PNKP Recombinant Monoclonal Antibody

Code CSB-RA090067A0HU
Size US$210
Order now
Image
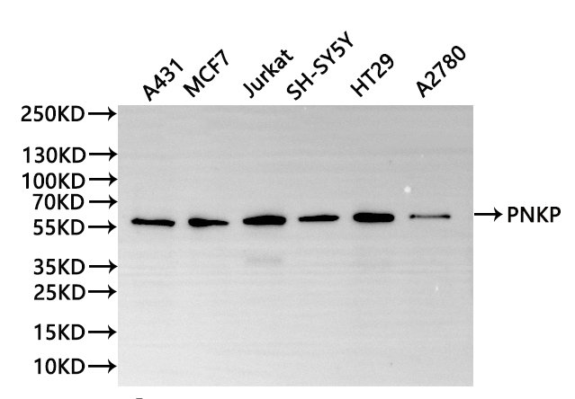
  • Western Blot
    Positive WB detected in: A431 whole cell lysate(30µg), MCF-7 whole cell lysate(30µg), Jurkat whole cell lysate(30µg), SH-SY5Y whole cell lysate(30µg), HT-29 whole cell lysate(30µg), A2780 whole cell lysate(30µg)
    All lanes: PNKP antibody at 1:1000
    Secondary
    Goat polyclonal to rabbit IgG at 1/40000 dilution
    Predicted band size: 57 kDa
    Observed band size: 57 kDa
    Exposure time:3min
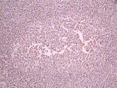
  • IHC image of CSB-RA090067A0HU diluted at 1:100 and staining in paraffin-embedded human tonsil tissue performed on a Leica BondTM system. After dewaxing and hydration, antigen retrieval was mediated by high pressure in a citrate buffer (pH 6.0). Section was blocked with 10% normal goat serum 30min at RT. Then primary antibody (1% BSA) was incubated at 4°C overnight. The primary is detected by a Goat anti-rabbit polymer IgG labeled by HRP and visualized using 0.05% DAB.
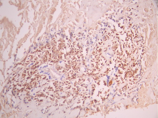
  • IHC image of CSB-RA090067A0HU diluted at 1:100 and staining in paraffin-embedded human breast cancer performed on a Leica BondTM system. After dewaxing and hydration, antigen retrieval was mediated by high pressure in a citrate buffer (pH 6.0). Section was blocked with 10% normal goat serum 30min at RT. Then primary antibody (1% BSA) was incubated at 4°C overnight. The primary is detected by a Goat anti-rabbit polymer IgG labeled by HRP and visualized using 0.05% DAB.
  • Overlay Peak curve showing Hela cells stained with CSB-RA090067A0HU (red line) at 1:100. The cells were fixed in 4% formaldehyde and permeated by 0.2% TritonX-100 for 10min. Then 10% normal goat serum to block non-specific protein-protein interactions followed by the antibody (1ug/1*106cells) for 45min at 4℃. The secondary antibody used was FITC-conjugated goat anti-rabbit IgG (H+L) at 1/200 dilution for 35min at 4℃.Control antibody (green line) was Rabbit IgG (1ug/1*106cells) used under the same conditions. Acquisition of >10, 000 events was performed.
Have Questions? Leave a Message or Start an on-line Chat

Product Details

Uniprot No.
Target Names
PNKP
Alternative Names
2''(3'')-polynucleotidase; 2'(3')-polynucleotidase; Bifunctional polynucleotide phosphatase/kinase; DEM 1; DEM1; DNA 5' kinase/3' phosphatase; DNA 5''-kinase/3''-phosphatase; EIEE10; Homo sapiens polynucleotide kinase 3' phosphatase (PNKP); MCSZ; PNK 1; PNK1; Pnkp; PNKP DNA kinase; PNKP_HUMAN; Polynucleotide 3'-phosphatase; Polynucleotide 5' hydroxyl kinase; Polynucleotide 5''-hydroxyl-kinase; Polynucleotide kinase 3 prime phosphatase; Polynucleotide kinase 3' phosphatase; Polynucleotide Kinase; Polynucleotide kinase-3''-phosphatase
Species Reactivity
Human
Immunogen
A synthesized peptide from human PNKP protein
Immunogen Species
Homo sapiens (Human)
Conjugate
Non-conjugated
Clonality
Monoclonal
Isotype
Rabbit IgG
Clone No.
12F11
Purification Method
Affinity-chromatography
Concentration
It differs from different batches. Please contact us to confirm it.
Buffer
Rabbit IgG in 10mM phosphate buffered saline , pH 7.4, 150mM sodium chloride, 0.05% BSA, 0.02% sodium azide and 50% glycerol.
Form
Liquid
Tested Applications
ELISA, WB, IHC, FC
Recommended Dilution
Application Recommended Dilution
WB 1:500-1:5000
IHC 1:50-1:200
FC 1:50-1:200
Troubleshooting and FAQs
Storage
Upon receipt, store at -20°C or -80°C. Avoid repeated freeze.
Lead Time
Basically, we can dispatch the products out in 1-3 working days after receiving your orders. Delivery time maybe differs from different purchasing way or location, please kindly consult your local distributors for specific delivery time.
Usage
For Research Use Only. Not for use in diagnostic or therapeutic procedures.

Customer Reviews and Q&A

 Customer Reviews

There are currently no reviews for this product.

Submit a Review here

Target Background

Function
Plays a key role in the repair of DNA damage, functioning as part of both the non-homologous end-joining (NHEJ) and base excision repair (BER) pathways. Through its two catalytic activities, PNK ensures that DNA termini are compatible with extension and ligation by either removing 3'-phosphates from, or by phosphorylating 5'-hydroxyl groups on, the ribose sugar of the DNA backbone.
Gene References into Functions
  1. Despite presence of an alternative 3'-phosphatase, loss of PNKP significantly sensitizes cells to 3'-phosphate-terminated DSBs, due to a 3'-dephosphorylation defect. PMID: 29807321
  2. PNKP mutation in two siblings is associated with progressive ataxia, abnormal saccades, sensorimotor neuropathy and dystonia consistent with ataxia with oculomotor apraxia disorders. PMID: 28552035
  3. we have identified a mutation in PNKP, leading to a phenotype of microcephaly with primordial dwarfism. PMID: 27232581
  4. XRCC1 and PNKP interact via a high-affinity phosphorylation-dependent interaction site in XRCC1 and a forkhead-associated domain in PNKP. Data suggest a second PNKP interaction site in XRCC1 that binds PNKP with lower affinity and independently of XRCC1 phosphorylation. (XRCC1 = X-ray repair cross complementing protein 1; PNKP = polynucleotide kinase 3'-phosphatase) PMID: 28821613
  5. In a recombinant PNKP-XRCC4-LigIV complex, stable binding of PNKP requires XRCC4 phosphorylation. Only one PNKP protomer binds per XRCC4 dimer. Both the PNKP FHA and catalytic domains contact the XRCC4 coiled-coil and LigIV BRCT repeats. A surface on the PNKP phosphatase domain may contact XRCC4-LigIV. A mutation on this surface (E326K) impairs PNKP recruitment to damaged DNA and causes microcephaly with seizures. PMID: 28453785
  6. Mutations in TDP1 and APTX have been linked to Spinocerebellar ataxia with axonal neuropathy (SCAN1) and Ataxia-ocular motor apraxia 1 (AOA1), respectively, while mutations in PNKP are considered to be responsible for Microcephaly with seizures (MCSZ) and Ataxia-ocular motor apraxia 4 (AOA4). PMID: 27470939
  7. the role for PNKP in maintaining brain function and how perturbation in its activity can account for the varied pathology of neurodegeneration or microcephaly present in microcephaly with seizures and ataxia with oculomotor apraxia 4 respectively. PMID: 27125728
  8. In 11 Portuguese patients, PNKP mutations cause ataxia with oculomotor apraxia type 4. PMID: 26970421
  9. Here we report that purified wild-type (WT) ATXN3 stimulates, and by contrast the mutant form specifically inhibits, PNKP's 3' phosphatase activity in vitro. ATXN3-deficient cells also show decreased PNKP activity PMID: 25633985
  10. We now report that the mutant ATXN3 protein interacts with and inactivates PNKP (polynucleotide kinase 3'-phosphatase), an essential DNA strand break repair enzyme PMID: 25590633
  11. We identified homozygous or compound-heterozygous PNKP mutations in eight of the nine Portuguese families we studied, suggesting that, in Portugal, mutations in PNKP are the most frequent cause of ataxia with oculomotor apraxia. PMID: 25728773
  12. we show that modest inhibition of PNKP in a PTEN knockout background enhances cellular radiosensitivity, suggesting that such a "synthetic sickness" approach involving the combination of PNKP inhibition with radiotherapy PMID: 23883586
  13. Mutations in PNKP have previously been associated with a syndrome of microcephaly, seizures and developmental delay (MIM 613402), and is now associated with a neurodegenerative disorder. PMID: 23224214
  14. the interaction between PNKP and XRCC1 has roles in the retention of XRCC1 at DNA damage sites and in DNA alkylation damage repair PMID: 22992732
  15. The data suggest that all four known mutations associated with microcephaly, seizures and developmental delay reduce the cellular stability and level of PNKP protein, with three mutations likely ablating cellular DNA 5'-kinase activity and all of the mutations greatly reducing cellular DNA 3'-phosphatase activity. PMID: 22508754
  16. the critical role of NEIL2 and PNKP in maintenance of the mammalian mitochondrial genome. PMID: 22130663
  17. PNKP distorts target DNA structures to access damaged substrate DNA ends, thus providing a molecular mechanism for the involvement of PNKP in the repair of both single- and double-strand breaks. PMID: 22171004
  18. Results reveal that ionizing radiation-induced phosphorylation of PNKP by ATM and DNA-PK regulates PNKP function at DNA double strand breaks. PMID: 21824916
  19. Studies indicate that PNKP serves a crucial role in the repair of DNA strand breaks through interactions with other DNA repair proteins, notably XRCC1 and XRCC4. PMID: 21353781
  20. CK2-mediated phosphorylation of XRCC4 can have different effects on PNKP activity. PMID: 20852255
  21. The neurological abnormalities in individuals with microcephaly, early onset, intractable seizures and develomental delays may reflect a role for PNKP in several DNA repair pathways. PMID: 20118933
  22. Involvement of human polynucleotide kinase in double-strand break repair by non-homologous end joining PMID: 12032095
  23. First direct physical evidence for ternary complex formation involving a polynucleotide kinase, AMP-PNP, and an oligonucleotide, supports a reaction mechanism in which ATP and DNA bind simultaneously to the enzyme. PMID: 14556639
  24. Data show that polynucleotide kinase is associated with the PARP-1-dependent end-joining pathway, and show functional parallels between the PARP-1 and DNA-PK-dependent end-joining processes. PMID: 16364363
  25. polynucleotide kinase participates in repair of DNA double-strand breaks by nonhomologous end joining but not homologous recombination PMID: 17638872
  26. XRCC1 enhances the capacity of hPNK to discriminate between strand breaks with 5'-OH termini and those with 5'-phosphate termini; and XRCC1 stimulates hPNK activity by displacing hPNK from the phosphorylated DNA product PMID: 17650498
  27. The PNKP T5644G variant does not seem to be involved in adenoma recurrence in the Polyp Prevention Trial. PMID: 18414202
  28. the FHA domain of PNK binds specifically, and with high affinity to a multiply phosphorylated motif in XRCC1 containing a pSer-pThr dipeptide, and forms a 2:1 PNK:XRCC1 complex. PMID: 19155274

Show More

Hide All

Involvement in disease
Microcephaly, seizures, and developmental delay (MCSZ); Ataxia-oculomotor apraxia 4 (AOA4)
Subcellular Location
Nucleus. Chromosome.
Protein Families
DNA 3' phosphatase family
Tissue Specificity
Expressed in many tissues with highest expression in spleen and testis, and lowest expression in small intestine. Expressed in higher amount in pancreas, heart and kidney and at lower levels in brain, lung and liver.
Database Links

HGNC: 9154

OMIM: 605610

KEGG: hsa:11284

STRING: 9606.ENSP00000323511

UniGene: Hs.78016

icon of phone
Call us
301-363-4651 (Available 9 a.m. to 5 p.m. CST from Monday to Friday)
icon of address
Address
7505 Fannin St., Ste 610, Room 7 (CUBIO Innovation Center), Houston, TX 77054, USA
icon of social media
Join us with

Subscribe newsletter

Leave a message

* To protect against spam, please pass the CAPTCHA test below.
CAPTCHA verification
© 2007-2025 CUSABIO TECHNOLOGY LLC All rights reserved. 鄂ICP备15011166号-1
×
Place an order now

I. Product details

*
*
*
*

II. Contact details

*
*

III. Ship To

*
*
*
*
*
*
*

IV. Bill To

*
*
*
*
*
*
*
*