FAP Recombinant Monoclonal Antibody

Code CSB-RA008424MA2HU
Size US$210
Order now
Image
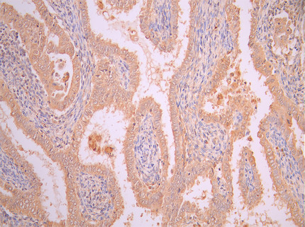
  • IHC image of CSB-RA008424MA2HU diluted at 1:50 and staining in paraffin-embedded human endometrial cancer performed on a Leica BondTM system. After dewaxing and hydration, antigen retrieval was mediated by high pressure in a citrate buffer (pH 6.0). Section was blocked with 10% normal goat serum 30min at RT. Then primary antibody (1% BSA) was incubated at 4°C overnight. The primary is detected by a Anti-Human lgG, Fcy Fragment Specific labeled by HRP and visualized using 0.05% DAB.
  • IHC image of CSB-RA008424MA2HU diluted at 1:50 and staining in paraffin-embedded human skeletal muscle tissue performed on a Leica BondTM system. After dewaxing and hydration, antigen retrieval was mediated by high pressure in a citrate buffer (pH 6.0). Section was blocked with 10% normal goat serum 30min at RT. Then primary antibody (1% BSA) was incubated at 4°C overnight. The primary is detected by a Anti-Human lgG, Fcy Fragment Specific labeled by HRP and visualized using 0.05% DAB.
  • Immunofluorescence staining of NIH/3T3 cell with CSB-RA008424MA2HU at 1:30 ,counter-stained with DAPI. The cells were fixed in 4% formaldehyde, permeabilized using 0.2% Triton X-100 and blocked in 10% normal Goat Serum. The cells were then incubated with the antibody overnight at 4°C. The secondary antibody was Fluorescein (FITC) AffiniPure Goat Anti-Human IgG, Fcγ fragment specific.
  • Overlay Peak curve showing A431 cells stained with CSB-RA008424MA2HU (red line) at 1:100. The cells were fixed in 4% formaldehyde and permeated by 0.2% TritonX-100 for 10min. Then 10% normal goat serum to block non-specific protein-protein interactions followed by the antibody (1ug/1*106cells) for 45min at 4℃. The secondary antibody used was Fluorescein (FITC) AffiniPure Goat Anti-Human IgG, Fcγ fragment specific at 1:200 dilution for 35min at 4℃.Control antibody (green line) was human IgG1 (1ug/1*106cells) used under the same conditions. Acquisition of >10,000 events was performed.
Have Questions? Leave a Message or Start an on-line Chat

Product Details

Uniprot No.
Target Names
Alternative Names
170 kDa melanoma membrane bound gelatinase antibody; 170 kDa melanoma membrane-bound gelatinase antibody; DPPIV antibody; FAP antibody; FAPA antibody; Fibroblast activation protein alpha antibody; Integral membrane serine protease antibody; SEPR_HUMAN antibody; Seprase antibody
Species Reactivity
Human
Immunogen
Recombinant Human FAP protein
Immunogen Species
Homo sapiens (Human)
Conjugate
Non-conjugated
Clonality
Monoclonal
Isotype
hIgG1
Clone No.
19G5
Purification Method
Affinity-chromatography
Concentration
It differs from different batches. Please contact us to confirm it.
Buffer
Preservative: 0.03% Proclin 300
Constituents: 50% Glycerol, 0.01M PBS, PH 7.4
Form
Liquid
Tested Applications
ELISA, IHC, IF, FC
Recommended Dilution
Application Recommended Dilution
IHC 1:50-1:200
IF 1:50-1:200
FC 1:50-1:200
Troubleshooting and FAQs
Storage
Upon receipt, store at -20°C or -80°C. Avoid repeated freeze.
Lead Time
Basically, we can dispatch the products out in 1-3 working days after receiving your orders. Delivery time maybe differs from different purchasing way or location, please kindly consult your local distributors for specific delivery time.
Usage
For Research Use Only. Not for use in diagnostic or therapeutic procedures.

Customer Reviews and Q&A

 Customer Reviews

There are currently no reviews for this product.

Submit a Review here

Target Background

Function
Cell surface glycoprotein serine protease that participates in extracellular matrix degradation and involved in many cellular processes including tissue remodeling, fibrosis, wound healing, inflammation and tumor growth. Both plasma membrane and soluble forms exhibit post-proline cleaving endopeptidase activity, with a marked preference for Ala/Ser-Gly-Pro-Ser/Asn/Ala consensus sequences, on substrate such as alpha-2-antiplasmin SERPINF2 and SPRY2. Degrade also gelatin, heat-denatured type I collagen, but not native collagen type I and IV, vitronectin, tenascin, laminin, fibronectin, fibrin or casein. Also has dipeptidyl peptidase activity, exhibiting the ability to hydrolyze the prolyl bond two residues from the N-terminus of synthetic dipeptide substrates provided that the penultimate residue is proline, with a preference for Ala-Pro, Ile-Pro, Gly-Pro, Arg-Pro and Pro-Pro. Natural neuropeptide hormones for dipeptidyl peptidase are the neuropeptide Y (NPY), peptide YY (PYY), substance P (TAC1) and brain natriuretic peptide 32 (NPPB). The plasma membrane form, in association with either DPP4, PLAUR or integrins, is involved in the pericellular proteolysis of the extracellular matrix (ECM), and hence promotes cell adhesion, migration and invasion through the ECM. Plays a role in tissue remodeling during development and wound healing. Participates in the cell invasiveness towards the ECM in malignant melanoma cancers. Enhances tumor growth progression by increasing angiogenesis, collagen fiber degradation and apoptosis and by reducing antitumor response of the immune system. Promotes glioma cell invasion through the brain parenchyma by degrading the proteoglycan brevican. Acts as a tumor suppressor in melanocytic cells through regulation of cell proliferation and survival in a serine protease activity-independent manner.
Gene References into Functions
  1. FAP is virtually absent in normal tissues, but it is present in the embryonic and tumor tissues, which makes it a selective and versatile model. In this work, basic approaches to affecting the CAF using FAP as a target were discussed. PMID: 30383930
  2. In this study, authors confirm that FAPalpha can promote the generation of Tregs and TAMs, which suggests that FAPalpha plays a immunosuppressive role in the tumor microenvironment PMID: 29273462
  3. Mounting evidence supported that miR-30a-5p directly targetted FAP and suppressed its expression in oral cavity cancer cells (OSCCs). By suppressing FAP expression, miR-30a-5p significantly inhibited cell propagation, migration, and invasion. Therefore, miR-30a-5p might be a new therapeutic target for oral cancer treatment. PMID: 29026005
  4. These results revealed that FAPalpha promoted the growth, adhesion and migration of lung squamous cell carcinoma cells. In addition, FAPalpha regulated lung cancer cell function, potentially via the PI3K and SHH pathways. Further investigations are required to examine the role of FAPalpha in lung AC cells. PMID: 29115573
  5. Several isoforms of DPP-IV and FAP are present in glioblastoma tissue. The absence of alkaline isoforms of both enzymes in glioma cell lines however suggests that isoforms from other, most likely stromal, cell types contribute to the overall pattern seen in glioblastoma tissues. PMID: 28452380
  6. These results indicated that the low plasma FAPalpha level might due to the systemic reaction to the presence of tumor and circulating FAPalpha level might be a potential indicator for diagnosing ESCC. PMID: 28415791
  7. The predictors for FAP occurrence among desmoid tumor patients are large tumor size, intra-abdominal location, multiple tumors, and patient's young age. PMID: 28570749
  8. This evidence highly suggested that FAP is a potential prognosticator of GC patients and a target for synergizing with other treatments, especially immune checkpoint blockades in GC. PMID: 27983931
  9. Mutations to predicted TM interfacial residues (G10L, S14L, and A18L) comprising a small-X3-small motif reduced FAP TM-CYTO dimerization relative to wild type. Predicted off-interface residues showed no significant change from wild type. The interfacial TM residue G10L decreased FAP endopeptidase activity more than 25%, and reduced cell-surface versus intracellular expression relative to interfacial S14L and A18L. PMID: 27155568
  10. proCOL11A1, fibroblast-activated protein, secreted protein acidic and rich in cysteine, and periostin expression was significantly increased in the intratumoral stroma of pancreatic ductal adenocarcinomas compared to paired non-neoplastic pancreata PMID: 29025374
  11. Circulating FAP activity and antigen levels correlate strongly when measured in liver disease and coronary heart disease. PMID: 28582421
  12. Fibroblast activation protein (P=.00117) was stronger than grade and stage in predicting clinical aggressiveness in clear cell renal cell carcinoma. PMID: 27063470
  13. expression of FAP in primary tumors and in their metastases was associated both with synchronous metastases and also with metastases to the lymph nodes PMID: 28033421
  14. have identified fibroblast activation protein (FAP) as the endopeptidase responsible for this site-specific cleavage of human FGF21 (hFGF21), and propose that inhibition of FAP may be a therapeutic strategy to increase endogenous levels of active FGF21. PMID: 27118870
  15. DPP4 activity and/or structure homologue (DASH) proteins are involved in many pathophysiological processes and have therefore been proposed for potential biomarkers or even drug targets in various cancers (DPP4 and FAP). (Review) PMID: 26671446
  16. FAP expression is significantly upregulated in human masticatory mucosa during wound healing PMID: 28005267
  17. Expression of FAPalpha in stroma was associated with distant metastasis of breast phyllodes tumor. PMID: 27881889
  18. High FAPalpha expression is associated with glioblastoma. PMID: 27492457
  19. Increased FAPalpha expression is associated with thyroid papillary carcinoma. PMID: 26715280
  20. The level of FAP expression in NGP-127, SJCRH30, and SJSA-1 lines as well as in cancer-associated fibroblasts of patients was comparable, which makes these cell lines a possible model for studying FAP PMID: 27817025
  21. NPY is efficiently cleaved by FAP indicating a potential function for FAP in neuropeptide regulation within liver and cancer biology. PMID: 26621486
  22. degradomic study highlights cell-contextual proteolysis by FAPalpha with distinct positional profiles. Generally, our findings link FAPalpha to key aspects of CAF biology and attribute an important role in tumor-stroma interaction to FAPalpha PMID: 26304112
  23. Data suggest that a DNA vaccine targeting human fibroblast activation protein alpha (FAPalpha) may be an attractive and effective cancer immunotherapy strategy. PMID: 27020681
  24. In this study, we show for the first time the expression of FAP in activated fibroblasts after MI and its activation by TGFbeta1. Effects of FAP on fibroblast migration and gelatinolytic activity indicate a potential role in cardiac wound healing PMID: 26319660
  25. the circulating protease, fibroblast activation protein, is the proteolytic enzyme responsible for hFGF21 inactivation. PMID: 26635356
  26. FAP is expressed by activated, collagen-synthesizing fibroblasts, but not by inactive fibroblasts or fully differentiated myofibroblasts and non-fibroblast cells in the infarct. PMID: 26454160
  27. This study identified fibroblast activation protein (FAP) as the enzyme that cleaves and inactivates human FGF21. PMID: 26797127
  28. Human FGF-21 Is a Substrate of Fibroblast Activation Protein. PMID: 26962859
  29. FAP selectively cleaves type I collagen resulting in increased macrophage adhesion. PMID: 26934296
  30. FAP sensitizes fibrosarcoma to chemotherapy and alters cell death. PMID: 26342814
  31. Data show that FAP and DPP4 proteins were simultaneously induced in dedifferentiating mature adipocytes supporting a potential role for these enzymes in adipose tissue remodeling and cell plasticity. PMID: 25816202
  32. FAP expression is associated with worse prognosis in solid tumors PMID: 25775399
  33. Deficiency of FAP promoted proteoglycan loss and cartilage degradation in chronic inflammatory arthritis. PMID: 25600705
  34. Demonstrate co-expression of FAP and DPP-IV in pancreatic alpha cells in adult humans. PMID: 25361590
  35. Expression of CCN2, EMA, and FAP may be involved in the activation of cancer associated fibroblasts in hepatocellular carcinoma. PMID: 25126747
  36. Immunofluorescence optical sectioning microscopy of FAPalpha and lipid raft markers further corroborates recruitment of FAPalpha to lipid rafts and invadopodia. PMID: 26209915
  37. High FAP expression is associated with increased metastasis. PMID: 25995078
  38. Soluble fibroblast activation protein plasma levels were reduced in coronary heart disease. PMID: 25464232
  39. Expression of TGF-beta1 is positively related with FAP-alpha expression in primary breast tumors. PMID: 25744843
  40. knockdown of FAP inactivated PTEN/PI3K/AKT and Ras-ERK and its downstream signaling regulating proliferation, migration, and invasion in oral squamous cell carcinoma cells. PMID: 24722280
  41. substrate repertoire and expression patterns of FAP PMID: 24470260
  42. An association was made with circulating levels of FAPalpha and prognosis in acute coronary syndrome. PMID: 23932048
  43. In vitro, FAP-alpha promotes proliferation and inhibits migration of breast cancer cells, potentially by regulating the FAK pathway. PMID: 24885257
  44. The study emphasized FAP as a marker for cutaneous epithelial malignancy and confirmed its diagnostic usefulness in the distinction of Basal cell carcinoma from Trichoepithelioma, and Squamous cell carcinoma from Pseudoepitheliomatous hyperplasia PMID: 24595644
  45. A positive correlation between the expression of FAP-alpha and DPPIV and the activity of both gelatinases was found. PMID: 24789592
  46. IHC revealed protein expression of all four genes. IHC staining for ADAM12, FAP, and WISP1 correlated with CDR and was higher, whereas SOX11 staining was lower in tumors with earlier recurrence following excision PMID: 24402778
  47. FAP is essential for the migration of bone marrow mesenchymal stem cells through RhoA activation. PMID: 24551161
  48. We found that seprase is transcriptionally up-regulated in invasive melanoma cells via the canonical TGF-beta signaling pathway, supporting the roles of both TGF-beta and seprase in tumor invasion and metastasis. PMID: 24727589
  49. C1088T variant in fibroblast activation protein is associated with ER stress, loss of enzymatic function and loss of cell surface localisation. PMID: 24717288
  50. results suggested that FAPalpha might directly promote tumor growth and invasiveness in ovarian cancer cells PMID: 24028972

Show More

Hide All

Subcellular Location
[Prolyl endopeptidase FAP]: Cell surface. Cell membrane; Single-pass type II membrane protein. Cell projection, lamellipodium membrane; Single-pass type II membrane protein. Cell projection, invadopodium membrane; Single-pass type II membrane protein. Cell projection, ruffle membrane; Single-pass type II membrane protein. Membrane; Single-pass type II membrane protein.; [Antiplasmin-cleaving enzyme FAP, soluble form]: Secreted.; [Isoform 2]: Cytoplasm.
Protein Families
Peptidase S9B family
Tissue Specificity
Expressed in adipose tissue. Expressed in the dermal fibroblasts in the fetal skin. Expressed in the granulation tissue of healing wounds and on reactive stromal fibroblast in epithelial cancers. Expressed in activated fibroblast-like synoviocytes from in
Database Links

HGNC: 3590

OMIM: 600403

KEGG: hsa:2191

STRING: 9606.ENSP00000188790

UniGene: Hs.654370

CUSABIO guaranteed quality
icon of phone
Call us
301-363-4651 (Available 9 a.m. to 5 p.m. CST from Monday to Friday)
icon of address
Address
7505 Fannin St., Ste 610, Room 7 (CUBIO Innovation Center), Houston, TX 77054, USA
icon of social media
Join us with

Subscribe newsletter

Leave a message

* To protect against spam, please pass the CAPTCHA test below.
CAPTCHA verification
© 2007-2025 CUSABIO TECHNOLOGY LLC All rights reserved. 鄂ICP备15011166号-1
×
Place an order now

I. Product details

*
*
*
*

II. Contact details

*
*

III. Ship To

*
*
*
*
*
*
*

IV. Bill To

*
*
*
*
*
*
*
*