha/gamma heterodimer and the gamma/gamma homodimer in neurons.
Database Links

HGNC: 3350

OMIM: 172430

KEGG: hsa:2023

STRING: 9606.ENSP00000234590

UniGene: Hs.517145

icon of phone
Call us
301-363-4651 (Available 9 a.m. to 5 p.m. CST from Monday to Friday)
icon of address
Address
7505 Fannin St., Ste 610, Room 7 (CUBIO Innovation Center), Houston, TX 77054, USA
icon of social media
Join us with

Subscribe newsletter

Leave a message

* To protect against spam, please pass the CAPTCHA test below.
CAPTCHA verification
© 2007-2025 CUSABIO TECHNOLOGY LLC All rights reserved. 鄂ICP备15011166号-1
×
Place an order now

I. Product details

*
*
*
*

II. Contact details

*
*

III. Ship To

*
*
*
*
*
*
*

IV. Bill To

*
*
*
*
*
*
*
*