IL1RL1 (melrilimab) Recombinant Monoclonal Antibody

Code CSB-RA011626MA2HU
Size US$210
Order now
Image
  • The Binding Activity of Human IL1RL1 with Anti-IL1RL1 recombinant antibody
    Activity: Measured by its binding ability in a functional ELISA.Immobilized Human IL1RL1(CSB-MP011626HU) at 2 μg/mL can bind Anti-IL1RL1 recombinant antibody. The EC50 is 11.85-13.96 ng/mL.
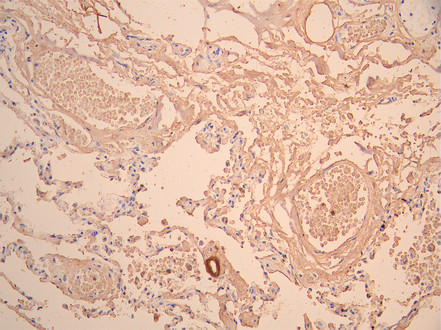
  • IHC image of CSB-RA011626MA2HU diluted at 1:50 and staining in paraffin-embedded human lung tissue performed on a Leica BondTM system. After dewaxing and hydration, antigen retrieval was mediated by high pressure in a citrate buffer (pH 6.0). Section was blocked with 10% normal goat serum 30min at RT. Then primary antibody (1% BSA) was incubated at 4°C overnight. The primary is detected by a Anti-Human lgG, Fcy Fragment Specific labeled by HRP and visualized using 0.05% DAB.
Have Questions? Leave a Message or Start an on-line Chat

Product Details

Uniprot No.
Target Names
Alternative Names
DER-4 antibody; DER4 antibody; FIT 1 antibody; Growth stimulation expressed antibody; homolog of mouse growth stimulation-expressed antibody; Il1rl1 antibody; IL33R antibody; ILRL1_HUMAN antibody; Interleukin 1 receptor like 1 antibody; interleukin 1 receptor related protein antibody; Interleukin-1 receptor-like 1 antibody; Protein ST2 antibody; ST2 antibody; ST2L antibody; ST2V antibody; T1 antibody; T1 protein antibody
Species Reactivity
Human
Immunogen
Recombinant Human IL1RL1 protein
Immunogen Species
Homo sapiens (Human)
Conjugate
Non-conjugated
Clonality
Monoclonal
Isotype
hIgG1
Clone No.
9H3
Purification Method
Affinity-chromatography
Concentration
It differs from different batches. Please contact us to confirm it.
Buffer
Preservative: 0.03% Proclin 300
Constituents: 50% Glycerol, 0.01M PBS, PH 7.4
Form
Liquid
Tested Applications
ELISA, IHC
Recommended Dilution
Application Recommended Dilution
ELISA 1:5000-1:50000
IHC 1:50-1:200
Troubleshooting and FAQs
Storage
Upon receipt, store at -20°C or -80°C. Avoid repeated freeze.
Lead Time
Basically, we can dispatch the products out in 1-3 working days after receiving your orders. Delivery time maybe differs from different purchasing way or location, please kindly consult your local distributors for specific delivery time.
Usage
For Research Use Only. Not for use in diagnostic or therapeutic procedures.

Customer Reviews and Q&A

 Customer Reviews

There are currently no reviews for this product.

Submit a Review here

Target Background

Function
Receptor for interleukin-33 (IL-33); signaling requires association of the coreceptor IL1RAP. Its stimulation recruits MYD88, IRAK1, IRAK4, and TRAF6, followed by phosphorylation of MAPK3/ERK1 and/or MAPK1/ERK2, MAPK14, and MAPK8. Possibly involved in helper T-cell function.; Inhibits IL-33 signaling.
Gene References into Functions
  1. Patients with heart failure and type 2 diabetes mellitus with AGT TT + MT genotype had a higher level of ST2 and a higher probability of unfavorable cardiovascular events during 24 months of observation compared with MM genotype carriers. PMID: 29578435
  2. IL33R was found induced in the blood of asthmatic children with additional gram-positive bacteria in the nasopharynx. PMID: 28262704
  3. Higher IL-33 and lower s-ST2 receptor baseline serum levels were detected in Pru p 3--sensitized allergic patients (SAP). IL-33/s-ST2 ratio is increased in Pru p 3-SAP and more in patients who experienced severe systemic symptoms. PMID: 29774370
  4. sST2 is downregulated in high-metastatic cells compared with low-metastatic human and mouse CRC cells. Knockdown of sST2 in low-metastatic cells enhances tumour growth, metastasis and tumour angiogenesis, whereas its overexpression in high-metastatic cells suppresses these processes. PMID: 27882929
  5. IL-33 promotes Renal Cell Carcinoma cell proliferation and chemotherapy resistance via its receptor ST2 and the JNK signaling activation in tumor cells. PMID: 29763892
  6. sST2 in preschool wheezers has predictive value for the development of eosinophilic airway inflammation in asthmatic children at school age. PMID: 28440062
  7. Findings indicate that IL33 may be involved in the process of glioma cell invasion and migration by upregulating MMP2 and MMP9 via the ST2-NF-kappaB signaling pathway. PMID: 28849217
  8. is involved in Th2 inflammation including eosinophil activation. Single nucleotide polymorphisms (SNPs) of the IL1RL1 gene are associated with asthma development and increased peripheral blood eosinophil counts. PMID: 29153414
  9. Findings indicate that IL-10 act as a negative regulator of IL-33/ST2 signaling pathways in vivo. PMID: 28415811
  10. Foxp3(+) cells in the brains of Multiple sclerosis patients predominantly produce interleukin-10 (IL-10) and show high expression of the IL-33 receptor ST2. PMID: 28169287
  11. In patients with stable mild to moderate chronic heart failure with reduced ventricular ejection fraction, a single measurement of sST2 protein and glucose were independent variables for hospitalization due to worsening CHF over a 1-year follow-up period. PMID: 29068593
  12. present study highlights significant associations between ST2 and inflammatory bowel disease. PMID: 27001944
  13. Data show that interleukin-2 receptor alpha, tumor necrosis factor receptor 1, serum STimulation-2 (IL1RL1 gene product), and regenerating islet-derived 3-alpha were significantly associated with non-relapse mortality. PMID: 28126963
  14. Serum IL-33 and sST2 levels, and CD4+ST2L+ expression in peripheral blood mononuclear cells are closely associated with HIV-1 infection and immune reconstitution in patients received highly-active antiretroviral therapy. PMID: 28466817
  15. Elevated levels of sST2 concentration in stable coronary heart disease patients may independently predict short- and long-term risk for fatal CVD events and total mortality but not non-fatal CVD events. PMID: 28283847
  16. Patients with severe aortic valve stenosis present elevated sST2 levels. Left ventricular global longitudinal strain resulted the only independent predictor of sST2 levels. PMID: 28664478
  17. The Il1RL1 rs950880 AA homozygote is an independent predictor of all-cause mortality in coronary artery disease and peripheral arterial disease patients. PMID: 28110258
  18. In a cohort of hypertensive heart failure subjects, soluble ST2 correlates significantly with indicators of right ventricular function. PMID: 28860791
  19. Data provide evidence that increased IL-33/ST2 levels in patients with chronic kidney disease are an indicator of increased inflammation, impaired endothelial functions, and cardiovascular events. PMID: 28614418
  20. Serum levels of IL33R were positively correlated with cognitive performance in patients with schizophrenia. PMID: 28126482
  21. Interleukin 1 receptor-like 1 (ST2/IL1RL1) is a biomarker for cardiac stress and heart failure, which can be associated with cocaine use. Data suggest that serum ST2/IL1RL1 levels are up-regulated by cocaine use; cocaine use appears to be associated with subclinical cardiac stress and damage outside of acute cardiac events; elevated serum ST2/IL1RL1 levels may serve as biomarkers for cocaine-induced cardiac complications. PMID: 28442257
  22. Preterm labor was associated with diminished expression of the alpha-chain of IL-33 receptor on choriodecidual B cells. PMID: 27918564
  23. Study found that macrophages expressed ST2L with a membrane pattern. The membrane pattern of ST2L was strongly expressed if the macrophages infiltrating the shoulder region of the plaque had an epithelioid aspect suggesting its possible role in the pathogenetic mechanisms of atherosclerotic lesions progression and rupture. PMID: 27223112
  24. The higher levels of IL-33 and its receptor ST2 in tissue and serum reflect an active inflammatory state and may represent a potential biomarker for disease activity. PMID: 26343805
  25. The genetic risk score for rs1041973 and rs16924161 demonstrated a higher risk for SPT positivity against B. tropicalis, the greater the number of risk alleles for both SNPs. Our findings demonstrate a robust association of genetic variants in IL1RL1 and IL33 SNPs with allergy markers and asthma. PMID: 28266165
  26. Increased sST2 and IL-10 but not IL-33 may be involved in the pathogenic process of IgAN. PMID: 27900334
  27. No significant differences in genotypic and allelic frequencies of thers13015714 in interleukin 1 receptor like 1 was observed between cases and controls and between mild/severe and early/late-onset Preeclampsia. PMID: 27023364
  28. IL-33 and ST2 are expressed in periapical granulomas and radicular cysts. PMID: 25677987
  29. An hyperexpression of soluble ST2 was found in Sjogren syndrome patients. PMID: 27097949
  30. ST2 is associated with advanced and metastatic disease in GC patients and significantly correlates with the duration of the disease. PMID: 26835712
  31. In patients with endometriosis, ST2 was positively associated with VAS score. PMID: 25069762
  32. rs1558641 was positively associated with atopic asthma in a Chinese population. PMID: 26493291
  33. two new polymorphisms in the distal promoter region of the ST2 gene that possibly influence susceptibility to severe coronary artery disease PMID: 20602249
  34. IL-33 and ST2 can be detected in lysates from both normal and pre-eclampsia placentas PMID: 21949719
  35. in an unselected cohort of patients admitted to the ICU, sST2 was an independent predictor of 90-day all-cause mortality PMID: 22155704
  36. The pro-T helper (Th)2 cell effects of mature IL-33 are due to differential utilization of the interleukin (IL)-33 receptor chain ST2, whereas their similar effects result from regulation of gene expression. PMID: 22634619
  37. Expression of IL-33 receptor ST2 in human adipose tissue is increased by severe obesity indicating an autocrine action. Thus, the adipose tissue microvasculature could participate in obesity-associated inflammation and related complications via IL-33/ST2. PMID: 22828942
  38. Elevated serum ST2 (and IL-33) were both associated with increased mortality in myocardial infarction patients. PMID: 22835988
  39. Serum soluble ST2 levels are increased in patients with pulmonary arterial hypertension. PMID: 23290950
  40. Soluble ST2 measurement provides diagnosis of stable heart failure in hypertensive patients. PMID: 23482076
  41. human cardiac and vascular cells have different distribution patterns of ST2 isoforms (sST2 and transmembrane ST2L) mRNA expression and produce different amounts of sST2 protein. PMID: 23567618
  42. A significant correlation was found between TNF-alpha and IL-33 mRNA expression in the asthmatic subjects. PMID: 23855553
  43. IL-33/sST2 may be involved in the pathogenesis of primary Sjogren's Syndrome (pSS) and partly contribute to the interstitial lung disease (ILD) in pSS patients. PMID: 23910012
  44. ST2 levels measured at the initiation of therapy for GVHD and during the first month after transplantation improved risk stratification for treatment-resistant GVHD and death without relapse after transplantation. PMID: 23924003
  45. Genetic variation in IL1RL1 can result in increased levels of ST2 and alter immune and inflammatory signaling through the ST2/IL-33 pathway. PMID: 23999434
  46. ST2 blood levels are higher in nonsurvivors than in surviving heart failure patients. PMID: 24239955
  47. Soluble ST2 serum levels improve long-term prediction in patients with renal insufficiency even more than in the total cohort. PMID: 24263122
  48. uPAR, IL-33, and ST2 values as a predictor of subclinical chorioamnionitis in preterm premature rupture of membranes. PMID: 24304137
  49. Serum ST2 levels were increased, and salivary gland expression was downregulated in patients with primary Sjogren's syndrome. PMID: 24385203
  50. increased sST2 was an independent predictor of long-term all-cause mortality PMID: 24401186

Show More

Hide All

Subcellular Location
[Isoform C]: Cell membrane.; [Isoform B]: Secreted.; Cell membrane; Single-pass type I membrane protein.
Protein Families
Interleukin-1 receptor family
Tissue Specificity
Highly expressed in kidney, lung, placenta, stomach, skeletal muscle, colon and small intestine. Isoform A is prevalently expressed in the lung, testis, placenta, stomach and colon. Isoform B is more abundant in the brain, kidney and the liver. Isoform C
Database Links

HGNC: 5998

OMIM: 601203

KEGG: hsa:9173

STRING: 9606.ENSP00000233954

UniGene: Hs.66

icon of phone
Call us
301-363-4651 (Available 9 a.m. to 5 p.m. CST from Monday to Friday)
icon of address
Address
7505 Fannin St., Ste 610, Room 7 (CUBIO Innovation Center), Houston, TX 77054, USA
icon of social media
Join us with

Subscribe newsletter

Leave a message

* To protect against spam, please pass the CAPTCHA test below.
CAPTCHA verification
© 2007-2025 CUSABIO TECHNOLOGY LLC All rights reserved. 鄂ICP备15011166号-1
×
Place an order now

I. Product details

*
*
*
*

II. Contact details

*
*

III. Ship To

*
*
*
*
*
*
*

IV. Bill To

*
*
*
*
*
*
*
*