ERP29 Recombinant Monoclonal Antibody

Code CSB-RA909705A0HU
Size US$210
Order now
Image
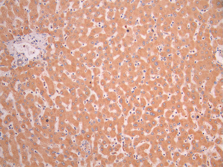
  • IHC image of CSB-RA909705A0HU diluted at 1:100 and staining in paraffin-embedded human liver tissue performed on a Leica BondTM system. After dewaxing and hydration, antigen retrieval was mediated by high pressure in a citrate buffer (pH 6.0). Section was blocked with 10% normal goat serum 30min at RT. Then primary antibody (1% BSA) was incubated at 4°C overnight. The primary is detected by a Goat anti-rabbit polymer IgG labeled by HRP and visualized using 0.05% DAB.
  • IHC image of CSB-RA909705A0HU diluted at 1:100 and staining in paraffin-embedded human liver cancer performed on a Leica BondTM system. After dewaxing and hydration, antigen retrieval was mediated by high pressure in a citrate buffer (pH 6.0). Section was blocked with 10% normal goat serum 30min at RT. Then primary antibody (1% BSA) was incubated at 4°C overnight. The primary is detected by a Goat anti-rabbit polymer IgG labeled by HRP and visualized using 0.05% DAB.
  • Immunofluorescence staining of Hela cell with CSB-RA909705A0HU at 1:50 , counter-stained with DAPI. The cells were fixed in 4% formaldehyde, permeabilized using 0.2% Triton X-100 and blocked in 10% normal Goat Serum. The cells were then incubated with the antibody overnight at 4°C. The secondary antibody was Alexa Fluor 488-congugated AffiniPure Goat Anti-Rabbit IgG(H+L).
  • Overlay Peak curve showing K562 cells stained with CSB-RA909705A0HU (red line) at 1:100. The cells were fixed in 4% formaldehyde and permeated by 0.2% TritonX-100 for 10min. Then 10% normal goat serum to block non-specific protein-protein interactions followed by the antibody (1ug/1*106cells) for 45min at 4℃. The secondary antibody used was FITC-conjugated goat anti-rabbit IgG (H+L) at 1/200 dilution for 35min at 4℃.Control antibody (green line) was Rabbit IgG (1ug/1*106cells) used under the same conditions. Acquisition of >10, 000 events was performed.
Have Questions? Leave a Message or Start an on-line Chat

Product Details

Uniprot No.
Target Names
Alternative Names
ERP29 antibody; C12orf8 antibody; ERP28Endoplasmic reticulum resident protein 29 antibody; ERp29 antibody; Endoplasmic reticulum resident protein 28 antibody; ERp28 antibody; Endoplasmic reticulum resident protein 31 antibody; ERp31 antibody
Species Reactivity
Human
Immunogen
A synthesized peptide from human ERP29 protein
Immunogen Species
Homo sapiens (Human)
Conjugate
Non-conjugated
Clonality
Monoclonal
Isotype
Rabbit IgG
Clone No.
23C9
Purification Method
Affinity-chromatography
Concentration
It differs from different batches. Please contact us to confirm it.
Buffer
Rabbit IgG in 10mM phosphate buffered saline , pH 7.4, 150mM sodium chloride, 0.05% BSA, 0.02% sodium azide and 50% glycerol.
Form
Liquid
Tested Applications
ELISA, IHC, IF, FC
Recommended Dilution
Application Recommended Dilution
IHC 1:50-1:200
IF 1:50-1:200
FC 1:50-1:200
Troubleshooting and FAQs
Storage
Upon receipt, store at -20°C or -80°C. Avoid repeated freeze.
Lead Time
Basically, we can dispatch the products out in 1-3 working days after receiving your orders. Delivery time maybe differs from different purchasing way or location, please kindly consult your local distributors for specific delivery time.
Usage
For Research Use Only. Not for use in diagnostic or therapeutic procedures.

Customer Reviews and Q&A

 Customer Reviews

There are currently no reviews for this product.

Submit a Review here

Target Background

Function
Does not seem to be a disulfide isomerase. Plays an important role in the processing of secretory proteins within the endoplasmic reticulum (ER), possibly by participating in the folding of proteins in the ER.
Gene References into Functions
  1. Downregulation of ERp29 was commonly found in GC tissues and highly correlated with more aggressive phenotypes and poorer prognosis. PMID: 28874138
  2. The anti-aggregation peptide ReACp53 significantly decreased ERP29 expression and suppressed the chemoresistant effect. These findings highlight a role of ERP29 in the acquired chemoresistance of cancer cells expressing the aggregating p53 mutant Arg282Trp. PMID: 28534505
  3. Results of further analyses by using a CNX mutant imply that ERp29 and ERp57 recognize the same domain of CNX, whereas the mode of interaction with CNX might be somewhat different between them. PMID: 28456374
  4. High ERP29 expression is associated with pancreatic ductal adenocarcinomas. PMID: 26887611
  5. our studies prove a novel function of ERp29\MGMT in cancer cell survival against radiation. Targeting ERp29\MGMT axis may be useful for providing better treatment efficacy in combination with radiotherapy in breast cancer. PMID: 26420420
  6. Endoplasmic reticulum protein 29 attenuates CSE-induced ER stress and enhances cell viability and barrier integrity of RPE cells, and therefore may act as a protective mechanism for RPE survival and activity. PMID: 26431474
  7. CLIC4, ERp29, and Smac/DIABLO integrated into a novel panel based on cancer stem-like cells in association with metastasis stratify the prognostic risks of colorectal cancer. PMID: 24916695
  8. overexpression of ERp29 may play a key role in apoptosis in HTR-8/SVneo cells via activation of p38, which may participate in the pathogenesis of intrahepatic cholestasis of pregnancy PMID: 24780196
  9. ERp29 directs ENaC toward the Golgi, where it undergoes cleavage during its biogenesis and trafficking to the apical membrane. PMID: 24944201
  10. Apoptosis related proteins ERp29, PRDX6 and MPO were differentially expressed in placentas of pregnant women with intrahepatic cholestasis and in healthy pregnant women. PMID: 24391750
  11. S1P1 overexpression or ERp29 absence is related to the carcinogenesis and progression, and may be potential biomarkers for early detection of gallbladder adenocarcinoma. PMID: 23558074
  12. ERp29 is a novel molecule that regulates MET and epithelial cell integrity in breast cancer cells. PMID: 22543584
  13. Overexpression of ERp29 increases the radioresistance in nasopharyngeal carcinoma. PMID: 21479953
  14. Suggest that ERp29 associates with radioresistance in nasopharyngeal carcinoma and may be potential biomarker for predicting response to radiotherapy. PMID: 22160175
  15. Eurycomanone affects the transcription of Erp28, annexin 1 and prohibitin resulting in reduced expression of these proteins. PMID: 21903368
  16. interplay between p38 phosphorylation and p58(IPK) upregulation has key roles in modulating ERp29-induced cell-growth arrest and survival PMID: 22064321
  17. ERp29 is a 4PBA-regulated ER chaperone that regulates WT-CFTR biogenesis and can promote DeltaF508-CFTR trafficking in CF epithelial cells PMID: 21525008
  18. Results identify ERp29 as a novel regulator of PERK and provide evidence for the role of ER resident factors in the regulation of chemotherapeutic efficacy. PMID: 21419175
  19. High expression of ERp29 inversely correlates to tumor progression. PMID: 20920593
  20. Expression and tissue distribution of ERp29 [review] PMID: 12362325
  21. ERp29 is an unusual redox-inactive member of the thioredoxin family [review] PMID: 16677078
  22. ERP29 is expressed in a subset of basal-cell carcinoma of the skin, with the infiltrating carcinomas exhibiting the highest incidence of immunopositivity. PMID: 17012915
  23. Results found that ERp29 comprises significant alpha-helical structure. PMID: 17073718
  24. mutants of the D-domain of ERp29 prevent transport of a substrate protein (Pipe) in a manner consistent with the presence of a discrete, conserved peptide binding site in the D-domain PMID: 17296603
  25. ERp29-activated polyomavirus perforates the physiologically relevant ER membrane, an event that likely initiates viral penetration. PMID: 17881435
  26. lactating mammary glands were expressing ERp29 while the resting glands did not PMID: 18395818
  27. there are two putative peptide binding sites of ERp29 and different processing activity of the human and Drosophila proteins in vivo does not stem from differences in peptide binding properties. PMID: 19084538
  28. The level of ER protein 29 (ERp29) was shown to be decreased in the CK19-expressing BT549 breast cancer cell line. PMID: 19265690
  29. This supports a new role for ERp29 as a chaperone that helps stabilize monomeric Cx43 to enable oligomerization to occur in the Golgi apparatus. PMID: 19321666
  30. ERp29 is a novel regulator leading to cell growth arrest and cell transition from a proliferative to a quiescent state. PMID: 19770839

Show More

Hide All

Subcellular Location
Endoplasmic reticulum lumen. Melanosome. Note=Identified by mass spectrometry in melanosome fractions from stage I to stage IV.
Tissue Specificity
Ubiquitous. Mostly expressed in secretory tissues.
Database Links

HGNC: 13799

OMIM: 602287

KEGG: hsa:10961

STRING: 9606.ENSP00000261735

UniGene: Hs.75841

icon of phone
Call us
301-363-4651 (Available 9 a.m. to 5 p.m. CST from Monday to Friday)
icon of address
Address
7505 Fannin St., Ste 610, Room 7 (CUBIO Innovation Center), Houston, TX 77054, USA
icon of social media
Join us with

Subscribe newsletter

Leave a message

* To protect against spam, please pass the CAPTCHA test below.
CAPTCHA verification
© 2007-2025 CUSABIO TECHNOLOGY LLC All rights reserved. 鄂ICP备15011166号-1
×
Place an order now

I. Product details

*
*
*
*

II. Contact details

*
*

III. Ship To

*
*
*
*
*
*
*

IV. Bill To

*
*
*
*
*
*
*
*