NUP50 Recombinant Monoclonal Antibody

Code CSB-RA588009A0HU
Size US$210
Order now
Image
  • Western Blot
    Positive WB detected in: HL-60 whole cell lysate(30µg)
    All lanes: NUP50 antibody at 1:1000
    Secondary
    Goat polyclonal to rabbit IgG at 1/40000 dilution
    Predicted band size: 50 kDa
    Observed band size: 58 kDa
    Exposure time:2min
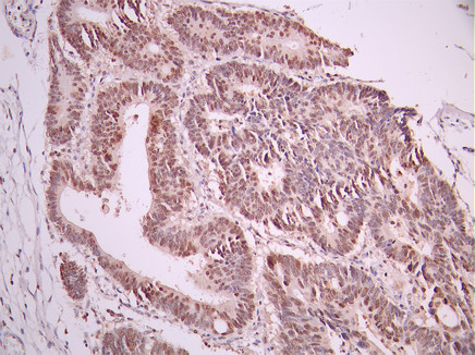
  • IHC image of CSB-RA588009A0HU diluted at 1:100 and staining in paraffin-embedded human colorectal cancer performed on a Leica BondTM system. After dewaxing and hydration, antigen retrieval was mediated by high pressure in a citrate buffer (pH 6.0). Section was blocked with 10% normal goat serum 30min at RT. Then primary antibody (1% BSA) was incubated at 4°C overnight. The primary is detected by a Goat anti-rabbit polymer IgG labeled by HRP and visualized using 0.05% DAB.
  • Overlay Peak curve showing A431 cells stained with CSB-RA588009A0HU (red line) at 1:100. The cells were fixed in 4% formaldehyde and permeated by 0.2% TritonX-100 for 10min. Then 10% normal goat serum to block non-specific protein-protein interactions followed by the antibody (1ug/1*106cells) for 45min at 4℃. The secondary antibody used was FITC-conjugated goat anti-rabbit IgG (H+L) at 1/200 dilution for 35min at 4℃.Control antibody (green line) was Rabbit IgG (1ug/1*106cells) used under the same conditions. Acquisition of >10, 000 events was performed.
Have Questions? Leave a Message or Start an on-line Chat

Product Details

Uniprot No.
Target Names
NUP50
Alternative Names
50 kDa nucleoporin antibody; NPAP60 antibody; NPAP60L antibody; Nuclear pore associated protein 60L antibody; Nuclear pore complex protein Nup50 antibody; Nuclear pore-associated protein 60 kDa-like antibody; Nucleoporin 50 antibody; Nucleoporin 50kDa antibody; Nucleoporin Nup50 antibody; Nup50 antibody; NUP50_HUMAN antibody; PRO1146 antibody
Species Reactivity
Human
Immunogen
A synthesized peptide from human NUP50 protein
Immunogen Species
Homo sapiens (Human)
Conjugate
Non-conjugated
Clonality
Monoclonal
Isotype
Rabbit IgG
Clone No.
15A12
Purification Method
Affinity-chromatography
Concentration
It differs from different batches. Please contact us to confirm it.
Buffer
Rabbit IgG in 10mM phosphate buffered saline , pH 7.4, 150mM sodium chloride, 0.05% BSA, 0.02% sodium azide and 50% glycerol.
Form
Liquid
Tested Applications
ELISA, WB, IHC, FC
Recommended Dilution
Application Recommended Dilution
WB 1:500-1:5000
IHC 1:50-1:200
FC 1:50-1:200
Troubleshooting and FAQs
Storage
Upon receipt, store at -20°C or -80°C. Avoid repeated freeze.
Lead Time
Basically, we can dispatch the products out in 1-3 working days after receiving your orders. Delivery time maybe differs from different purchasing way or location, please kindly consult your local distributors for specific delivery time.
Usage
For Research Use Only. Not for use in diagnostic or therapeutic procedures.

Customer Reviews and Q&A

 Customer Reviews

There are currently no reviews for this product.

Submit a Review here

Target Background

Function
Component of the nuclear pore complex that has a direct role in nuclear protein import. Actively displaces NLSs from importin-alpha, and facilitates disassembly of the importin-alpha:beta-cargo complex and importin recycling. Interacts with regulatory proteins of cell cycle progression including CDKN1B. This interaction is required for correct intracellular transport and degradation of CDKN1B.
Gene References into Functions
  1. Nucleoporin Nup50 stabilizes closed conformation of armadillo repeat 10 in importin alpha5. PMID: 22130666
  2. Results suggest that Npap60L and Npap60S function differently in nuclear protein import. PMID: 20016008
Subcellular Location
Nucleus, nuclear pore complex. Nucleus membrane; Peripheral membrane protein; Nucleoplasmic side.
Tissue Specificity
Ubiquitous. Highest levels in testis, peripheral blood leukocytes and fetal liver.
Database Links

HGNC: 8065

OMIM: 604646

KEGG: hsa:10762

STRING: 9606.ENSP00000345895

UniGene: Hs.475103

icon of phone
Call us
301-363-4651 (Available 9 a.m. to 5 p.m. CST from Monday to Friday)
icon of address
Address
7505 Fannin St., Ste 610, Room 7 (CUBIO Innovation Center), Houston, TX 77054, USA
icon of social media
Join us with

Subscribe newsletter

Leave a message

* To protect against spam, please pass the CAPTCHA test below.
CAPTCHA verification
© 2007-2025 CUSABIO TECHNOLOGY LLC All rights reserved. 鄂ICP备15011166号-1
×
Place an order now

I. Product details

*
*
*
*

II. Contact details

*
*

III. Ship To

*
*
*
*
*
*
*

IV. Bill To

*
*
*
*
*
*
*
*