PEBP1 Recombinant Monoclonal Antibody

Code CSB-RA903387A0HU
Size US$210
Order now
Image
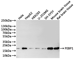
  • Western Blot
    Positive WB detected in: Hela whole cell lysate(30µg), HepG2 whole cell lysate(30µg), HEK293 whole cell lysate(30µg), U-251MG whole cell lysate(30µg), SH-SY5Y whole cell lysate(30µg), Mouse brain tissue lysate(30µg), Rat brain tissue lysate(30µg)
    All lanes: PEBP1 antibody at 1:1000
    Secondary
    Goat polyclonal to rabbit IgG at 1/40000 dilution
    Predicted band size: 21 kDa
    Observed band size: 21 kDa
    Exposure time:1min
  • IHC image of CSB-RA903387A0HU diluted at 1:100 and staining in paraffin-embedded human prostate cancer performed on a Leica BondTM system. After dewaxing and hydration, antigen retrieval was mediated by high pressure in a citrate buffer (pH 6.0). Section was blocked with 10% normal goat serum 30min at RT. Then primary antibody (1% BSA) was incubated at 4°C overnight. The primary is detected by a Goat anti-rabbit polymer IgG labeled by HRP and visualized using 0.05% DAB.
  • IHC image of CSB-RA903387A0HU diluted at 1:100 and staining in paraffin-embedded human liver tissue performed on a Leica BondTM system. After dewaxing and hydration, antigen retrieval was mediated by high pressure in a citrate buffer (pH 6.0). Section was blocked with 10% normal goat serum 30min at RT. Then primary antibody (1% BSA) was incubated at 4°C overnight. The primary is detected by a Goat anti-rabbit polymer IgG labeled by HRP and visualized using 0.05% DAB.
  • Immunofluorescence staining of HepG2 cell with CSB-RA903387A0HU at 1:50, counter-stained with DAPI. The cells were fixed in 4% formaldehyde, permeabilized using 0.2% Triton X-100 and blocked in 10% normal Goat Serum. The cells were then incubated with the antibody overnight at 4°C. The secondary antibody was Alexa Fluor 488-congugated AffiniPure Goat Anti-Rabbit IgG(H+L).
  • Overlay Peak curve showing PC-3 cells stained with CSB-RA903387A0HU (red line) at 1:100. The cells were fixed in 4% formaldehyde and permeated by 0.2% TritonX-100 for 10min. Then 10% normal goat serum to block non-specific protein-protein interactions followed by the antibody (1ug/1*106cells) for 45min at 4℃. The secondary antibody used was FITC-conjugated goat anti-rabbit IgG (H+L) at 1/200 dilution for 35min at 4℃.Control antibody (green line) was Rabbit IgG (1ug/1*106cells) used under the same conditions. Acquisition of >10,000 events was performed.
Have Questions? Leave a Message or Start an on-line Chat

Product Details

Uniprot No.
Target Names
PEBP1
Alternative Names
Phosphatidylethanolamine-binding protein 1 (PEBP-1) (HCNPpp) (Neuropolypeptide h3) (Prostatic-binding protein) (Raf kinase inhibitor protein) (RKIP) [Cleaved into: Hippocampal cholinergic neurostimulating peptide (HCNP)], PEBP1, PBP PEBP
Species Reactivity
Human, Mouse, Rat
Immunogen
Recombinant Antibody
Immunogen Species
Homo sapiens (Human)
Conjugate
Non-conjugated
Clonality
Monoclonal
Isotype
Rabbit IgG
Clone No.
4F4
Purification Method
Affinity-chromatography
Concentration
It differs from different batches. Please contact us to confirm it.
Buffer
Preservative: 0.03% Proclin 300
Constituents: 50% Glycerol, 0.01M PBS, PH 7.4
Form
Liquid
Tested Applications
ELISA, WB, IHC, IF, FC
Recommended Dilution
Application Recommended Dilution
WB 1:500-1:5000
IHC 1:50-1:200
IF 1:50-1:200
FC 1:50-1:200
Troubleshooting and FAQs
Storage
Upon receipt, store at -20°C or -80°C. Avoid repeated freeze.
Lead Time
Basically, we can dispatch the products out in 1-3 working days after receiving your orders. Delivery time maybe differs from different purchasing way or location, please kindly consult your local distributors for specific delivery time.
Usage
For Research Use Only. Not for use in diagnostic or therapeutic procedures.

Customer Reviews and Q&A

 Customer Reviews

There are currently no reviews for this product.

Submit a Review here

Target Background

Function
Binds ATP, opioids and phosphatidylethanolamine. Has lower affinity for phosphatidylinositol and phosphatidylcholine. Serine protease inhibitor which inhibits thrombin, neuropsin and chymotrypsin but not trypsin, tissue type plasminogen activator and elastase. Inhibits the kinase activity of RAF1 by inhibiting its activation and by dissociating the RAF1/MEK complex and acting as a competitive inhibitor of MEK phosphorylation.; HCNP may be involved in the function of the presynaptic cholinergic neurons of the central nervous system. HCNP increases the production of choline acetyltransferase but not acetylcholinesterase. Seems to be mediated by a specific receptor.
Gene References into Functions
  1. Low RKIP Expression is associated with asthma. PMID: 30282734
  2. our studies demonstrate how KRAS inhibits the tumor suppressor RKIP, thus offering novel justification for targeting RKIP as a strategy to overcome KRAS-induced tumor metastasis and chemoresistance in PDAC. PMID: 29315556
  3. RKIP expression in gastrointestinal stromal tumors is associated with tumor size, NIH risk grade, and mucosal invasion, and low or no expression of RKIP predicts a high malignancy potential. PMID: 29930472
  4. Octreotide may weaken invasion and metastasis through the upregulation of PEBP1. Octreotide may reduce the risk of recurrence and metastasis after surgery for liver cancer. PMID: 29990987
  5. Knockdown of RKIP increased phosphorylated ERK and thus suppressed sorafenib-mediated cell death. PMID: 29858683
  6. Baseline urinary RKIP, evaluated in an independent cohort of 56 Clear cell Renal Cell Carcinoma patients and 28 healthy subjects, successfully distinguished both groups and, most importantly, a cut-off value of 10 ng/mg/g Pr/uCr enabled a highly accurate prediction of Cancer-specific survival and Progression-free survival. PMID: 28418894
  7. we found that the RKIP expression was decreased significantly in HBV infected tumor tissues compared to normal adjacent tissues, suggesting the reduction or absence of RKIP expression was closely related to liver carcinogenesis. PMID: 27902472
  8. downregulation of RKIP plays an important role in the breast neoplastic progression and correlates with poor prognosis in patients with breast carcinoma (BC). Aberrant RKIP methylation is one of the mechanisms that lead to downregulation of RKIP in BC. PMID: 26894644
  9. can act as a negative mediator in autophagy through stimulation of the AKT-MTORC1 pathway and direct interaction with LC3. PMID: 27540684
  10. PEBP1, a scaffold protein inhibitor of protein kinase cascades, complexes with two 15LO isoforms, 15LO1 and 15LO2, and changes their substrate competence to generate hydroperoxy-phosphatidylethanolamines (PE). Inadequate reduction of hydroperoxy-PE due to insufficiency or dysfunction of a selenoperoxidase, GPX4, leads to ferroptosis. PMID: 29053969
  11. miR-23a as a negative regulator of RKIP expression in AML. PMID: 27197200
  12. Knockdown of RKIP promotes LX-2 cell proliferation. PMID: 28031115
  13. RKIP contributes to colitis development by promoting inflammation and mediating intestinal epithelial cell apoptosis. PMID: 26801887
  14. The study demonstrates that miR-543 promotes the proliferation and metastasis of prostate cancer via targeting RKIP. PMID: 28245474
  15. RKIP inhibitors locostatin reduces extracellular matrix production as well as the migration and proliferation of myometrial and leiomyoma cells. PMID: 27565262
  16. RKIP has a role in suppressing proliferation and metastasis of breast cancer cell lines through up-regulation of miR-185 targeting HMGA2 PMID: 27651238
  17. positive p-Ser153 RKIP expression is a favorable prognostic factor and affects clinical response to radiotherapy in nasopharyngeal carcinoma PMID: 27647315
  18. Expression of RKIP is closely correlated with the survival of pancreatic cancer patients. RKIP can inhibit pancreatic adenocarcinoma cells proliferation, activities of migration and invasion, through downregulating Raf-1-MEK1/2-ERK1/2 signaling pathway. PMID: 27444299
  19. RKIP expression is negatively associated with tumor metastasis in gastric cancer. PMID: 25764514
  20. Authors demonstrate that the inhibition of the CCL5 expression is the cause of the observed effects resulting from RKIP expression. Results underscore the significance of RKIP as important negative regulator of tumor microenvironment. PMID: 26375811
  21. report of the expression profile of RKIP in a heterogeneous group of soft tissue sarcomas; findings showed that only a small subset of cases exhibited RKIP loss, yet its loss is an independent biomarker of prognosis PMID: 26859895
  22. RKIP inhibits glioma cell migration and invasivess by inhibiting MMP2/MMP9/HMAG2 expression. PMID: 26823735
  23. Loss of RKIP is associated with neoplasms. PMID: 26716415
  24. Downregulation or depletion of RKIP was related to the onset and progression of esophageal squamous cell carcinoma, and facilitated the invasion and metastasis of ESCC by downregulating E-cadherin and upregulating NF-kB p65. PMID: 26617724
  25. Identify intestinal RKIP as capable of hydrolyzing prasugrel to its thiolactone metabolite. PMID: 26558823
  26. Study indicates that reduced RKIP expression is correlated with metastasis and recurrence of disease in stage II colorectal cancer (CRC) suggesting it as an important metastasis-suppressor gene in CRC. PMID: 26238523
  27. RKIP Inhibits Local Breast Cancer Invasion by Antagonizing the Transcriptional Activation of MMP13 PMID: 26308852
  28. Results suggest that up-regulation of miR-27a could suppress RKIP expression and in turn contribute to chemoresistance of lung adenocarcinoma cells to cisplatin. PMID: 25128483
  29. Raf kinase inhibitor protein mediated signaling inhibits invasion and metastasis of hepatocellular carcinoma. PMID: 26116914
  30. RKIP is a metastatic suppressor and predictor for metastasis and prognosis in nasopharyngeal carcinoma, and RKIP downregulation promotes nasopharyngeal carcinoma invasion, metastasis and epithelial to mesenchymal transition by activating Stat3 signaling PMID: 25915430
  31. The upregulated expression of RKIP in colorectal cancer cells inhibited cell invasion and metastasis, while downregulation of RKIP reduced chemosensitivity by inhibiting apoptosis induced by HCPT. PMID: 26177829
  32. This study showed that elevated amygdala HCNP-pp expression may contribute to mechanisms of major depression in women. PMID: 25819500
  33. RKIP is upregulated in heart failure. PMID: 26479924
  34. In triple negative breast cancer, RKIP regulates tumor-associated macrophage recruitment by blocking HMGA2, resulting in reduced expression of numerous macrophage chemotactic factors, including CCL5. PMID: 26238785
  35. downregulation of RKIP occurs frequently... suggesting RKIP being a critical tumor suppressor for clear cell renal cell carcinomas PMID: 25277181
  36. Loss of RKIP expression was associated with unfavorable OS. PMID: 25171481
  37. Data suggest that RKIP inhibits gastric cancer metastasis via the downregulation of its downstream target genes STAT3 and cyclin D1. PMID: 25337233
  38. functional RKIP rs17512051 polymorphism may affect ccRCC susceptibility PMID: 25329396
  39. Raf kinase inhibitor protein expression is a suitable and easily determinable marker in the primary tumour that could predict the risk of uveal melanoma to metastasize PMID: 24763848
  40. Authors demonstrate that the N-terminus of human Raf1 kinase (hRaf11-147aa) binds with human RKIP (hRKIP) at its ligand-binding pocket, loop "127-149", and the C-terminal helix by nuclear magnetic resonance experiments. PMID: 24863296
  41. RKIP inhibits gastric cancer cell survival and invasion by regulating the expression of HMGA2 and OPN. PMID: 25172097
  42. Fine control of RKIP activity and regulation is crucial to avoid pathological processes, such as metastasis,pulmonary arterial hypertension, and heart failure.[review] PMID: 25597351
  43. Genetic an epigenetic control of RKIP transcription and review of known mechanisms employed by different types of chemotherapeutic agents to activate RKIP expression in cancer cells.[review] PMID: 25597352
  44. This brief review describes the role of RKIP in the regulation of drug sensitivity via disruption of the NF-kappaB/Snail/ YY1/RKIP loop that regulates resistance in cancer cells. [review] PMID: 25597353
  45. Here, we review RKIP's role as a metastasis suppressor and the signaling networks and genes regulated by RKIP in metastatic, triple-negative breast cancer. [review] PMID: 25597354
  46. RKIP loss is a frequent occurrence in many solid tumor cancers and may serve as a viable prognostic biomarker. [review] PMID: 25597355
  47. Here, we present a three-state model to explain the RKIP functional switch and discuss the role of the pocket loop in regulating RKIP activity. [review] PMID: 25597357
  48. RKIP synergizes with microtubule inhibitors to induce apoptosis and inhibit STAT3 activation of breast and prostate cancer cells. RKIP plays a critical role in opposing the effects of pro-oncogenic STAT3 activation. PMID: 24658061
  49. overexpression of RKIP could decrease the proliferation and increase the apoptosis of K562 cells. PMID: 25015191
  50. down-regulation of RKIP expression was observed in human gastric cell lines, and miR-224 could negatively regulate the expression and biological characteristics of RKIP, contributing to suppress the proliferation and invasion of gastric cells. PMID: 25017365

Show More

Hide All

Subcellular Location
Cytoplasm.
Protein Families
Phosphatidylethanolamine-binding protein family
Database Links

HGNC: 8630

OMIM: 604591

KEGG: hsa:5037

STRING: 9606.ENSP00000261313

UniGene: Hs.433863

icon of phone
Call us
301-363-4651 (Available 9 a.m. to 5 p.m. CST from Monday to Friday)
icon of address
Address
7505 Fannin St., Ste 610, Room 7 (CUBIO Innovation Center), Houston, TX 77054, USA
icon of social media
Join us with

Subscribe newsletter

Leave a message

* To protect against spam, please pass the CAPTCHA test below.
CAPTCHA verification
© 2007-2025 CUSABIO TECHNOLOGY LLC All rights reserved. 鄂ICP备15011166号-1
×
Place an order now

I. Product details

*
*
*
*

II. Contact details

*
*

III. Ship To

*
*
*
*
*
*
*

IV. Bill To

*
*
*
*
*
*
*
*