EPO Recombinant Monoclonal Antibody

Code CSB-RA007743MA1HU
Size US$210
Order now
Image
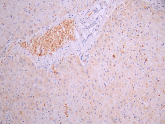
  • IHC image of CSB-RA007743MA1HU diluted at 1:50 and staining in paraffin-embedded human liver tissue performed on a Leica BondTM system. After dewaxing and hydration, antigen retrieval was mediated by high pressure in a citrate buffer (pH 6.0). Section was blocked with 10% normal goat serum 30min at RT. Then primary antibody (1% BSA) was incubated at 4°C overnight. The primary is detected by a Anti-Human lgG, Fcy Fragment Specific labeled by HRP and visualized using 0.05% DAB.
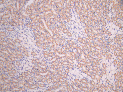
  • IHC image of CSB-RA007743MA1HU diluted at 1:50 and staining in paraffin-embedded human kidney tissue performed on a Leica BondTM system. After dewaxing and hydration, antigen retrieval was mediated by high pressure in a citrate buffer (pH 6.0). Section was blocked with 10% normal goat serum 30min at RT. Then primary antibody (1% BSA) was incubated at 4°C overnight. The primary is detected by a Anti-Human lgG, Fcy Fragment Specific labeled by HRP and visualized using 0.05% DAB.
Have Questions? Leave a Message or Start an on-line Chat

Product Details

Uniprot No.
Target Names
Alternative Names
EPOErythropoietin antibody; Epoetin antibody
Species Reactivity
Human
Immunogen
Recombinant Human EPO protein
Immunogen Species
Homo sapiens (Human)
Conjugate
Non-conjugated
Clonality
Monoclonal
Isotype
hIgG1
Clone No.
30F12
Purification Method
Affinity-chromatography
Concentration
It differs from different batches. Please contact us to confirm it.
Buffer
Preservative: 0.03% Proclin 300
Constituents: 50% Glycerol, 0.01M PBS, PH 7.4
Form
Liquid
Tested Applications
ELISA, IHC
Recommended Dilution
Application Recommended Dilution
IHC 1:50-1:200
Troubleshooting and FAQs
Storage
Upon receipt, store at -20°C or -80°C. Avoid repeated freeze.
Lead Time
Basically, we can dispatch the products out in 1-3 working days after receiving your orders. Delivery time maybe differs from different purchasing way or location, please kindly consult your local distributors for specific delivery time.
Usage
For Research Use Only. Not for use in diagnostic or therapeutic procedures.

Customer Reviews and Q&A

 Customer Reviews

There are currently no reviews for this product.

Submit a Review here

Target Background

Function
Hormone involved in the regulation of erythrocyte proliferation and differentiation and the maintenance of a physiological level of circulating erythrocyte mass. Binds to EPOR leading to EPOR dimerization and JAK2 activation thereby activating specific downstream effectors, including STAT1 and STAT3.
Gene References into Functions
  1. Increases in plasma erythropoietin and erythropoietin receptor activation are mechanisms implicated in the increase of plasma FGF23 in acute kidney injury. PMID: 29395333
  2. the implication of alpha-7-nAChR-JAK-2/STAT-3-Nrf-2 signaling cascade in the radiomitigative potential of EPO against ARS PMID: 29220591
  3. Pro-inflammatory proteins S100A9 and tumor necrosis factor-alpha suppress erythropoietin elaboration in myelodysplastic syndromes PMID: 28983059
  4. EPO levels in the coronary artery disease (CAD) group were higher than those in the non-CAD group. The correlation between red cell distribution width and EPO levels was statistically significant among CAD patients. PMID: 28885393
  5. CD133(+) cells contributed to the local production of erythropoietin, as observed by detection of circulating human erythropoietin. CD133(+) cells appear therefore an effective source for cell repair, able to restore renal functions, including erythropoietin release, and to limit long term maldifferentiation and fibrosis. PMID: 27853265
  6. Circulating anti-EPO are detected in a significant proportion of treatment-naive HCV-infected patients and are independently associated with anemia, suggesting a further implication of autoimmunity in the pathophysiology of HCV-related anemia. PMID: 28603097
  7. the T allele of SNP rs60684937 located at 67,419,130 bp on chromosome 17 was associated with increased plasma EPO and a relatively increased expression of a non-coding transcript of PRKAR1A in sickle cell disease patients PMID: 28173069
  8. study describes a gain-of-function variant in EPO in an extended kindred with familial erythrocytosis, including 10 affected family members in four generations; this mutation, a single-nucleotide deletion (c.32delG), introduces a frameshift in exon 2 PMID: 29514032
  9. Here, using zebrafish, murine, and human models, the authors show that erythropoietin (EPO) signaling, together with the GATA1 transcriptional target, AKAP10, regulates heme biosynthesis during erythropoiesis at the outer mitochondrial membrane. PMID: 28553927
  10. Reduction in central venous blood pressure prompts an increase in plasma EPO concentration independent of hemoconcentration and hence suggests CVP per se as an acute regulator of EPO synthesis PMID: 27169519
  11. EPO (7q22) and SEC-61(7p11) emerged as new candidate genes susceptible to genetic losses with 57.7% deletions identified in regions on chromosome 7. PMID: 27282568
  12. The current controversy may derive from a context-dependent mode of action of Epo, namely opposite skeletal actions during bone regeneration and steady-state bone remodeling. PMID: 26822707
  13. High EPO expression is associated with monoclonal gammopathy of undetermined significance and multiple myeloma. PMID: 26919105
  14. age 3 plasma levels of EPO were found related to childhood asthma PMID: 27434124
  15. EPO induces an EMT-like process in mammary non-tumorigenic epithelial cells PMID: 28247960
  16. these results suggested that quercetin's cytoprotective effects in HepG2 cells are mediated via EPO production. PMID: 29080630
  17. Serum Epo and VEGF may be markers of severity of hypoxia-ischaemia and brain injury as they are closely related to hypoxic exposure. PMID: 27902983
  18. CIS interacted with phosphorylated EpoR at Y401, which was critical for the activation of STAT5 and ERK. PMID: 28038963
  19. EPO dependent regulation pathway of FGF23 gene expression PMID: 29073196
  20. Fetal plasma EPO concentrations are selectively increased in monochorionic twin pregnancies with intrauterine growth restriction. PMID: 27161360
  21. this study shows that EPO is involved in the pathogenesis of sepsis-induced acute kidney injury PMID: 27266727
  22. Erythropoietin is superior to the standard prognostic scores in predicting 28-day mortality in patients with acute-on-chronic liver failure. PMID: 27981303
  23. EPO levels were also found correlated positively with heme, TNF-alpha, IL-10, IP-10 and MCP-1 during cerebral malaria. PMID: 27441662
  24. Three single nucleotide polymorphisms are associated with increased risk of diabetic retinopathy in a Chinese Han population. PMID: 27190272
  25. Pharmacokinetic animal studies revealed strongly 15.6-fold plasma half-life extension for the PASylated EPO (83.16 +/- 13.28 h) in comparison to epoetin alpha (8.5 +/- 2.4 h) and darbepoetin alpha (25.3 +/- 2.2h). PMID: 28168382
  26. Secreted MIR122 reached the kidney and reduced expression of erythropoietin, contributing to inflammation-induced anemia. PMID: 27477940
  27. this paper shows that Epo could directly down-regulate pro-inflammatory T cell responses without affecting T cell activation status PMID: 27208431
  28. findings suggest that erythropoietin levels in anemia of unknown etiology, although elevated, remain inappropriately low, particularly when compared with other forms of anemia. This suggests a relative erythropoietin deficiency or a blunted erythroid cell response. PMID: 26747131
  29. Plasma IGFBP-1 was significantly associated with plasma EPO concentration in acute kidney injury, suggesting an unknown mechanism related to systemic stress conditions for EPO regulation in AKI. PMID: 26479890
  30. Our results suggest that EPO/EPOR pathway promotes gastric cancer formation, proliferation, migration, and decreases apoptosis PMID: 27086036
  31. These results suggest that both EpoR-positive and EpoR-negative cancer cells could be regulated by exogenous Epo. However, an increased response to erythropoietin was observed in the EpoR-positive cells. Thus, erythropoietin increases the risk of tumor progression in colon cancer and should not be used to treat anemia in this type of cancer. PMID: 27543111
  32. Overexpression of EPO is associated with clear cell renal cell carcinoma. PMID: 27468719
  33. EPO may play an important role in stem cell mobilization through up regulating HGF in mesenchymal stem cells and inducing migration of hematopoietic stem/progenitor cells PMID: 27865586
  34. A review of contemporary aspects of EPO relating to chronic liver disease. [review] PMID: 26919118
  35. Hepatic EPO synthesis is not enhanced in cirrhosis. PMID: 26924722
  36. Conclusion: Anemia in cancers was not because of inadequate Epo or Fe levels, but because of improper Epo response. PMID: 26838000
  37. In multivariate survival analysis, age, Epo and EpoR were independent prognostic factors related to overall survival in hepatocellular carcinoma. PMID: 26097591
  38. Suggest that hypoxia prevents EPO suppression, and exaggerates the plasma volume reduction induced by bed rest. PMID: 27081163
  39. Inadequate erythropoietin response may partly explain anemia in anorexia nervosa. PMID: 26049959
  40. these findings suggest that TGF-beta suppression and EPO stimulation promote erythropoiesis of CD34(+)CD31(+) progenitor cells derived from hPSCs. PMID: 26012423
  41. Our findings have important potential clinical implications, indicating that EPO supplementation in rhabdomyosarcoma patients may have the unwanted side effect of tumor progression. PMID: 26412593
  42. suggest that rhEPO regulates apoptosis-related genes and affects apoptosis in the hippocampus of aging rats by upregulating SIRT. PMID: 26261574
  43. Higher levels of endogenous erythropoietin are associated with incident heart failure in older adults. PMID: 26721912
  44. Erythropoietin protects mouse renal tubular basement membrane by promoting bone marrow cells to generate and secrete miR-144, which, in turn, inhibits activation of the tPA/MMP9-mediated proteolytic network. PMID: 26469975
  45. The review describes the induction of erythropoietin gene expression in liver, reproouctive and hemopoietic systems during hypoxia or a state of proliferation. PMID: 26995951
  46. Our data suggest that rs507392 and rs551238 in the erythropoietin gene probably act to lessen the risk for diabetic retinopathy (DR) in a Chinese cohort with type 2 diabetes mellitus (T2DM). PMID: 25675872
  47. Data suggest maternal circulating 25-hydroxyvitamin D during mid-pregnancy and at delivery is inversely related to serum EPO; an indirect relation observed between circulating vitamin D and circulating hemoglobin is at least partly mediated by EPO. PMID: 26447159
  48. This review gleans these different strategies and highlights the leading molecular recognition elements that have potential roles in rHuEPO doping detection. PMID: 25058943
  49. The addition of salt (even low concentrations of the strong chaotrope salt guanidinium hydrochloride) also exponentially decreased the initial rate of soluble erythropoietin non-native aggregation at 37 degrees C storage PMID: 25628168
  50. In very preterm infants, whether elevated perinatal erythropoietin (EPO) concentrations are associated with increased risks of indicators of brain damage, was determined. PMID: 25793991

Show More

Hide All

Involvement in disease
Microvascular complications of diabetes 2 (MVCD2)
Subcellular Location
Secreted.
Protein Families
EPO/TPO family
Tissue Specificity
Produced by kidney or liver of adult mammals and by liver of fetal or neonatal mammals.
Database Links

HGNC: 3415

OMIM: 133170

KEGG: hsa:2056

STRING: 9606.ENSP00000252723

UniGene: Hs.2303

CUSABIO guaranteed quality
icon of phone
Call us
301-363-4651 (Available 9 a.m. to 5 p.m. CST from Monday to Friday)
icon of address
Address
7505 Fannin St., Ste 610, Room 7 (CUBIO Innovation Center), Houston, TX 77054, USA
icon of social media
Join us with

Subscribe newsletter

Leave a message

* To protect against spam, please pass the CAPTCHA test below.
CAPTCHA verification
© 2007-2025 CUSABIO TECHNOLOGY LLC All rights reserved. 鄂ICP备15011166号-1
×
Place an order now

I. Product details

*
*
*
*

II. Contact details

*
*

III. Ship To

*
*
*
*
*
*
*

IV. Bill To

*
*
*
*
*
*
*
*