GCSAM Recombinant Monoclonal Antibody

Code CSB-RA440526A0HU
Size US$210
Order now
Image
  • Western Blot
    , Positive WB detected in:Raji whole cell lysate(30µg)
    All lanes: GCSAM antibody at 1:1000
    Secondary
    Goat polyclonal to rabbit IgG at 1/40000 dilution
    Predicted band size: 21 kDa
    Observed band size: 21 kDa
    Exposure time:120s
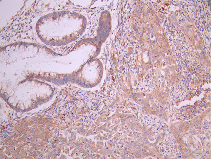
  • IHC image of CSB-RA440526A0HU diluted at 1:100 and staining in paraffin-embedded human gastric cancer performed on a Leica BondTM system. After dewaxing and hydration, antigen retrieval was mediated by high pressure in a citrate buffer (pH 6.0). Section was blocked with 10% normal goat serum 30min at RT. Then primary antibody (1% BSA) was incubated at 4°C overnight. The primary is detected by a Goat anti-rabbit polymer IgG labeled by HRP and visualized using 0.05% DAB.
  • Overlay Peak curve showing Raji cells stained with CSB-RA440526A0HU (red line) at 1:100. The cells were fixed in 4% formaldehyde and permeated by 0.2% TritonX-100 for 10min. Then 10% normal goat serum to block non-specific protein-protein interactions followed by the antibody (1ug/1*106cells) for 45min at 4℃. The secondary antibody used was FITC-conjugated goat anti-rabbit IgG (H+L) at 1/200 dilution for 35min at 4℃.Control antibody (green line) was Rabbit IgG (1ug/1*106cells) used under the same conditions. Acquisition of >10, 000 events was performed.
Have Questions? Leave a Message or Start an on-line Chat

Product Details

Uniprot No.
Target Names
GCSAM
Alternative Names
GCAT2 antibody; Gcet antibody; GCET2 germinal center expressed transcript 2 antibody; GCET2 germinal centre expressed transcript 2 antibody; Gcsam antibody; GCSAM_HUMAN antibody; Germinal center associated lymphoma antibody; Germinal center associated lymphoma protein antibody; Germinal center B cell associated protein 2 antibody; Germinal center B-cell-expressed transcript 2 protein antibody; Germinal center expressed transcript 2 antibody; Germinal center-associated lymphoma protein antibody; Germinal center-associated signaling and motility protein antibody; Germinal centre associated lymphoma antibody; Germinal centre associated lymphoma protein antibody; Germinal centre B cell associated protein 2 antibody; Germinal centre expressed transcript 2 antibody; hGAL antibody; M17 antibody; M17 L antibody
Species Reactivity
Human
Immunogen
A synthesized peptide from human GCSAM protein
Immunogen Species
Homo sapiens (Human)
Conjugate
Non-conjugated
Clonality
Monoclonal
Isotype
Rabbit IgG
Clone No.
25B7
Purification Method
Affinity-chromatography
Concentration
It differs from different batches. Please contact us to confirm it.
Buffer
Rabbit IgG in 10mM phosphate buffered saline , pH 7.4, 150mM sodium chloride, 0.05% BSA, 0.02% sodium azide and 50% glycerol.
Form
Liquid
Tested Applications
ELISA, WB, IHC, FC
Recommended Dilution
Application Recommended Dilution
WB 1:500-1:5000
IHC 1:50-1:200
FC 1:50-1:200
Troubleshooting and FAQs
Storage
Upon receipt, store at -20°C or -80°C. Avoid repeated freeze.
Lead Time
Basically, we can dispatch the products out in 1-3 working days after receiving your orders. Delivery time maybe differs from different purchasing way or location, please kindly consult your local distributors for specific delivery time.
Usage
For Research Use Only. Not for use in diagnostic or therapeutic procedures.

Customer Reviews and Q&A

 Customer Reviews

There are currently no reviews for this product.

Submit a Review here

Target Background

Function
Involved in the negative regulation of lymphocyte motility. It mediates the migration-inhibitory effects of IL6. Serves as a positive regulator of the RhoA signaling pathway. Enhancement of RhoA activation results in inhibition of lymphocyte and lymphoma cell motility by activation of its downstream effector ROCK. Is a regulator of B-cell receptor signaling, that acts through SYK kinase activation.
Gene References into Functions
  1. Diagnostic Utility of the Germinal Center-associated Markers GCET1, HGAL, and LMO2 in Hematolymphoid Neoplasms. PMID: 25203428
  2. These findings further elucidate the growing and complex role of HGAL in B-cell biology and suggest that membrane-bound and cytoplasmic HGAL protein differently regulates distinct biological processes. PMID: 25381061
  3. HGAL and LMO2 may be useful adjuncts in the identification of follicular lymphoma of the nongastric gastrointestinal tract. PMID: 22914613
  4. the germinal centre protein human germinal centre-associated lymphoma regulates B-cell receptor signalling in B-lymphocytes which, without appropriate control, may lead to B-cell lymphoproliferation. PMID: 23299888
  5. HGAL/GCET2 protein expression may function as a marker for germinal center B-cell type diffuse large B-cell lymphoma. PMID: 22743653
  6. Immunostaining for HGAL was more frequently positive than that for BCL6 and CD10 in follicular lymphomas PMID: 21988858
  7. Data suggest that both HGAL and LMO2 are directly regulated by the transcription repressor PRDM1--overexpression of PRDM1 down-regulates HGAL and LMO2; PRDM1 directly binds to promoters of both HGAL and LMO2 and represses genetic transcription. PMID: 21722313
  8. necessary for germinal center maintenance and confining B-cells to the germinal center microenvironment PMID: 21475040
  9. show that HGAL increases the binding of myosin to F-actin and inhibits the ability of myosin to translocate actin by reducing the maximal velocity of myosin head/actin movement PMID: 21447067
  10. HGAL is sensitive and specific marker for detecting follicular lymphoma in nodal and extranodal sites PMID: 21502424
  11. molecular mechanism underlying the inhibitory effects of germinal center-specific HGAL protein on the motility of GC-derived lymphoma cells PMID: 20844236
  12. Our results show that HGAL and LMO2 are sensitive markers for follicular lymphoma diagnosis. PMID: 20697248
  13. Study confirms and validates findings of a correlation between HGAL expression and outcome in classical HL. PMID: 19883310
  14. gene is induced by IL4 and expression strongly predicts survival in diffuse large B-cell lymphoma PMID: 12509382
  15. Results report the cloning of germinal center B-cell expressed transcripts 1 and 2 (GCET1 and 2), and show that both are expressed in follicular lymphoma and diffuse large B-cell lymphoma with germinal center B-cell differentiation PMID: 12819018
  16. The restricted expression and germinal center specificity of HGAL protein suggest that it may have an important role in the diagnosis of specific lymphomas PMID: 15677569
  17. HGAL is involved in negative regulation of lymphocyte migration, thus constraining lymphocytes to the germinal center PMID: 17823310
  18. The correlation of HGAL expression with the germinal center B-cell phenotype demonstrates the role of this marker in the classification of cutaneous large B-cell lymphomas PMID: 18264083
  19. results report the cloning of HGAL, a germinal center its expression pattern in normal tissues and hematologic malignancies, its induction by IL4, and the prognostic significance of its expression in predicting survival in diffuse large B-cell lymphoma PMID: 12509382

Show More

Hide All

Subcellular Location
Cytoplasm. Cell membrane. Note=It relocalizes from the cytoplasm to podosome-like structures upon cell treatment with IL6.
Tissue Specificity
Expressed in diffuse large B-cell lymphoma (DLBCL) and several germinal center (GC)-like lymphoma cell lines (at protein level). Highly expressed in normal GC lymphocytes and GC-derived malignancies. Expressed in thymus and spleen.
Database Links

HGNC: 20253

OMIM: 607792

KEGG: hsa:257144

STRING: 9606.ENSP00000419485

UniGene: Hs.49614

icon of phone
Call us
301-363-4651 (Available 9 a.m. to 5 p.m. CST from Monday to Friday)
icon of address
Address
7505 Fannin St., Ste 610, Room 7 (CUBIO Innovation Center), Houston, TX 77054, USA
icon of social media
Join us with

Subscribe newsletter

Leave a message

* To protect against spam, please pass the CAPTCHA test below.
CAPTCHA verification
© 2007-2025 CUSABIO TECHNOLOGY LLC All rights reserved. 鄂ICP备15011166号-1
×
Place an order now

I. Product details

*
*
*
*

II. Contact details

*
*

III. Ship To

*
*
*
*
*
*
*

IV. Bill To

*
*
*
*
*
*
*
*