MMP3 Recombinant Monoclonal Antibody

Code CSB-RA931056A0HU
Size US$210
Order now
Image
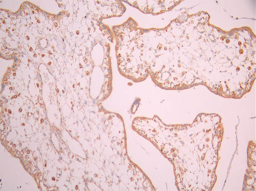
  • IHC image of CSB-RA931056A0HU diluted at 1:100 and staining in paraffin-embedded human placenta tissue performed on a Leica BondTM system. After dewaxing and hydration, antigen retrieval was mediated by high pressure in a citrate buffer (pH 6.0). Section was blocked with 10% normal goat serum 30min at RT. Then primary antibody (1% BSA) was incubated at 4°C overnight. The primary is detected by a Goat anti-rabbit polymer IgG labeled by HRP and visualized using 0.05% DAB.
Have Questions? Leave a Message or Start an on-line Chat

Product Details

Uniprot No.
Target Names
Alternative Names
CHDS6 antibody; Matrix metalloproteinase 3 antibody; Matrix metalloproteinase 3 preproprotein antibody; Matrix metalloproteinase-3 antibody; MGC126102 antibody; MGC126103 antibody; MGC126104 antibody; MMP 3 antibody; MMP-3 antibody; MMP3 antibody; MMP3_HUMAN antibody; Proteoglycanase antibody; SL-1 antibody; SL1 antibody; STMY antibody; STMY1 antibody; STR1 antibody; Stromelisin 1 antibody; Stromelysin 1 antibody; Stromelysin 1 progelatinase antibody; Stromelysin-1 antibody; Transin 1 antibody; Transin-1 antibody
Species Reactivity
Human
Immunogen
A synthesized peptide from human MMP3 protein
Immunogen Species
Homo sapiens (Human)
Conjugate
Non-conjugated
Clonality
Monoclonal
Isotype
Rabbit IgG
Clone No.
3B10
Purification Method
Affinity-chromatography
Concentration
It differs from different batches. Please contact us to confirm it.
Buffer
Rabbit IgG in 10mM phosphate buffered saline , pH 7.4, 150mM sodium chloride, 0.05% BSA, 0.02% sodium azide and 50% glycerol.
Form
Liquid
Tested Applications
ELISA, IHC
Recommended Dilution
Application Recommended Dilution
IHC 1:50-1:200
Troubleshooting and FAQs
Storage
Upon receipt, store at -20°C or -80°C. Avoid repeated freeze.
Lead Time
Basically, we can dispatch the products out in 1-3 working days after receiving your orders. Delivery time maybe differs from different purchasing way or location, please kindly consult your local distributors for specific delivery time.
Usage
For Research Use Only. Not for use in diagnostic or therapeutic procedures.

Customer Reviews and Q&A

 Customer Reviews

There are currently no reviews for this product.

Submit a Review here

Target Background

Function
Can degrade fibronectin, laminin, gelatins of type I, III, IV, and V; collagens III, IV, X, and IX, and cartilage proteoglycans. Activates procollagenase.
Gene References into Functions
  1. BMAL1 Deficiency Contributes to Mandibular Dysplasia by Upregulating MMP3. PMID: 29276151
  2. rs3025058 in MMP3 and rs2276109 in MMP12 might not contribute to the risk of developing rheumatic heart disease in a Han population in Southern China. PMID: 29458338
  3. study to explore the relationship between 2 polymorphisms (MMP-1-755 T/G [rs498186] and MMP-3 A/C [rs632478]) and disc degeneration; a significant association was found between the MMP-3 polymorphism and disc degeneration; the homozygote CC was associated with an increased risk of disc degeneration compared with the AA genotype PMID: 28497435
  4. Higher serum MMP-3 levels in knee osteoarthritis reflect disease "generalization". PMID: 29164307
  5. Report a positive correlation between glomerular filtration rate and MMP-3 activity in diabetic patients. PMID: 29421776
  6. The maternal and fetal MMP3 gene polymorphisms may be strong genetic markers of preeclampsia, occurring either individually or together. PMID: 29670668
  7. Preliminary studies indicate that baseline MMP3 and TIMP3 concentrations are associated with patient survival and disease-free time PMID: 29304854
  8. MMP-3 (Lys45Glu) polymorphisms associate with obesity risk and its severity. PMID: 29317790
  9. Data suggest that serum matrix metalloproteinase-3 (MMP-3) and the 7-joint ultrasound score (US7) scores could both effectively reflect disease activity and therapeutic responses in patients with moderate to severe rheumatoid arthritis (RA). PMID: 29141665
  10. results demonstrated that measurement of MMP-3 could become a marker of disease activity in rheumatoid arthritis patients PMID: 28461705
  11. The results indicated that the 5A allele of the MMP3 gene-promoter region could be associated with oral submucous fibrosis risk factor, but not oral squamous cell carcinoma, in an Indian population PMID: 27389714
  12. C/EBPbeta upregulation promoted tumor cell invasion in an MMP3-dependent manner in vitro and was associated with metastatic status in colorectal cancer PMID: 29172775
  13. MMP3 (and MMP-1 and MMP-2) are independently associated with markers of arterial stiffening in patients with type 1 diabetes. PMID: 29070037
  14. A significant increase in the frequency of the MMP3-1171dupA (rs3025058) polymorphism genotype among patients with unstable angina was detected. PMID: 29044936
  15. No interaction between MMP-3 5A/6A polymorphism and the risk of recurrence in total IS patients was found. The variant 5A/6A+5A/5A genotype and the 5A allele were significantly associated with a high risk of recurrence for large-artery atherosclerosis (LAA) (multivariate-adjusted, P=0.002, 0.001, respectively), but not for small-artery occlusion and cardioembolism. PMID: 28843428
  16. The 5A allele of the MMP3-gene promoter polymorphism is a potential risk factor in the poor outcome of hemodialysis patients. PMID: 28781337
  17. Positive MMP-3 was not significantly related to osteoporosis or severe hand osteoarthritis. PMID: 28365812
  18. In patients with ankylosing spondylitis, serum MMP3 level was found to have a positive correlation with the MRI score of sacroiliac joint and c-reactive protein. PMID: 28432524
  19. Suppression of active MMP3, but not total circulating MMP3 was associated with treatment response in rheumatoid arthritis patients treated with tocilizumab. PMID: 28850021
  20. These results, for the first time, demonstrate that P15 binding to cell surface vimentin inhibits the tumor cell invasion and is associated with reduced MMP3 expression. Thus, suggesting that P15 has potential as an anti-metastatic therapy in pancreatic cancer. PMID: 28396463
  21. A Study of IL-1beta, MMP-3, TGF-beta1, and GDF5 Polymorphisms and Their Association with Primary Frozen Shoulder in a Chinese Han Population PMID: 28676856
  22. studies establish a molecular imaging reporter for diagnosing early-stage EOC. Additional studies are required to confirm the early-stage activity of MMP-3 in EOC and its diagnostic and prognostic significance PMID: 29390034
  23. among Chinese males, MMP-3 rs650108 and MMP-8 rs2012390 decrease alcohol-induced ONFH risk and MMP-8 rs11225394 increases it. PMID: 28445942
  24. Report an association between the MMP-3 rs3025058 and subclinical markers of carotid and coronary atherosclerosis at the time of recruitment. MMP-3 rs3025058 on affects carotid artery disease progression in the 3.8-year follow-up in patients with T2DM. PMID: 28521653
  25. promoter polymorphism rs3025058 associated with adolescent idiopathic scoliosis but not with gender bias PMID: 27911281
  26. mRNA levels of HSP family members (HSP70B', HSP72, HSP40/DNAJ, and HSP20/CRYAB) are upregulated by the intracellular MMP3 overload. PMID: 27206651
  27. These observations suggest a crucial role for cancer-associated fibroblasts and fibroblast growth factor-1/fibroblast growth factor receptor 4 signaling in the progression of ovarian cancer. the expression level of Snail1 and MMP3 was reduced, while the expression level of E-cadherin increased PMID: 28718374
  28. MMP3 overexpression is associated with Melanoma Tumor Growth and Metastasis. PMID: 27013197
  29. Matrix metalloprotease (MMP) regulation was the top pathway involved in gingival aging. MMP3, MMP9, MMP12, and MMP13 were upregulated in old gingival tissues, concomitantly with interleukin-1 beta (IL1B) expression. PMID: 27391467
  30. Three previously investigated MMP3 variants (rs679620, rs591058 and rs650108) in addition to the functional promoter variant (rs3025058) were genotyped in 195 Australian control participants and 79 Australian individuals with chronic Achilles tendinopathy. PMID: 27211292
  31. MMP-3 expression is deregulated in osteosarcomas and this potentially contributes to metastasis and might be a promising marker for the prognosis and therapy of metastatic osteosarcoma. PMID: 27837634
  32. These results indicate that periodic induction, via use of an eye drop, of AAV-mediated secretion of MMP-3 into aqueous humour could have therapeutic potential for those cases of glaucoma that are sub-optimally responsive to conventional pressure-reducing medications. PMID: 28158775
  33. In summary, our study demonstrates that IL-7/IL-7R axis promotes the invasion and migration of prostate cancer cells, through activation of AKT/NF-kappaB pathway and upregulation of MMP-3 and MMP-7 expression PMID: 27611862
  34. Study showed that serum MMP-3 levels are decreased in patients with epilepsy, which is relevant for acute stroke. A specific pathogenic effect of MMP-3 in epilepsy appears unlikely. This study has demonstrated that the newly developed Luminex assays are useful in quantifying MMP-3 levels in human serum. PMID: 27423606
  35. Serum baseline levels of MMP-3 are strong prognostic markers of disease activity, and act well as an early predictor of progressive joint damage in recent-onset rheumatoid arthritis. PMID: 25292349
  36. MMP-3 positivity has a strong relationship with meningiomas having an aggressive character; MMP-3 may be used as a proliferation marker for biological behaviour, recurrence rate and prognosis of meningiomas PMID: 27438616
  37. 5A5A genotype of MMP-3-1171 5A/6A gene polymorphism was associated with adolescent idiopathic scoliosis, especially in Caucasian population. (Meta-analysis) PMID: 27659327
  38. PAF stimulation dose-dependently promoted the invasion, migration and growth of prostate cancer cells in vitro, while knockdow our findings demonstrate that PAFR can activate ERK1/2 pathway, and subsequently increase MMP-3 expression and decrease E-cadherin expression PMID: 27176648
  39. 5A/6A polymorphism of matrix metalloproteinase-3 may contribute to recurrent atherosclerotic ischemic stroke in Chinese. PMID: 26314579
  40. We concluded that overexpression of MMP-3 and uPA, altogether with diminished expression of PAI-1 from metastatic tumors, might be a crucial step towards metastasis in ductal breast cancer. PMID: 27975070
  41. NFAT1 silencing could suppress cell migration and invasion through MMP-3. PMID: 28024290
  42. Specific gene polymorphisms are known to be associated with a different arterial physiology in the younger generation. The present study found that young Russians with the matrix metalloproteinase 3 6A/6A and gamma-glutamyltransferase 1AA genotypes have lower levels of the cardio-ankle vascular index - a recent measure of arterial stiffness. PMID: 27161754
  43. MMP-3 -11715A/6A polymorphism was associated with MMP-3 expression in herniated disc tissues. MMP-3 expression and the histological and radiological scores were positively correlated. PMID: 27706715
  44. High MMP3 expression is associated with Ovarian Tumors. PMID: 27268637
  45. MMP3 gene -1171 5A/6A polymorphism and upregulated protein expression may be associated with deep vein thrombosis risk in Chinese Han population. PMID: 27177702
  46. data demonstrated that the MMP3 rs650108 variant was significantly associated with increased frozen shoulder susceptibility in a Chinese Han population. PMID: 27051023
  47. MMP3 is released from the synovial membrane under inflammatory conditions and may serve as biological markers for inflammatory osteoarthritis. PMID: 26863055
  48. This study showed an increased frequency of heterozygotes for stromelysin-1 rs3025058 and thought to be involved in the etiology of Gastric cancer PMID: 26853425
  49. These results indicate an essential role for MAPKs in the induction of MMP-3 in synovial sarcoma cells, through AP-1 activation. PMID: 26850593
  50. A low level of MMP-3 is an excellent positive predictor for polymyalgia rheumatica with giant cell arteritis. PMID: 26156043

Show More

Hide All

Involvement in disease
Coronary heart disease 6 (CHDS6)
Subcellular Location
Secreted, extracellular space, extracellular matrix.
Protein Families
Peptidase M10A family
Database Links

HGNC: 7173

OMIM: 185250

KEGG: hsa:4314

STRING: 9606.ENSP00000299855

UniGene: Hs.375129

icon of phone
Call us
301-363-4651 (Available 9 a.m. to 5 p.m. CST from Monday to Friday)
icon of address
Address
7505 Fannin St., Ste 610, Room 7 (CUBIO Innovation Center), Houston, TX 77054, USA
icon of social media
Join us with

Subscribe newsletter

Leave a message

* To protect against spam, please pass the CAPTCHA test below.
CAPTCHA verification
© 2007-2025 CUSABIO TECHNOLOGY LLC All rights reserved. 鄂ICP备15011166号-1
×
Place an order now

I. Product details

*
*
*
*

II. Contact details

*
*

III. Ship To

*
*
*
*
*
*
*

IV. Bill To

*
*
*
*
*
*
*
*