KLF4 Recombinant Monoclonal Antibody

Code CSB-RA194949A0HU
Size US$210
Order now
Image
  • Western Blot
    Positive WB detected in: Hela whole cell lysate, 293T whole cell lysate, PC-3 whole cell lysate, MCF-7 whole cell lysate, A549 whole cell lysate, U87 whole cell lysate, Brain tissue
    All lanes: KLF4 antibody at 1:1500
    Secondary
    Goat polyclonal to rabbit IgG at 1/50000 dilution
    Predicted band size: 55, 52, 46, 13, 7 kDa
    Observed band size: 55 kDa
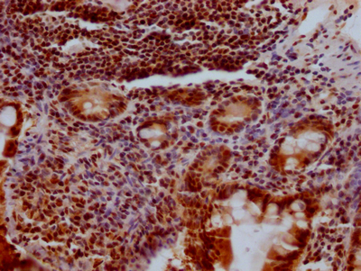
  • IHC image of CSB-RA194949A0HU diluted at 1:100 and staining in paraffin-embedded human small intestine tissue performed on a Leica BondTM system. After dewaxing and hydration, antigen retrieval was mediated by high pressure in a citrate buffer (pH 6.0). Section was blocked with 10% normal goat serum 30min at RT. Then primary antibody (1% BSA) was incubated at 4℃ overnight. The primary is detected by a Goat anti-rabbit IgG polymer labeled by HRP and visualized using 0.05% DAB.
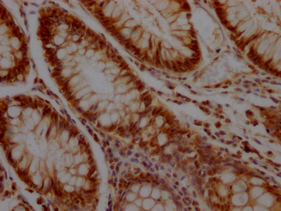
  • IHC image of CSB-RA194949A0HU diluted at 1:100 and staining in paraffin-embedded human colon cancer performed on a Leica BondTM system. After dewaxing and hydration, antigen retrieval was mediated by high pressure in a citrate buffer (pH 6.0). Section was blocked with 10% normal goat serum 30min at RT. Then primary antibody (1% BSA) was incubated at 4℃ overnight. The primary is detected by a Goat anti-rabbit IgG polymer labeled by HRP and visualized using 0.05% DAB.
  • Immunofluorescence staining of Hela Cells with CSB-RA194949A0HU at 1:50, counter-stained with DAPI. The cells were fixed in 4% formaldehyde, permeated by 0.2% TritonX-100, and blocked in 10% normal Goat Serum. The cells were then incubated with the antibody overnight at 4℃. Nuclear DNA was labeled in blue with DAPI. The secondary antibody was FITC-conjugated AffiniPure Goat Anti-Rabbit IgG (H+L).
  • Immunoprecipitating KLF4 in Hela whole cell lysate
    Lane 1: Rabbit control IgG instead of CSB-RA194949A0HU in Hela whole cell lysate. For western blotting,a HRP-conjugated Protein G antibody was used as the secondary antibody (1/2000)
    Lane 2: CSB-RA194949A0HU(2µg)+ Hela whole cell lysate(500µg)
    Lane 3: Hela whole cell lysate (10µg)
Have Questions? Leave a Message or Start an on-line Chat

Product Details

Uniprot No.
Target Names
Alternative Names
Krueppel-like factor 4 (Epithelial zinc finger protein EZF) (Gut-enriched krueppel-like factor), KLF4, EZF GKLF
Species Reactivity
Human
Immunogen
A synthesized peptide derived from human KLF4
Immunogen Species
Homo sapiens (Human)
Conjugate
Non-conjugated
Clonality
Monoclonal
Isotype
Rabbit IgG
Clone No.
3A1
Purification Method
Affinity-chromatography
Concentration
It differs from different batches. Please contact us to confirm it.
Buffer
Rabbit IgG in 10mM phosphate buffered saline , pH 7.4, 150mM sodium chloride, 0.05% BSA, 0.02% sodium azide and 50% glycerol.
Form
Liquid
Tested Applications
ELISA, WB, IHC, IF, IP
Recommended Dilution
Application Recommended Dilution
WB 1:500-1:5000
IHC 1:50-1:200
IF 1:20-1:200
IP 1:200-1:1000
Troubleshooting and FAQs
Storage
Upon receipt, store at -20°C or -80°C. Avoid repeated freeze.
Lead Time
Basically, we can dispatch the products out in 1-3 working days after receiving your orders. Delivery time maybe differs from different purchasing way or location, please kindly consult your local distributors for specific delivery time.
Description

The KLF4 recombinant monoclonal antibody is produced using recombinant DNA technology and is suitable for detecting human KLF4 protein in ELISA, WB, IHC, IF, and IP applications. To produce the antibody, the gene coding for the KLF4 monoclonal antibody is synthesized by sequencing the cDNA of the KLF4 antibody-producing hybridomas. The hybridomas are generated by fusing myeloma cells with B cells isolated from an animal that was immunized with a synthesized peptide derived from human KLF4. The synthesized gene is then cloned into a vector and transfected into cells for cultivation. After culturing, the resulting KLF4 recombinant monoclonal antibody is purified from the cell culture supernatant using affinity chromatography.

The KLF4 protein is a transcription factor that can bind to DNA and regulate the expression of target genes. It plays important roles in various cellular processes, including cell proliferation, differentiation, and apoptosis. KLF4 has also been shown to function as a tumor suppressor in some contexts by inducing cell cycle arrest and promoting apoptosis. It has also been implicated in promoting cell differentiation in a variety of cell types, including skin cells, gut epithelial cells, and immune cells.

Usage
For Research Use Only. Not for use in diagnostic or therapeutic procedures.

Customer Reviews and Q&A

 Customer Reviews

There are currently no reviews for this product.

Submit a Review here

Target Background

Function
Transcription factor; can act both as activator and as repressor. Binds the 5'-CACCC-3' core sequence. Binds to the promoter region of its own gene and can activate its own transcription. Regulates the expression of key transcription factors during embryonic development. Plays an important role in maintaining embryonic stem cells, and in preventing their differentiation. Required for establishing the barrier function of the skin and for postnatal maturation and maintenance of the ocular surface. Involved in the differentiation of epithelial cells and may also function in skeletal and kidney development. Contributes to the down-regulation of p53/TP53 transcription.
Gene References into Functions
  1. the downstream targets of KLF4-mCpG binding, guanine nucleotide exchange factors, serve as the effector of KLF4-induced mitochondrial fusion, cell cycle arrest, and cell protection. PMID: 29507094
  2. Human and mouse WNT10A mutant palmoplantar and tongue epithelia also display specific differentiation defects that are mimicked by loss of the transcription factor KLF4. PMID: 28589954
  3. The KLF4 might be a potential marker to predict prognosis in solid cancer patients. PMID: 29940144
  4. SOX5 overexpression increased Kruppel-like factor 4 (KLF4) gene expression, which was decreased by SOX5 silencing. KLF4 knockdown abrogated the suppressive effect of SOX5 overexpression on osteogenic differentiation of hMSCs. PMID: 29890823
  5. Results showed that SIRT1 interacts with and deacetylated KLF4. The deacetylation by SIRT1 promoted nuclear accumulation of KLF4 and enhanced the binding of KLF4 to the CLDN5 promoter in the nucleus. PMID: 28888043
  6. miR-145 promotes hepatic stellate cell activation and liver fibrosis by targeting KLF4. PMID: 28091538
  7. These findings identify a novel regulatory loop between miR-34a and KLF4 during keratinocytes replicative senescence. PMID: 29580988
  8. Knockdown of KLF4 promoted the migration and invasion of nonsmallcell lung cancer (NSCLC) cells, whereas rescue of KLF4 expression reduced cell motion ability in miR25overexpressing NSCLC cells. PMID: 29568911
  9. the subcellular localization of Klf4 might be related to the resistance of A549 cells to cisplatin. PMID: 29665649
  10. Authors observed that saRNAs induced overexpression of KLF4 could promote cell migration/invasion in NCM460 and HCT116 cell lines. PMID: 29274293
  11. This is, to our knowledge, the first report of decreased expression of TFF3, SPDEF, KLF4, and goblet cell population in the colon of patients with HSCR. Altered goblet cell function may result in intestinal barrier dysfunction contributing to the development of HAEC. PMID: 29383490
  12. KLF4 overcomes tamoxifen resistance by suppressing MAPK signaling pathway and predicts good prognosis in breast cancer. PMID: 28988130
  13. KLF4 activated the transcription activity of iNOS promoter in MH7A cells stimulated by TNF-alpha. This study indicates that KLF4 is important for regulating the expression of iNOS by TNF-alpha in human synoviocytes. PMID: 28744810
  14. Anaplastic thyroid cancer cells show high expression of KLF4, and KLF4 expression is necessary for maintaining the undifferentiated phenotype and drug resistance. PMID: 28920531
  15. KLF4 could transcriptionally inhibit Cav-1 expression by binding directly to the promoter domain of Cav-1. PMID: 29587259
  16. Impairment of IGF2 gene expression in prostate cancer is triggered by epigenetic dysregulation of IGF2-DMR0 and its interaction with KLF4 PMID: 29017567
  17. Data show that Kruppel like factor 4 (KLF4) was overexpressed in met proto-oncogene protein (c-Met)-overexpressing non-small-cell lung cancer (NSCLC) cells and tissues. PMID: 29624806
  18. KLF4 may act as an administered indicator to assess whether adjuvant postoperative pharmaceutical therapy is needed for patients with colorectal cancer. Low KLF4 expression was significantly correlated with reductions of overall survival and recurrence rate. PMID: 28752861
  19. Lower expression of KLF4 and NDRG2 in colorectal cancer patients was correlated with poor overall survival. Thus, KLF4 inhibited the proliferation of colorectal cancer cells dependent on NDRG2 signaling, which provides a novel strategy for therapy and early diagnosis of colorectal cancer. PMID: 28656310
  20. KLF4 is downregulated in anaplastic meningioma compared with low-grade meningioma subtypes. By manipulating KLF4 expression in anaplastic meningioma stem-like cells, this study demonstrated that KLF4 acts as a tumor suppressor during malignant progression in meningioma, affecting apoptosis, proliferation, invasion, and cell cycle. PMID: 28651379
  21. KLF4 was a direct target of miR-212, and miR-212 repressed KLF4 expression in a post-transcriptional manner. Moreover, miR-212-mediated protection effects were abated following KLF4 expression restoration in MPP-induced SH-SY5Y cells, represented as lowered cell viability and enhanced apoptotic rate. PMID: 29611404
  22. Results revealed that novel crosstalk between KLF4 and ZEB1 regulated gemcitabine resistance in PDAC. PMID: 28849150
  23. This is the first demonstration that dysregulated KLF4 expression associates with poor differentiation of pancreatic cancer. Epigenetic activation of miR-152/DNMT1/KLF4 signaling pathway by dietary DIM causes differentiation and significant growth inhibition of pancreatic cancer cells, highlighting its translational implications for pancreatic and other cancers. PMID: 28659310
  24. The present study found that the KLF4 and KLF5 3'-UTR contains one conserved target site of miR-506 and miR-124, and the overexpression of miR-506 and miR-124 inhibited the H2O2-induced upregulation of KLF4 and KLF5 in HCMs. PMID: 28849090
  25. KLF4 enhances the sensitivity of cisplatin to ESCC cells through apoptosis induction and cell cycle arrest. PMID: 28694421
  26. KLF4 was identified as an important regulatory factor in the host response to fungi and as a controlling element in the IL-6 immune response with a unique expression pattern comparing fungal and lipopolysaccharide stimulation. PMID: 27346433
  27. level in vascular endothelium decreased with age PMID: 29030550
  28. Results showed the expression levels of KLF4 were increased in bladder cancer (BC) patients which strongly correlated with the expression levels of PTBP1 but inversely correlated with the expression level of miR-145. These findings suggest that KLF4 is likely to positively contribute to carcinogenesis in certain types of BC. PMID: 28380435
  29. Transcriptional inhibition of MSI2 expression by KLF4 occurred in multiple PDAC cell lines as well as mouse models of PDAC. Lost expression of KLF4, a transcriptional repressor of MSI2 results in overexpression of MSI2 in PDACs, which may be a biomarker for accurate prognosis. A dysregulated KLF4/MSI2 signaling pathway promotes PDAC progression and metastasis. PMID: 27449499
  30. the results of the present study demonstrated that by regulating KLF4, miR145 may be involved in regulating smooth muscle differentiation of ASCs induced by TGFbeta1 and BMP4. PMID: 28440409
  31. our findings reveal KLF4 as a key regulator of miR-182 cluster expression in hESCs and a main contributor to its aberrant expression in melanoma and potentially in other tumors PMID: 28412746
  32. Surprisingly, 116 genes are directly activated via mCpG-dependent KLF4 binding activity. In-depth mechanistic studies reveal that recruitment of KLF4 to the methylated cis-regulatory elements of these genes result in chromatin remodeling and transcription activation. PMID: 28553926
  33. KLF4 transcriptionally repressed FOXO1 expression in glioma cells, contributing to glioma cell invasion and growth. PMID: 27835585
  34. Data suggest that KLF4 could promote cell senescence through a complex network: miR-203, survivin, and p21, which were all regulated by overexpression of KLF4 and contributed to cell senescence. PMID: 27531889
  35. Our results establish KLF4alpha as a KLF4 isoform that opposes the function of KLF4(FL) and as an important factor in the complex and unresolved role of KLF4(FL) in breast carcinogenesis. PMID: 27323810
  36. Kruppel-like factor 4 (KLF4) inactivation in chronic lymphocytic leukemia correlates with promoter DNA-methylation and can be reversed by inhibition of NOTCH signaling. PMID: 27081174
  37. Data suggest that the Kruppel-like factor 4 (KLF4) /telomerase reverse transcriptase (hTERT)/MAPK pathway is a potential new therapeutic target for lung cancer. PMID: 27153563
  38. The expression of KLF4 was significantly increased in human osteosarcoma tissues compared with the normal tissues. Elevated KLF4 promoted human osteosarcoma cell proliferation and metastasis. Mechanistic studies revealed KLF4 specifically bound the promoter of CRYAB and upregulated CRYAB expression in human osteosarcoma cells. PMID: 27105535
  39. In urothelial bladder carcinoma, strong KLF4 expression was associated with higher risk of metastasis and death. KLF4 positively correlates with TWIST1 and vimentin, and inversely with E-cadherin. In vitro, it is accompanied by decreased E-cadherin and beta-catenin, increased vimentin and fibronectin, and enhanced migration/invasion. KLF4 knockdown suppressed TWIST1 expression and EMT, migration and invasion. PMID: 27519276
  40. TGF-beta1 down-regulated KLF4 by activating miR-135a-5p, promoting proliferation and metastasis in hepatocellular carcinoma PMID: 27302923
  41. our data suggest that KLF4 inhibits epithelial-mesenchymal transition -enhanced hepatocellular carcinoma growth and invasion PMID: 27102441
  42. CSF and plasma expression of KLF4 mRNA was significantly decreased around 1-3 days after subarachnoid hemorrhage and remained lower than in controls. PMID: 28893694
  43. PARP1 recruits KLF4 to activate telomerase expression and stem cell pluripotency, indicating a positive regulatory role of the PARP1-KLF4 complex in telomerase expression in cancer and stem cells. PMID: 28985359
  44. KLF2 and KLF4 serve as important regulators that promote hemoglobin alpha expression in the endothelium. PMID: 28825355
  45. Loss of KLF4 expression is associated with T-cell acute lymphoblastic leukemia. PMID: 27872496
  46. IRF4 protects arteries against neointima formation by promoting the expression of KLF4 by directly binding to its promoter. PMID: 28851732
  47. High KLF4 expression is associated with breast cancer tumorigenesis. PMID: 28068319
  48. High KLF4 expression is associated with melanoma. PMID: 28068326
  49. KLF4 transactivates Ch25h and LXR, thereby promoting the synergistic effects between ECs and macrophages to protect against atherosclerosis susceptibility. PMID: 28794002
  50. findings evidence a positive correlation between SIRT1 and BCL6 expression increase in follicular lymphomas (FL) . SIRT1 methylation decreases in FL and diffuse large-B cell lymphomas (DLBCL)and this parallels the increase of KLF4, DAPK1 and SPG20 methylation PMID: 28324774

Show More

Hide All

Subcellular Location
Nucleus.
Protein Families
Krueppel C2H2-type zinc-finger protein family
Database Links

HGNC: 6348

OMIM: 602253

KEGG: hsa:9314

UniGene: Hs.376206

icon of phone
Call us
301-363-4651 (Available 9 a.m. to 5 p.m. CST from Monday to Friday)
icon of address
Address
7505 Fannin St., Ste 610, Room 7 (CUBIO Innovation Center), Houston, TX 77054, USA
icon of social media
Join us with

Subscribe newsletter

Leave a message

* To protect against spam, please pass the CAPTCHA test below.
CAPTCHA verification
© 2007-2025 CUSABIO TECHNOLOGY LLC All rights reserved. 鄂ICP备15011166号-1
×
Place an order now

I. Product details

*
*
*
*

II. Contact details

*
*

III. Ship To

*
*
*
*
*
*
*

IV. Bill To

*
*
*
*
*
*
*
*