PHB2 Recombinant Monoclonal Antibody

Code CSB-RA212222A0HU
Size US$210
Order now
Image
  • Western Blot
    , Positive WB detected in:Hela whole cell lysate(30µg), HepG2 whole cell lysate(30µg), A549 whole cell lysate(30µg), A431 whole cell lysate(30µg), COLO205 whole cell lysate(30µg), SH-SY5Y whole cell lysate(30µg), HEK293 whole cell lysate(30µg), Mouse lung tissue lysate(30µg), Mouse kidney lysate(30µg)
    All lanes: Prohibitin 2 antibody at 1:1000
    Secondary
    Goat polyclonal to rabbit IgG at 1/40000 dilution
    Predicted band size: 33 kDa
    Observed band size: 33 kDa
    Exposure time:5s
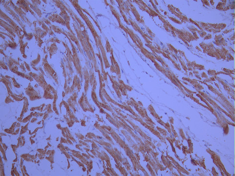
  • IHC image of CSB-RA212222A0HU diluted at 1:100 and staining in paraffin-embedded human heart tissue performed on a Leica BondTM system. After dewaxing and hydration, antigen retrieval was mediated by high pressure in a citrate buffer (pH 6.0). Section was blocked with 10% normal goat serum 30min at RT. Then primary antibody (1% BSA) was incubated at 4°C overnight. The primary is detected by a Goat anti-rabbit polymer IgG labeled by HRP and visualized using 0.05% DAB.
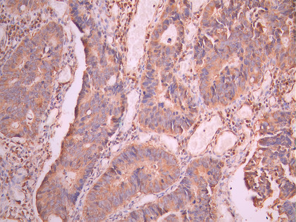
  • IHC image of CSB-RA212222A0HU diluted at 1:100 and staining in paraffin-embedded human colorectal cancer performed on a Leica BondTM system. After dewaxing and hydration, antigen retrieval was mediated by high pressure in a citrate buffer (pH 6.0). Section was blocked with 10% normal goat serum 30min at RT. Then primary antibody (1% BSA) was incubated at 4°C overnight. The primary is detected by a Goat anti-rabbit polymer IgG labeled by HRP and visualized using 0.05% DAB.
  • Immunofluorescence staining of HepG2 cell with CSB-RA212222A0HU at 1:50 , counter-stained with DAPI. The cells were fixed in 4% formaldehyde, permeabilized using 0.2% Triton X-100 and blocked in 10% normal Goat Serum. The cells were then incubated with the antibody overnight at 4°C. The secondary antibody was Alexa Fluor 488-congugated AffiniPure Goat Anti-Rabbit IgG(H+L).
  • Overlay Peak curve showing Hela cells stained with CSB-RA212222A0HU (red line) at 1:100. The cells were fixed in 4% formaldehyde and permeated by 0.2% TritonX-100 for 10min. Then 10% normal goat serum to block non-specific protein-protein interactions followed by the antibody (1ug/1*106cells) for 45min at 4℃. The secondary antibody used was FITC-conjugated goat anti-rabbit IgG (H+L) at 1/200 dilution for 35min at 4℃.Control antibody (green line) was Rabbit IgG (1ug/1*106cells) used under the same conditions. Acquisition of >10, 000 events was performed.
Have Questions? Leave a Message or Start an on-line Chat

Product Details

Uniprot No.
Target Names
Alternative Names
B cell receptor associated protein BAP37 antibody; B-cell receptor-associated protein BAP37 antibody; BAP antibody; Bap37 antibody; BCAP 37 antibody; D prohibitin antibody; D-prohibitin antibody; p22 antibody; Phb2 antibody; PHB2_HUMAN antibody; PNAS 141 antibody; Prohibitin 2 antibody; Prohibitin-2 antibody; Repressor of estrogen receptor activity antibody
Species Reactivity
Human, Mouse
Immunogen
A synthesized peptide from human PHB2 protein
Immunogen Species
Homo sapiens (Human)
Conjugate
Non-conjugated
Clonality
Monoclonal
Isotype
Rabbit IgG
Clone No.
3A4
Purification Method
Affinity-chromatography
Concentration
It differs from different batches. Please contact us to confirm it.
Buffer
Rabbit IgG in 10mM phosphate buffered saline , pH 7.4, 150mM sodium chloride, 0.05% BSA, 0.02% sodium azide and 50% glycerol.
Form
Liquid
Tested Applications
ELISA, WB, IHC, IF, FC
Recommended Dilution
Application Recommended Dilution
WB 1:500-1:5000
IHC 1:50-1:200
IF 1:50-1:200
FC 1:50-1:200
Troubleshooting and FAQs
Storage
Upon receipt, store at -20°C or -80°C. Avoid repeated freeze.
Lead Time
Basically, we can dispatch the products out in 1-3 working days after receiving your orders. Delivery time maybe differs from different purchasing way or location, please kindly consult your local distributors for specific delivery time.
Usage
For Research Use Only. Not for use in diagnostic or therapeutic procedures.

Customer Reviews and Q&A

 Customer Reviews

There are currently no reviews for this product.

Submit a Review here

Target Background

Function
Protein with pleiotropic attributes mediated in a cell-compartment- and tissue-specific manner, which include the plasma membrane-associated cell signaling functions, mitochondrial chaperone, and transcriptional co-regulator of transcription factors and sex steroid hormones in the nucleus.; In the mitochondria, together with PHB, forms large ring complexes (prohibitin complexes) in the inner mitochondrial membrane (IMM) and functions as chaperone protein that stabilizes mitochondrial respiratory enzymes and maintains mitochondrial integrity in the IMM, which is required for mitochondrial morphogenesis, neuronal survival, and normal lifespan (Probable). The prohibitin complex, with DNAJC19, regulates cardiolipin remodeling and the protein turnover of OMA1 in a cardiolipin-binding manner. Also regulates cytochrome-c oxidase assembly (COX) and mitochondrial respiration. Binding to sphingoid 1-phosphate (SPP) modulates its regulator activity. Has a key role of mitophagy receptor involved in targeting mitochondria for autophagic degradation. Involved in mitochondrial-mediated antiviral innate immunity, activates DDX58/RIG-I-mediated signal transduction and production of IFNB1 and proinflammatory cytokine IL6.; In the nucleus, serves as transcriptional co-regulator (Probable). Acts as a mediator of transcriptional repression by nuclear hormone receptors via recruitment of histone deacetylases. Functions as an estrogen receptor (ER)-selective coregulator that potentiates the inhibitory activities of antiestrogens and represses the activity of estrogens. Competes with NCOA1 for modulation of ER transcriptional activity.; In the plasma membrane, is involved in IGFBP6-induced cell migration. Cooperates with CD86 to mediate CD86-signaling in B lymphocytes that regulates the level of IgG1 produced through the activation of distal signaling intermediates. Upon CD40 engagement, required to activate NF-kappa-B signaling pathway via phospholipase C and protein kinase C activation.; (Microbial infection) Involved in human enterovirus 71/EV-71 infection by enhancing the autophagy mechanism during the infection.
Gene References into Functions
  1. High PHB2 expression is associated with high ribosomal RNA transcription and facilitation of cell proliferation in rhabdomyosarcoma. PMID: 29367618
  2. the present study suggested that PHB2 may promote Prostate cancer cell migration by inhibiting the expression of AKT2. These results provide information regarding the role of PHB2 in Prostate cancer migration and malignancy PMID: 29207197
  3. Taken together, the results indicate that PHB2 plays a central role in p21 upregulation following GGCT knockdown and as such may promote deregulated proliferation of cancer cells by suppressing p21. PMID: 29307834
  4. analysis of LGALS3, PHB2, MUC1, and GK2 expression with CA15-3 in early-stage breast cancer PMID: 26289852
  5. REA modulates cross talk among multiple cell types in the uterine tissue and host background, serving as a brake on the estradiol-ER axis and restraining multiple aspects that contribute to the pathologic progression of endometriosis. PMID: 26653759
  6. results show that PHB2 binds to the ligand binding domain of ERalpha with a conformational change in the helix 12 of ERalpha PMID: 26049107
  7. Functional analysis of selected regulated proteins revealed that knockdown of HNRPD, PHB2 and UB2V2 can increase HCMV replication, while knockdown of A4 and KSRP resulted in decreased HCMV replication. PMID: 25910425
  8. These results demonstrate that estradiol upregulates REA expression and recruits REA via ERalpha to the EREs on the RORgammaT promoter region, thus inhibiting RORgammaT expression and Th17 differentiation. PMID: 25769926
  9. BIG3 (ARFGEF3) is predicted to interact with its partner PHB2 through an ARM-type alpha-helical structure. PMID: 24997568
  10. Data indicate that the up-regulated expression of prohibitin promoted acute promyelocytic leukemia cell line NB4-R1 cell apoptosis. PMID: 25200157
  11. PHB2 in hepatocellular carcinoma supports the development and progression of hepatocellular malignancy. PMID: 23661548
  12. Prohibitin 2 acts as a nuclear AKT substrate during all-trans retinoic acid-induced differentiation of acute promyelocytic leukemia cells PMID: 24522204
  13. prohibitin and prohibiton (PHB2) contribute to PIG3-mediated apoptosis by binding to the PIG3 promoter (TGYCC)15 motif PMID: 24388982
  14. Data indicate that IGFBP-6 binds to prohibitin-2 on the cell membrane, and knockdown of the latter abrogates IGFBP-6-induced migration. PMID: 24003225
  15. Data demonstrate that PHB2 is essential for metabolic activation of mitochondria and, as a consequence, for function and survival of beta-cells. PMID: 23863811
  16. ASURA specifically binds to chromatin when Scc1 is associated with chromatin. PMID: 23548868
  17. PHBs are localized on the human platelet membrane and are involved in PAR1-mediated platelet aggregation. PMID: 22212092
  18. REA physiologically restrains endometrial stromal cell decidualization, controlling the timing and magnitude of decidualization to coordinate uterine differentiation with concurrent embryo development that is essential for implantation and fertility. PMID: 23392257
  19. Casein kinase 1 proteomics reveal prohibitin 2 function in molecular clock PMID: 22384121
  20. Prohibitin 1 and 2 are required for cancer cell proliferation and adhesion. PMID: 20856874
  21. results point to binding of the Phb1/Phb2 complex to the Env-CT as being of importance for replicative spread in nonpermissive cells, possibly by modulating critical Phb-dependent cellular process(es) PMID: 19906925
  22. REA has a role as a mediator of transcriptional repression by nuclear hormone receptors via recruitment of histone deacetylases PMID: 15140878
  23. mammalian PHB2 has roles in mitochondria and its nuclear translocation is estrogen receptor-dependent PMID: 17008324
  24. EZH2 regulates the transcription of estrogen-responsive genes through association with REA, an estrogen receptor corepressor PMID: 17453341
  25. Findings suggest that, in addition to the shugoshin, PHB2 is also required to protect the centromeric cohesion from phosphorylation by Plk1 during early mitosis and that its function is essential for proper mitotic progression. PMID: 17656096
  26. SKP2 variant Skp2B interacts with the repressor of estrogen receptor activity (REA) and that overexpression of Skp2B leads to a reduction in REA levels. PMID: 17785450
  27. Results demonstrate that the repressor of estrogen receptor activity (REA), a protein related to PHB, interacts with PHB, to form heteromers and enhance the protein stability of both corepressors. PMID: 17932104
  28. Phb1 and Phb2 are novel phosphoproteins up-regulated during T cell activation that function to maintain mitochondrial integrity PMID: 18086671
  29. a novel mechanism by which RNF2 and PHB2 modulate the CP2-mediated transcriptional pathway. PMID: 18629613
  30. Estradiol downregulation of the tumor suppressor gene BTG2 requires estrogen receptor-alpha and the REA corepressor PMID: 19117054
  31. Severe acute respiratory syndrome coronavirus nonstructural protein 2 interacts with a host protein complex of PHB1 and PHB2 involved in mitochondrial biogenesis and intracellular signaling PMID: 19640993

Show More

Hide All

Subcellular Location
Mitochondrion inner membrane. Cytoplasm. Nucleus. Cell membrane.; [Isoform 1]: Mitochondrion inner membrane.; [Isoform 2]: Mitochondrion inner membrane.
Protein Families
Prohibitin family
Database Links

HGNC: 30306

OMIM: 610704

KEGG: hsa:11331

STRING: 9606.ENSP00000441875

UniGene: Hs.504620

icon of phone
Call us
301-363-4651 (Available 9 a.m. to 5 p.m. CST from Monday to Friday)
icon of address
Address
7505 Fannin St., Ste 610, Room 7 (CUBIO Innovation Center), Houston, TX 77054, USA
icon of social media
Join us with

Subscribe newsletter

Leave a message

* To protect against spam, please pass the CAPTCHA test below.
CAPTCHA verification
© 2007-2025 CUSABIO TECHNOLOGY LLC All rights reserved. 鄂ICP备15011166号-1
×
Place an order now

I. Product details

*
*
*
*

II. Contact details

*
*

III. Ship To

*
*
*
*
*
*
*

IV. Bill To

*
*
*
*
*
*
*
*