PIM1 Recombinant Monoclonal Antibody

Code CSB-RA121260A0HU
Size US$210
Order now
Image
  • Western Blot
    , Positive WB detected in:COLO205 whole cell lysate(30µg), A549 whole cell lysate(30µg), THP-1 whole cell lysate(30µg)
    All lanes: PIM1 antibody at 1:1000
    Secondary
    Goat polyclonal to rabbit IgG at 1/40000 dilution
    Predicted band size: 36 kDa
    Observed band size: 32 kDa
    Exposure time:300s
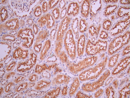
  • IHC image of CSB-RA121260A0HU diluted at 1:100 and staining in paraffin-embedded human kidney tissue performed on a Leica BondTM system. After dewaxing and hydration, antigen retrieval was mediated by high pressure in a citrate buffer (pH 6.0). Section was blocked with 10% normal goat serum 30min at RT. Then primary antibody (1% BSA) was incubated at 4°C overnight. The primary is detected by a Goat anti-rabbit polymer IgG labeled by HRP and visualized using 0.05% DAB.
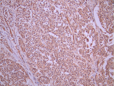
  • IHC image of CSB-RA121260A0HU diluted at 1:100 and staining in paraffin-embedded human liver cancer performed on a Leica BondTM system. After dewaxing and hydration, antigen retrieval was mediated by high pressure in a citrate buffer (pH 6.0). Section was blocked with 10% normal goat serum 30min at RT. Then primary antibody (1% BSA) was incubated at 4°C overnight. The primary is detected by a Goat anti-rabbit polymer IgG labeled by HRP and visualized using 0.05% DAB.
Have Questions? Leave a Message or Start an on-line Chat

Product Details

Uniprot No.
Target Names
Alternative Names
Oncogene PIM 1 antibody; Oncogene PIM1 antibody; PIM 1 antibody; pim 1 kinase 44 kDa isoform antibody; Pim 1 kinase antibody; pim 1 oncogene (proviral integration site 1) antibody; Pim 1 oncogene antibody; PIM antibody; PIM1 antibody; pim1 kinase 44 kDa isoform antibody; PIM1_HUMAN antibody; Pim2 antibody; PIM3 antibody; Proto oncogene serine/threonine protein kinase Pim 1 antibody; Proto-oncogene serine/threonine-protein kinase Pim-1 antibody; Proviral integration site 1 antibody; Proviral integration site 2 antibody
Species Reactivity
Human
Immunogen
A synthesized peptide from human PIM1 protein
Immunogen Species
Homo sapiens (Human)
Conjugate
Non-conjugated
Clonality
Monoclonal
Isotype
Rabbit IgG
Clone No.
21C6
Purification Method
Affinity-chromatography
Concentration
It differs from different batches. Please contact us to confirm it.
Buffer
Rabbit IgG in 10mM phosphate buffered saline , pH 7.4, 150mM sodium chloride, 0.05% BSA, 0.02% sodium azide and 50% glycerol.
Form
Liquid
Tested Applications
ELISA, WB, IHC
Recommended Dilution
Application Recommended Dilution
WB 1:500-1:5000
IHC 1:50-1:200
Troubleshooting and FAQs
Storage
Upon receipt, store at -20°C or -80°C. Avoid repeated freeze.
Lead Time
Basically, we can dispatch the products out in 1-3 working days after receiving your orders. Delivery time maybe differs from different purchasing way or location, please kindly consult your local distributors for specific delivery time.
Usage
For Research Use Only. Not for use in diagnostic or therapeutic procedures.

Customer Reviews and Q&A

 Customer Reviews

There are currently no reviews for this product.

Submit a Review here

Target Background

Function
Proto-oncogene with serine/threonine kinase activity involved in cell survival and cell proliferation and thus providing a selective advantage in tumorigenesis. Exerts its oncogenic activity through: the regulation of MYC transcriptional activity, the regulation of cell cycle progression and by phosphorylation and inhibition of proapoptotic proteins (BAD, MAP3K5, FOXO3). Phosphorylation of MYC leads to an increase of MYC protein stability and thereby an increase of transcriptional activity. The stabilization of MYC exerted by PIM1 might explain partly the strong synergism between these two oncogenes in tumorigenesis. Mediates survival signaling through phosphorylation of BAD, which induces release of the anti-apoptotic protein Bcl-X(L)/BCL2L1. Phosphorylation of MAP3K5, another proapoptotic protein, by PIM1, significantly decreases MAP3K5 kinase activity and inhibits MAP3K5-mediated phosphorylation of JNK and JNK/p38MAPK subsequently reducing caspase-3 activation and cell apoptosis. Stimulates cell cycle progression at the G1-S and G2-M transitions by phosphorylation of CDC25A and CDC25C. Phosphorylation of CDKN1A, a regulator of cell cycle progression at G1, results in the relocation of CDKN1A to the cytoplasm and enhanced CDKN1A protein stability. Promotes cell cycle progression and tumorigenesis by down-regulating expression of a regulator of cell cycle progression, CDKN1B, at both transcriptional and post-translational levels. Phosphorylation of CDKN1B, induces 14-3-3 proteins binding, nuclear export and proteasome-dependent degradation. May affect the structure or silencing of chromatin by phosphorylating HP1 gamma/CBX3. Acts also as a regulator of homing and migration of bone marrow cells involving functional interaction with the CXCL12-CXCR4 signaling axis. Also phosphorylates and activates the ATP-binding cassette transporter ABCG2, allowing resistance to drugs through their excretion from cells. Promotes brown adipocyte differentiation.
Gene References into Functions
  1. CD95-mediated apoptosis induces Pim-1 down-regulation in Burkitt's lymphoma (BL) B-cells, but Pim-1 down-regulation cannot fully eradicate BL and leukaemia. PMID: 27641442
  2. Data show that pim-1 oncogene protein (PIM1) expression was elevated in T-cell lymphomas (TCLs) cells. PMID: 30020405
  3. Results provide evidence that glucose deprivation is one of the mechanisms that leads to elevated Pim1 expression in colorectal cancer (CRC), and Pim1 upregulation ensures CRC growth in response to glucose deprivation by facilitating the Warburg effect in a compensatory way. PMID: 29516572
  4. data suggest that PIM1/2 kinase overexpression is a common feature of male reproductive organs tumors, which provoke tissue alterations and a large inflammatory response that may act synergistically during the process of tumorigenesis. PMID: 27901106
  5. PIM-1 mRNA levels may be an independent prognostic factor in acute myeloid leukemia. PMID: 28851457
  6. PIM1 role in cell proliferation, migration and apoptosis in triple-negative breast cancer [review] PMID: 28721678
  7. may contribute to placental inflammation in pregnancies complicated by maternal obesity PMID: 28487013
  8. Inhibition of PIM1 kinase attenuates inflammation-induced pro-labor mediators in human fetal membranes in vitro. PMID: 28333279
  9. PIM1 destabilization is associated with cancer. PMID: 26993775
  10. The Ser/Thr-protein kinase-1 (PIM-1) was identified as a direct target of miR-328. PMID: 27448984
  11. Data show that PIM1 contributes to melanoma cell proliferation and tumor growth in vivo; however, the presence of PIM2 and PIM3 could also influence the outcome. PMID: 27448973
  12. High expression level of PIM is associated with neoplasms. PMID: 26956053
  13. This review summarizes effects of PIM kinases and their substrates especially on cancer cell migration, invasion and metastatic growth, based on data from cell-based assays, animal experiments and patients. PMID: 29108877
  14. Results show that PIM-1 is upregulated in pancreatic cancer tissues and plasma. Its knockdown in pancreatic cancer cells suppressed proliferation, induced cell cycle arrest, enhanced apoptosis, resensitized cells to gemcitabine and erlotinib treatment, and inhibited ABCG2 and EZH2 mRNA expression. PMID: 27596051
  15. Results show that PIM1 is overexpressed in breast cancer tumors and provide evidence for its role in tumor resistance to PI3K inhibitors. PMID: 27604488
  16. These results demonstrate the involvement of PIM kinases in LIF-induced regulation in different trophoblastic cell lines which may indicate similar functions in primary cells. PMID: 28729093
  17. Down-regulation of UHRF1 is an important mechanism of PIM1-mediated cellular senescence. PMID: 28394343
  18. PIM kinases in classical Hodgkin lymphoma exhibit pleiotropic effects, orchestrating tumor immune escape and supporting Reed-Sternberg cell survival. PMID: 28698206
  19. critical for the growth and metastasis of osteosarcoma cells PMID: 26687194
  20. Triple negative breast cancer cells, but not nonmalignant mammary epithelial cells, were dependent on PIM1 for proliferation and protection from apoptosis. PMID: 27775704
  21. PIM1 expression was higher in triple negative breast tumors than in estrogen and progesterone receptor positive tumors. PMID: 27775705
  22. High PIM1 expression is associated with osteosarcoma. PMID: 27826617
  23. downregulation of PIM1 led to suppression of cell proliferation by cell cycle arrest at G1 phase and suppression of cell invasion and migration. PMID: 28197633
  24. Pim-1L protects hepatic ABCA1 from lysosomal degradation by facilitating the physical interaction between ABCA1 and liver X receptor beta and subsequent stabilization of the ABCA1-Pim-1L complex and thereby regulates the circulating level of high-density lipoprotein. PMID: 27765770
  25. Furthermore, the Pim-1-HBP1 positive feedback loop exerts its effect by regulating the senescence markers DNMT1 and p16 and the apoptosis marker Bax. The Pim-1-HBP1 axis thus constitutes a novel checkpoint pathway critical for the inhibition of tumorigenesis. PMID: 28348080
  26. Overexpression of PIM1 partially rescued miR-542-3p-mediated suppression of cell migration, invasion and EMT. Our results collectively indicate that miR-542-3p serves as a metastasis suppressor in melanoma, supporting its utility as a promising therapeutic candidate. PMID: 27107696
  27. Data show that cytoplasmic irradiation mediate expression level of Pim-1, which lead to glycolytic shift in SAE cells. PMID: 28170315
  28. Pim1 role in the apoptosis and cell proliferation of human esophageal cancer cells PMID: 27983525
  29. findings aid in understanding the tumor-suppressive role of miR-124-3p in astrocytoma pathogenesis through the inhibition of PIM1 translation PMID: 27088547
  30. hypoxia induced miR-124 and miR-144 downregulation may contribute to a prosurvival mechanism of prostate cancer cells to hypoxia and irradiation at least through attenuated suppressing of PIM1. PMID: 26990493
  31. Results show loss of miR-1 and miR-214 expression and high expression of their target gene, PIM1, in malignant mesothelioma suggesting a role in carcinogenesis of mesothelioma. PMID: 26820394
  32. we examine the therapeutic implications of Pim1 to encourage the personalization of cardiac regenerative therapy PMID: 26563999
  33. Data suggest that combining PIM and JAK2 kinase inhibitors may offer a more efficacious therapeutic approach for myeloproliferative neoplasms (MPNs) over JAK2 inhibitor mono-therapy. PMID: 26472029
  34. A high percentage of urothelial carcinomas express Pim kinases. Pim expression differs in NILG, NIHG, and IHG lesions. PMID: 26551340
  35. Downregulation of microRNA33a promotes the expression CDK6, CCND1, and PIM1, and gastric cancer cell proliferation. PMID: 26352175
  36. glycogen synthase kinase 3 beta (GSK3B) and the forkhead box P3 (FOXP3) transcription factors are direct PIM1 targets. PMID: 26934497
  37. By associating with PIM-1L, CD180 can thus obtain autonomous signaling capabilities, and this complex is then channeling inflammatory signals into B cell survival programs PMID: 26555723
  38. Pim1 kinase activity maintains airway epithelial integrity and protects against house dust mite-induced proinflammatory activation of the airway epithelium. PMID: 26453516
  39. Pim-1 and Pim-3 enhance phosphorylation and cell surface expression of CXCR4 in prostate cancer cells. PC-3 prostate cancer cells overexpressing either Pim-1 or Pim-3 kinases form larger xenograft tumors than the parental PC-3 cells. PMID: 26075720
  40. PIM1 is up-regulated by hypoxia in hepatocellular carcinoma and promotes tumor growth and metastasis by facilitating cancer cell glycolysis. PMID: 25834102
  41. This study demonstrates the oncogenic role of Pim-1 in ACC. The findings also suggest that Pim-1 may serve as a neoteric therapeutic target and potential prognostic marker for ACC cancer PMID: 25551195
  42. We now demonstrate a molecular mechanism which reveals a direct role for EBNA3C in enhancing Pim-1 expression in EBV-infected primary B-cells. PMID: 25121590
  43. Pim kinase may represent a new host factor for HCV entry. Pim1 is an oncogenic serine/threonine kinase. HCV NS5A protein physically interacts with Pim1 and contributes to Pim1 protein stability. PMID: 26202252
  44. PIM1 overexpression is associated with prostate cancer. PMID: 24771642
  45. Molecular dynamics studies showed that only GTP decreases the formation of the GBP1:PIM1 complex through an allosteric mechanism, outlining the rational for the identification of new compounds potentially able to revert resistance to paclitaxel. PMID: 25081641
  46. important role in progression of pre-malignant high grade prostatic intra-epithelial neoplasia to malignant prostatic carcinomas [review] PMID: 25553374
  47. In comparison with normal brain, a strong upregulation of Pim1 was demonstrated in human GBM samples. Notably, patients with short overall survival showed a significantly higher Pim1 expression compared with GBM patients who lived longer than the median. PMID: 25155357
  48. Pim1 function depends upon intracellular localization in human cardiac progenitor cells PMID: 25882843
  49. These results point on PIM1 as a novel factor in regulation of the phenotype and differentiation of fibroblasts in prostate cancer. PMID: 25451079
  50. Data indicate that serine/threonine-protein kinase PIM1 expression was noted in each case of chronic lymphocytic leukemia/small lymphocytic lymphoma (CLL/SLL). PMID: 24547709

Show More

Hide All

Subcellular Location
[Isoform 1]: Cytoplasm. Nucleus.; [Isoform 2]: Cell membrane.
Protein Families
Protein kinase superfamily, CAMK Ser/Thr protein kinase family, PIM subfamily
Tissue Specificity
Expressed primarily in cells of the hematopoietic and germline lineages. Isoform 1 and isoform 2 are both expressed in prostate cancer cell lines.
Database Links

HGNC: 8986

OMIM: 164960

KEGG: hsa:5292

STRING: 9606.ENSP00000362608

UniGene: Hs.81170

icon of phone
Call us
301-363-4651 (Available 9 a.m. to 5 p.m. CST from Monday to Friday)
icon of address
Address
7505 Fannin St., Ste 610, Room 7 (CUBIO Innovation Center), Houston, TX 77054, USA
icon of social media
Join us with

Subscribe newsletter

Leave a message

* To protect against spam, please pass the CAPTCHA test below.
CAPTCHA verification
© 2007-2025 CUSABIO TECHNOLOGY LLC All rights reserved. 鄂ICP备15011166号-1
×
Place an order now

I. Product details

*
*
*
*

II. Contact details

*
*

III. Ship To

*
*
*
*
*
*
*

IV. Bill To

*
*
*
*
*
*
*
*