PDX1 Recombinant Monoclonal Antibody

Code CSB-RA820141A0HU
Size US$210
Order now
Image
  • Western Blot
    , Positive WB detected in: COLO205 whole cell lysate(30µg)
    All lanes: PDX 1 antibody at 1:1000
    Secondary
    Goat polyclonal to rabbit IgG at 1/40000 dilution
    Predicted band size: 31 kDa
    Observed band size: 42 kDa
    Exposure time:120s
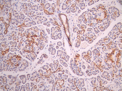
  • IHC image of CSB-RA820141A0HU diluted at 1:100 and staining in paraffin-embedded human pancreatic tissue performed on a Leica BondTM system. After dewaxing and hydration, antigen retrieval was mediated by high pressure in a citrate buffer (pH 6.0). Section was blocked with 10% normal goat serum 30min at RT. Then primary antibody (1% BSA) was incubated at 4°C overnight. The primary is detected by a Goat anti-rabbit polymer IgG labeled by HRP and visualized using 0.05% DAB.
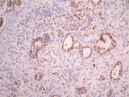
  • IHC image of CSB-RA820141A0HU diluted at 1:100 and staining in paraffin-embedded human gastric cancer performed on a Leica BondTM system. After dewaxing and hydration, antigen retrieval was mediated by high pressure in a citrate buffer (pH 6.0). Section was blocked with 10% normal goat serum 30min at RT. Then primary antibody (1% BSA) was incubated at 4°C overnight. The primary is detected by a Goat anti-rabbit polymer IgG labeled by HRP and visualized using 0.05% DAB.
  • Overlay Peak curve showing Hela cells stained with CSB-RA820141A0HU (red line) at 1:100. The cells were fixed in 4% formaldehyde and permeated by 0.2% TritonX-100 for 10min. Then 10% normal goat serum to block non-specific protein-protein interactions followed by the antibody (1ug/1*106cells) for 45min at 4℃. The secondary antibody used was FITC-conjugated goat anti-rabbit IgG (H+L) at 1/200 dilution for 35min at 4℃.Control antibody (green line) was Rabbit IgG (1ug/1*106cells) used under the same conditions. Acquisition of >10, 000 events was performed.
Have Questions? Leave a Message or Start an on-line Chat

Product Details

Uniprot No.
Target Names
Alternative Names
Glucose sensitive factor antibody; Glucose-sensitive factor antibody; GSF antibody; IDX 1 antibody; IDX-1 antibody; IDX1 antibody; Insulin promoter factor 1 antibody; Insulin promoter factor 1 homeodomain transcription factor antibody; Insulin upstream factor 1 antibody; IPF 1 antibody; IPF-1 antibody; IPF1 antibody; Islet/duodenum homeobox 1 antibody; Islet/duodenum homeobox-1 antibody; IUF 1 antibody; IUF-1 antibody; IUF1 antibody; MODY4 antibody; Pancreas/duodenum homeobox 1 antibody; Pancreas/duodenum homeobox protein 1 antibody; pancreatic and duodenal homeobox P antibody; PDX 1 antibody; PDX-1 antibody; PDX1 antibody; PDX1_HUMAN antibody; Somatostatin transactivating factor 1 antibody; Somatostatin-transactivating factor 1 antibody; STF 1 antibody; STF-1 antibody; STF1 antibody
Species Reactivity
Human
Immunogen
A synthesized peptide from human PDX1 protein
Immunogen Species
Homo sapiens (Human)
Conjugate
Non-conjugated
Clonality
Monoclonal
Isotype
Rabbit IgG
Clone No.
4A3
Purification Method
Affinity-chromatography
Concentration
It differs from different batches. Please contact us to confirm it.
Buffer
Rabbit IgG in 10mM phosphate buffered saline , pH 7.4, 150mM sodium chloride, 0.05% BSA, 0.02% sodium azide and 50% glycerol.
Form
Liquid
Tested Applications
ELISA, WB, IHC, FC
Recommended Dilution
Application Recommended Dilution
WB 1:500-1:5000
IHC 1:50-1:200
FC 1:50-1:200
Troubleshooting and FAQs
Storage
Upon receipt, store at -20°C or -80°C. Avoid repeated freeze.
Lead Time
Basically, we can dispatch the products out in 1-3 working days after receiving your orders. Delivery time maybe differs from different purchasing way or location, please kindly consult your local distributors for specific delivery time.
Usage
For Research Use Only. Not for use in diagnostic or therapeutic procedures.

Customer Reviews and Q&A

 Customer Reviews

There are currently no reviews for this product.

Submit a Review here

Target Background

Function
Activates insulin, somatostatin, glucokinase, islet amyloid polypeptide and glucose transporter type 2 gene transcription. Particularly involved in glucose-dependent regulation of insulin gene transcription. As part of a PDX1:PBX1b:MEIS2b complex in pancreatic acinar cells is involved in the transcriptional activation of the ELA1 enhancer; the complex binds to the enhancer B element and cooperates with the transcription factor 1 complex (PTF1) bound to the enhancer A element. Binds preferentially the DNA motif 5'-[CT]TAAT[TG]-3'. During development, specifies the early pancreatic epithelium, permitting its proliferation, branching and subsequent differentiation. At adult stage, required for maintaining the hormone-producing phenotype of the beta-cell.
Gene References into Functions
  1. heat shock proteins are involved in PDX1-mediated effects on the genesis of gastric cancer PMID: 30310259
  2. Investigated the effect of gestational diabetes mellitus (GDM) on the expression and methylation of PGC-1alpha and PDX1 in placenta and their effects on fetal glucose metabolism. Blood glucose was negatively correlated with the expression of PGC-1alpha and PDX1 mRNA in the placenta. PMID: 29730292
  3. PDX1, Neurogenin-3, and MAFA are critical transcription regulators for beta cell development and regeneration. (Review) PMID: 29096722
  4. study provides a novel culture protocol for generating pancreas-committed cells from hAECs and reveals an interplay between Pdx1 and activin A/nicotinamide signaling in early pancreatic fate determination. PMID: 28632450
  5. Data indicate the secretory granule membrane glycoprotein 2 as a marker for PDX1+/NKX6-1+ pancreatic progenitors (PPs). PMID: 28835709
  6. expression of regulatory master genes of embryonic development in pancreatic cancer cells on the intracellular concentration of the master regulator PDX1 PMID: 28864896
  7. Efficiency of differentiation of Induced pluripotent stem cells to insulin producing cells can be increased by concurrent expression of PDX1 and NKX6.1 during progenitor cells maturation. PMID: 27998294
  8. Mutation in PDX1 gene is associated with Maturity Onset Diabetes of the Young. PMID: 28095440
  9. Results found that Pdx-1 overexpression exerts its effects on islet cell replication via a noncell-autonomous mechanism involving induction of a secreted soluble factor or factors. Also, Inhbb is identified as one factor mediating the proliferative effect of Pdx-1. PMID: 27620967
  10. Our findings indicate that MET induces the differentiation of Pdx1-expressing cells within the definitive endoderm in a time-dependent manner, and suggest useful application for regenerative medicine. PMID: 28202025
  11. Pdx1 and MafA play crucial roles in the pancreas and maintain mature beta-cell function. Our results showed that the expression of Pdx1 and MafA were significantly upregulated after a sleeve gastrectomy for morbid obesity. PMID: 26781599
  12. Data show that the expression patterns of sex determining region Y-box 2 (SOX2) and pancreatic and duodenal homeobox 1 (Pdx1)) highly correlated with prognosis of pancreatic neuroendocrine tumors (p-NETs). PMID: 26491904
  13. The ERK-PDX-1 interaction in PANC-1 cells. PMID: 26695692
  14. Foxo1 and PDX1 are colocalized in fetal pancreatic islets, suggesting they function in parallel in beta cells. PMID: 26727107
  15. This study investigated the role of Pdx1 and its mechanism in differentiating induced pluripotent stem cells (iPSCs) into islet beta cells. PMID: 26345820
  16. the human Pdx1 is highly effective in triggering human biliary tree stem cells differentiation toward functional beta-pancreatic cells. PMID: 26252949
  17. Introduction of the PDX1 gene makes cells acquire a functional insulin secretory capacity PMID: 25817342
  18. These results suggest that IFN-gamma induced beta-cell dysfunction is mediated through decreased nuclear localization of Pdx-1. PMID: 25839229
  19. The rs12255372 SNP of TCF7L2 and D76N of PDX-1 genes may confer susceptibility to T2DM in the population living in Mashhad, Iran. PMID: 26058934
  20. Pdx1 has a role in pancreatic differentiation in human amniotic fluid-derived stem cells PMID: 23147868
  21. physiological and pathophysiological conditions dynamically regulated Pdx1 binding to these Swi/Snf complexes in vivo PMID: 25801033
  22. we found that PDX1 binds and suppresses expression of endogenous liver genes. These findings rebrand PDX1 as a context-dependent transcriptional repressor and activator within the same cell type. PMID: 25843046
  23. PDX-1mRNA is detectable in samples of pancreatic cancer. Its quantification may be helpful to improve the diagnosis of pancreatic cancer. PMID: 25454709
  24. These results indicate that PDX-1 mRNA may offer a promising approach to produce safe IPCs for clinical diabetes mellitus treatment. PMID: 25201603
  25. CONCLUSIONS: Our results demonstrate the use of in vitro-synthesized PDX1 messenger RNA to differentiate hUC-MSCs into islet-like cells and pave the way toward the development of reprogramming and directed-differentiation methods PMID: 25287601
  26. MAFA, MAFB, NKX6.1, and PDX1 activity provides a gauge of islet beta cell function, with loss of MAFA (and/or MAFB) representing an early indicator of beta cell inactivity PMID: 23863625
  27. A rare (0.20%) frameshift variant in PDX1, encoding p.Gly218Alafs*12, associates with high risk of type 2 diabetes (OR = 2.27, P = 7.3 x 10(-7)). PMID: 24464100
  28. Performed fully atomistic Molecular Dynamics simulations both in crystal and aqueous environments in order to elucidate the nature of the difference in binding contacts between Pdx1 and DNA (PDB 2H1K) . PMID: 23950697
  29. Developed a liquid-phase, non-radioactive, sensitive and specific luciferase immunoprecipitation systems assay to detect pdx1 autoantibodies in human sera. PMID: 23696946
  30. Pdx1 is a transcription factor required for the formation of endocrine pancreas that is inhibited during Coxsackievirus B4 infection of human pancreas ductal cells PMID: 23775130
  31. recessive PDX1 mutations are a rare but important cause of isolated permanent neonatal diabetes in patients without pancreatic hypoplasia/agenesis PMID: 23320570
  32. PASK phosphorylates and inactivates GSK3beta, thereby preventing PDX-1 serine phosphorylation and alleviating GSK3beta-mediated PDX-1 protein degradation in pancreatic beta-cells. PMID: 23853095
  33. studies indicated p38 MAP kinase is a positive regulator of PDX-1 stability and p38 exerts its stabilizing effect on PDX-1 through a phosphorylation-dependent inhibition of PDX-1 ubiquitination. PMID: 23331010
  34. PDX-1 is a therapeutic target for both hormonal symptoms and tumor volume in models of pancreatic cancer, insulinoma and islet neoplasia PMID: 22905092
  35. Up-regulation of Pdx1 is a feature of cholangiocarcinogenesis associated with chronic cholangitis. PMID: 22594685
  36. data demonstrate epigenetic modifications of PDX-1 may reduce its expression in diabetic islets which may lead to impaired insulin expression and secretion; data further suggest hyperglycemia may be a factor behind increased DNA methylation and decreased expression of PDX-1 PMID: 22570331
  37. Combined transfection of the three transcriptional factors, PDX-1, NeuroD1, and MafA, causes differentiation of bone marrow mesenchymal stem cells into insulin-producing cells PMID: 22761608
  38. PDX1 repression of FABP1, LCT, and SI suggests a role for PDX1 in patterning anterior intestinal development. PMID: 22640736
  39. Analysis of cell death genes led to the identification of Noxa and Puma as direct targets of Pdx1 PMID: 22322596
  40. Through multiple mechanisms, SREBP-1c, when induced in a lipotoxic state, repressed PDX-1 expression contributing to the inhibition of insulin expression and beta cell dysfunction. PMID: 21652712
  41. a significant relation of PDX1 and CDX2 expressions among phenotypic classification of gastric carcinomas reveals an idea about similar functions for PDX1 and CDX2 in the evolution of gastric carcinoma. PMID: 21909647
  42. PDX-1 plays an important role in the induction of CD44+/CD105+ human amniotic fluid cells (HuAFCs) into functional pancreatic beta-cell-like cells in vitro. PMID: 21612404
  43. Gastrin-positive neuroendocrine tumors, whether of duodenal or pancreatic origin, frequently expressed PDX1 (17/18), ISL1 (14/18), and NGN3 (14/18). PMID: 21739268
  44. PDX1, important for the regulation of insulin metabolism regulation, was able to repress the TBX15 promoter in a methylation-dependent manner, which might, at least partially, explain the specific mRNA decrease of TBX15 observed in vIUGR placentas. PMID: 20962579
  45. ATF2 interacts with beta-cell-enriched transcription factors, MafA, Pdx1, and beta2, and activates insulin gene transcription. PMID: 21278380
  46. pdx-1 functions as a "pancreas-permitting gene". PMID: 20668890
  47. Data suggest that NKX6.1 activates immature pancreatic markers but not pancreatic hormone gene expression in human liver cells, and suggest a potential role for NKX6.1 in promoting PDX-1 reprogrammed maturation along a beta-cell-like lineage. PMID: 21108535
  48. TFF1, TFF2, and PDX1 were expressed only in lobular endocervical glandular hyperplasia. PMID: 21228366
  49. Results indicate that beta-cell dysfunction during progression of CP correlates with the decrease in PDX-1 gene expression. PMID: 20467340
  50. in adult mouse beta cells, Pcif1 limits Pdx1 protein accumulation and thus the expression of insulin and other gene targets important in the maintenance of beta cell mass and function. PMID: 20811152

Show More

Hide All

Involvement in disease
Pancreatic agenesis 1 (PAGEN1); Diabetes mellitus, non-insulin-dependent (NIDDM); Maturity-onset diabetes of the young 4 (MODY4)
Subcellular Location
Nucleus. Cytoplasm, cytosol.
Protein Families
Antp homeobox family, IPF1/XlHbox-8 subfamily
Tissue Specificity
Duodenum and pancreas (Langerhans islet beta cells and small subsets of endocrine non-beta-cells, at low levels in acinar cells).
Database Links

HGNC: 6107

OMIM: 125853

KEGG: hsa:3651

STRING: 9606.ENSP00000370421

UniGene: Hs.32938

icon of phone
Call us
301-363-4651 (Available 9 a.m. to 5 p.m. CST from Monday to Friday)
icon of address
Address
7505 Fannin St., Ste 610, Room 7 (CUBIO Innovation Center), Houston, TX 77054, USA
icon of social media
Join us with

Subscribe newsletter

Leave a message

* To protect against spam, please pass the CAPTCHA test below.
CAPTCHA verification
© 2007-2025 CUSABIO TECHNOLOGY LLC All rights reserved. 鄂ICP备15011166号-1
×
Place an order now

I. Product details

*
*
*
*

II. Contact details

*
*

III. Ship To

*
*
*
*
*
*
*

IV. Bill To

*
*
*
*
*
*
*
*