HAPLN1 Recombinant Monoclonal Antibody

Code CSB-RA179147A0HU
Size US$210
Order now
Image
  • Western Blot
    , Positive WB detected in:COLO205 whole cell lysate(30µg), MCF7 whole cell lysate(30µg), U87 whole cell lysate(30µg), SH-SY5Y whole cell lysate(30µg), A2780 whole cell lysate(30µg), Mouse brainr tissue lysate(30µg), Rat brain lysate(30µg)
    All lanes: HAPLN1 antibody at 1:1000
    Secondary
    Goat polyclonal to rabbit IgG at 1/40000 dilution
    Predicted band size: 40 kDa
    Observed band size: 48 kDa
    Exposure time:120s
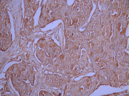
  • IHC image of CSB-RA179147A0HU diluted at 1:100 and staining in paraffin-embedded human melanoma cancer performed on a Leica BondTM system. After dewaxing and hydration, antigen retrieval was mediated by high pressure in a citrate buffer (pH 6.0). Section was blocked with 10% normal goat serum 30min at RT. Then primary antibody (1% BSA) was incubated at 4°C overnight. The primary is detected by a Goat anti-rabbit polymer IgG labeled by HRP and visualized using 0.05% DAB.
  • Overlay Peak curve showing HepG2 cells stained with CSB-RA179147A0HU (red line) at 1:100. The cells were fixed in 4% formaldehyde and permeated by 0.2% TritonX-100 for 10min. Then 10% normal goat serum to block non-specific protein-protein interactions followed by the antibody (1ug/1*106cells) for 45min at 4℃. The secondary antibody used was FITC-conjugated goat anti-rabbit IgG (H+L) at 1/200 dilution for 35min at 4℃.Control antibody (green line) was Rabbit IgG (1ug/1*106cells) used under the same conditions. Acquisition of >10, 000 events was performed.
Have Questions? Leave a Message or Start an on-line Chat

Product Details

Uniprot No.
Target Names
HAPLN1
Alternative Names
Cartilage link protein antibody; cartilage linking protein 1 antibody; Cartilage-link protein antibody; Cartilage-linking protein 1 antibody; CLP antibody; CRTL1 antibody; Crtl1l antibody; HAPLN1 antibody; HPLN1_HUMAN antibody; Hyaluronan and proteoglycan link protein 1 antibody; Hyaluronan and proteoglycan link protein 1 precursor antibody; LP antibody; Proteoglycan link protein antibody
Species Reactivity
Human, Mouse, Rat
Immunogen
A synthesized peptide from human HAPLN1 protein
Immunogen Species
Homo sapiens (Human)
Conjugate
Non-conjugated
Clonality
Monoclonal
Isotype
Rabbit IgG
Clone No.
8F4
Purification Method
Affinity-chromatography
Concentration
It differs from different batches. Please contact us to confirm it.
Buffer
Rabbit IgG in 10mM phosphate buffered saline , pH 7.4, 150mM sodium chloride, 0.05% BSA, 0.02% sodium azide and 50% glycerol.
Form
Liquid
Tested Applications
ELISA, WB, IHC, FC
Recommended Dilution
Application Recommended Dilution
WB 1:500-1:5000
IHC 1:50-1:200
FC 1:50-1:200
Troubleshooting and FAQs
Storage
Upon receipt, store at -20°C or -80°C. Avoid repeated freeze.
Lead Time
Basically, we can dispatch the products out in 1-3 working days after receiving your orders. Delivery time maybe differs from different purchasing way or location, please kindly consult your local distributors for specific delivery time.
Usage
For Research Use Only. Not for use in diagnostic or therapeutic procedures.

Customer Reviews and Q&A

 Customer Reviews

There are currently no reviews for this product.

Submit a Review here

Target Background

Function
Stabilizes the aggregates of proteoglycan monomers with hyaluronic acid in the extracellular cartilage matrix.
Gene References into Functions
  1. HAPLN1 reflects a signaling network leading to stemness, mesenchymal commitment and hepatocellular carcinoma progression PMID: 27191501
  2. CSGalNAcT-1 and Hapln-1 may play important roles in the pathogenesis of Kashin-Beck disease and osteoarthritis. PMID: 23748413
  3. HAPLN1 is overexpressed in metastatic melanoma and is secreted exclusively by the tumor cells PMID: 22159717
  4. Single-nucleotide polymorphism in the hyaluronan and proteoglycan link protein 1 (HAPLN1) gene is associated with spinal osteophyte formation and disc degeneration in Japanese women. PMID: 20953637
  5. An in vitro model of perineuronal nets has been developed demonstrating that cartilage link protein (along with hyaluronan synthase) are necessary for their formation. PMID: 20584105
  6. link protein may function as a stabilizer of the interaction between aggrecan and hyaluronan in cartilage and between versican and hyaluronan in many tissues PMID: 14724283
  7. SOX9 is a key regulator of CRTL1 PMID: 15456769
  8. cLP and versican did not bind directly to each other in solution yet formed ternary complexes with hyaluronan PMID: 15590670
  9. Overexpression of HAPLN1 and its SP-IgV domain increases tumorigenic properties of mesothelioma. Thus, targeting the SP-IgV domain may be one of the therapeutic approaches in cancer treatment. PMID: 19351750

Show More

Hide All

Subcellular Location
Secreted, extracellular space, extracellular matrix.
Protein Families
HAPLN family
Tissue Specificity
Widely expressed. Weakly expressed in the brain.
Database Links

HGNC: 2380

OMIM: 115435

KEGG: hsa:1404

STRING: 9606.ENSP00000274341

UniGene: Hs.2799

icon of phone
Call us
301-363-4651 (Available 9 a.m. to 5 p.m. CST from Monday to Friday)
icon of address
Address
7505 Fannin St., Ste 610, Room 7 (CUBIO Innovation Center), Houston, TX 77054, USA
icon of social media
Join us with

Subscribe newsletter

Leave a message

* To protect against spam, please pass the CAPTCHA test below.
CAPTCHA verification
© 2007-2025 CUSABIO TECHNOLOGY LLC All rights reserved. 鄂ICP备15011166号-1
×
Place an order now

I. Product details

*
*
*
*

II. Contact details

*
*

III. Ship To

*
*
*
*
*
*
*

IV. Bill To

*
*
*
*
*
*
*
*